PRDX6 Antibody
-
中文名稱:PRDX6兔多克隆抗體
-
貨號:CSB-PA596780
-
規格:¥1100
-
圖片:
-
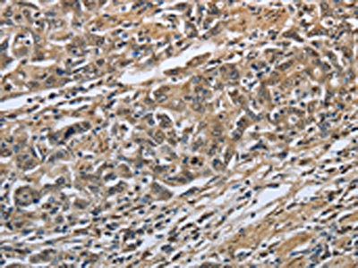
The image on the left is immunohistochemistry of paraffin-embedded Human ovarian cancer tissue using CSB-PA596780(PRDX6 Antibody) at dilution 1/25, on the right is treated with fusion protein. (Original magnification: ×200)
-
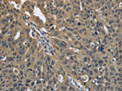
The image on the left is immunohistochemistry of paraffin-embedded Human gastric cancer tissue using CSB-PA596780(PRDX6 Antibody) at dilution 1/25, on the right is treated with fusion protein. (Original magnification: ×200)
-
Gel: 12%SDS-PAGE, Lysate: 60 μg, Lane 1-4: Hela cells, mouse intestinum tenue tissue, 293T cells, 231 cells, Primary antibody: CSB-PA596780(PRDX6 Antibody) at dilution 1/300, Secondary antibody: Goat anti rabbit IgG at 1/8000 dilution, Exposure time: 1 second
-
-
其他:
產品詳情
-
Uniprot No.:
-
基因名:
-
別名:1 Cys antibody; 1 Cys peroxiredoxin antibody; 1 Cys PRX antibody; 1 cysPrx antibody; 1-Cys peroxiredoxin antibody; 1-Cys PRX antibody; 24 kDa protein antibody; 9430088D19Rik antibody; AA690119 antibody; Acidic calcium independent phospholipase A2 antibody; Acidic calcium-independent phospholipase A2 antibody; aiPLA2 antibody; Antioxidant protein 2 antibody; AOP2 antibody; Aop2 rs3 antibody; Brp 12 antibody; Ciliary body glutathione peroxidase antibody; CP 3 antibody; EC 1.11.1.15 antibody; EC 1.11.1.7 antibody; EC 3.1.1. antibody; Epididymis secretory sperm binding protein Li 128m antibody; GPx antibody; HEL S 128m antibody; KIAA0106 antibody; Liver 2D page spot 40 antibody; Ltw4 antibody; Lvtw 4 antibody; MGC46173 antibody; mKIAA0106 antibody; Non selenium glutathione peroxidase antibody; Non-selenium glutathione peroxidase antibody; NSGPx antibody; ORF06 antibody; OTTHUMP00000032693 antibody; p29 antibody; Peroxiredoxin-6 antibody; Peroxiredoxin6 antibody; PHGPx antibody; Phospholipase A2 lysosomal antibody; PLA2 antibody; PRDX 6 antibody; Prdx5 antibody; PRDX6 antibody; Prdx6 rs3 antibody; PRDX6_HUMAN antibody; PRX antibody; Red blood cells page spot 12 antibody; Thiol specific antioxidant protein antibody
-
宿主:Rabbit
-
反應種屬:Human,Mouse,Rat
-
免疫原:Fusion protein of Human PRDX6
-
免疫原種屬:Homo sapiens (Human)
-
標記方式:Non-conjugated
-
抗體亞型:IgG
-
純化方式:Antigen affinity purification
-
濃度:It differs from different batches. Please contact us to confirm it.
-
保存緩沖液:-20°C, pH7.4 PBS, 0.05% NaN3, 40% Glycerol
-
產品提供形式:Liquid
-
應用范圍:ELISA,WB,IHC
-
推薦稀釋比:
Application Recommended Dilution ELISA 1:1000-1:5000 WB 1:500-1:2000 IHC 1:25-1:100 -
Protocols:
-
儲存條件:Upon receipt, store at -20°C or -80°C. Avoid repeated freeze.
-
貨期:Basically, we can dispatch the products out in 1-3 working days after receiving your orders. Delivery time maybe differs from different purchasing way or location, please kindly consult your local distributors for specific delivery time.
-
用途:For Research Use Only. Not for use in diagnostic or therapeutic procedures.
相關產品
靶點詳情
-
功能:Thiol-specific peroxidase that catalyzes the reduction of hydrogen peroxide and organic hydroperoxides to water and alcohols, respectively. Can reduce H(2)O(2) and short chain organic, fatty acid, and phospholipid hydroperoxides. Also has phospholipase activity, can therefore either reduce the oxidized sn-2 fatty acyl group of phospholipids (peroxidase activity) or hydrolyze the sn-2 ester bond of phospholipids (phospholipase activity). These activities are dependent on binding to phospholipids at acidic pH and to oxidized phospholipds at cytosolic pH. Plays a role in cell protection against oxidative stress by detoxifying peroxides and in phospholipid homeostasis. Exhibits acyl-CoA-dependent lysophospholipid acyltransferase which mediates the conversion of lysophosphatidylcholine (1-acyl-sn-glycero-3-phosphocholine or LPC) into phosphatidylcholine (1,2-diacyl-sn-glycero-3-phosphocholine or PC). Shows a clear preference for LPC as the lysophospholipid and for palmitoyl CoA as the fatty acyl substrate.
-
基因功能參考文獻:
- These findings implicate miR-371-3p as a suppressor of PRDX6 and suggest that co-targeting of peroxiredoxin 6 or modulating miR-371-3p expression together with targeted cancer therapies may delay or prevent acquired drug resistance. PMID: 27484502
- The present data suggest that PS2 mutations suppress lung tumor development by inhibiting the iPLA2 activity of PRDX6 via a gamma-secretase cleavage mechanism and may explain the inverse relationship between lung cancer and Alzheimer's disease incidence. PMID: 29109765
- The increased HDL and plasma levels of PRDX6 in AAA patients support the potential of PRDX6 as a new biomarker of AAA. PMID: 27934969
- These observations demonstrated that the expression and localization of NPM affected the homeostatic balance of oxidative stress in tumor cells via PRDX6 protein. The regulation axis of NPM/PRDX/ROS may provide a novel therapeutic target for cancer treatment. PMID: 28513872
- the transition-state substrate analogue inhibitor of Prdx6 phospholipase A2 activity (MJ-33) was shown to suppress Nox1 activity, suggesting Nox1 activity is regulated by the phospholipase activity of Prdx6. Finally, wild type Prdx6, but not lipase or peroxidase mutant forms, supports Nox1-mediated cell migration in the HCT-116 colon epithelial cell model of wound closure PMID: 27094494
- The constitutive elevations of Prdx6 and NF-kappaB during Clonorchis sinensis infection may be associated with more severe persistent hepatobiliary abnormalities mediated by clonorchiasis. PMID: 27554973
- Peroxidase activity was markedly reduced by mutation at either of the Leu sites and was essentially abolished by the double mutation, while PLA2 activity was unaffected. Decreased peroxidase activity following mutation of the interfacial leucines presumably is mediated via impaired heterodimerization of Prdx6 with piGST that is required for reduction and re-activation of the oxidized enzyme. PMID: 26891882
- PRX6 protein is associated with fetal esophageal development and cancer differentiation. PMID: 28293090
- PRDX6 inhibited the carcinogenesis of hepatocellular carcinoma, and the calcium-independent phospholipase A2 activity of PRDX6 promoted cancer cell death induced by TNF-alpha. PMID: 26293541
- the data demonstrate that Prdx6 interrupts the formation of TRAF6-ECSIT complex induced by TLR4 stimulation, leading to suppression of bactericidal activity because of inhibited mROS production in mitochondria and the inhibition of NF-kappaB activation in the cytoplasm. PMID: 28393051
- Thus far only the crystal structure of Prx in the oxidized state has been reported. In this study, we present the crystal structures of human Prx6 in the reduced (SH) and the sulfinic acid (SO2H) forms. PMID: 27353378
- Peroxiredoxin 6 has a role in the repair of peroxidized cell membranes and cell signaling [review] PMID: 27932289
- PRDX6-anion exchanger 1 interaction contributes to the maintenance of anion exchanger 1 during cellular stress such as during metabolic acidosis. PMID: 26398495
- Prdx6 is a complete enzyme comprising both PLA2and LPCAT activities PMID: 26830860
- Our study provides new insight into the initial regulatory mechanisms of mitophagy and reveals the protective role of PRDX6 in the clearance of damaged mitochondria. PMID: 26560306
- Thr can substitute for Ser for the enzymatic activities of Prdx6 but not for its targeting to LB. These results confirm an important role for LB Prdx6 in the degradation and remodeling of lung surfactant phosphatidylcholine. PMID: 26921317
- Prdx6 and its PLA2 activity have a protective role in donors after brain death livers. PMID: 26647763
- PRDX6 may serve as a biomarker for traumatic brain injury and that autoimmune profiling is a viable strategy for the discovery of novel biomarkers PMID: 25938937
- PRDX6 protects ARPE-19 cells from hydrogen peroxide-induced oxidative stress and apoptosis. PMID: 26279427
- Delivery of a protein transduction domain-mediated Prdx6 protein protected against oxidative stress-evoked neuronal cell death. PMID: 26447207
- AA (arachidonic acid) as a crucial effector of PRDX6-dependent proliferation and inducer of Src family kinase activation. PMID: 26285655
- High intensity of cytoplasmic Prx VI expression in pretreatment diffuse large B-cell lymphoma samples predicts worse outcome. PMID: 25935550
- overexpression of PRDX6 promotes lung tumor growth via increased glutathione peroxidase and iPLA2 activities through the upregulation of the AP-1 and JNK pathways. PMID: 23643677
- Several regions of reduced PRDX6 are in a substantially different conformation from that of the crystal structure of the peroxidase catalytic intermediate. The differences between the two structures likely reflect catalysis-related conformational changes. PMID: 25748205
- our findings indicate that PRDX6 promotes lung tumor growth via increased glutathione peroxidase and iPLA2 activities. PMID: 24512906
- decreased levels, combined with higher thiol oxidation (and probable inhibition) of PRDXs (particularly PRDX6), are noted when human sperm function is altered. PMID: 22492841
- Reactive oxygen species-evoked aberrant sumoylation signaling affects Prdx6 activity by reducing Prdx6 abundance. PMID: 24910119
- Hypoexpression of PRDX6 is associated with papillary thyroid carcinomas. PMID: 24316730
- Apoptosis related proteins ERp29, PRDX6 and MPO were differentially expressed in placentas of pregnant women with intrahepatic cholestasis and in healthy pregnant women. PMID: 24391750
- KGF can activate an antioxidant response element in a promoter without reactive oxygen species involvement and that KGF and Dex can synergistically activate the PRDX6 promoter and protect cells from oxidative stress PMID: 23815338
- The level of Prx6 protein is lower in gastric cancer tissues than in normal para-cancer tissue. Prx6 expression is significantly correlated with the differentiation degree of GC. PMID: 23158669
- The protein and mRNA expressions of Prx1 and Prx6 increased significantly in the order of normal brain tissue, grade II astrocytoma, grade III astrocytoma and grade IV astrocytoma. PMID: 22985558
- Oxidation of the catalytic cysteine in Prdx6 is required for its interaction with PiGST, the interaction plays an important role in regenerating the peroxidase activity of Prdx6. PMID: 23164639
- Drug resistance formation was accompanied by a significant increase in the expression of PRDX1, PRDX2, PRDX3, PRDX6 genes in all cancer cell strains, which confirms the importance of redox-dependent mechanisms into development of cisplatin resistance. PMID: 23113308
- a change in the conformation of Prdx6 upon its phosphorylation is the basis for enhancement of PLA(2) enzymatic activity PMID: 22663767
- (2) activity of Prdx6-PLA(2) in intact cells mediates its ability to enhance phox activity in response to fMLF PMID: 22678913
- Data suggest that SNPs of peroxiredoxin 1, 2 and 6 are not associated with esophageal cancer. PMID: 22215146
- Data suggest that Prdx6 serves an additional biochemical or structural role in supporting optimal NADPH oxidase activity. PMID: 22178385
- Results provide new insights into the distinct roles of bifunctional Prdx6 with peroxidase and PLA(2) activities in oxidative stress-induced and TNF-induced apoptosis, respectively. PMID: 21415860
- expression and function of Prdx1 and Prdx6 in MCF-7 and noncancerous MCF-10A cell lines; found elevated Prdx1 expression in MCF-7 cells and comparable expression of Prdx6; data suggest synergistic role for Prdx1 and Prdx6 in MCF-10A cells PMID: 22236188
- Study revealed novel SNPs within the PRDX6 gene and its 5' and 3' flanking regions via direct sequencing. PMID: 21627785
- It could be detected that PRDX6 is associated with tumorigenesis in tonge squamous cell carcinoma. PMID: 20796224
- Prx6 modulates TRAIL signaling as a negative regulator of caspase-8 and caspase-10 in death-inducing signaling complex formation of TRAIL-resistant metastatic cancer cells. PMID: 20829884
- The antioxidant Prdx 6 protects ovarian cancer cells against cisplatin-induced apoptosis via inactivation of the caspase signaling pathway. PMID: 21166495
- This study is the first to define the functions of the enzymatic activities of PRDX6 in metastasis and to show the involvement of arachidonic acid in PRDX6 action in intact cells. PMID: 20354123
- promotes lung cancer cell invasion by inducing urokinase-type plasminogen activator via p38 kinase, phosphoinositide 3-kinase, and Ak PMID: 19937138
- Extrinsic PRDX6 prevents UV-triggered cell death and abnormal protein expression in PRDX6-deficient lens epitheial cells. PMID: 19889963
- Data show that p29 is a novel protein that associates with p67, has peroxiredoxin activity, and has a potential role in protecting the NADPH oxidase by inactivating H(2)O(2) or altering signaling pathways affected by H(2)O(2) [neutrophil protein p29 ] PMID: 12121978
- overexpression protects cells against phospholipid peroxidation-mediated membrane damage [1-cys peroxiredoxin] PMID: 12193653
- The significant increase in peroxiredoxin 6 level in frontal cortex of patients with Pick's disease is useful in discriminating it from Down syndrome/Alzheimer's disease. PMID: 12650976
顯示更多
收起更多
-
亞細胞定位:Cytoplasm. Lysosome.
-
蛋白家族:Peroxiredoxin family, Prx6 subfamily
-
數據庫鏈接:
Most popular with customers
-
-
YWHAB Recombinant Monoclonal Antibody
Applications: ELISA, WB, IHC, IF, FC
Species Reactivity: Human, Mouse, Rat
-
Phospho-YAP1 (S127) Recombinant Monoclonal Antibody
Applications: ELISA, WB, IHC
Species Reactivity: Human
-
-
-
-
-















