PSPN Antibody
-
中文名稱:PSPN兔多克隆抗體
-
貨號:CSB-PA332903
-
規格:¥1100
-
圖片:
-
The image on the left is immunohistochemistry of paraffin-embedded Human brain tissue using CSB-PA332903(PSPN Antibody) at dilution 1/25, on the right is treated with synthetic peptide. (Original magnification: ×200)
-
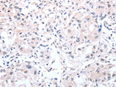
The image on the left is immunohistochemistry of paraffin-embedded Human lung cancer tissue using CSB-PA332903(PSPN Antibody) at dilution 1/25, on the right is treated with synthetic peptide. (Original magnification: ×200)
-
-
其他:
產品詳情
-
Uniprot No.:
-
基因名:PSPN
-
別名:PSPN antibody; Persephin antibody; PSP antibody
-
宿主:Rabbit
-
反應種屬:Human
-
免疫原:Synthetic peptide of Human PSPN
-
免疫原種屬:Homo sapiens (Human)
-
標記方式:Non-conjugated
-
抗體亞型:IgG
-
純化方式:Antigen affinity purification
-
濃度:It differs from different batches. Please contact us to confirm it.
-
保存緩沖液:-20°C, pH7.4 PBS, 0.05% NaN3, 40% Glycerol
-
產品提供形式:Liquid
-
應用范圍:ELISA,IHC
-
推薦稀釋比:
Application Recommended Dilution ELISA 1:1000-1:5000 IHC 1:25-1:100 -
Protocols:
-
儲存條件:Upon receipt, store at -20°C or -80°C. Avoid repeated freeze.
-
貨期:Basically, we can dispatch the products out in 1-3 working days after receiving your orders. Delivery time maybe differs from different purchasing way or location, please kindly consult your local distributors for specific delivery time.
-
用途:For Research Use Only. Not for use in diagnostic or therapeutic procedures.
相關產品
靶點詳情
-
功能:Exhibits neurotrophic activity on mesencephalic dopaminergic and motor neurons.
-
基因功能參考文獻:
- Results suggested that PSPN is a possible key regulator of oral squamous cell carcinoma (OSCC) progression via PSPN-RET-mitogen-activated protein kinase activation and that PSPN overexpression may have diagnostic potential for OSCC. PMID: 24375483
- Results identify persephin, a GDNF family member, as a novel ligand for GFRalpha1/RET receptor complex. PMID: 20350599
- Persephin/GFRalpha4 is unable to recruit RET protein into lipid rafts. PMID: 15225646
- The results obtained suggest the involvement of NTN, PSP, and ART in processes subserving both the organization of this cortical region during development and the functional activity and maintenance of the mature human hippocampal neurons. PMID: 15829225
- No differences were found in the allelic frequencies of the variants or in the haplotype distribution between Hirschsprung's disease patients & controls, nor to any demographic/clinical parameters within the group of patients. PMID: 18970938
顯示更多
收起更多
-
亞細胞定位:Secreted.
-
蛋白家族:TGF-beta family, GDNF subfamily
-
數據庫鏈接:
Most popular with customers
-
-
YWHAB Recombinant Monoclonal Antibody
Applications: ELISA, WB, IHC, IF, FC
Species Reactivity: Human, Mouse, Rat
-
Phospho-YAP1 (S127) Recombinant Monoclonal Antibody
Applications: ELISA, WB, IHC
Species Reactivity: Human
-
-
-
-
-















