RBBP7 Antibody
-
中文名稱:RBBP7兔多克隆抗體
-
貨號:CSB-PA621959ESR2HU
-
規格:¥440
-
圖片:
-
Western blot
All lanes: Histone-binding protein RBBP7 antibody at 10μg/ml
Lane 1: A431 whole cell lysate
Lane 2: NIH/3T3 whole cell lysate
Lane 3: HepG2 whole cell lysate
Secondary
Goat polyclonal to rabbit IgG at 1/10000 dilution
Predicted band size: 48, 53 kDa
Observed band size: 48 kDa -
Immunohistochemistry of paraffin-embedded human endometrial cancer using CSB-PA621959ESR2HU at dilution of 1:100
-
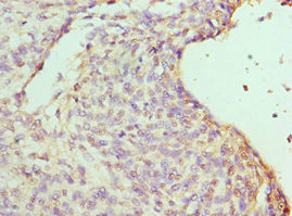
Immunohistochemistry of paraffin-embedded human tonsil tissue using CSB-PA621959ESR2HU at dilution of 1:100
-
-
其他:
產品詳情
-
產品名稱:Rabbit anti-Homo sapiens (Human) RBBP7 Polyclonal antibody
-
Uniprot No.:
-
基因名:
-
別名:G1/S transition control protein binding protein RbAp46 antibody; Histone acetyltransferase type B subunit 2 antibody; Histone binding protein RBBP7 antibody; Histone-binding protein RBBP7 antibody; MGC138867 antibody; MGC138868 antibody; Nucleosome remodeling factor subunit RBAP46 antibody; Nucleosome-remodeling factor subunit RBAP46 antibody; RBAP46 antibody; RBBP 7 antibody; RBBP-7 antibody; RBBP7 antibody; RBBP7_HUMAN antibody; Retinoblastoma binding protein 7 antibody; Retinoblastoma binding protein p46 antibody; Retinoblastoma-binding protein 7 antibody; Retinoblastoma-binding protein p46 antibody; Retinoblastoma-binding protein RbAp46 antibody
-
宿主:Rabbit
-
反應種屬:Human
-
免疫原:Recombinant Human Histone-binding protein RBBP7 protein (1-230AA)
-
免疫原種屬:Homo sapiens (Human)
-
標記方式:Non-conjugated
-
克隆類型:Polyclonal
-
抗體亞型:IgG
-
純化方式:Antigen Affinity Purified
-
濃度:It differs from different batches. Please contact us to confirm it.
-
保存緩沖液:PBS with 0.02% sodium azide, 50% glycerol, pH7.3.
-
產品提供形式:Liquid
-
應用范圍:ELISA, WB, IHC
-
推薦稀釋比:
Application Recommended Dilution WB 1:500-1:2000 IHC 1:20-1:200 -
Protocols:
-
儲存條件:Upon receipt, store at -20°C or -80°C. Avoid repeated freeze.
-
貨期:Basically, we can dispatch the products out in 1-3 working days after receiving your orders. Delivery time maybe differs from different purchasing way or location, please kindly consult your local distributors for specific delivery time.
-
用途:For Research Use Only. Not for use in diagnostic or therapeutic procedures.
相關產品
靶點詳情
-
功能:Core histone-binding subunit that may target chromatin remodeling factors, histone acetyltransferases and histone deacetylases to their histone substrates in a manner that is regulated by nucleosomal DNA. Component of several complexes which regulate chromatin metabolism. These include the type B histone acetyltransferase (HAT) complex, which is required for chromatin assembly following DNA replication; the core histone deacetylase (HDAC) complex, which promotes histone deacetylation and consequent transcriptional repression; the nucleosome remodeling and histone deacetylase complex (the NuRD complex), which promotes transcriptional repression by histone deacetylation and nucleosome remodeling; and the PRC2/EED-EZH2 complex, which promotes repression of homeotic genes during development; and the NURF (nucleosome remodeling factor) complex.
-
基因功能參考文獻:
- show that BCL11A(2-16) pulls down RBBP4, RBBP7, and other components of PRC2, NuRD, and SIN3A from the cell lysate of the TNBC cell line SUM149 PMID: 29263092
- RBBP7 controls the stability of HUWE1.RBBP7 is the E3 ligase responsible for the proteasomal degradation of HUWE1. PMID: 29738775
- Taken together with previous findings this suggests, that MTA-RBBP is a stable complex, with a central role in the initial assembly of the human NuRD complex. PMID: 28179136
- NKX6.1 directly enhances the mRNA level of E-cadherin by recruiting BAF155 coactivator and represses that of vimentin and N-cadherin by recruiting RBBP7 (retinoblastoma binding protein 7) corepressor. PMID: 26257059
- Results show a novel interaction of the Lsm4 RGG domain with HAT1 and RBBP7, leading to the possibility of a posttranslational modifications network involved in mRNP regulation. PMID: 27247266
- the CRL4 complex containing RBBP7 (CRL4(RBBP7)) might regulate mitosis by promoting ubiquitin-dependent loading of newly synthesized CENP-A during the G1 phase of the cell cycle. PMID: 25795299
- Ras induced RbAp46 expression increases invasion of bladder cancer cells. PMID: 25885317
- Both of RbAp46 mRNA and protein levels were upregulated significantly in NSCLC cancer tissues. Serum levels of RbAp46 were markedly higher in NSCLC patients than in healthy controls. PMID: 19655816
- RbAp46 expression suppresses the transformed phenotypes of breast cancer cells, and dysregulation of RbAp46 expression may contribute to breast cancer tumorigenesis. PMID: 14666671
- RbAp46 inhibits cell growth and suppresses the transformed phenotypes of tumor cell lines. PMID: 14981905
- RT-PCR data show high expression of putative tumor suppressor genes Rsk4 and RbAp46 in 47% and 79% of breast carcinoma cases, respectively, whereas Cldn2 was down-regulated in 52% of breast cancer cases compared with normal adjacent tissues. PMID: 17314274
- RbAp46 folds into a seven-bladed beta propeller structure and binds histone H4 in a groove formed between an N-terminal alpha helix and an extended loop inserted into blade six. PMID: 18571423
顯示更多
收起更多
-
亞細胞定位:Nucleus.
-
蛋白家族:WD repeat RBAP46/RBAP48/MSI1 family
-
數據庫鏈接:
Most popular with customers
-
YWHAB Recombinant Monoclonal Antibody
Applications: ELISA, WB, IHC, IF, FC
Species Reactivity: Human, Mouse, Rat
-
-
-
-
-
-
-
VDAC1 Recombinant Monoclonal Antibody
Applications: ELISA, WB, IHC
Species Reactivity: Human, Mouse, Rat















