SCPEP1 Antibody
-
中文名稱:SCPEP1兔多克隆抗體
-
貨號:CSB-PA115388
-
規格:¥1100
-
圖片:
-
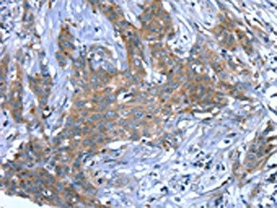
The image on the left is immunohistochemistry of paraffin-embedded Human cervical cancer tissue using CSB-PA115388(SCPEP1 Antibody) at dilution 1/30, on the right is treated with fusion protein. (Original magnification: ×200)
-
Gel: 8%SDS-PAGE, Lysate: 40 μg, Lane: 231 cells, Primary antibody: CSB-PA115388(SCPEP1 Antibody) at dilution 1/300, Secondary antibody: Goat anti rabbit IgG at 1/8000 dilution, Exposure time: 5 seconds
-
-
其他:
產品詳情
-
Uniprot No.:
-
基因名:SCPEP1
-
別名:HSCP 1 antibody; HSCP1 antibody; Likely homolog of rat and mouse retinoid inducible serine carboxypeptidase antibody; MSTP034 antibody; Retinoid inducible serine carboxypeptidase antibody; Retinoid inducible serine carboxypeptidase precursor antibody; Retinoid-inducible serine carboxypeptidase antibody; RISC antibody; RISC_HUMAN antibody; SCP 1 antibody; SCP1 antibody; SCPEP 1 antibody; SCPEP1 antibody; Serine carboxypeptidase 1 antibody; Serine carboxypeptidase 1 precursor protein antibody; UNQ265/PRO302 antibody
-
宿主:Rabbit
-
反應種屬:Human,Mouse,Rat
-
免疫原:Fusion protein of Human SCPEP1
-
免疫原種屬:Homo sapiens (Human)
-
標記方式:Non-conjugated
-
抗體亞型:IgG
-
純化方式:Antigen affinity purification
-
濃度:It differs from different batches. Please contact us to confirm it.
-
保存緩沖液:-20°C, pH7.4 PBS, 0.05% NaN3, 40% Glycerol
-
產品提供形式:Liquid
-
應用范圍:ELISA,WB,IHC
-
推薦稀釋比:
Application Recommended Dilution ELISA 1:1000-1:2000 WB 1:200-1:1000 IHC 1:25-1:100 -
Protocols:
-
儲存條件:Upon receipt, store at -20°C or -80°C. Avoid repeated freeze.
-
貨期:Basically, we can dispatch the products out in 1-3 working days after receiving your orders. Delivery time maybe differs from different purchasing way or location, please kindly consult your local distributors for specific delivery time.
-
用途:For Research Use Only. Not for use in diagnostic or therapeutic procedures.
相關產品
靶點詳情
-
功能:May be involved in vascular wall and kidney homeostasis.
-
基因功能參考文獻:
- The structures of active lysosomal serine carboxypeptidase cathepsin A and the inactive precursor are very similar. PMID: 24530914
- RACK1 binds to KH-type splicing regulatory protein (KSRP), a member of the Dicer complex, and is required for the recruitment of mature miRNAs to the RNA-induced silencing complex (RISC). PMID: 21935400
-
亞細胞定位:Secreted.
-
蛋白家族:Peptidase S10 family
-
數據庫鏈接:
Most popular with customers
-
-
YWHAB Recombinant Monoclonal Antibody
Applications: ELISA, WB, IHC, IF, FC
Species Reactivity: Human, Mouse, Rat
-
Phospho-YAP1 (S127) Recombinant Monoclonal Antibody
Applications: ELISA, WB, IHC
Species Reactivity: Human
-
-
-
-
-















