S100A4 Antibody
-
中文名稱:S100A4兔多克隆抗體
-
貨號:CSB-PA020632HA01HU
-
規格:¥440
-
圖片:
-
Western blot
All lanes: S100A4 antibody at 2µg/ml + A549 whole cell lysate
Secondary
Goat polyclonal to rabbit IgG at 1/10000 dilution
Predicted band size: 12 kDa
Observed band size: 12 kDa -
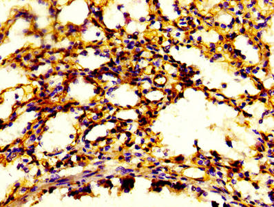
IHC image of CSB-PA020632HA01HU diluted at 1:600 and staining in paraffin-embedded human lung tissue performed on a Leica BondTM system. After dewaxing and hydration, antigen retrieval was mediated by high pressure in a citrate buffer (pH 6.0). Section was blocked with 10% normal goat serum 30min at RT. Then primary antibody (1% BSA) was incubated at 4°C overnight. The primary is detected by a biotinylated secondary antibody and visualized using an HRP conjugated SP system.
-
IHC image of CSB-PA020632HA01HU diluted at 1:600 and staining in paraffin-embedded human tonsil tissue performed on a Leica BondTM system. After dewaxing and hydration, antigen retrieval was mediated by high pressure in a citrate buffer (pH 6.0). Section was blocked with 10% normal goat serum 30min at RT. Then primary antibody (1% BSA) was incubated at 4°C overnight. The primary is detected by a biotinylated secondary antibody and visualized using an HRP conjugated SP system.
-
-
其他:
產品詳情
-
產品描述:
Immunization of rabbits with the recombinant human protein S100A4 (2-100AA) and subsequent protein G-mediated purification from the resulting anti-serum lead to the generation of the S100A4 antibody. This S100A4 antibody is a polyclonal antibody and occurs as an unconjugated IgG. Its purity reaches over 95%. It only reacts with human S100A4 protein. And it is suitable for use in ELISA, WB, and IHC assays. The target protein S100A4 protein is a Ca2+-binding protein with a significant role in promoting cancer progression and metastasis. It is also involved in fibrosis, inflammation, immune response, neuroprotection, angiogenesis, and pathogenesis of some common non-tumor diseases.
-
產品名稱:Rabbit anti-Homo sapiens (Human) S100A4 Polyclonal antibody
-
Uniprot No.:
-
基因名:
-
別名:18A2 antibody; 42A antibody; calcium Placental protein antibody; Calvasculin antibody; CAPL antibody; Fibroblast specific protein 1 (FSP1) antibody; Fibroblast specific protein 1 antibody; Fibroblast specific protein antibody; FSP1 antibody; Leukemia multidrug resistance associated protein antibody; Malignant transformation suppression 1 (MTS1) antibody; Malignant transformation suppression 1 antibody; Metastasin antibody; MTS1 antibody; OTTHUMP00000015467 antibody; OTTHUMP00000015468 antibody; P9KA antibody; PEL98 antibody; Placental calcium-binding protein antibody; Protein Mts1 antibody; Protein S100 A4 antibody; Protein S100-A4 antibody; S100 calcium binding protein A4 (calcium protein, calvasculin, metastasin, murine placental homolog) antibody; S100 calcium binding protein A4 antibody; S100 calcium-binding protein A4 antibody; S100a4 antibody; S10A4_HUMAN antibody
-
宿主:Rabbit
-
反應種屬:Human
-
免疫原:Recombinant Human Protein S100-A4 protein (2-101AA)
-
免疫原種屬:Homo sapiens (Human)
-
標記方式:Non-conjugated
本頁面中的產品,S100A4 Antibody (CSB-PA020632HA01HU),的標記方式是Non-conjugated。對于S100A4 Antibody,我們還提供其他標記。見下表:
-
克隆類型:Polyclonal
-
抗體亞型:IgG
-
純化方式:>95%, Protein G purified
-
濃度:It differs from different batches. Please contact us to confirm it.
-
保存緩沖液:Preservative: 0.03% Proclin 300
Constituents: 50% Glycerol, 0.01M PBS, PH 7.4 -
產品提供形式:Liquid
-
應用范圍:ELISA, WB, IHC
-
推薦稀釋比:
Application Recommended Dilution WB 1:500-1:5000 IHC 1:500-1:1000 -
Protocols:
-
儲存條件:Upon receipt, store at -20°C or -80°C. Avoid repeated freeze.
-
貨期:Basically, we can dispatch the products out in 1-3 working days after receiving your orders. Delivery time maybe differs from different purchasing way or location, please kindly consult your local distributors for specific delivery time.
-
用途:For Research Use Only. Not for use in diagnostic or therapeutic procedures.
相關產品
靶點詳情
-
功能:Calcium-binding protein that plays a role in various cellular processes including motility, angiogenesis, cell differentiation, apoptosis, and autophagy. Increases cell motility and invasiveness by interacting with non-muscle myosin heavy chain (NMMHC) IIA/MYH9. Mechanistically, promotes filament depolymerization and increases the amount of soluble myosin-IIA, resulting in the formation of stable protrusions facilitating chemotaxis. Modulates also the pro-apoptotic function of TP53 by binding to its C-terminal transactivation domain within the nucleus and reducing its protein levels. Within the extracellular space, stimulates cytokine production including granulocyte colony-stimulating factor and CCL24 from T-lymphocytes. In addition, stimulates T-lymphocyte chemotaxis by acting as a chemoattractant complex with PGLYRP1 that promotes lymphocyte migration via CCR5 and CXCR3 receptors.
-
基因功能參考文獻:
- ERRgamma may exert oncogenic activity mainly associated with aggressiveness of EC by activating S100A4 transcription. PMID: 29901152
- S100A4 expression is induced by the TGF-beta pathway,. PMID: 29141874
- This meta-analysis showed that overexpression of S100A4 seems to be associated with tumor progression and poor prognosis of PC patients. PMID: 29578167
- clusterin promotes growth and invasion in renal cell carcinoma cells in vitro and in vivo through upregulation of S100A4 PMID: 29400663
- miR-3189-3p mimics enhanced the effects of the S100A4 siRNA on the inhibition of gastric cancer cell proliferation and migration by targeting CFL2. PMID: 29342841
- Urine S100A4 shows the most promise as an lupus nephritis (LN) activity biomarker. PMID: 29065913
- S100A4 is up-regulated in cervical adenocarcinomas and squamous cell carcinomas. PMID: 28921916
- Network analysis of overlapping genes revealed the effects on tubulins (Tubb2a, Tubb3, Tubb4b), Nfe2l2, S100a4, Cd44, and Nfkb2, all of which are linked to TBI-relevant outcomes, including epileptogenesis and tissue repair PMID: 27530814
- Authors first provide experimental evidence suggesting that FAM107B was downregulated by S100A4 in gastric cancer MGC803 cells. And FAM107B at least partially mediates the biological effect of S100A4 in the cells. PMID: 28675500
- MiR-187 could interact with S100A4 3'-UTR. PMID: 29303365
- Both the calcium-binding ability and the C-terminal region of S100A4 are important for cancer initiatin cells to sustain their stemness properties and malignancy in head and neck cancers. PMID: 27793047
- Studied the role and expression of MIR296 in the metastasis and epithelial-mesenchymal transition of colorectal cancer. Found MIR296 inhibited migration and invasion of tumor cells, as well as suppressed S100A4 abundance in tumor cells. PMID: 28209128
- S100A4-expression was associated with poor outcome in early-stage breast cancer, but the low percentage of positive tumors and the modest survival differences imply that the clinical utility in selection of patients for adjuvant treatment is limited. PMID: 28058579
- The relative expression of S100A4 mRNA was higher when mod-SHEM was used, although significant differences were detected only when the expression levels were compared with those found in LPCs incubated with IOBA-FBS PMID: 27911610
- High S100A4 expression is associated with Mesenchymal Transition in Glioblastoma. PMID: 28807938
- our findings demonstrate that S100A4 is post-transcriptionally regulated by tumor suppressor microRNAs PMID: 28423501
- findings indicate that Idiopathic pulmonary fibrosis mesenchymal progenitor cells are intrinsically fibrogenic and that S100A4 confers mesenchymal progenitor cells with fibrogenicity. PMID: 28530639
- S100a4 is expressed in a limited number of stromal cells throughout the colon. S100A4 was mainly localised in the colorectal tumour-associated stroma, it was also detectable in a limited number of epithelial tumour cells. PMID: 27750112
- our results suggest the existence of evolutionarily conserved pathways used by S100A4 to promote metastatic dissemination PMID: 27927689
- miR-187-3p inhibits the migration/metastasis and epithelial mesenchymal transition in hepatocellular carcinoma by targeting S100A4 expression. PMID: 27544906
- our findings highlight nuclear S100A4 as a candidate therapeutic target in cholangiocarcinoma and establish a mechanistic rationale for the use of low-dose paclitaxel in blocking metastatic progression of cholangiocarcinoma PMID: 27328733
- The increased content of collagen fibers and overexpression of S100A4 and P53 may play an important role in myocardial fibrosis of HCM, and they can be used in future HCM research. Blockade of S100A4 may have therapeutic potential in HCM by attenuating cardiac fibrosis. PMID: 26781584
- The experimental and in silico results suggest two divergent evolutionary pathways: NMIIA and NMIIB evolved to possess S100A4-dependent and -independent regulations, respectively. PMID: 27029887
- Results found that CNE-1 nasopharyngeal carcinoma cell (NPC) line expressing S100A4 showed significantly increased invasion ability in vitro and in vivo. Also, it seems that aberrant DNA hypomethylation of its promotor region might lead to the metastasis progression in EBV-associated NPC. PMID: 26292668
- Oct-1 modifies S100A4 exchange between intra- and extracellular compartments in Namalwa cells and increases their sensitivity to glucocorticoids. PMID: 27096393
- ChIP studies showed that the S100A4 protein binds to the GDF15 promoter, implicating S100A4 in GDF15 regulation at the transcriptional level. PMID: 27278086
- Cell invasion (matrigel) was reduced only in the Hs578T cells (p < 0.01). Silencing decreased the expression of the prometastatic molecules S100A4 and TGFbetaR2 in both cell lines and CD44 in Hs578T cells .We conclude that ECM1 is a key player in the metastatic process and regulates the actin cytoskeletal architecture of aggressive breast cancer cells at least in part via alterations in S100A4 and Rho A. PMID: 27770373
- Aberrant S100A4 expression may predictendometrial cancer (EC) progression and play an important role in regulating EC cell invasion through Epithelial-mesenchymal transition (EMT) regulation. PMID: 27109209
- S100A4 could promote the invasion ability of breast cancer cells via EMT, more importantly, it could participate in EMT via regulating MMP2 in breast cancer. PMID: 26409452
- our results demonstrate not only that high expression of S100A4 contributes to an aggressive phenotype of EC, but also that its elevated expression is closely related to the MELF histopathological pattern. PMID: 27348205
- S100A4, A8, and A9 proteins represent promising marker genes to evaluate the risk potential of suspicious oral lesions in molecular pathology. PMID: 27294692
- Increased S100A4 expression is associated with thyroid papillary carcinoma. PMID: 26715280
- Comparative analysis of various tumor lines showed no clear correlation between the expression level of Mts1/S100A4 and the content of Oct-1. However, at stable transfection of tumor cells with Oct-1A, Oct-1L, and Oct-1X isoforms we detected an elevated level of Oct-1, which stimulated Mts1/S100A4 secretion. PMID: 27193714
- We studied the expression of S100A4 and the total PHF10 protein in some human cancer cell lines. We have found that, in the cell lines studied, the PHF10 expression is correlated with the S100A4 expression. PMID: 27193724
- These results support the hypothesis that S100A4 contributes significantly to growth and metastasis, and that down-regulation of S100A4 expression decreases the metastatic potential of ATC cells. PMID: 27802204
- Interaction of extracellular S100A4 with RAGE prompts prometastatic activation of melanoma cells. PMID: 26928771
- Study shows that negative expression of S100A4 was significantly associated with higher 3-year OS rate and N0 stage for lymph node metastasis in pancreatic neoplasm tumor which suggest that S100A4 expression represents a potential marker for lymph node metastasis and a potential unfavorable factor for prognosis of patients with this disease. PMID: 26903691
- S100A4 mRNA level is an important molecular biomarker for prediction of chemosensitivity to gemcitabine in unresectable pancreatic cancer. PMID: 26722531
- Tag7-Mts1 complex causes chemotactic migration of lymphocytes, with NK cells being a preferred target. PMID: 26654597
- our data suggest a novel mechanism for mutant p53V143A accumulation and add a new facet to the role of S100A4 in cancer PMID: 26497012
- S100A4 levels are elevated in human periodontal ligament cells in response to IL-1beta. PMID: 26499072
- Enhanced S100A4 expression was observed in remodeled intrapulmonary arteries of COPD patients. PMID: 26483185
- Downregulation of AKT3 increases migration and metastasis in triple negative breast cancer cells by upregulating S100A4. PMID: 26741489
- vimentin and FSP1 have roles in gingival fibrosis PMID: 25826487
- Through selective knockout or inhibition of the network components, we show that the interaction between epidermal growth factor receptor (EGFR) and S100A4 modulates the sensitivity of angiogenesis development to matrix metalloproteinases (MMPs) activity PMID: 26057862
- The results show that S100A4 enhances the activity of matrix metalloproteinases (MMPs), causing higher cell dissociation. Moreover, it leads to an increased stability of the pathological state. PMID: 26118552
- EZH2 mediates the regulation of E-cadherin expression by S100A4 and controls the proliferation and migration of gastric cancer cells. PMID: 26897964
- Proximity ligation assay demonstrate proximity between S100A4 and cyclin B1 in vitro, while confocal microscopy showed S100A4 to localize to areas corresponding to centrosomes in mitotic cells prior to chromosome segregation. PMID: 26349943
- Elevated S100A4 in plasma is a novel biomarker for early detection of acute myocardial infarction. PMID: 26166646
- PTCSC3 downregulates S100A4, leading to a reduction in cell motility and invasiveness. We propose that PTCSC3 impacts papillary thyroid cancer predisposition and carcinogenesis through the S100A4 pathway. PMID: 26274343
顯示更多
收起更多
-
亞細胞定位:Secreted. Nucleus. Cytoplasm.
-
蛋白家族:S-100 family
-
組織特異性:Ubiquitously expressed.
-
數據庫鏈接:
Most popular with customers
-
-
YWHAB Recombinant Monoclonal Antibody
Applications: ELISA, WB, IHC, IF, FC
Species Reactivity: Human, Mouse, Rat
-
Phospho-YAP1 (S127) Recombinant Monoclonal Antibody
Applications: ELISA, WB, IHC
Species Reactivity: Human
-
-
-
-
-















