Phospho-STAT6 (Tyr641) Antibody
-
中文名稱:磷酸化-STAT6 (Tyr641)兔多克隆抗體
-
貨號:CSB-PA073316
-
規格:¥2454
-
圖片:
-
Western blot analysis of extracts from Hela cells untreated or treated with IL-4 using STAT6(Phospho-Tyr641) Antibody.
-
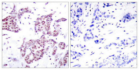
Immunohistochemical analysis of paraffin-embedded human breast carcinoma tissue using STAT6(Phospho-Tyr641) Antibody(left) or the same antibody preincubated with blocking peptide(right).
-
-
其他:
產品詳情
-
產品名稱:Rabbit anti-Homo sapiens (Human) STAT6 Polyclonal antibody
-
Uniprot No.:
-
基因名:
-
宿主:Rabbit
-
反應種屬:Human
-
免疫原:Peptide sequence around phosphorylation site of Tyrosine 641 (R-G-Y(p)-V-P) derived from Human STAT6.
-
免疫原種屬:Homo sapiens (Human)
-
克隆類型:Polyclonal
-
純化方式:Antibodies were produced by immunizing rabbits with synthetic phosphopeptide and KLH conjugates. Antibodies were purified by affinity-chromatography using epitope-specific phosphopeptide. Non-phospho specific antibodies were removed by chromatogramphy usi
-
濃度:It differs from different batches. Please contact us to confirm it.
-
產品提供形式:Liquid
-
應用范圍:ELISA,WB,IHC
-
推薦稀釋比:
Application Recommended Dilution WB 1:500-1:1000 IHC 1:50-1:100 -
Protocols:
-
儲存條件:Upon receipt, store at -20°C or -80°C. Avoid repeated freeze.
-
貨期:Basically, we can dispatch the products out in 1-3 working days after receiving your orders. Delivery time maybe differs from different purchasing way or location, please kindly consult your local distributors for specific delivery time.
-
用途:For Research Use Only. Not for use in diagnostic or therapeutic procedures.
相關產品
靶點詳情
-
功能:Carries out a dual signal transduction and activation of transcription. Involved in IL4/interleukin-4- and IL3/interleukin-3-mediated signaling.
-
基因功能參考文獻:
- is a dependable marker to differentiate solitary fibrous tumors and myofibromas PMID: 28689369
- Inhibition of STAT6/Anoctamin-1 activation decreased proliferation, migration, or invasion of gastric cancer cells. PMID: 29466035
- Results of our structure-function studies on STAT6 shed light on mechanism of DNA recognition by STATs in general and explain the reasons underlying STAT6's preference for N4 site DNA over N3. PMID: 27803324
- There was no significant relationship between rs324011 and rs3024974 SNPs and psoriasis in the present study or in other studies, indicating that STAT6 is not a candidate gene for psoriasis susceptibility PMID: 28420002
- these results showed that allergy responses further accelerated the IL-4-induced inhibition of tumor development through the activation of STAT6 pathways. PMID: 28587956
- In this study, significant lower level of miR-214-3p and higher level of STAT6 in the intestinal mucosa of active UC patients compared with the health controls were confirmed by quantitative real-time PCR. PMID: 28752100
- IL-13, IL-13Ralpha1, STAT6 and ZEB1 have roles in promoting epithelial-mesenchymal transition and aggressiveness of colorectal cancer cells PMID: 27533463
- N4 DNA recognition by STAT6: structural and functional implications. PMID: 28220394
- Data suggest that STAT6 and RANKL are involved in regulation of apoptosis, gene expression, and cell proliferation in hepatocellular carcinoma cell lines; depletion of STAT6 using RNA interference increases apoptosis; this mechanism involves down-regulation of expression of RANKL. (STAT6 = signal transducer and activator of transcription 6; RANKL = receptor activator of nuclear factor kappa B ligand) PMID: 28525794
- The results showed that SARS coronavirus papain-like protease (PLPro) stimulated TGF-beta1-dependent expression of Type I collagen via activating STAT6 pathway. PMID: 28414040
- High STAT6 expression is associated with melanoma. PMID: 26993600
- Report a variant of t(14;18) negative nodal diffuse follicular lymphoma with CD23 expression, 1p36/TNFRSF14 abnormalities, and STAT6 mutations. PMID: 26965583
- Our data indicate that hypoxic inhibition of JMJD3 activity reduces demethylation of H3K27me3, nucleosome removal, and hence induction of the STAT6 target gene CCL18, while induction of other STAT6-inducible genes such as SPINT2 remained unaffected by JMJD3. PMID: 27737800
- The results suggest that nuclear localization and cleavage of STAT6 is important for modulating the viral latency and pathogenesis of Kaposi's sarcoma-associated herpesvirus (KSHV). PMID: 28099521
- PVT1-derived miR-1207-5p promotes the proliferation of breast cancer cells by targeting STAT6. PMID: 28235236
- STAT6 single-nucleotide polymorphism is associated with migraine. PMID: 27322543
- STAT6 phosphorylation (p-STAT6) was significantly increased in TECs from both Grave's disease patients and experimental autoimmune Graves' disease mice. PMID: 27906181
- Here, we demonstrate that pulmonary adenofibromas are neoplastic lesions harbouring NAB2-STAT6 fusion genes ,the molecular hallmark of solitary fibrous tumours. PMID: 28072477
- STAT6 and ALDH1 immunohistochemistry can be used in the differential diagnosis of solitary fibrous tumor versus prostate-specific stromal neoplasms. PMID: 27068523
- Our results represented that meningeal solitary fibrous tumor/hemangiopericytoma were in a single biological spectrum with NAB2-STAT6 gene fusion as was nonmeningeal solitary fibrous tumor PMID: 26927892
- STAT6-TMEM16A-ERK1/2 signal pathway and TMEM16A channel activity are required for the IL-13-induced TMEM16A mediated mucus production PMID: 27588910
- The detection of nuclear relocation of STAT6 with immunohistochemistry is a characteristic of solitary fibrous tumours (SFTs), and may serve as a diagnostic marker that indicates NAB2-STAT6 fusion and helps to discriminate SFTs from histological mimics. PMID: 24702701
- The role of Th2 cytokines (IL-4, IL-13) and STAT6 in Th1/Th2 imbalance. PMID: 26781462
- STAT6 gene (G2964) polymorphism may play a role in development of eczema among Saudi children PMID: 27018548
- Variants of the NAB2-STAT6 fusion gene are found in solitary fibrous tumors of the meninges. PMID: 27271270
- It is a diagnostic tumor marker for Papillary' solitary fibrous tumor/hemangiopericytoma. PMID: 26746203
- nuclear immunohistochemistry staining can be used as a diagnostic criteria for unconventional fat-forming solitary fibrous tumors PMID: 25517867
- the majority of intrathoracic SFTs exhibited STAT6 nuclear staining, and NAB2ex4-STAT6ex2/3 was the predominant fusion type. PMID: 26686340
- Case Report: NAB2-STAT6 fusion in glioblastoma. PMID: 26817999
- A constitutively activated form of STAT6 is able to bypass IL-4 upstream signalling and instruct dendritic-cell-specific functional DNA methylation changes PMID: 26758199
- interleukin-4 regulates hematopoietic lineage choice by activating the JAK3-STAT6 pathway, which causes dendritic-cell-specific DNA demethylation PMID: 26829670
- Immunohistochemistry results indicate that combination with ALDH1 and STAT6 can improve the diagnostic value of CD34 for solitary fibrous tumors. PMID: 26617768
- T allele of rs324011 in STAT6 would increase the risk of atopic dermatitis (AD) occurrence in children. Haplotypes of rs324011/rs167769 were also significantly associated with childhood AD in Taiwanese population. PMID: 26048407
- We delineate the common and rare NAB2-STAT6 fusion variants in solitary fibrous tumors PMID: 26226844
- STAT6 is a direct target of miR-361-5p and promotes Bcl-xL expression. PMID: 26461141
- This study confirms that meningeal Meningeal solitary fibrous tumor and hemangiopericytoma represent a histopathologic continuum linked by STAT6 nuclear expression and NAB2-STAT6 fusion similar to their soft tissue counterparts. PMID: 26883114
- It is associated with local recurrence and late distance metastasis of brain tumors to extracranial sites. PMID: 25893823
- bovine milk activates STAT6 in a p44/42 and p38-dependent manner in skin cells PMID: 26134630
- IL13Ralpha2 knockdown and IL-13 treatment cooperatively upregulated the metastasis suppressor tumor protein 63 (TP63) in a STAT6-dependent manner. PMID: 26208975
- Igepsilon gene transcription is regulated by histone modifications in the IL-4/STAT6 pathway. PMID: 25952120
- Solitary fibrous tumor occurring in the ocular adnexa (OA) as orbital mass with proptosis. In the OA, solitary fibrous tumor demonstrates STAT6 nuclear expression. PMID: 25761539
- Immunostaining and semiquantitative analysis revealed increased presence of phosphor-STAT6 in the pulmonary vasculature of patients with connective tissue disease-associated PAH and Schistosoma-PAH compared with normal control subjects. PMID: 26192556
- IL-13/STAT6 signaling is modulated by Kaposi's sarcoma-associated herpesvirus to promote host cell proliferation and viral pathogenesis. PMID: 26246572
- Eosinophilic esophagitis was associate with increased expression of STAT6. PMID: 25407941
- This study validated the existence of the NAB2-STAT6 fusion gene in solitary fibrous tumors and examined its relation with pathological features. PMID: 25554652
- also identified NAB2-STAT6 fusions in two hemangiopericytomas diagnosed in the past with a common variant of NAB2ex6-STAT6ex16/17 PMID: 26136329
- results show that Cbl-b suppresses human ORMDL3 expression through STAT6 PMID: 26112603
- TRAIL induces RANKL expression through a STAT-6 dependent transcriptional regulatory mechanism in bone marrow stromal/preosteoblast cells. PMID: 25445452
- Strong nuclear STAT6 is largely specific for solitary fibrous tumors (SFTs). Physiologic low-level cytoplasmic/nuclear expression is common in mesenchymal neoplasia and is of uncertain significance. PMID: 25873501
- There was no association between solitary fibrous tumors with either NAB2 exon 4-STAT6 exon 2 or 3 fusion and tumors with other fusions regarding the frequency of mutations in the examined genes (P = .201). PMID: 25582503
顯示更多
收起更多
-
亞細胞定位:Cytoplasm. Nucleus. Note=Translocated into the nucleus in response to phosphorylation.
-
蛋白家族:Transcription factor STAT family
-
數據庫鏈接:
Most popular with customers
-
-
Phospho-YAP1 (S127) Recombinant Monoclonal Antibody
Applications: ELISA, WB, IHC
Species Reactivity: Human
-
-
-
-
-
-















