SENP6 Antibody
-
中文名稱:SENP6兔多克隆抗體
-
貨號:CSB-PA250761
-
規格:¥1100
-
圖片:
-
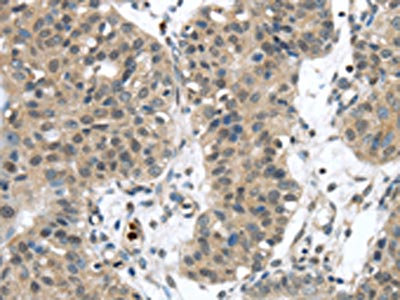
The image on the left is immunohistochemistry of paraffin-embedded Human breast cancer tissue using CSB-PA250761(SENP6 Antibody) at dilution 1/20, on the right is treated with synthetic peptide. (Original magnification: ×200)
-
Gel: 6%SDS-PAGE,Lysate: 40 μg,Lane 1-2: Hela cells, K562 cells,Primary antibody: CSB-PA250761(SENP6 Antibody) at dilution 1/450 dilution,Secondary antibody: Goat anti rabbit IgG at 1/8000 dilution,Exposure time: 5 minutes
-
-
其他:
產品詳情
-
Uniprot No.:
-
基因名:SENP6
-
別名:2810017C20Rik antibody; FLJ11355 antibody; FLJ11887 antibody; KIAA0389 antibody; KIAA0797 antibody; SENP 6 antibody; Senp6 antibody; SENP6_HUMAN antibody; Sentrin specific protease 6 antibody; Sentrin-specific protease 6 antibody; Sentrin/SUMO specific protease SENP6 antibody; Sentrin/SUMO-specific protease SENP6 antibody; SSP 1 antibody; SSP1 antibody; SUMO 1 specific protease 1 antibody; SUMO 1 specific protease antibody; SUMO-1-specific protease 1 antibody; SUMO1 specific protease 1 antibody; SUMO1 specific protease antibody; SUMO1/sentrin specific peptidase 6 antibody; SUSP 1 antibody; SUSP1 antibody
-
宿主:Rabbit
-
反應種屬:Human
-
免疫原:Synthetic peptide of Human SENP6
-
免疫原種屬:Homo sapiens (Human)
-
標記方式:Non-conjugated
-
抗體亞型:IgG
-
純化方式:Antigen affinity purification
-
濃度:It differs from different batches. Please contact us to confirm it.
-
保存緩沖液:-20°C, pH7.4 PBS, 0.05% NaN3, 40% Glycerol
-
產品提供形式:Liquid
-
應用范圍:ELISA,WB,IHC
-
推薦稀釋比:
Application Recommended Dilution ELISA 1:1000-1:2000 WB 1:200-1:1000 IHC 1:25-1:100 -
Protocols:
-
儲存條件:Upon receipt, store at -20°C or -80°C. Avoid repeated freeze.
-
貨期:Basically, we can dispatch the products out in 1-3 working days after receiving your orders. Delivery time maybe differs from different purchasing way or location, please kindly consult your local distributors for specific delivery time.
-
用途:For Research Use Only. Not for use in diagnostic or therapeutic procedures.
相關產品
靶點詳情
-
功能:Protease that deconjugates SUMO1, SUMO2 and SUMO3 from targeted proteins. Processes preferentially poly-SUMO2 and poly-SUMO3 chains, but does not efficiently process SUMO1, SUMO2 and SUMO3 precursors. Deconjugates SUMO1 from RXRA, leading to transcriptional activation. Involved in chromosome alignment and spindle assembly, by regulating the kinetochore CENPH-CENPI-CENPK complex. Desumoylates PML and CENPI, protecting them from degradation by the ubiquitin ligase RNF4, which targets polysumoylated proteins for proteasomal degradation. Desumoylates also RPA1, thus preventing recruitment of RAD51 to the DNA damage foci to initiate DNA repair through homologous recombination.
-
基因功能參考文獻:
- LANA could bind to the promoter region of the SENP6 gene and inhibit SENP6 expression while the regulated SENP6 could in turn modulate the abundance of LANA through desumoylation. PMID: 28615201
- the structure of SENP2-Loop1 in complex with SUMO2 was solved at 2.15 A resolution, and reveals the details of an interface exclusive to SENP6/7 and the formation of unique contacts between both proteins PMID: 24424631
- Loop 1 insertion in SENP6 and SENP7 as a platform to discriminate between SUMO1 and SUMO2/3 isoforms in this subclass of the SUMO protease family. PMID: 21878624
- study of substrate specificity of SENP6; it is also capable of cleaving mixed chains of SUMO-1 and SUMO-2/3; mutation of catalytic cysteine of results in its accumulation in PML NBs; findings indicate SUMO-modified PML is a substrate of SENP6 PMID: 21148299
- Results reveal a novel mechanism whereby the finely balanced activities of SENP6 and RNF4 control vertebrate kinetochore assembly through SUMO-targeted destabilization of inner plate components. PMID: 20212317
- SENP1 localization is influenced by expression and localization of SUMO-1-conjugated target proteins within the cell. PMID: 14563852
- SUSP1 plays an important role in the control of the transcriptional activity of RXRalpha and thus in the RXRalpha-mediated cellular processes PMID: 16912044
- We have investigated the specificity of SUSP1 using vinyl sulfone inhibitors and model substrates. SUSP1 has a strong paralogue bias toward SUMO2/3 and acts preferentially on substrates containing three or more SUMO2/3 moieties PMID: 17000875
- SENP6 and SENP7 exhibit lower rates for processing pre-SUMO1, pre-SUMO2, or pre-SUMO3 in comparison with SENP2 PMID: 18799455
顯示更多
收起更多
-
亞細胞定位:Nucleus.
-
蛋白家族:Peptidase C48 family
-
組織特異性:Highly expressed in reproductive organs, such as testis, ovary and prostate.
-
數據庫鏈接:
Most popular with customers
-
-
YWHAB Recombinant Monoclonal Antibody
Applications: ELISA, WB, IHC, IF, FC
Species Reactivity: Human, Mouse, Rat
-
Phospho-YAP1 (S127) Recombinant Monoclonal Antibody
Applications: ELISA, WB, IHC
Species Reactivity: Human
-
-
-
-
-















