-
中文名稱:SLAMF6兔多克隆抗體
-
貨號:CSB-PA021368LA01HU
-
規格:¥440
-
圖片:
-
Western Blot
Positive WB detected in: Hela whole cell lysate, HL60 whole cell lysate, 293T whole cell lysate, A549 whole cell lysate, Mouse kidney tissue
All lanes: SLAMF6 antibody at 5.1μg/ml
Secondary
Goat polyclonal to rabbit IgG at 1/50000 dilution
Predicted band size: 38, 25 kDa
Observed band size: 60 kDa -
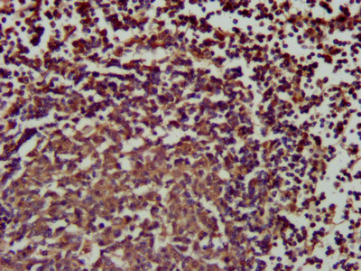
IHC image of CSB-PA021368LA01HU diluted at 1:200 and staining in paraffin-embedded human lymph node tissue performed on a Leica BondTM system. After dewaxing and hydration, antigen retrieval was mediated by high pressure in a citrate buffer (pH 6.0). Section was blocked with 10% normal goat serum 30min at RT. Then primary antibody (1% BSA) was incubated at 4°C overnight. The primary is detected by a biotinylated secondary antibody and visualized using an HRP conjugated SP system.
-
Immunofluorescence staining of HepG2 cells with CSB-PA021368LA01HU at 1:66, counter-stained with DAPI. The cells were fixed in 4% formaldehyde, permeabilized using 0.2% Triton X-100 and blocked in 10% normal Goat Serum. The cells were then incubated with the antibody overnight at 4°C. The secondary antibody was Alexa Fluor 488-congugated AffiniPure Goat Anti-Rabbit IgG(H+L).
-
-
其他:
產品詳情
-
產品名稱:Rabbit anti-Homo sapiens (Human) SLAMF6 Polyclonal antibody
-
Uniprot No.:
-
基因名:
-
別名:Activating NK receptor antibody; CD352 antibody; KALI antibody; KALIb antibody; LY108 antibody; MGC104953 antibody; Natural killer T and B cell antigen antibody; NK T B antigen antibody; NK-; T-; and B-cell antigen antibody; NK-T-B-antigen antibody; NTB A antibody; NTB-A antibody; NTBA antibody; NTBA receptor antibody; SF2000 antibody; SLAF6_HUMAN antibody; SLAM family member 6 antibody; SLAM family member 6 precursor antibody; SLAM Family Receptor antibody; Slamf6 antibody
-
宿主:Rabbit
-
反應種屬:Human, Mouse
-
免疫原:Recombinant Human SLAM family member 6 protein (248-331AA)
-
免疫原種屬:Homo sapiens (Human)
-
標記方式:Non-conjugated
本頁面中的產品,SLAMF6 Antibody (CSB-PA021368LA01HU),的標記方式是Non-conjugated。對于SLAMF6 Antibody,我們還提供其他標記。見下表:
-
克隆類型:Polyclonal
-
抗體亞型:IgG
-
純化方式:>95%, Protein G purified
-
濃度:It differs from different batches. Please contact us to confirm it.
-
保存緩沖液:Preservative: 0.03% Proclin 300
Constituents: 50% Glycerol, 0.01M PBS, pH 7.4 -
產品提供形式:Liquid
-
應用范圍:ELISA, WB, IHC, IF
-
推薦稀釋比:
Application Recommended Dilution WB 1:500-1:5000 IHC 1:200-1:500 IF 1:50-1:200 -
Protocols:
-
儲存條件:Upon receipt, store at -20°C or -80°C. Avoid repeated freeze.
-
貨期:Basically, we can dispatch the products out in 1-3 working days after receiving your orders. Delivery time maybe differs from different purchasing way or location, please kindly consult your local distributors for specific delivery time.
-
用途:For Research Use Only. Not for use in diagnostic or therapeutic procedures.
引用文獻
- A novel autoantibody signatures for enhanced clinical diagnosis of pancreatic ductal adenocarcinoma T Li,Cancer cell international,2023
相關產品
靶點詳情
-
功能:Self-ligand receptor of the signaling lymphocytic activation molecule (SLAM) family. SLAM receptors triggered by homo- or heterotypic cell-cell interactions are modulating the activation and differentiation of a wide variety of immune cells and thus are involved in the regulation and interconnection of both innate and adaptive immune response. Activities are controlled by presence or absence of small cytoplasmic adapter proteins, SH2D1A/SAP and/or SH2D1B/EAT-2. Triggers cytolytic activity only in natural killer cells (NK) expressing high surface densities of natural cytotoxicity receptors. Positive signaling in NK cells implicates phosphorylation of VAV1. NK cell activation seems to depend on SH2D1B and not on SH2D1A. In conjunction with SLAMF1 controls the transition between positive selection and the subsequent expansion and differentiation of the thymocytic natural killer T (NKT) cell lineage. Promotes T-cell differentiation into a helper T-cell Th17 phenotype leading to increased IL-17 secretion; the costimulatory activity requires SH2D1A. Promotes recruitment of RORC to the IL-17 promoter. In conjunction with SLAMF1 and CD84/SLAMF5 may be a negative regulator of the humoral immune response. In the absence of SH2D1A/SAP can transmit negative signals to CD4(+) T-cells and NKT cells. Negatively regulates germinal center formation by inhibiting T-cell:B-cell adhesion; the function probably implicates increased association with PTPN6/SHP-1 via ITSMs in absence of SH2D1A/SAP. However, reported to be involved in maintaining B-cell tolerance in germinal centers and in preventing autoimmunity.
-
基因功能參考文獻:
- these results showed that the NTB-A/SAP pathway regulates T-cell activation and restimulation-induced cell death during human tuberculosis PMID: 28546549
- in addition to its established role in Invariant NKT(iNKT) cell ontogeny, Ly108 regulates iNKT cell function in mice and humans PMID: 28373584
- In addition to their role in NK cell activation by hematopoietic cells, the SLAM-SAP-SHP1 pathways influence responsiveness toward nonhematopoietic targets by a process akin to NK cell 'education'. PMID: 26878112
- our data reveal how SAP nucleates a previously unknown signaling complex involving NTB-A and LCK to potentiate restimulation-induced cell death of activated human T cells. PMID: 24688028
- Together, these results suggest that the reduction of NTB-A from the cell surface is associated with the Vpu-mediated effect on the glycosylation pattern of newly synthesized NTB-A molecules. PMID: 23528733
- Data indicate that the dominance of the SLAMF3/SLAMF6 pathway in inducing IL-17A production can be attributed to an increased nuclear abundance and recruitment of RORgammat to the IL17A promoter. PMID: 22989874
- SLAMF3 and SLAMF6 T cell surface expression and IL-17 levels significantly correlate with disease activity in systemic lupus erythematosus patients PMID: 22184727
- Although the expression of SLAMF6 on the surface of T cells from patients with systemic lupus erythematosus (SLE) T cells is comparable to that on the normal T cells, engagement of SLAMF6 results in severely reduced Th1 and IL-2 cytokine production PMID: 21231893
- Vpu downmodulation of NTB-A protects the infected cell from lysis by NK cells. PMID: 21075351
- regulation of interferon-gamma secretion, and not interleukin-4 in vitro, as well as inhibition of Th1 cell-induced isotype switching and attenuation of experimental allergic encephalomyelitis identifies NTB-A as a regulator of T cell response PMID: 14988414
- NTB-A is an interlymphocyte signaling molecule, which serves to orchestrate the activities of immune cells. PMID: 15153464
- NTB-A-mediated IFN-gamma production was greatly reduced in the absence of SLAM-associated protein (SAP), demonstrating that cytokine production and cytotoxicity are differentially dependent on SAP and possibly EAT-2 PMID: 16920955
- The 3.0 A crystal structure of the complete NTB-A ectodomain revealed a rod-like monomer that self-associates to form a highly kinked dimer spanning an end-to-end distance of approximately 100 A. PMID: 17045824
顯示更多
收起更多
-
亞細胞定位:Cell membrane; Single-pass type I membrane protein.
-
組織特異性:Expressed by all (resting and activated) natural killer cells (NK), T- and B-lymphocytes. Increased surface expression on T-cells of systemic lupus erythematosus (SLE) patients.
-
數據庫鏈接:
Most popular with customers
-
-
YWHAB Recombinant Monoclonal Antibody
Applications: ELISA, WB, IHC, IF, FC
Species Reactivity: Human, Mouse, Rat
-
Phospho-YAP1 (S127) Recombinant Monoclonal Antibody
Applications: ELISA, WB, IHC
Species Reactivity: Human
-
-
-
-
-















