RPS6KA3 Antibody
-
中文名稱:RPS6KA3兔多克隆抗體
-
貨號:CSB-PA020466LA01HU
-
規格:¥440
-
圖片:
-
Western Blot
Positive WB detected in: NIH/3T3 whole cell lysate, Rat heart tissue
All lanes: RPS6KA3 antibody at 2μg/ml
Secondary
Goat polyclonal to rabbit IgG at 1/50000 dilution
Predicted band size: 84 kDa
Observed band size: 84 kDa -
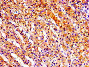
Immunohistochemistry of paraffin-embedded human adrenal gland tissue using CSB-PA020466LA01HU at dilution of 1:100
-
-
其他:
產品詳情
-
產品名稱:Rabbit anti-Homo sapiens (Human) RPS6KA3 Polyclonal antibody
-
Uniprot No.:
-
基因名:
-
別名:90 kDa ribosomal protein S6 kinase 3 antibody; CLS antibody; HU 3 antibody; HU2 antibody; HU3 antibody; Insulin stimulated protein kinase 1 antibody; Insulin-stimulated protein kinase 1 antibody; ISPK-1 antibody; ISPK1 antibody; KS6A3_HUMAN antibody; MAP kinase activated protein kinase 1b antibody; MAP kinase-activated protein kinase 1b antibody; MAPK activated protein kinase 1b antibody; MAPK-activated protein kinase 1b antibody; MAPKAP kinase 1b antibody; MAPKAPK 1b antibody; MAPKAPK-1b antibody; MAPKAPK1B antibody; Mental retardation; X linked 19 antibody; MRX19 antibody; OTTHUMP00000023036 antibody; p90 RSK2 antibody; p90 RSK3 antibody; p90-RSK 3 antibody; p90RSK3 antibody; pp90RSK2 antibody; Ribosomal protein S6 kinase 90kDa polypeptide 3 antibody; Ribosomal protein S6 kinase alpha 3 antibody; Ribosomal protein S6 kinase alpha-3 antibody; Ribosomal protein s6 kinase ii alpha 2 antibody; Ribosomal S6 kinase 2 antibody; Rps6ka3 antibody; RSK antibody; RSK-2 antibody; RSK2 antibody; S6 kinase 2 antibody; S6K alpha3 antibody; S6K-alpha-3 antibody
-
宿主:Rabbit
-
反應種屬:Human, Rat
-
免疫原:Recombinant Human Ribosomal protein S6 kinase alpha-3 protein (214-431AA)
-
免疫原種屬:Homo sapiens (Human)
-
標記方式:Non-conjugated
本頁面中的產品,RPS6KA3 Antibody (CSB-PA020466LA01HU),的標記方式是Non-conjugated。對于RPS6KA3 Antibody,我們還提供其他標記。見下表:
-
克隆類型:Polyclonal
-
抗體亞型:IgG
-
純化方式:>95%, Protein G purified
-
濃度:It differs from different batches. Please contact us to confirm it.
-
保存緩沖液:Preservative: 0.03% Proclin 300
Constituents: 50% Glycerol, 0.01M PBS, pH 7.4 -
產品提供形式:Liquid
-
應用范圍:ELISA, WB, IHC
-
推薦稀釋比:
Application Recommended Dilution WB 1:500-1:5000 IHC 1:20-1:200 -
Protocols:
-
儲存條件:Upon receipt, store at -20°C or -80°C. Avoid repeated freeze.
-
貨期:Basically, we can dispatch the products out in 1-3 working days after receiving your orders. Delivery time maybe differs from different purchasing way or location, please kindly consult your local distributors for specific delivery time.
-
用途:For Research Use Only. Not for use in diagnostic or therapeutic procedures.
相關產品
靶點詳情
-
功能:Serine/threonine-protein kinase that acts downstream of ERK (MAPK1/ERK2 and MAPK3/ERK1) signaling and mediates mitogenic and stress-induced activation of the transcription factors CREB1, ETV1/ER81 and NR4A1/NUR77, regulates translation through RPS6 and EIF4B phosphorylation, and mediates cellular proliferation, survival, and differentiation by modulating mTOR signaling and repressing pro-apoptotic function of BAD and DAPK1. In fibroblast, is required for EGF-stimulated phosphorylation of CREB1 and histone H3 at 'Ser-10', which results in the subsequent transcriptional activation of several immediate-early genes. In response to mitogenic stimulation (EGF and PMA), phosphorylates and activates NR4A1/NUR77 and ETV1/ER81 transcription factors and the cofactor CREBBP. Upon insulin-derived signal, acts indirectly on the transcription regulation of several genes by phosphorylating GSK3B at 'Ser-9' and inhibiting its activity. Phosphorylates RPS6 in response to serum or EGF via an mTOR-independent mechanism and promotes translation initiation by facilitating assembly of the preinitiation complex. In response to insulin, phosphorylates EIF4B, enhancing EIF4B affinity for the EIF3 complex and stimulating cap-dependent translation. Is involved in the mTOR nutrient-sensing pathway by directly phosphorylating TSC2 at 'Ser-1798', which potently inhibits TSC2 ability to suppress mTOR signaling, and mediates phosphorylation of RPTOR, which regulates mTORC1 activity and may promote rapamycin-sensitive signaling independently of the PI3K/AKT pathway. Mediates cell survival by phosphorylating the pro-apoptotic proteins BAD and DAPK1 and suppressing their pro-apoptotic function. Promotes the survival of hepatic stellate cells by phosphorylating CEBPB in response to the hepatotoxin carbon tetrachloride (CCl4). Is involved in cell cycle regulation by phosphorylating the CDK inhibitor CDKN1B, which promotes CDKN1B association with 14-3-3 proteins and prevents its translocation to the nucleus and inhibition of G1 progression. In LPS-stimulated dendritic cells, is involved in TLR4-induced macropinocytosis, and in myeloma cells, acts as effector of FGFR3-mediated transformation signaling, after direct phosphorylation at Tyr-529 by FGFR3. Negatively regulates EGF-induced MAPK1/3 phosphorylation via phosphorylation of SOS1. Phosphorylates SOS1 at 'Ser-1134' and 'Ser-1161' that create YWHAB and YWHAE binding sites and which contribute to the negative regulation of MAPK1/3 phosphorylation. Phosphorylates EPHA2 at 'Ser-897', the RPS6KA-EPHA2 signaling pathway controls cell migration. Acts as a regulator of osteoblast differentiation by mediating phosphorylation of ATF4, thereby promoting ATF4 transactivation activity.
-
基因功能參考文獻:
- Phosphorylation of nuclear YB-1 after stimulation with epidermal growth factor is associated with nuclear accumulation of p90 ribosomal S6 kinase but not of YB-1. PMID: 30126195
- Data show that phosphorylation of ribosomal protein S6 kinase 2 (RSK2) at threonine 577 is essential for leukemia-associated RhoGEF (LARG)-dependent Rho GTPase activation. PMID: 29279389
- Phosphorylation of T-bet by RSK2 is required for IFNgamma expression for attenuation of colon cancer metastasis and growth. PMID: 29133416
- Strong evidence that RSK inhibitors could enhance the effectiveness of existing Glioblastoma (GBM) treatment, and support RSK2 targeting as a promising approach for novel GBM therapy. PMID: 27829215
- RSK2 affects mitotic progression by regulating the distribution, basal level and the stability of mitotic spindles. PMID: 27491410
- Osajin binds with RSK2 directly in an ATP-competitive manner. Computer modeling simulated a plausible binding orientation between osajin and RSK2. Osajin inhibited sUV-induced phosphorylation of histone H3, a substrate of RSK2. PMID: 28409880
- TLR4 and C5aR crosstalk in dendritic cells induces a core regulatory network of RSK2, PI3Kbeta, SGK1, and FOXO transcription factors. PMID: 28733463
- The mTOR pathway was significantly associated with overall and estrogen receptor-negative (ER-) breast cancer risk (P = 0.003 and 0.03, respectively). PRKAG3 (Padj = 0.0018) and RPS6KA3 (Padj = 0.061) were the leading genes for the associations with overall breast cancer risk and ER- breast cancer risk, respectively. PMID: 28582508
- Inhibition of RSK2 was used to investigate the function of RSK2 on PDK1-induced inflammation. The phosphorylation of RSK2 was detected when PDK1 was inhibited. Inhibition of RSK2 reduced the PDK1-induced cell invasion and cytokines secretion in human rheumatoid arthritis synovial MH7A cells. In response to TNF-alpha, PDK1 could phosphorylate RSK2 and activated RSK2, then promoting the activation of NF-kappaB. PMID: 28314444
- Our finding demonstrates that RSK2 directly phosphorylates stathmin and regulates microtubule polymerization to provide a pro-invasive and pro-metastatic advantage to cancer cells. Therefore, the RSK2-stathmin pathway represents a promising therapeutic target and a prognostic marker for metastatic human cancers. PMID: 27041561
- we discuss the function of the RSK2 signaling axis by interactions with binding partners in cancer development--{REVIEW} PMID: 28013489
- Results showed that RSK2 gene was overexpressed in osteosarcoma patients cells and its knockdown increased cell apoptosis, enhanced cell chemosensitivity, inhibits proliferation and migration, and weakened tumor formation. PMID: 27082640
- Upregulated expression of RSK2 is associated with breast cancer. PMID: 27476168
- This case is one of the few examples where RPS6KA3 mutations are associated with a non-specific X-linked mental retardation. PMID: 26354035
- miR-191 represses proliferation in primary human fibroblasts via targeting multiple proto-oncogenes, including CDK9, NOTCH2, and RPS6KA3. PMID: 25992613
- This is the first report of exon skipping from an exonic mutation of RPS6KA3, demonstrating that a missense mutation and concomitant disruption of normal splicing contribute to the manifestation of CLS PMID: 26297997
- Rsk2-mediated inhibition of hyperplasia has now been demonstrated to occur in the arthritic synovium. PMID: 25624005
- Study identifies RSK2 as a new kinase that regulates NHE3 activity by direct phosphorylation. PMID: 25855080
- RPS6KA3 in three unrelated Coffin-Lowry syndrome patients including one from the historical Coffin-Lowry syndrome family and found two novel mutations, were analyzed. PMID: 25044551
- Activated RSK2 directly interacts with and phosphorylates FGFR1, thereby modulating receptor signaling through regulation of endocytosis. PMID: 24141780
- 14-3-3 binding promotes PDCD4 degradation, suggesting an important role for RSK in the inactivation of PDCD4 in melanoma. PMID: 25002506
- Kaposi's sarcoma-associated herpesvirus ORF45 mediates activation of the HIV-1 long terminal repeat via RSK2. PMID: 24719417
- our results identify the integrin-RSK signaling axis as an important regulator of cytokinesis in epithelial cells PMID: 24284076
- This report also suggests that there is no genotype-phenotype correlation between the location and type of RPS6KA3 gene mutations and SIDEs. PMID: 24311527
- RSK2 regulates craniofacial development including tooth development and patterning via novel transcriptional targets PMID: 24416220
- findings demonstrated that RSK2 plays an important role in the DNA damage pathway that maintains genomic stability by mediating cell cycle progression and DNA repair PMID: 24086335
- protein effectors of the RSK2-CREB-Fascin-1 pathway represent promising biomarkers and therapeutic targets in the clinical prognosis and treatment of metastatic human cancers. PMID: 24085294
- Data indicate that the N-terminal kinase domain of p90 ribosomal S6 kinase, isoform 2, binds three different flavonol rhamnosides in a highly unusual manner, distinct from other kinase inhibitor interactions. PMID: 23541530
- RSK2 functions as a signal integrator to provide antianoikis protection to cancer cells in both transcription-independent and -dependent manners, in part by signaling through ASK1 and CREB, and contributes to cancer cell invasion and tumor metastasis. PMID: 23608533
- ILKAP is a nuclear protein that regulates cell survival and apoptosis through the regulation of RSK2 signaling. PMID: 23329845
- Results indicate that RSK2 is regulated in response to cisplatin treatment, and this downregulation may contribute to the cytotoxic action of cisplatin. PMID: 23041051
- RSK2 plays a key role in neoplastic transformation of human skin cells and in skin cancer growth. PMID: 22918890
- These results reveal RSK2 as a key regulator of integrin activity and provide a novel mechanism by which it may promote cell migration and cancer metastasis. PMID: 23118220
- Epidermal growth factor (EGF) induces ribosomal S6 kinase 2 (RSK2) ubiquitination, and knocking down TRAF2 suppresses ubiquitination of RSK2 induced by EGF PMID: 22685297
- To our knowledge, this is the first family identified with a submicroscopic duplication including the entire RPS6KA3/RSK2 gene, and our findings suggest that an increased dose of this gene is responsible for a mild form of NS-XLID. PMID: 21930553
- MSP-induced RSK2 activation is a critical determinant linking RON signaling to cellular EMT program. PMID: 21619683
- data provide a direct link between RSK2 and caspase-8 and identify a novel molecular mechanism for caspase-8 modulation by RSK2 PMID: 21183680
- RSK2 could regulate neurotransmitter release by activating phospholipase D production of lipids required for exocytosis. PMID: 21061166
- Data show that RSK2 is activated by treatment with tumor necrosis factor-alpha (TNF-alpha) and directly phosphorylates IkappaBalpha at Ser-32, leading to IkappaBalpha degradation. PMID: 20385620
- the involvement of Rsk2 in the activation and maintenance of the spindle assembly checkpoint in metaphase II-arrested Xenopus egg extracts and in human cells PMID: 20383198
- p90 ribosomal S6 kinase 2 promotes invasion and metastasis of human head and neck squamous cell carcinoma cells. PMID: 20234090
- Data identify a novel reciprocal regulation of Tat and RSK2 function, which might serve to induce early changes in the chromatin organization of the HIV LTR. PMID: 17225856
- Mutations cause X-linked Coffin-Lowry Syndrome, a mental retardation syndrome. PMID: 11896450
- Unusual splice-site mutations in the RSK2 gene and suggestion of genetic heterogeneity in Coffin-Lowry syndrome PMID: 11992250
- Molecular crosstalk between p70S6k and MAPK cell signaling pathways PMID: 12054624
- This protein is mutated in ataxia telangiectasia and is involved in the phoshphorylation of STAT3. PMID: 12562765
- Postmortem fundings in the CLS syndrome are presented. PMID: 12792428
- activity is regulated by interaction with PEA-15 PMID: 12796492
- Expression pattern during development suggests it may be involved in cognitive impairment and facial dysmorphisms found in Coffin-Lowry Syndrome. PMID: 14678837
- Investigation of the mechanisms underlying aberrant splicing of RSK2 mRNA. PMID: 14973203
顯示更多
收起更多
-
相關疾?。?/div>Coffin-Lowry syndrome (CLS); Mental retardation, X-linked 19 (MRX19)亞細胞定位:Nucleus. Cytoplasm.蛋白家族:Protein kinase superfamily, AGC Ser/Thr protein kinase family, S6 kinase subfamily組織特異性:Expressed in many tissues, highest levels in skeletal muscle.數據庫鏈接:
Most popular with customers
-
-
YWHAB Recombinant Monoclonal Antibody
Applications: ELISA, WB, IHC, IF, FC
Species Reactivity: Human, Mouse, Rat
-
Phospho-YAP1 (S127) Recombinant Monoclonal Antibody
Applications: ELISA, WB, IHC
Species Reactivity: Human
-
-
-
-
-















