REG3G Antibody
-
中文名稱:REG3G兔多克隆抗體
-
貨號:CSB-PA074697
-
規格:¥1100
-
圖片:
-
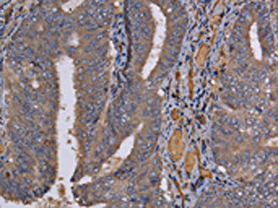
The image on the left is immunohistochemistry of paraffin-embedded Human colon cancer tissue using CSB-PA074697(REG3G Antibody) at dilution 1/60, on the right is treated with fusion protein. (Original magnification: ×200)
-
Gel: 10%SDS-PAGE, Lysate: 40 μg, Lane: Mouse pancreas tissue, Primary antibody: CSB-PA074697(REG3G Antibody) at dilution 1/400, Secondary antibody: Goat anti rabbit IgG at 1/8000 dilution, Exposure time: 40 seconds
-
-
其他:
產品詳情
-
Uniprot No.:
-
基因名:REG3G
-
別名:LPPM429 antibody; Pancreatitis-associated protein 1B antibody; Pancreatitis-associated protein IB antibody; PAP IB antibody; PAP-1B antibody; PAP1B antibody; PAPIB antibody; REG III antibody; Reg III-gamma antibody; REG-3-gamma antibody; REG3G antibody; REG3G_HUMAN antibody; Regenerating islet derived 3 gamma antibody; Regenerating islet-derived protein 3-gamma antibody; Regenerating islet-derived protein III-gamma antibody; UNQ429 antibody
-
宿主:Rabbit
-
反應種屬:Human,Mouse
-
免疫原:Fusion protein of Human REG3G
-
免疫原種屬:Homo sapiens (Human)
-
標記方式:Non-conjugated
-
抗體亞型:IgG
-
純化方式:Antigen affinity purification
-
濃度:It differs from different batches. Please contact us to confirm it.
-
保存緩沖液:-20°C, pH7.4 PBS, 0.05% NaN3, 40% Glycerol
-
產品提供形式:Liquid
-
應用范圍:ELISA,WB,IHC
-
推薦稀釋比:
Application Recommended Dilution ELISA 1:2000-1:5000 WB 1:500-1:2000 IHC 1:100-1:300 -
Protocols:
-
儲存條件:Upon receipt, store at -20°C or -80°C. Avoid repeated freeze.
-
貨期:Basically, we can dispatch the products out in 1-3 working days after receiving your orders. Delivery time maybe differs from different purchasing way or location, please kindly consult your local distributors for specific delivery time.
-
用途:For Research Use Only. Not for use in diagnostic or therapeutic procedures.
相關產品
靶點詳情
-
功能:Bactericidal C-type lectin which acts exclusively against Gram-positive bacteria and mediates bacterial killing by binding to surface-exposed carbohydrate moieties of peptidoglycan. Restricts bacterial colonization of the intestinal epithelial surface and consequently limits activation of adaptive immune responses by the microbiota. The uncleaved form has bacteriostatic activity, whereas the cleaved form has bactericidal activity against L.monocytogenes and methicillin-resistant S.aureus. Regulates keratinocyte proliferation and differentiation after skin injury.
-
基因功能參考文獻:
- This gene encodes a secreted peptide that displays antimicrobial activity against Gram-positive bacteria. PMID: 16931762
- a model of CagA-directed REG3gamma expression in gastric epithelial cells via activation of the IL-11/gp130/STAT3 pathway PMID: 22312430
- REG III was identified and expressed predominantly in pancreas and testis, but not in small intestine PMID: 15556304
- PAP IB represents a good example of duplication and divergence, probably with the acquisition of new functions, thus participating in the evolution of the protein repertoire. PMID: 15777617
-
亞細胞定位:Secreted. Cytoplasm.
-
組織特異性:Predominantly expressed in pancreas, where it may be restricted to exocrine pancreas. Moderate expression levels in testis and weak in heart, kidney and placenta.
-
數據庫鏈接:
Most popular with customers
-
-
YWHAB Recombinant Monoclonal Antibody
Applications: ELISA, WB, IHC, IF, FC
Species Reactivity: Human, Mouse, Rat
-
Phospho-YAP1 (S127) Recombinant Monoclonal Antibody
Applications: ELISA, WB, IHC
Species Reactivity: Human
-
-
-
-
-















