POU2AF1 Antibody
-
中文名稱:POU2AF1兔多克隆抗體
-
貨號:CSB-PA856023
-
規格:¥1100
-
圖片:
-
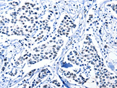
The image on the left is immunohistochemistry of paraffin-embedded Human breast cancer tissue using CSB-PA856023(POU2AF1 Antibody) at dilution 1/15, on the right is treated with synthetic peptide. (Original magnification: ×200)
-
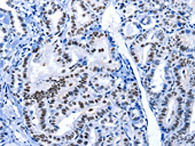
The image on the left is immunohistochemistry of paraffin-embedded Human thyroid cancer tissue using CSB-PA856023(POU2AF1 Antibody) at dilution 1/15, on the right is treated with synthetic peptide. (Original magnification: ×200)
-
-
其他:
產品詳情
-
Uniprot No.:
-
基因名:POU2AF1
-
別名:B cell Oct binding protein 1 antibody; B cell specific coactivator OBF 1 antibody; B cell specific coactivator OBF1 antibody; B-cell-specific coactivator OBF-1 antibody; BOB 1 antibody; BOB-1 antibody; OBF 1 antibody; OBF1 antibody; OBF1_HUMAN antibody; OCA B antibody; OCA-B antibody; OCAB antibody; OCT binding factor 1 antibody; OCT-binding factor 1 antibody; POU class 2 associating factor 1 antibody; POU domain class 2 associating factor 1 antibody; POU domain class 2-associating factor 1 antibody; Pou2af1 antibody
-
宿主:Rabbit
-
反應種屬:Human,Mouse
-
免疫原:Synthetic peptide of Human POU2AF1
-
免疫原種屬:Homo sapiens (Human)
-
標記方式:Non-conjugated
-
抗體亞型:IgG
-
純化方式:Antigen affinity purification
-
濃度:It differs from different batches. Please contact us to confirm it.
-
保存緩沖液:-20°C, pH7.4 PBS, 0.05% NaN3, 40% Glycerol
-
產品提供形式:Liquid
-
應用范圍:ELISA,IHC
-
推薦稀釋比:
Application Recommended Dilution ELISA 1:1000-1:2000 IHC 1:10-1:50 -
Protocols:
-
儲存條件:Upon receipt, store at -20°C or -80°C. Avoid repeated freeze.
-
貨期:Basically, we can dispatch the products out in 1-3 working days after receiving your orders. Delivery time maybe differs from different purchasing way or location, please kindly consult your local distributors for specific delivery time.
-
用途:For Research Use Only. Not for use in diagnostic or therapeutic procedures.
相關產品
靶點詳情
-
功能:Transcriptional coactivator that specifically associates with either POU2F1/OCT1 or POU2F2/OCT2. It boosts the POU2F1/OCT1 mediated promoter activity and to a lesser extent, that of POU2F2/OCT2. It has no intrinsic DNA-binding activity. It recognizes the POU domains of POU2F1/OCT1 and POU2F2/OCT2. It is essential for the response of B-cells to antigens and required for the formation of germinal centers. Regulates IL6 expression in B cells as POU2F2/OCT2 coactivator.
-
基因功能參考文獻:
- The number of follicular B2 lymphocytes and expression of the B-cell-specific transcriptional coactivator OcaB increase with age in spleen and in intra-abdominal epididymal white adipose tissue (eWAT), concomitantly with higher circulating levels of IgG and impaired glucose homeostasis. PMID: 29496744
- These findings demonstrate for the first time that functional polymorphism in the 3'-UTR of POU2AF1 is associated with susceptibility, and that single-nucleotide polymorphisms interaction with hsa-miR-633 affects gene expression and increases the risk of lymphoma. PMID: 28345816
- Oct2 and Bob1 are very reliable in determining B cell lineage in the absence of expression of other pan-B cell markers PMID: 27319306
- these findings suggest a novel function of POU2AF1 as a potential regulator of host defense genes in the human airway epithelium. PMID: 26927796
- It has been identified as a new disease susceptibility gene among Japanese. Though different from Europeans, it is indicated that a B lymphocyte differentiation route shares a common disease developing process. [Review] PMID: 24005100
- Two significant susceptibility loci, TNFSF15 (rs4979462) and POU2AF1 (rs4938534) (combined odds ratio [OR] = 1.56, p = 2.84 x 10(-14) for rs4979462. PMID: 23000144
- genetic polymorphism is associated with common variable immunodeficiency PMID: 21905497
- Data show that Igh 3' enhancer-bound OCA-B and promoter-bound TFII-I mediate promoter-enhancer interactions, in both cis and trans, that are important for Igh transcription. PMID: 21549311
- On multivariate analysis, co-expression of OCT-2/BOB.1 remained predictive for achievement of complete remission and increased risk of relapse. PMID: 20141429
- BOB.1 may be helpful marker in the differential diagnosis of classical Hodgkin's lymphoma and primary mediastinal B-cell lymphoma PMID: 20102401
- The expression of the octamer cofactor gene OBF-1 (Bob1/OCA-B) is sufficient to override the silencing effects of the B29 silencer, indicating that OBF-1 plays a critical role in B cell-specific B29 promoter expression. PMID: 11907094
- enhances transcriptional potential of Oct1 PMID: 12727885
- OCA-B sustains expression of the immunoglobulin-secreting program when T lymphoma and plasmacytoma lines are fused, requiring Oct-2 coregulator for its function. PMID: 14662861
- POU2AF1 was observed to be differentially expressed in the cells of patients with chronic lymphocytic leukemia. PMID: 15672409
- Alteration of the BOB1 locus does not correlate with its suppressed expression in Hodgkin lymphoma. PMID: 15796964
- Novel germ cell markers BOB1 were significantly upregulated in seminoma specimens, compared to normal testes. PMID: 17785371
- Oct-2 and its cofactor Bob-1 have an important function in mediating the IgH enhancer-bcl-2 promoter region interactions PMID: 18695675
顯示更多
收起更多
-
相關疾病:A chromosomal aberration involving POU2AF1/OBF1 may be a cause of a form of B-cell leukemia. Translocation t(3;11)(q27;q23) with BCL6.
-
亞細胞定位:Nucleus.
-
蛋白家族:POU2AF1 family
-
組織特異性:B-cell specific. Detected in mainly in spleen, but also in thymus, periphral blood leukocyte and small intestine.
-
數據庫鏈接:
Most popular with customers
-
-
Phospho-YAP1 (S127) Recombinant Monoclonal Antibody
Applications: ELISA, WB, IHC
Species Reactivity: Human
-
-
-
-
-
-















