Phospho-ZAP70 (Tyr493) Antibody
-
中文名稱:磷酸化-ZAP70 (Tyr493)兔多克隆抗體
-
貨號:CSB-PA280694
-
規格:¥2454
-
圖片:
-
Western blot analysis of extracts from JK cells untreated or treated with anisomycin using Zap-70(Phospho-Tyr493) Antibody.
-
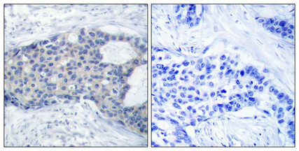
Immunohistochemical analysis of paraffin-embedded human breast carcinoma tissue using Zap-70(Phospho-Tyr493) Antibody(left) or the same antibody preincubated with blocking peptide(right).
-
-
其他:
產品詳情
-
產品名稱:Rabbit anti-Homo sapiens (Human) ZAP70 Polyclonal antibody
-
Uniprot No.:
-
基因名:
-
宿主:Rabbit
-
反應種屬:Human,Mouse,Rat
-
免疫原:Peptide sequence around phosphorylation site of tyrosine 493 (S-Y-Y(p)-T-A) derived from Human Zap-70.
-
免疫原種屬:Homo sapiens (Human)
-
克隆類型:Polyclonal
-
純化方式:Antibodies were produced by immunizing rabbits with synthetic phosphopeptide and KLH conjugates. Antibodies were purified by affinity-chromatography using epitope-specific phosphopeptide. Non-phospho specific antibodies were removed by chromatogramphy usi
-
濃度:It differs from different batches. Please contact us to confirm it.
-
產品提供形式:Liquid
-
應用范圍:ELISA,WB,IHC
-
推薦稀釋比:
Application Recommended Dilution WB 1:500-1:1000 IHC 1:50-1:100 -
Protocols:
-
儲存條件:Upon receipt, store at -20°C or -80°C. Avoid repeated freeze.
-
貨期:Basically, we can dispatch the products out in 1-3 working days after receiving your orders. Delivery time maybe differs from different purchasing way or location, please kindly consult your local distributors for specific delivery time.
-
用途:For Research Use Only. Not for use in diagnostic or therapeutic procedures.
相關產品
靶點詳情
-
功能:Tyrosine kinase that plays an essential role in regulation of the adaptive immune response. Regulates motility, adhesion and cytokine expression of mature T-cells, as well as thymocyte development. Contributes also to the development and activation of primary B-lymphocytes. When antigen presenting cells (APC) activate T-cell receptor (TCR), a serie of phosphorylations lead to the recruitment of ZAP70 to the doubly phosphorylated TCR component CD247/CD3Z through ITAM motif at the plasma membrane. This recruitment serves to localization to the stimulated TCR and to relieve its autoinhibited conformation. Release of ZAP70 active conformation is further stabilized by phosphorylation mediated by LCK. Subsequently, ZAP70 phosphorylates at least 2 essential adapter proteins: LAT and LCP2. In turn, a large number of signaling molecules are recruited and ultimately lead to lymphokine production, T-cell proliferation and differentiation. Furthermore, ZAP70 controls cytoskeleton modifications, adhesion and mobility of T-lymphocytes, thus ensuring correct delivery of effectors to the APC. ZAP70 is also required for TCR-CD247/CD3Z internalization and degradation through interaction with the E3 ubiquitin-protein ligase CBL and adapter proteins SLA and SLA2. Thus, ZAP70 regulates both T-cell activation switch on and switch off by modulating TCR expression at the T-cell surface. During thymocyte development, ZAP70 promotes survival and cell-cycle progression of developing thymocytes before positive selection (when cells are still CD4/CD8 double negative). Additionally, ZAP70-dependent signaling pathway may also contribute to primary B-cells formation and activation through B-cell receptor (BCR).
-
基因功能參考文獻:
- ZAP-70 was a strong prognostic biomarker for patients with CLL PMID: 29680229
- In this article, the authors have shown that Natural killer cells can reduce their functional role through downregulation of Syk and Zap70 kinases. PMID: 29263215
- These results identify a tight negative feedback loop in which ZAP-70-activated p38 reciprocally phosphorylates ZAP-70 and destabilizes the signaling complex. PMID: 29440413
- we have identified a new redox-active motif which is crucial for the regulation of Zap70 stability/activity. We believe that this motif has the potential to become a novel target for the development of therapeutic tools to modulate the expression/activity of kinases. PMID: 28415650
- The expression of COBLL1, LPL, and ZAP70 corresponded to patient prognosis and to IGHV mutational status, although not absolutely. When we combined all three markers together and performed the ROC analysis, AUC increased compared to the AUC of individual gene expression. PMID: 27185377
- The authors find that ZAP-70 selects its substrates by utilizing an electrostatic mechanism that excludes substrates with positively-charged residues and favors LAT and SLP-76 phosphosites that are surrounded by negatively-charged residues. PMID: 27700984
- The data describe the critical early step of directional cell movement toward SDF-1 that ZAP-70 is recruited to the CXCR4 at the leading edge of membrane and consequently modulates lamellipodia/filopodia formation and integrin activation. PMID: 28846922
- The study identified the criteria for the design of binders that specifically address either the Syk or the Zap-70 Tandem Src Homology 2 Domains, tSH2. While Syk tSH2 has a rather broad substrate scope, ZAP-70 tSH2 required a proximal arrangement of the phosphotyrosine ligands in defined strand orientation. PMID: 28767218
- ZAP-70 signaling was impaired by cholesterol depletion, further supporting the importance of membrane organization in TCR signaling. PMID: 27384937
- We conclude that ZAP70 plays a role for the homing to and/or the survival of ALL cells in the CNS and that ZAP70 may represent a therapeutic target. Furthermore, targeting CCR7/CXCR4 may be particularly promising in treating T-ALL. PMID: 27686375
- The aim of this study was to evaluate the expression of ZAP70 changing during disease progression, the intracellular interferon gamma (IFN-gamma) and IL-4 content of T and B lymphocytes and the CLL cell subset (CD5+CD19+) in CLL patients and healthy subjects, and ZAP70 correlation with cytokine production. PMID: 26376785
- in this study, authors discovered a cycle of recruitment, activation and release for Zap70 kinases at phosphorylated T-cell antigen receptors, which turned them into a 'catalytic unit' that amplified antigenic stimuli PMID: 27869819
- The histological observations suggested that the patients represent diverse cases of NHL like mature B-cell type, mature T-cell type and high grade diffuse B-cell type NHL. The findings indicate that patients with NHL may also be analyzed for status of PAX5, CD19 and ZAP70, and their transcriptional and post-translational variants for the differential diagnosis of NHL and therapy. PMID: 27748274
- Compound heterozygous mutations in ZAP70 gene is associated with leaky severe combined immunodeficiency disorder. PMID: 28124082
- The results suggest that genetic polymorphism in the 3' UTR of ZAP-70 is associated with rheumatoid arthritis susceptibility in southern Taiwanese. PMID: 26245723
- Cellular studies with ZAP70 showed that multiple lipids bind its C-terminal SH2 domain in a spatiotemporally specific manner and thereby exert exquisite spatiotemporal control over its protein binding and signaling activities in T cells. PMID: 27052731
- Whole-exome sequencing performed on five family members revealed two affected siblings to be compound heterozygous for two unique missense mutations in the 70-kD T cell receptor zeta-chain associated protein (ZAP-70). PMID: 26783323
- The data suggest that ZO-1, along with CD38 and Zap-70, plays a role in cell cycle regulation in chronic B cell leukemia, and may be used as a prognostic marker in the disease monitoring. PMID: 26306999
- A distinct set of proteins interaction partners required for chemokine-directed T cell migration is attracted by phosphotyrosine 571 of ADAP, including ZAP70. PMID: 26246585
- Activation of innate immune receptors induces an antiapoptotic signal and proliferation in ZAP-70-positive chronic lymphocytic leukemia dependent on Syk activation. PMID: 26508782
- In all, our study demonstrates that miR-631 decreases PCa cell migration and invasion by dampening ZAP70 expression. PMID: 26620225
- The differential requirements of ZAP70 and SYK during thymic development. PMID: 26187144
- Blockade of CXCR7 suppressed MIF-mediated ERK- and zeta-chain-associated protein kinase (ZAP)-70 activation PMID: 26139098
- The kinase activity of ZAP-70 stimulates negative feedback pathways that target Lck and thereby modulate the phosphorylation patterns of the immunoreceptor tyrosine-based activation motifs of t cell receptors. PMID: 25990959
- Low ZAP-70 expression is associated with B-cell chronic lymphoid leukemia. PMID: 25743836
- we observed decreased CD3 surface expression, reduced ZAP-70 abundance and increased histone H3-acetylation in activated T lymphocytes after 5 minutes of clinorotation and a transient downregulation of CD3 and stable downregulation of IL-2R PMID: 25661802
- These findings confirm the role of PTPN22 and CD28 involved in the T cell activation pathway in the development of T1D in Tunisian families. Interestingly, ZAP70 and TCRbeta/CD3z seem to contribute to the susceptibility to the disease in our population. PMID: 25448703
- In ZAP-70(+) patients with B-cell chronic lymphocytic leukaemia, the CD4/CD8 ratio was significantly below the norm indicating an active disease process. PMID: 25804237
- ZAP-70 and CD 38 positivity were detected 25% and 36%, respectively in Chronic lymphocytic leukemia patients with concordance rate of 56%, which is higher than Western literature. PMID: 24369212
- results provide the first evidence for differential expression of CD27 among CLL prognostic groups, suggest a role for ZAP-70 dependent signaling in CD27 induction and implicate CD27 in cell-cell interactions with the lymphoid tissue microenvironment PMID: 26002513
- novel biosensor ROZA-XL displays a 3-4 times greater dynamic range than its predecessor and possesses a robust baseline FRET value for ZAP-70 PMID: 25735979
- Data indicate there was substantial decline in ZAP-70 and biomarker protein levels in Vacutainer cell processing tubes (CPTs)-isolated chronic lymphocytic leukemia (CLL) cells. PMID: 25124785
- Data indicate that the decreasing trend in the expression level of TCRzeta chain, ZAP-70 kinase and epsilon Fc Receptors FcvarepsilonRIgamma was significantly associated with disease progression. PMID: 25513989
- A specific cysteine residue in the phosphotyrosine-binding pocket of each protein (Cys39 in ZAP-70, Cys206 in Syk) that is necessary for inhibition thiol-reactive compounds, was identified. PMID: 25287889
- The corrected mean fluorescence intensity (CorrMFI) represents the most promising method currently available in a routine diagnostic setting for the assessment of ZAP-70 expression in CLL patients. PMID: 24127306
- in early stage B-CLL patients, ZAP-70 upregulation is associated with distinct patterns of activation/differentiation stage subset distribution and of cytokine expression in CD4 T lymphocytes. PMID: 24166938
- ZAP-70 CpG+223 methylation represents a superior biomarker in risk-stratification of chronic lymphocytic leukemia PMID: 24868078
- ZAP-70 enhances the migration of malignant B-cells into the supportive microenvironment found in the bone marrow mainly by enhancing signaling and migration after CXCR4 stimulation. PMID: 24312539
- LAT is a modulator of CD3zeta and ZAP-70 tyrosine phosphorylation. PMID: 24204825
- Zap70 mutation reducing protein stability demonstrates rate-limiting threshold for Zap70 protein levels exists at which signalling capacity switches from nearly intact to effectively null. PMID: 24164480
- Both drugs significantly decreased the expressions of CD5 and ZAP-70. PMID: 23686733
- A deficient lipid rafts recruitment of CD3zeta/ZAP-70/Grb2, and these proteins do not merge with GM1 within the lipid rafts. PMID: 23916875
- Data indicate that inflammatory cytokine-induced increases in chronic lymphocytic leukemia (CLL) cell adhesion to stromal cells are correlated with ZAP-70 expression and blocked by PI3K inhibitor. PMID: 23981382
- investigated, using the Sequenom MassARRAY platform, polymorphisms of sixteen single-nucleotide polymorphisms (SNPs) belonging to PTPN22, CD28, CTLA-4, and ZAP-70 genes in 76 T1D patients and 162 unrelated healthy controls PMID: 24103478
- Expression of ZAP70 in CLL cells increases expression of the NF-kappaB target genes interleukin-1beta, IL6 & IL8 upon BCR triggering. ZAP70 directly amplifies NF-kappaB signalling in CLL cells which could be an underlying mechanism for its poor prognosis. PMID: 24219331
- ZAP70 expression in regulatory T cells in allergic rhinitis: effect of immunotherapy. PMID: 23786282
- CBAP indeed can function as a novel signaling component within the ZAP70/Vav1/talin complex and plays an important role in regulating chemokine-promoted T-cell trafficking. PMID: 23620790
- Evaluated expression of CD74 in chronic lymphocytic leukemia patients. CD74 expression was significantly higher in CLL group than in controls. There was positive correlation between CD74 and ZAP70 expression. PMID: 23572149
- These results suggest the involvement of the ZAP70 and PTPN6 genes in the genetic component conferring a general susceptibility to Crohn's disease and ulcerative colitis, respectively. PMID: 23406209
- Structural basis for activation of ZAP-70 by phosphorylation of the SH2-kinase linker.Autoinhibition of ZAP-70 is fully released upon phosphorylation by Src family kinases. PMID: 23530057
顯示更多
收起更多
-
相關疾病:Immunodeficiency 48 (IMD48); Autoimmune disease, multisystem, infantile-onset, 2 (ADMIO2)
-
亞細胞定位:Cytoplasm. Cell membrane; Peripheral membrane protein.
-
蛋白家族:Protein kinase superfamily, Tyr protein kinase family, SYK/ZAP-70 subfamily
-
組織特異性:Expressed in T- and natural killer cells. Also present in early thymocytes and pro/pre B-cells.
-
數據庫鏈接:
Most popular with customers
-
-
YWHAB Recombinant Monoclonal Antibody
Applications: ELISA, WB, IHC, IF, FC
Species Reactivity: Human, Mouse, Rat
-
Phospho-YAP1 (S127) Recombinant Monoclonal Antibody
Applications: ELISA, WB, IHC
Species Reactivity: Human
-
-
-
-
-















