S1PR4 Antibody
-
中文名稱:S1PR4兔多克隆抗體
-
貨號:CSB-PA136242
-
規格:¥1100
-
圖片:
-
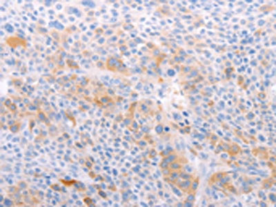
The image on the left is immunohistochemistry of paraffin-embedded Human liver cancer tissue using CSB-PA136242(S1PR4 Antibody) at dilution 1/40, on the right is treated with synthetic peptide. (Original magnification: ×200)
-
Gel: 10%SDS-PAGE, Lysate: 50 μg, Lane: Rat kidney tissue, Primary antibody: CSB-PA136242(S1PR4 Antibody) at dilution 1/800, Secondary antibody: Goat anti rabbit IgG at 1/8000 dilution, Exposure time: 20 seconds
-
-
其他:
產品詳情
-
Uniprot No.:
-
基因名:
-
別名:S1PR4; EDG6; Sphingosine 1-phosphate receptor 4; S1P receptor 4; S1P4; Endothelial differentiation G-protein coupled receptor 6; Sphingosine 1-phosphate receptor Edg-6; S1P receptor Edg-6
-
宿主:Rabbit
-
反應種屬:Human,Mouse
-
免疫原:Synthetic peptide of Human S1PR4
-
免疫原種屬:Homo sapiens (Human)
-
標記方式:Non-conjugated
-
抗體亞型:IgG
-
純化方式:Antigen affinity purification
-
濃度:It differs from different batches. Please contact us to confirm it.
-
保存緩沖液:-20°C, pH7.4 PBS, 0.05% NaN3, 40% Glycerol
-
產品提供形式:Liquid
-
應用范圍:ELISA,WB,IHC
-
推薦稀釋比:
Application Recommended Dilution ELISA 1:2000-1:5000 WB 1:500-1:2000 IHC 1:25-1:100 -
Protocols:
-
儲存條件:Upon receipt, store at -20°C or -80°C. Avoid repeated freeze.
-
貨期:Basically, we can dispatch the products out in 1-3 working days after receiving your orders. Delivery time maybe differs from different purchasing way or location, please kindly consult your local distributors for specific delivery time.
-
用途:For Research Use Only. Not for use in diagnostic or therapeutic procedures.
相關產品
靶點詳情
-
功能:Receptor for the lysosphingolipid sphingosine 1-phosphate (S1P). S1P is a bioactive lysophospholipid that elicits diverse physiological effect on most types of cells and tissues. May be involved in cell migration processes that are specific for lymphocytes.
-
基因功能參考文獻:
- High S1PR4 expression is associated with anti-neutrophil cytoplasmic antibody-associated vasculitis. PMID: 28206609
- S1PR4 missense mutation is associated with variant blood cell traits. PMID: 27399967
- Shear stress did not induce rapid dephosphorylation of beta-arrestin-1 or rapid internalization of S1P3, indicating no GPCR activation. These findings suggest that Galphaq/11 participates in the sensing/transducing of shear stress independently of GPCR activation in ECs. PMID: 28148497
- Ig-like transcript 7 is rapidly internalized upon receptor-mediated endocytosis of TLR7/9 ligands to allow high IFN-alpha production. This is antagonized by S1PR4 signaling, thus decreasing TLR-induced IFN-alpha secretion. PMID: 26783340
- S1P2 translocation to the nucleus is regulated by an autocrine loop involving S1P and S1P4. In contrast, the translocation of Y416 phosphorylated c-Src to the nucleus appears to be regulated by a mechanism that does not involve S1P3 or S1P4. PMID: 24486401
- analysis of novel potent and selective sphingosine-1-phosphate 4 receptor (S1P-R) agonists PMID: 22119461
- findings highlight an important role for S1P(4) and SK1 in ER(-) breast cancer progression. PMID: 22460268
- Data show that S1P4 uses HER2 to regulate extracellular signal regulated kinase-1/2 MDA-MB-453 breast cancer cells. PMID: 20837468
- Data report that sphingosine 1-phosphate receptor 4 (S1P(4)) is specifically up-regulated during the development of human megakaryocytes from progenitor cells PMID: 20686109
- Mutation of the ligand selectivity residue from glutamic acid to glutamine confers lysophosphatidic acid sensitivity with preference for short-chain species PMID: 15298705
- FOXO1 controls the expression of L-selectin and EDG1 and EDG6, receptors that regulate lymphocyte trafficking PMID: 18713968
顯示更多
收起更多
-
亞細胞定位:Cell membrane; Multi-pass membrane protein.
-
蛋白家族:G-protein coupled receptor 1 family
-
組織特異性:Specifically expressed in fetal and adult lymphoid and hematopoietic tissue as well as in lung. Considerable level of expression in adult and fetal spleen as well as adult peripheral leukocytes and lung. Lower expression in adult thymus, lymph node, bone
-
數據庫鏈接:
Most popular with customers
-
-
YWHAB Recombinant Monoclonal Antibody
Applications: ELISA, WB, IHC, IF, FC
Species Reactivity: Human, Mouse, Rat
-
Phospho-YAP1 (S127) Recombinant Monoclonal Antibody
Applications: ELISA, WB, IHC
Species Reactivity: Human
-
-
-
-
-















