SIGLEC8 Antibody
-
中文名稱:SIGLEC8兔多克隆抗體
-
貨號:CSB-PA555966
-
規格:¥1100
-
圖片:
-
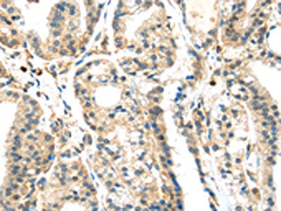
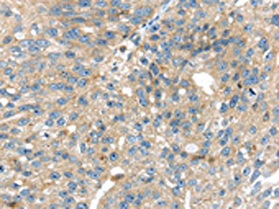
The image on the left is immunohistochemistry of paraffin-embedded Human breast cancer tissue using CSB-PA555966(SIGLEC8 Antibody) at dilution 1/25, on the right is treated with synthetic peptide. (Original magnification: ×200)
-
The image on the left is immunohistochemistry of paraffin-embedded Human thyroid cancer tissue using CSB-PA555966(SIGLEC8 Antibody) at dilution 1/25, on the right is treated with synthetic peptide. (Original magnification: ×200)
-
-
其他:
產品詳情
-
Uniprot No.:
-
基因名:
-
別名:CD329 antigen antibody; CDw329 antibody; SAF 2 antibody; SAF-2 antibody; SAF2 antibody; Sialic acid binding Ig like lectin 8 antibody; Sialic acid-binding Ig-like lectin 8 antibody; Sialoadhesin family member 2 antibody; SIGL8_HUMAN antibody; Siglec 8 antibody; Siglec-8 antibody; SIGLEC8 antibody; SIGLEC8L antibody
-
宿主:Rabbit
-
反應種屬:Human
-
免疫原:Synthetic peptide of Human SIGLEC8
-
免疫原種屬:Homo sapiens (Human)
-
標記方式:Non-conjugated
-
抗體亞型:IgG
-
純化方式:Antigen affinity purification
-
濃度:It differs from different batches. Please contact us to confirm it.
-
保存緩沖液:-20°C, pH7.4 PBS, 0.05% NaN3, 40% Glycerol
-
產品提供形式:Liquid
-
應用范圍:ELISA,IHC
-
推薦稀釋比:
Application Recommended Dilution ELISA 1:2000-1:5000 IHC 1:25-1:100 -
Protocols:
-
儲存條件:Upon receipt, store at -20°C or -80°C. Avoid repeated freeze.
-
貨期:Basically, we can dispatch the products out in 1-3 working days after receiving your orders. Delivery time maybe differs from different purchasing way or location, please kindly consult your local distributors for specific delivery time.
-
用途:For Research Use Only. Not for use in diagnostic or therapeutic procedures.
相關產品
靶點詳情
-
功能:Putative adhesion molecule that mediates sialic-acid dependent binding to red blood cells. Preferentially binds to alpha-2,3-linked sialic acid. Also binds to alpha-2,6-linked sialic acid. The sialic acid recognition site may be masked by cis interactions with sialic acids on the same cell surface. Recognizes simultaneously epitopes having a terminal N-acetylneuraminic acid (sialic acid) and an underlying 6-O-sulfated galactose. Preferentially binds to Gal-6-sulfated sialyl-Lewis X glycan epitopes.
-
基因功能參考文獻:
- In differentiating ,eosinophils, SIGLEC-8 messenger RNA and protein were markedly down-regulated in parallel with OLIG2 by an OLIG2 small interfering RNA or a short hairpin RNA. An E-box in the first intron was found to stimulate SIGLEC-8 gene transcription and to bind OLIG2. PMID: 27154355
- miR-215 acts in concert with the host gene IARS2 to affect neuron migration and proliferation through the target gene SIGLEC-8. PMID: 28006787
- Our study suggested that intratumoral Siglec-8 expression was an independent prognostic factor for overall survival of patients with gastric cancer PMID: 26883254
- Siglec-8 expression is sensitive to tiotropium and formoterol, indicating that it may be involved in COPD pathogenesis and may influence COPD phenotyping PMID: 23835953
- In activated eosinophils ligation of Siglec-8 leads to ROS-dependent enhancement of IL-5-induced ERK phosphorylation, which results in a novel mode of biochemically regulated eosinophil cell death. PMID: 23684072
- Engagement of Siglec-8 on blood eosinophils results in caspase- and mitochondria-dependent apoptosis. PMID: 22324980
- Report the development of a sensitive competitive ELISA to detect sSiglec-8 in human serum samples obtained from patients with various forms of eosinophilia. PMID: 22683541
- Eosinophils primed by IL-33 and/or IL-5 in vivo would be expected to display enhanced susceptibility to undergoing Siglec-8-induced apoptosis. PMID: 22079334
- expressed on eosinophils and basophils from subjects with chronic eosinophilic leukemia, chronic myelogenous leukemia, and on malignant and non-malignant bone marrow mast cells PMID: 21938510
- The Siglec-8 gene may be a susceptibility locus for asthma. PMID: 20087405
- Sialic acid binding immunoglobulin-like lectin 8 (Siglec-8) cross-linking with antibodies rapidly generated caspase-3-like activity and reduced eosinophil viability through induction of apoptosis PMID: 12609831
- Siglec-8 binds preferentially to a sLex structure bearing an additional sulfate ester on the galactose 6-hydroxyl PMID: 15563466
- Siglec-8-induced apoptosis in eosinophils occurs through the sequential production of reactive oxygen species, followed by induction of mitochondrial injury and caspase cleavage. PMID: 16157303
- IL-5 priming enhances Siglec-8-mediated mitochondrial and ROS-dependent eosinophil apoptosis and eliminates caspase dependence. PMID: 17690326
- First reported inhibitory effects of Siglec engagement on human mast cells. PMID: 18036650
- A review of the cytotoxic effects of natural anti-Siglec8 autoantibodies on both neutrophils and eosinophils. PMID: 18558361
- REVIEW: Siglec-8 and Siglec-F function on human eosinophils, and Siglec-8 function on mast cells PMID: 19178537
- Selective and specific engagement and binding of Siglec-8 on eosinophils by a synthetic 6'-sulfo-sLe(x)-containing ligand could be useful for controlling eosinophilic inflammatory responses in vivo. PMID: 19458105
顯示更多
收起更多
-
亞細胞定位:Membrane; Single-pass type I membrane protein.
-
蛋白家族:Immunoglobulin superfamily, SIGLEC (sialic acid binding Ig-like lectin) family
-
組織特異性:Expressed specifically on red blood cells namely basophil, mast cells and eosinophils.
-
數據庫鏈接:
Most popular with customers
-
-
Phospho-YAP1 (S127) Recombinant Monoclonal Antibody
Applications: ELISA, WB, IHC
Species Reactivity: Human
-
-
-
-
-
-















