POU2AF1 Monoclonal Antibody
-
中文名稱:POU2AF1鼠單克隆抗體
-
貨號:CSB-MA181399
-
規格:¥1320
-
圖片:
-
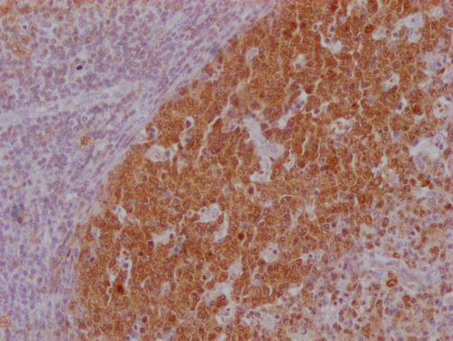
IHC image of CSB-MA181399 diluted at 1:100 and staining in paraffin-embedded human tonsil tissue performed on a Leica BondTM system. After dewaxing and hydration, antigen retrieval was mediated by high pressure in a citrate buffer (pH 6.0). Section was blocked with 10% normal goat serum 30min at RT. Then primary antibody (1% BSA) was incubated at 4°C overnight. The primary is detected by a Goat anti-mouse IgG polymer labeled by HRP and visualized using 0.05% DAB.
-
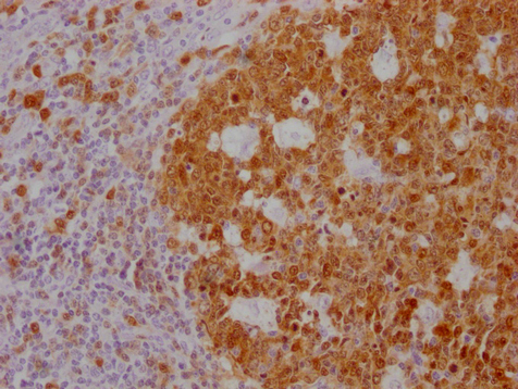
IHC image of CSB-MA181399 diluted at 1:100 and staining in paraffin-embedded human lymph node tissue performed on a Leica BondTM system. After dewaxing and hydration, antigen retrieval was mediated by high pressure in a citrate buffer (pH 6.0). Section was blocked with 10% normal goat serum 30min at RT. Then primary antibody (1% BSA) was incubated at 4°C overnight. The primary is detected by a Goat anti-mouse IgG polymer labeled by HRP and visualized using 0.05% DAB.
-
-
其他:
產品詳情
-
產品描述:本產品為針對人源POU2AF1蛋白研發的高特異性單克隆抗體(CUSABIO貨號:CSB-MA181399),該靶標作為POU結構域轉錄因子家族的重要協同激活因子,在B淋巴細胞分化發育及免疫應答調控中發揮關鍵作用,尤其在生發中心形成和抗體類別轉換等免疫學過程中具有重要研究價值??贵w經嚴格驗證可同時滿足ELISA和免疫組化(IHC)兩大實驗平臺的技術要求,能精準識別天然構象的POU2AF1抗原表位,適用于免疫微環境分析、淋巴細胞功能研究以及相關疾病機制探索等科研領域。通過優化的抗原表位篩選工藝,確??贵w在復雜樣本基質中仍保持卓越的檢測靈敏度與穩定性,為研究B細胞相關免疫調控網絡、腫瘤微環境中的免疫細胞互作以及自身免疫性疾病分子機制提供可靠工具,廣泛應用于分子生物學、免疫學及轉化醫學等基礎研究場景。
-
產品名稱:Mouse anti-Homo sapiens (Human) POU2AF1 Monoclonal antibody
-
Uniprot No.:
-
基因名:POU2AF1
-
別名:B cell Oct binding protein 1 antibody; B cell specific coactivator OBF 1 antibody; B cell specific coactivator OBF1 antibody; B-cell-specific coactivator OBF-1 antibody; BOB 1 antibody; BOB-1 antibody; OBF 1 antibody; OBF1 antibody; OBF1_HUMAN antibody; OCA B antibody; OCA-B antibody; OCAB antibody; OCT binding factor 1 antibody; OCT-binding factor 1 antibody; POU class 2 associating factor 1 antibody; POU domain class 2 associating factor 1 antibody; POU domain class 2-associating factor 1 antibody; Pou2af1 antibody
-
宿主:Mouse
-
反應種屬:Human
-
免疫原:Synthesized peptide derived from human BOB.1
-
免疫原種屬:Homo sapiens (Human)
-
標記方式:Non-conjugated
-
克隆類型:Monoclonal
-
抗體亞型:IgG2a, Kappa
-
純化方式:The antibody was affinity-purified from mouse ascites by affinity-chromatography using specific immunogen.
-
克隆號:4B3
-
濃度:It differs from different batches. Please contact us to confirm it.
-
保存緩沖液:Liquid in PBS containing 50% glycerol, 0.5% BSA and 0.02% sodium azide.
-
產品提供形式:Liquid
-
應用范圍:ELISA, IHC
-
推薦稀釋比:
Application Recommended Dilution IHC 1:20-1:200 -
Protocols:
-
儲存條件:Upon receipt, store at -20°C or -80°C. Avoid repeated freeze.
-
貨期:Basically, we can dispatch the products out in 1-3 working days after receiving your orders. Delivery time maybe differs from different purchasing way or location, please kindly consult your local distributors for specific delivery time.
-
用途:For Research Use Only. Not for use in diagnostic or therapeutic procedures.
相關產品
靶點詳情
-
功能:Transcriptional coactivator that specifically associates with either POU2F1/OCT1 or POU2F2/OCT2. It boosts the POU2F1/OCT1 mediated promoter activity and to a lesser extent, that of POU2F2/OCT2. It has no intrinsic DNA-binding activity. It recognizes the POU domains of POU2F1/OCT1 and POU2F2/OCT2. It is essential for the response of B-cells to antigens and required for the formation of germinal centers. Regulates IL6 expression in B cells as POU2F2/OCT2 coactivator.
-
基因功能參考文獻:
- The number of follicular B2 lymphocytes and expression of the B-cell-specific transcriptional coactivator OcaB increase with age in spleen and in intra-abdominal epididymal white adipose tissue (eWAT), concomitantly with higher circulating levels of IgG and impaired glucose homeostasis. PMID: 29496744
- These findings demonstrate for the first time that functional polymorphism in the 3'-UTR of POU2AF1 is associated with susceptibility, and that single-nucleotide polymorphisms interaction with hsa-miR-633 affects gene expression and increases the risk of lymphoma. PMID: 28345816
- Oct2 and Bob1 are very reliable in determining B cell lineage in the absence of expression of other pan-B cell markers PMID: 27319306
- these findings suggest a novel function of POU2AF1 as a potential regulator of host defense genes in the human airway epithelium. PMID: 26927796
- It has been identified as a new disease susceptibility gene among Japanese. Though different from Europeans, it is indicated that a B lymphocyte differentiation route shares a common disease developing process. [Review] PMID: 24005100
- Two significant susceptibility loci, TNFSF15 (rs4979462) and POU2AF1 (rs4938534) (combined odds ratio [OR] = 1.56, p = 2.84 x 10(-14) for rs4979462. PMID: 23000144
- genetic polymorphism is associated with common variable immunodeficiency PMID: 21905497
- Data show that Igh 3' enhancer-bound OCA-B and promoter-bound TFII-I mediate promoter-enhancer interactions, in both cis and trans, that are important for Igh transcription. PMID: 21549311
- On multivariate analysis, co-expression of OCT-2/BOB.1 remained predictive for achievement of complete remission and increased risk of relapse. PMID: 20141429
- BOB.1 may be helpful marker in the differential diagnosis of classical Hodgkin's lymphoma and primary mediastinal B-cell lymphoma PMID: 20102401
- The expression of the octamer cofactor gene OBF-1 (Bob1/OCA-B) is sufficient to override the silencing effects of the B29 silencer, indicating that OBF-1 plays a critical role in B cell-specific B29 promoter expression. PMID: 11907094
- enhances transcriptional potential of Oct1 PMID: 12727885
- OCA-B sustains expression of the immunoglobulin-secreting program when T lymphoma and plasmacytoma lines are fused, requiring Oct-2 coregulator for its function. PMID: 14662861
- POU2AF1 was observed to be differentially expressed in the cells of patients with chronic lymphocytic leukemia. PMID: 15672409
- Alteration of the BOB1 locus does not correlate with its suppressed expression in Hodgkin lymphoma. PMID: 15796964
- Novel germ cell markers BOB1 were significantly upregulated in seminoma specimens, compared to normal testes. PMID: 17785371
- Oct-2 and its cofactor Bob-1 have an important function in mediating the IgH enhancer-bcl-2 promoter region interactions PMID: 18695675
顯示更多
收起更多
-
相關疾?。?/div>A chromosomal aberration involving POU2AF1/OBF1 may be a cause of a form of B-cell leukemia. Translocation t(3;11)(q27;q23) with BCL6.亞細胞定位:Nucleus.蛋白家族:POU2AF1 family組織特異性:B-cell specific. Detected in mainly in spleen, but also in thymus, periphral blood leukocyte and small intestine.數據庫鏈接:
Most popular with customers
-
-
YWHAB Recombinant Monoclonal Antibody
Applications: ELISA, WB, IHC, IF, FC
Species Reactivity: Human, Mouse, Rat
-
-
-
-
-
-















