Phospho-PXN (Tyr118) Antibody
-
中文名稱:磷酸化-PXN (Tyr118)兔多克隆抗體
-
貨號:CSB-PA695702
-
規格:¥2454
-
圖片:
-
Western blot analysis of extracts from 3T3 cells untreated or treated with serum using Paxillin(Phospho-Tyr118) Antibody.
-
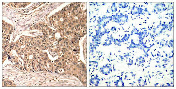
Immunohistochemical analysis of paraffin-embedded human breast carcinoma tissue using Paxillin(Phospho-Tyr118) Antibody(left) or the same antibody preincubated with blocking peptide(right).
-
-
其他:
產品詳情
-
產品名稱:Rabbit anti-Homo sapiens (Human) PXN Polyclonal antibody
-
Uniprot No.:
-
基因名:
-
宿主:Rabbit
-
反應種屬:Human,Mouse,Rat
-
免疫原:Peptide sequence around phosphorylation site of tyrosine 118 (H-V-Y(p)-S-F) derived from Human Paxillin.
-
免疫原種屬:Homo sapiens (Human)
-
克隆類型:Polyclonal
-
純化方式:Antibodies were produced by immunizing rabbits with synthetic phosphopeptide and KLH conjugates. Antibodies were purified by affinity-chromatography using epitope-specific phosphopeptide. Non-phospho specific antibodies were removed by chromatogramphy usi
-
濃度:It differs from different batches. Please contact us to confirm it.
-
產品提供形式:Liquid
-
應用范圍:ELISA,WB,IHC
-
推薦稀釋比:
Application Recommended Dilution WB 1:500-1:1000 IHC 1:50-1:100 -
Protocols:
-
儲存條件:Upon receipt, store at -20°C or -80°C. Avoid repeated freeze.
-
貨期:Basically, we can dispatch the products out in 1-3 working days after receiving your orders. Delivery time maybe differs from different purchasing way or location, please kindly consult your local distributors for specific delivery time.
-
用途:For Research Use Only. Not for use in diagnostic or therapeutic procedures.
相關產品
靶點詳情
-
功能:Cytoskeletal protein involved in actin-membrane attachment at sites of cell adhesion to the extracellular matrix (focal adhesion).
-
基因功能參考文獻:
- Data suggest that FGFR3 with mutation found in patients with SADDAN (but not FGFR3 with mutation found in patients with TDII) affects cytoskeleton organization in chondrocytes by inducing tyrosine hyperphosphorylation of paxillin. (FGFR3 = fibroblast growth factor receptor 3; SADDAN = Severe Achondroplasia with Developmental Delay and Acanthosis Nigricans; TDII = Thanatophoric Dysplasia type II) PMID: 29242050
- overexpression of Paxillin significantly decreased tumor volume of colorectal cancer; miR-24 was overexpressed in natural killer cells and inhibited paxillin expression. PMID: 29494963
- XIST positively regulated PXN levels by sponging miR-137 in vitro and in vivo. Collectively, our study provided the evidence for the cross-talk between XIST, miR-137, and PXN, shedding light on the therapy for non-small cell lung cancer . PMID: 29337100
- we herein demonstrated that frequent overexpression of PXN in cervical cancer was associated with advanced tumor stage, poor differentiation and metastasis, and poor predictive outcomes PMID: 29318915
- Kindlin supports platelet GPIIB IIIA activation by interacting with paxillin. PMID: 28954813
- we collected paraffin specimens from 85 GBM patients and evaluated the expression pattern of paxillin. Notably, we found that discernable paxillin signals were detected in 67 out of 85 samples. Given that leading edge is critical for cancer cell migration, we propose that NA treatment may be developed into a potential therapy for malignant glioma PMID: 28656206
- Pxn binding to the CD103 cytoplasmic tail triggers alphaEbeta7 integrin outside-in signaling that promotes CD8(+) T-cell migratory behavior and effector functions. PMID: 29021139
- REVIEW of the functions of paxillin in pathological conditions, particularly in cell migration PMID: 28214467
- This study showed that the PXN plays as an oncogene in glioma progression and suggests a new potential biotarget for therapy PMID: 27637748
- The MBNL3 splicing factor promotes hepatocellular carcinoma by increasing paxillin expression through the alternative splicing of lncRNA-PXN-AS1. PMID: 28553938
- These data suggest that paxillin appears to influence major cell functions in a diverse range of prostate and breast cancer models. The responsiveness of cells to environmental factors such as HGF or BME may be influenced by paxillin status, although this seems to be dependent on cell type PMID: 28739717
- The role of paxillin in the aging process of skin cells is reviewed. PMID: 27708212
- interactions between Cat-1 and its binding partner paxillin are necessary to ensure sufficient Akt activation so that cancer cells are able to grow under anchorage-independent conditions PMID: 28100775
- The present findings demonstrated that the anticancer effect of docetaxel induces the apoptosis of prostate cancer via the suppression of the cofilin1 and paxillin signaling pathways, which will assist in setting a stage for the clinical treatment of prostate cancer. PMID: 27035282
- Results showed that the positive rate of PXN was significantly higher in the colorectal adenocarcinoma samples and correlated with TNM stage, distant metastasis and recurrence additionally to cetuximab resistance. PMID: 26530439
- blockade of GD3-mediated growth signaling pathways by siRNAs might be a novel and promising therapeutic strategy against malignant melanomas, provided signaling molecules such as p130Cas and paxillin are significantly expressed in individual cases. PMID: 27068854
- These findings suggest that PXN expression has potential use as a novel biomarker of laryngeal squamous cell carcinoma patients and may serve as an independent predictive factor for prognosis. PMID: 26464671
- Mode of Action of Functionally Important Regions in the Intrinsically Disordered Paxillin PMID: 26928467
- Paxillin was expressed at significantly higher levels in colorectal cancer tissues and might serve as a potential prognostic indicator in patients with colorectal cancer PMID: 26159303
- these data suggested that miR-145 plays a pivotal role in colon cancer through inhibiting cell proliferation migration and invasion, and miR-145 may serve as a tumor suppressor by targeting paxillin gene. PMID: 25973017
- In colorectal cancers PXN was positively correlated with Bcl-2, pBcl-2-S87, and MMP2 expression. PXN promotes Bcl-2 phosphorylation at Serine 87 via ERK activation, increases xenograft tumor formation, and associates with poor patient outcome. PMID: 25826088
- Bcl-2 stabilization by paxillin confers 5-fluorouracil resistance in colorectal cancer. PMID: 25323586
- Fascin-1 and paxillin were expressed in 58% and 43% of infiltrating duct carcinoma cases. There was a significant correlation between fascin-1 and paxillin expression and tumor grade, clinical stage, lymph-node metastasis grade, and HER2 expression. PMID: 26349603
- Suggest paxillin up-regulation and phosphorylation as an important mechanism of vascular remodelling underlying pulmonary hypertension. PMID: 25231004
- During early cell spreading, DLC1 is preferentially localized at the inner/mature adhesions whereas phosphorylated paxillin occupies the outer/nascent focal adhesions. In addition, DLC1 downregulates paxillin turnover PMID: 25448629
- The expression levels of Wnt5a, p-JNK1 and p-paxillin in tumor tissues were correlated with each other. PMID: 24395444
- LPS-induced paxillin phosphorylation at Y31 and Y118 was mediated by c-Abl tyrosine kinase PMID: 25795725
- This chapter outlines recent advances in understanding how paxillin regulates both steroid and growth factor signaling, focusing on the conserved nature of its actions from a frog germ cell to a human cancer cell. PMID: 25182764
- Study provides evidence that phosphorylation of PXN is required for cisplatin resistance in lung cancer cells. PMID: 24096476
- High PXN expression is associated with oral cavity squamous cell carcinoma. PMID: 24894864
- paxillin may promote cell proliferation and inhibit apoptosis in SW480 cells. Paxillin may be a potential metastasis predictor, and an independent prognosis factor of recurrence. PMID: 24451945
- MEKK2 induces paxillin ubiquitylation in breast cancer cells and this function requires both paxillin LD1 motif and MEKK2 kinase activity. PMID: 25190348
- Paxillin knockdown increases capillary endothelial cell migration and invasiveness, and thereby enhances microvessel ingrowth, by suppressing NRP2 expression. PMID: 24522185
- Through HDAC6-dependent regulation of the microtubule cytoskeleton, paxillin regulates both Golgi organelle integrity and polarized cell invasion. PMID: 25070956
- PXN plays an important role in tumor progression and may be used as a potential prognostic indicator in gastric cancer PMID: 24180516
- Future studies investigating these hypotheses on TG-2-paxillin relationships are necessary in order to address this fundamental process in cell matrix adhesion signaling. PMID: 24193434
- The data suggests that mutant PXN variants play a prominent role in mitochondrial dynamics with direct implications on lung cancer progression. PMID: 23792636
- In aneuploid tumors, EZH2 expression and paxillin expression correlate with more aggressive phenotype of breast cancer. PMID: 24344012
- ezrin and paxillin may have roles in aggressive tumor features and invasiveness in urothelial bladder tumors PMID: 21868260
- The paxillin plays vital roles in cell motility through regulation of focal adhesion dynamics. PMID: 22481092
- Lysophosphatidic acid (LPA) induces both time and dose-dependent tyrosine phosphorylation of paxillin and focal adhesion kinase. PMID: 24061591
- Paxillin signaling contributed to tumor growth and vasculogenic mimicry of gallbladder carcinomas. PMID: 23588386
- Mutation of paxillin serine 250 prevents its phosphorylation by SLK in vitro and results in impaired migration in vivo as evidenced by an accumulation of phospho-FAK-Tyr397 and altered FA turnover rates. PMID: 23128389
- Data indicate that lasp-2 interacts with the focal adhesion proteins vinculin and paxillin. PMID: 23389630
- overexpression of PXN induced by suppression of miR-137 promotes tumor progression and metastasis and could serve as an independent prognostic indicator in colorectal cancer patients. PMID: 23275153
- Paxillin is critical for integrating physical cues from the ECM with chemical motility signals by spatially constraining where cells form motile processes, and thereby regulates directional migration. PMID: 23076140
- Fascin-1, ezrin and paxillin contribute to the malignant progression and are predictors of clinical prognosis in laryngeal squamous cell carcinoma. PMID: 23209815
- Paxillin is a new regulator protein of pulmonary arterial smooth muscle cell growth. PMID: 22959909
- phosphorylation of GIT1 on serine 46 by PKD3 represents a molecular switch by which GIT1 localization, paxillin trafficking, and cellular protrusive activity are regulated. PMID: 22893698
- Findings suggest that the MLK3-JNK-paxillin signaling axis may represent a potential prognostic marker in breast cancer metastasis. PMID: 22700880
顯示更多
收起更多
-
亞細胞定位:Cytoplasm, cytoskeleton. Cell junction, focal adhesion. Cytoplasm, cell cortex.
-
蛋白家族:Paxillin family
-
數據庫鏈接:
Most popular with customers
-
-
YWHAB Recombinant Monoclonal Antibody
Applications: ELISA, WB, IHC, IF, FC
Species Reactivity: Human, Mouse, Rat
-
Phospho-YAP1 (S127) Recombinant Monoclonal Antibody
Applications: ELISA, WB, IHC
Species Reactivity: Human
-
-
-
-
-















