RIPK4 Antibody
-
中文名稱:RIPK4兔多克隆抗體
-
貨號:CSB-PA087089
-
規格:¥1100
-
圖片:
-
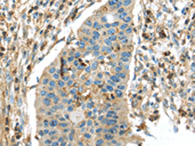
The image on the left is immunohistochemistry of paraffin-embedded Human esophagus cancer tissue using CSB-PA087089(RIPK4 Antibody) at dilution 1/40, on the right is treated with synthetic peptide. (Original magnification: ×200)
-
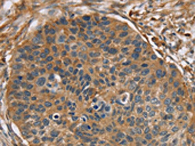
The image on the left is immunohistochemistry of paraffin-embedded Human breast cancer tissue using CSB-PA087089(RIPK4 Antibody) at dilution 1/40, on the right is treated with synthetic peptide. (Original magnification: ×200)
-
-
其他:
產品詳情
-
Uniprot No.:
-
基因名:
-
別名:RIPK4 antibody; ANKRD3 antibody; DIK antibody; Receptor-interacting serine/threonine-protein kinase 4 antibody; EC 2.7.11.1 antibody; Ankyrin repeat domain-containing protein 3 antibody; PKC-delta-interacting protein kinase antibody
-
宿主:Rabbit
-
反應種屬:Human
-
免疫原:Synthetic peptide of Human RIPK4
-
免疫原種屬:Homo sapiens (Human)
-
標記方式:Non-conjugated
-
抗體亞型:IgG
-
純化方式:Antigen affinity purification
-
濃度:It differs from different batches. Please contact us to confirm it.
-
保存緩沖液:-20°C, pH7.4 PBS, 0.05% NaN3, 40% Glycerol
-
產品提供形式:Liquid
-
應用范圍:ELISA,IHC
-
推薦稀釋比:
Application Recommended Dilution ELISA 1:1000-1:2000 IHC 1:25-1:100 -
Protocols:
-
儲存條件:Upon receipt, store at -20°C or -80°C. Avoid repeated freeze.
-
貨期:Basically, we can dispatch the products out in 1-3 working days after receiving your orders. Delivery time maybe differs from different purchasing way or location, please kindly consult your local distributors for specific delivery time.
-
用途:For Research Use Only. Not for use in diagnostic or therapeutic procedures.
相關產品
靶點詳情
-
功能:Involved in stratified epithelial development. It is a direct transcriptional target of TP63. Plays a role in NF-kappa-B activation.
-
相關疾病:Popliteal pterygium syndrome, lethal type (PPS-L)
-
亞細胞定位:Cytoplasm. Membrane; Peripheral membrane protein.
-
蛋白家族:Protein kinase superfamily, TKL Ser/Thr protein kinase family
-
組織特異性:Expressed in hair follicles and skin.
-
數據庫鏈接:
Most popular with customers
-
-
YWHAB Recombinant Monoclonal Antibody
Applications: ELISA, WB, IHC, IF, FC
Species Reactivity: Human, Mouse, Rat
-
Phospho-YAP1 (S127) Recombinant Monoclonal Antibody
Applications: ELISA, WB, IHC
Species Reactivity: Human
-
-
-
-
-















