PRSS3 Antibody
-
中文名稱:PRSS3兔多克隆抗體
-
貨號:CSB-PA12319A0Rb
-
規格:¥440
-
圖片:
-
Western Blot
Positive WB detected in: U87 whole cell lysate
All lanes: PRSS3 antibody at 3µg/ml
Secondary
Goat polyclonal to rabbit IgG at 1/50000 dilution
Predicted band size: 33, 29, 27, 26 kDa
Observed band size: 27 kDa -
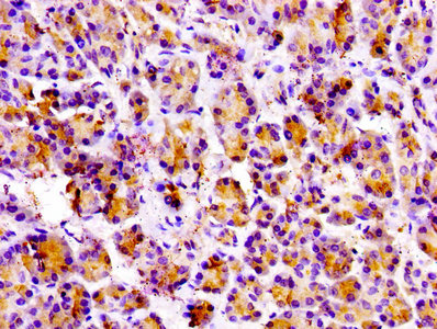
IHC image of CSB-PA12319A0Rb diluted at 1:100 and staining in paraffin-embedded human pancreatic tissue performed on a Leica BondTM system. After dewaxing and hydration, antigen retrieval was mediated by high pressure in a citrate buffer (pH 6.0). Section was blocked with 10% normal goat serum 30min at RT. Then primary antibody (1% BSA) was incubated at 4°C overnight. The primary is detected by a biotinylated secondary antibody and visualized using an HRP conjugated SP system.
-
-
其他:
產品詳情
-
產品名稱:Rabbit anti-Homo sapiens (Human) PRSS3 Polyclonal antibody
-
Uniprot No.:
-
基因名:PRSS3
-
別名:Brain trypsinogen antibody; Mesotrypsin antibody; Mesotrypsinogen antibody; MTG antibody; Pancreatic trypsinogen III antibody; Protease, serine, 3 antibody; Protease, serine, 4 (trypsin 4, brain) antibody; PRSS3 antibody; PRSS4 antibody; Serine protease 3 antibody; Serine protease 4 antibody; T9 antibody; TRY3 antibody; TRY3_HUMAN antibody; TRY4 antibody; Trypsin 3 antibody; Trypsin III antibody; Trypsin IV antibody; Trypsin-3 antibody; Trypsinogen 4 antibody; Trypsinogen 5 antibody; Trypsinogen IV antibody
-
宿主:Rabbit
-
反應種屬:Human
-
免疫原:Recombinant Human Trypsin-3 protein (81-303AA)
-
免疫原種屬:Homo sapiens (Human)
-
標記方式:Non-conjugated
本頁面中的產品,PRSS3 Antibody (CSB-PA12319A0Rb),的標記方式是Non-conjugated。對于PRSS3 Antibody,我們還提供其他標記。見下表:
-
克隆類型:Polyclonal
-
抗體亞型:IgG
-
純化方式:>95%, Protein G purified
-
濃度:It differs from different batches. Please contact us to confirm it.
-
保存緩沖液:Preservative: 0.03% Proclin 300
Constituents: 50% Glycerol, 0.01M PBS, PH 7.4 -
產品提供形式:Liquid
-
應用范圍:ELISA, WB, IHC
-
推薦稀釋比:
Application Recommended Dilution WB 1:1000-1:5000 IHC 1:20-1:200 -
Protocols:
-
儲存條件:Upon receipt, store at -20°C or -80°C. Avoid repeated freeze.
-
貨期:Basically, we can dispatch the products out in 1-3 working days after receiving your orders. Delivery time maybe differs from different purchasing way or location, please kindly consult your local distributors for specific delivery time.
-
用途:For Research Use Only. Not for use in diagnostic or therapeutic procedures.
相關產品
靶點詳情
-
功能:Digestive protease that cleaves proteins preferentially after an Arg residue and has proteolytic activity toward Kunitz-type trypsin inhibitors.
-
基因功能參考文獻:
- PRSS3 is downregulated by intragenic hypermethylation in HCC. * Epigenetic silencing of PRSS3 facilitates growth, migration, and invasion of HCC. * PRSS3 intragenic methylation has implication in diagnosis of HCC. PMID: 28844099
- PRSS3 acts as an oncogene in invasive ductal carcinoma of the breast development and progression PMID: 28423522
- Study developed a new high resolution crystal structure of mesotrypsin complexed with diminazene through a structure-based molecular docking screen that could help facilitate derivatization efforts, addressing current pan-inhibition of human trypsins through rigidification of diminazene to select for a conformation that maximizes interactions with the non-conserved Arg-193 residue. PMID: 28463992
- Data show that silencing tumor-endothelial cells (EC) for trypsinogen 4 accumulated tissue factor pathway inhibitor-2 (TFPI-2) in the matrix. PMID: 26318044
- These findings suggest that inhibitor cleavage represents a functional adaptation of mesotrypsin that may have evolved in response to positive selection pressure. PMID: 26175157
- High PRSS3 expression in EOC tissues was significantly associated with advanced FIGO stage and lymph node metastasis. PMID: 25735255
- Data suggest that mesotrypsin cleavage of Kunitz domains may contribute to cancer progression. PMID: 25301953
- Mesotrypsin generated saposins A-D from prosaposin, and mature caspase-14 contributed to this process by activating mesotrypsinogen to mesotrypsin. Knockdown of these proteases markedly down-regulated saposin A synthesis in skin equivalent models. PMID: 24872419
- extra-pancreatic trypsinogen 3 is produced by esophageal adenocarcinoma cells and activates PAR-2 in an autocrine manner. PMID: 24146905
- IFN regulatory factor 2 (Irf2) has a regulatory role in trypsinogen5 gene transcription, which is resistant to a major endogenous trypsin inhibitor, Spink3 PMID: 22042864
- Report PRSS3/mesotrypsin upregulation in breast cancer cells and identify CD109 as the functional proteolytic target of mesotrypsin. PMID: 20035377
- PRSS3 plays an important role in the progression, metastasis and prognosis of human pancreatic cancer. PMID: 20947888
- Investigation did not reveal an association between PRSS3 variants and chronic pancreatitis. PMID: 20484962
- Because mesotrypsin is resistant to naturally occurring trypsin inhibitors, confined expression of the isoforms of mesotrypsinogens and enteropeptidase may indicate that mesotrypsin is involved in keratinocyte terminal differentiation PMID: 19924134
- Processing by mesotrypsin may ablate the protease inhibitory function of APP/protease nexin 2 in vivo and may also modulate other activities of APP/protease nexin 2 that involve the Kunitz domain. PMID: 19920152
- X-ray structure in complex with the inhibitor benzamidine at 1.7 A resolution; crystal structure reveals basis for inhibitor resistance PMID: 11827488
- biological function of human mesotrypsin is digestive degradation of trypsin inhibitors PMID: 14507909
- The results classify E32del mesotrypsinogen as a frequent polymorphic variant, which is not associated with chronic alcoholic pancreatitis PMID: 15855826
- PRSS3 promoter methylation is associated with advanced bladder cancer PMID: 15987713
- we determined the promoter hypermethylation status of PRSS3 in a case series study of primary NSCLC, and found methylation of this gene to be common, occurring in 53% (86 of 166) of tumors examined. PMID: 16013053
- Results suggest that human trypsin 4 may be one of the candidate proteases involved in the pathomechanism of multiple sclerosis via cleavage of myelin basic protein. PMID: 16412431
- analysis of structural rearrangement during the acylation step in human trypsin 4 on 4-methylumbelliferyl 4-guanidinobenzoate substrate analogue PMID: 16492676
- mesotrypsin cannot activate pancreatic zymogens, but might activate certain proteinase-activated receptors because of its thrombin-like subsite specificity; alpha1AT Pittsburgh is an effective mesotrypsin inhibitor PMID: 16759229
- human trypsinogen 4 is widely but unevenly distributed in the human brain. It is localized in neurons and glial cells, predominantly in astrocytes & the extracellular matrix. PMID: 17406981
- trypsin IV and p23 are inhibitor-resistant trypsins that can cleave and activate PARs, causing PAR(1)- and PAR(2)-dependent inflammation and PAR(2)-dependent hyperalgesia. PMID: 17623652
- This study reveals enhanced mRNA expression of trypsinogen IV and SERT and a higher 5-HT content in the small intestine of IBS patients compared to healthy subjects. PMID: 18363639
- Absence of mesotrypsinogen gene (PRSS3) copy number variations in patients with chronic pancreatitis. PMID: 18665091
- Here, we report that nexin-1 inhibits trypsin-4, and forms stable complexes only with this trypsin-isoenzyme. This result suggests that nexin-1 could modulate trypsin activity in brain where both nexin-1 and trypsin-4 are expressed. PMID: 19249338
顯示更多
收起更多
-
亞細胞定位:Secreted.
-
蛋白家族:Peptidase S1 family
-
組織特異性:Detected in pancreas and pancreatic fluid (at protein level). Expressed in pancreas and brain. Detected in ileum.
-
數據庫鏈接:
Most popular with customers
-
-
YWHAB Recombinant Monoclonal Antibody
Applications: ELISA, WB, IHC, IF, FC
Species Reactivity: Human, Mouse, Rat
-
Phospho-YAP1 (S127) Recombinant Monoclonal Antibody
Applications: ELISA, WB, IHC
Species Reactivity: Human
-
-
-
-
-















