PRDX2 Antibody
-
中文名稱:PRDX2兔多克隆抗體
-
貨號:CSB-PA242653
-
規格:¥1100
-
圖片:
-
The image on the left is immunohistochemistry of paraffin-embedded Human liver cancer tissue using CSB-PA242653(PRDX2 Antibody) at dilution 1/80, on the right is treated with synthetic peptide. (Original magnification: ×200)
-
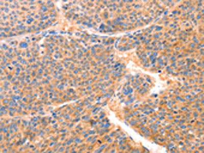
The image on the left is immunohistochemistry of paraffin-embedded Human thyroid cancer tissue using CSB-PA242653(PRDX2 Antibody) at dilution 1/80, on the right is treated with synthetic peptide. (Original magnification: ×200)
-
Gel: 12%SDS-PAGE, Lysate: 40 μg, Lane 1-4: 293T cells, hela cells, PC3 cells, human liver cancer tissue, Primary antibody: CSB-PA242653(PRDX2 Antibody) at dilution 1/750, Secondary antibody: Goat anti rabbit IgG at 1/8000 dilution, Exposure time: 10 seconds
-
-
其他:
產品詳情
-
Uniprot No.:
-
基因名:
-
別名:Epididymis secretory sperm binding protein Li 2a antibody; HEL S 2a antibody; MGC4104 antibody; Natural killer cell enhancing factor B antibody; Natural killer cell-enhancing factor B antibody; Natural Killer Enhancing Factor B antibody; NKEF B antibody; NKEF-B antibody; NKEFB antibody; Peroxiredoxin 2 antibody; Peroxiredoxin-2 antibody; PRDX 2 antibody; PRDX2 antibody; PRDX2_HUMAN antibody; PrP antibody; PRX2 antibody; PRXII antibody; PTX1 antibody; TDPX1 antibody; Thiol Specific Antioxidant 1 antibody; Thiol specific antioxidant protein antibody; Thiol-specific antioxidant protein antibody; Thioredoxin Dependent Peroxide Reductase 1 antibody; Thioredoxin peroxidase 1 antibody; Thioredoxin-dependent peroxide reductase 1 antibody; Torin antibody; TPX1 antibody; TSA antibody
-
宿主:Rabbit
-
反應種屬:Human,Mouse,Rat
-
免疫原:Synthetic peptide of Human PRDX2
-
免疫原種屬:Homo sapiens (Human)
-
標記方式:Non-conjugated
-
抗體亞型:IgG
-
純化方式:Antigen affinity purification
-
濃度:It differs from different batches. Please contact us to confirm it.
-
保存緩沖液:-20°C, pH7.4 PBS, 0.05% NaN3, 40% Glycerol
-
產品提供形式:Liquid
-
應用范圍:ELISA,WB,IHC
-
推薦稀釋比:
Application Recommended Dilution ELISA 1:2000-1:5000 WB 1:500-1:2000 IHC 1:100-1:300 -
Protocols:
-
儲存條件:Upon receipt, store at -20°C or -80°C. Avoid repeated freeze.
-
貨期:Basically, we can dispatch the products out in 1-3 working days after receiving your orders. Delivery time maybe differs from different purchasing way or location, please kindly consult your local distributors for specific delivery time.
-
用途:For Research Use Only. Not for use in diagnostic or therapeutic procedures.
相關產品
靶點詳情
-
功能:Thiol-specific peroxidase that catalyzes the reduction of hydrogen peroxide and organic hydroperoxides to water and alcohols, respectively. Plays a role in cell protection against oxidative stress by detoxifying peroxides and as sensor of hydrogen peroxide-mediated signaling events. Might participate in the signaling cascades of growth factors and tumor necrosis factor-alpha by regulating the intracellular concentrations of H(2)O(2).
-
基因功能參考文獻:
- Changes in PRDX2 redox/oligomeric states correlated with Obstructive Sleep Apnea severity/metabolic status. Six month of positive airway pressure (PAP) treatment decreased this overoxidation and generated multimeric overoxidized forms associated with chaperone/transduction signaling activity of PRDX2. PMID: 27864139
- our data suggest that overexpression of peroxiredoxin-2, annexin A2, and heat shock protein beta-1 was correlated with tumor invasion, metastasis, and poor prognosis, and therefore, these proteins may serve as potential diagnostic and therapeutic biomarkers. PMID: 29332450
- PRX-2 gene can inhibit the phenotypic change of Epidermal Stem Cells differentiating into Sweat Gland Cells and improve the ability to maintain their own specific antigens. PMID: 30070795
- Prx II exhibited more effective molecular chaperone activity than Prx I when UCH-L1 was the client. Prx II interacted with UCH-L1 through its C-terminal region to protect UCH-L1 from thermal or oxidative inactivation PMID: 29339092
- The c-Myc/miR-200b/PRDX2 loop regulates colorectal cancer (CRC) progression and its disruption enhances tumor metastasis and chemotherapeutic resistance in CRC. PMID: 29258530
- Lys191 residue in this exposed C-terminal region of oxidized Prx2 is polyubiquitinated and the ubiquitinated Prx2 is readily degraded in proteasome and autophagy. PMID: 27703196
- Our findings indicate that Prdx2 might have an important role in the regulation of trophoblast proliferation and apoptosis during early pregnancy, and that its expression is mediated by c-Myc. Thus, these two proteins may be involved in the pathogenesis of RM and may represent potential therapeutic targets PMID: 28661480
- Data indicate that Prx2 is denitrosylated by Srxn1-mediated, and the two proteins physically bind via disulfide bond formation, providing a structural basis for the enzymatic reaction that requires ATP hydrolysis. PMID: 27821734
- Overexpression of peroxiredoxin 2 and VEGFR2 in pterygium might be involved in the pathogenesis or recurrence of pterygium. The increase of VEGFR2 might be related to the increase of peroxiredoxin 2 in response to excessive reactive oxygen species from ultraviolet exposure. PMID: 28489720
- Knockdown of peroxiredoxin 2 (Prdx2) reduced the self-renewal and sphere formation in colon cancer stem cells (CSCs). PMID: 27894099
- PRDX2 and p-AKT protein expression were analyzed by immunohistochemistry technology. PMID: 28432271
- Association and oligomerization of Prx II could take part in recovery and protection of the CK BB enzyme activity from inactivation during heat-induced stress. PMID: 29227081
- Prx II plays a key role in the cancer stem cell self-renewal of hepatocellular carcinoma cells through redox regulation. PMID: 26866938
- Peroxiredoxin-2 (PRDX2) and hemoglobin-subunits proteins, which are closely involved in the response to oxidative stress. PMID: 27869326
- High PRDX2 expression is associated with colorectal cancer progression. PMID: 28125800
- Knockdown of forkhead Box M1 (FoxM1) reduced Prx II levels in H-ras(G12V)-hepatocellular carcinoma (HCC) cells, indicating FoxM1 as a direct transcription factor of Prx II in HCC. PMID: 26500057
- Prx1 and Prx2 are likely targets of urate hydroperoxide in cells. Oxidation of Prxs by urate hydroperoxide might affect cell function and be partially responsible for the pro-oxidant and pro-inflammatory effects of uric acid. PMID: 28348082
- Data indicate that peroxiredoxin 2 (PRDX2) was upregulated in white matter multiple sclerosis (MS) lesions mainly in astrocytes, and its expression level was positively correlated with the degree of inflammation and oxidative stress, and suggest that PRDX2 expression contributes to the resistance of astrocytes against oxidative damage. PMID: 28375164
- The levels of expression of carbonic anhydrase 2, catalase, and PRDX2 in the nipple discharge were significantly increased in breast ductal carcinoma patients as compared to controls. PMID: 26970563
- Activation of PRX1 and -2 indicate cold atmospheric plasma affects redox homeostasis in osteosarcoma cells PMID: 28314261
- ig-h3, Peroxiredoxin-2, and NRF2 have roles in cervical carcinogenesis PMID: 28261610
- Data show that peroxiredoxins PRDX1 and PRDX2 are upregulated in tumor B cells as compared with normal counterparts. PMID: 26636537
- Data show the protein partners of human Prx1 and Prx2 and identified three sequence motifs, or combination thereof in Prxs partners, namely: CXXC, PXXP, and LXXLL. that can be important for protein localization, function and biological pathways. [review] PMID: 26548861
- Oxidative stress promotes PRX2 and PRX3 hyperoxidation and attenuates pro-survival signaling in aging chondrocytes. PMID: 26797130
- Prx2 glutathionylation is a favorable reaction that can occur in cells under oxidative stress and may have a role in redox signaling. GSH/Grx1 provide an alternative mechanism to thioredoxin and thioredoxin reductase for Prx2 recycling. PMID: 26601956
- the species with one disulfide and one hyperoxidized active site was decameric for Prx2 and dimeric for Prx3. Reduction and re-oxidation of the hyperoxidized dimer of Prx3 produced hyperoxidized monomers PMID: 26614766
- Functional roles of catalase, PRDX2 and GPX1 during oxidative stress in human erythrocytes. PMID: 25786472
- Further conclusion showed that Prdx2 regulates VM formation by targeting VEGFR2 activation, which now represents as a therapeutic target for RC. PMID: 25471788
- Prx II has an important role in cancer cell survival via the modulation of signaling molecules involved in apoptosis and the phosphorylation of JNK by the downregulation of reactive oxygen species levels in A549/GR cells. PMID: 26021759
- Reported increased expression of ALDH3A1, PDIA3, and PRDX2 in pterygia using a proteomic approach. These proteins are presumed to have a protective role against oxidative stress-induced apoptosis. PMID: 25221425
- Prx-2 activity is compromised during red blood cell storage. PMID: 25264713
- two placental proteins, Prx3 and Prx4, may act as new placental immune targets. PMID: 25323516
- the main role of Prx2 in human erythrocytes is not to eliminate peroxide substrates. PMID: 24952139
- Our work is the first to show that nuclear levels of PRDX2 display circadian oscillation participating in the regulation of human keratinocytes redox balance. PMID: 24814289
- Taken together, cloned porcine kidney is more susceptible in JNK-induced apoptosis caused by PrxII phosphorylation, in oxidative stress condition PMID: 24909612
- the reduced expression of iNOS or peroxiredoxin 2 may play an important role in the carcinogenesis of gastric cancer PMID: 24750185
- Results suggest that PRDX2 may perform an important function in the pathogeneis of RCMD. PMID: 24862795
- findings suggest a model in which the release of PRDX2 and TRX from macrophages can modify the redox status of cell surface receptors and enable induction of inflammatory responses PMID: 25097261
- In this work we characterize Prx2 tyrosine nitration, a post-translational modification on a noncatalytic residue that increases its peroxidase activity and its resistance to overoxidation. PMID: 24719319
- Prdx2 has an essential role in regulating oxidation-induced apoptosis in colorectal cancer cells. PMID: 24234423
- Impaired antioxidant activity of Prx2 could contribute to the hemolysis. PMID: 24636884
- These findings suggest that the transduced PEP-1-PRX2 has neuroprotective functions against oxidative stress-induced cell death in vitro and in vivo PMID: 24631653
- It documents that the antioxidant protein peroxiredoxin-2 (PRDX2), the third most abundant cytoplasmic protein in RBCs, interacts with the cytoplasmic domain of B3. PMID: 23123411
- Proteomic data suggest a limited protein set is involved in SET- (template activating factor-I-) mediated cytotoxicity of TCE (trichloroethylene) in hepatocytes; this set includes CFL1 (cofilin 1), PRDX2 (peroxiredoxin 2), and S100-A11 (calgizzarin). PMID: 24631019
- cellular distribution of Peroxiredoxin I and II in human eyes PMID: 24152995
- Up-regulation of peroxiredoxin-2 is associated with gemcitabine resistance in pancreatic cancer. PMID: 24222118
- Data show peroxiredoxin 2 (Prx2) oxidation was detected at erythrocyte:neutrophil ratios found in blood and reversed over time as the oxidative burst subsided. PMID: 23603832
- Data indicate that engineered Prx2 and Prx3 variants C-terminal residues modulate the extent of hyperoxidation. PMID: 24003226
- our findings reveal that Prx2 is a key regulator of invasion and metastasis in melanoma PMID: 23749642
- Hyperoxidized peroxiredoxin 2 interacts with the protein disulfide- isomerase ERp46. PMID: 23713588
顯示更多
收起更多
-
亞細胞定位:Cytoplasm.
-
蛋白家族:Peroxiredoxin family, AhpC/Prx1 subfamily
-
數據庫鏈接:
Most popular with customers
-
YWHAB Recombinant Monoclonal Antibody
Applications: ELISA, WB, IHC, IF, FC
Species Reactivity: Human, Mouse, Rat
-
Phospho-YAP1 (S127) Recombinant Monoclonal Antibody
Applications: ELISA, WB, IHC
Species Reactivity: Human
-
-
-
-
-
-















