RHOBTB1 Antibody
-
中文名稱:RHOBTB1兔多克隆抗體
-
貨號:CSB-PA019684ESR2HU
-
規格:¥440
-
圖片:
-
Western blot
All lanes: RHOBTB1 antibody IgG at 3.17μg/ml + 293T whole cell lysate
Secondary
Goat polyclonal to rabbit IgG at 1/10000 dilution
Predicted band size: 79 kDa
Observed band size: 79 kDa -
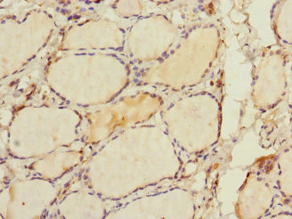
Immunohistochemistry of paraffin-embedded human thyroid tissue using CSB-PA019684ESR2HU at dilution of 1:100
-
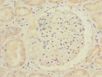
Immunohistochemistry of paraffin-embedded human kidney tissue using CSB-PA019684ESR2HU at dilution of 1:100
-
-
其他:
產品詳情
-
產品名稱:Rabbit anti-Homo sapiens (Human) RHOBTB1 Polyclonal antibody
-
Uniprot No.:
-
基因名:
-
別名:1700008H16Rik antibody; 3110048G13Rik antibody; AI173445 antibody; AI573858 antibody; AV350930 antibody; KIAA0740 antibody; MGC107538 antibody; MGC33059 antibody; MGC33841 antibody; OTTHUMP00000019662 antibody; OTTHUMP00000019663 antibody; RHBT1_HUMAN antibody; Rho related BTB domain containing 1 antibody; Rho related BTB domain containing protein 1 antibody; Rho-related BTB domain-containing protein 1 antibody; Rhobtb1 antibody
-
宿主:Rabbit
-
反應種屬:Human
-
免疫原:Recombinant Human Rho-related BTB domain-containing protein 1 protein (240-400AA)
-
免疫原種屬:Homo sapiens (Human)
-
標記方式:Non-conjugated
-
克隆類型:Polyclonal
-
抗體亞型:IgG
-
純化方式:Antigen Affinity Purified
-
濃度:It differs from different batches. Please contact us to confirm it.
-
保存緩沖液:PBS with 0.02% sodium azide, 50% glycerol, pH7.3.
-
產品提供形式:Liquid
-
應用范圍:ELISA, WB, IHC
-
推薦稀釋比:
Application Recommended Dilution WB 1:1000-1:5000 IHC 1:20-1:200 -
Protocols:
-
儲存條件:Upon receipt, store at -20°C or -80°C. Avoid repeated freeze.
-
貨期:Basically, we can dispatch the products out in 1-3 working days after receiving your orders. Delivery time maybe differs from different purchasing way or location, please kindly consult your local distributors for specific delivery time.
-
用途:For Research Use Only. Not for use in diagnostic or therapeutic procedures.
相關產品
Most popular with customers
-
-
YWHAB Recombinant Monoclonal Antibody
Applications: ELISA, WB, IHC, IF, FC
Species Reactivity: Human, Mouse, Rat
-
Phospho-YAP1 (S127) Recombinant Monoclonal Antibody
Applications: ELISA, WB, IHC
Species Reactivity: Human
-
-
-
-
-















