PLXNB2 Antibody
-
中文名稱:PLXNB2兔多克隆抗體
-
貨號:CSB-PA018223ESR1HU
-
規格:¥440
-
圖片:
-
Western blot
All lanes: PLXNB2 antibody IgG at 2.39μg/ml + Mouse liver tissue
Secondary
Goat polyclonal to rabbit IgG at 1/10000 dilution
Predicted band size: 205 kDa
Observed band size: 205 kDa -
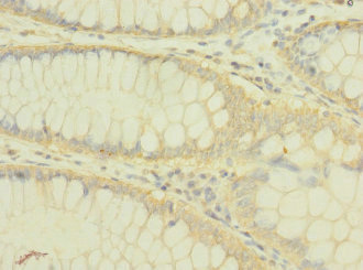
Immunohistochemistry of paraffin-embedded human colon cancer using CSB-PA018223ESR1HU at dilution of 1:100
-
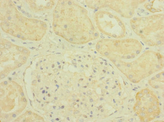
Immunohistochemistry of paraffin-embedded human kidney tissue using CSB-PA018223ESR1HU at dilution of 1:100
-
-
其他:
產品詳情
-
產品名稱:Rabbit anti-Homo sapiens (Human) PLXNB2 Polyclonal antibody
-
Uniprot No.:
-
基因名:
-
別名:PLXNB2 antibody; KIAA0315 antibody; Plexin-B2 antibody; MM1 antibody
-
宿主:Rabbit
-
反應種屬:Human, Mouse
-
免疫原:Recombinant Human Plexin-B2 protein (1080-1200AA)
-
免疫原種屬:Homo sapiens (Human)
-
標記方式:Non-conjugated
-
克隆類型:Polyclonal
-
抗體亞型:IgG
-
純化方式:Antigen Affinity Purified
-
濃度:It differs from different batches. Please contact us to confirm it.
-
保存緩沖液:PBS with 0.02% sodium azide, 50% glycerol, pH7.3.
-
產品提供形式:Liquid
-
應用范圍:ELISA, WB, IHC
-
推薦稀釋比:
Application Recommended Dilution WB 1:1000-1:5000 IHC 1:20-1:200 -
Protocols:
-
儲存條件:Upon receipt, store at -20°C or -80°C. Avoid repeated freeze.
-
貨期:Basically, we can dispatch the products out in 1-3 working days after receiving your orders. Delivery time maybe differs from different purchasing way or location, please kindly consult your local distributors for specific delivery time.
-
用途:For Research Use Only. Not for use in diagnostic or therapeutic procedures.
相關產品
靶點詳情
-
功能:Cell surface receptor for SEMA4C, SEMA4D and SEMA4G that plays an important role in cell-cell signaling. Plays a role in glutamatergic synapse development and is required for SEMA4A-mediated excitatory synapse development. Binding to class 4 semaphorins promotes downstream activation of RHOA and phosphorylation of ERBB2 at 'Tyr-1248'. Required for normal differentiation and migration of neuronal cells during brain corticogenesis and for normal embryonic brain development. Regulates the migration of cerebellar granule cells in the developing brain. Plays a role in RHOA activation and subsequent changes of the actin cytoskeleton. Plays a role in axon guidance, invasive growth and cell migration. May modulate the activity of RAC1 and CDC42.
-
基因功能參考文獻:
- Knocking down of PLXNB2 with PLXNB2 siRNA results in repressed ovarian cancer cell proliferation and invasion, and decreased phosphorylation of AKT and ERK1/2 PMID: 30054097
- Study shows that plexin-B2 (PLXNB2) is the functional receptor for ANG in endothelial, cancer, neuronal, and normal hematopoietic and leukemic stem and progenitor cells. PMID: 29100074
- Analysis of the interaction of Plexin-B1 and Plexin-B2 with Rnd family proteins shows lack of binding specificity. PMID: 29040270
- plexin-B2 is a downstream target for Rnd3, which contributes to its cellular function. PMID: 27656111
- Plexin-B2 promotes glioma invasion and vascularization PMID: 25762646
- In endometrial luminal epithelium, cadherin 6, desmoglein 2 and plexin b2 were surprisingly found in the apical as well as the lateral membrane domain; their knock-down compromised epithelial integrity. PMID: 25237006
- High PLEXIN B2 expression is associated with high-grade gliomas. PMID: 24158112
- Plexin B2 associates directly with two members of a recently identified family of Dbl homology/pleckstrin homology containing guanine nucleotide exchange factors for Rho, PDZ-RhoGEF, and Leukemia-associated Rho GEF (LARG). PMID: 12183458
- cleavage by proprotein convertases is a novel regulatory step for semaphorin receptors localized at the cell surface. PMID: 12533544
顯示更多
收起更多
-
亞細胞定位:Cell membrane; Single-pass type I membrane protein.
-
蛋白家族:Plexin family
-
數據庫鏈接:
Most popular with customers
-
-
YWHAB Recombinant Monoclonal Antibody
Applications: ELISA, WB, IHC, IF, FC
Species Reactivity: Human, Mouse, Rat
-
Phospho-YAP1 (S127) Recombinant Monoclonal Antibody
Applications: ELISA, WB, IHC
Species Reactivity: Human
-
-
-
-
-















