NTF4 Antibody
-
中文名稱:NTF4兔多克隆抗體
-
貨號:CSB-PA418151
-
規格:¥1100
-
圖片:
-
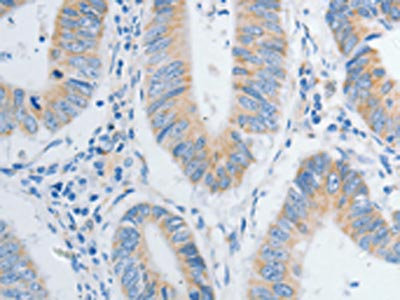
The image on the left is immunohistochemistry of paraffin-embedded Human colon cancer tissue using CSB-PA418151(NTF4 Antibody) at dilution 1/20, on the right is treated with fusion protein. (Original magnification: ×200)
-
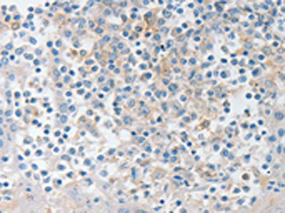
The image on the left is immunohistochemistry of paraffin-embedded Human tonsil tissue using CSB-PA418151(NTF4 Antibody) at dilution 1/20, on the right is treated with fusion protein. (Original magnification: ×200)
-
Gel: 12%SDS-PAGE, Lysate: 40 μg, Lane: 231 cells, Primary antibody: CSB-PA418151(NTF4 Antibody) at dilution 1/300, Secondary antibody: Goat anti rabbit IgG at 1/8000 dilution, Exposure time: 2 minutes
-
-
其他:
產品詳情
-
Uniprot No.:
-
基因名:
-
別名:GLC10 antibody; GLC1O antibody; Neurotrophic factor 4 antibody; Neurotrophic factor 5 antibody; Neurotrophin 4 antibody; Neurotrophin 4/5 antibody; Neurotrophin 5 (neurotrophin 4/5) antibody; Neurotrophin 5 antibody; Neurotrophin-4 antibody; Neurotrophin-5 antibody; Neutrophic factor 4 antibody; Neutrophic factor 5 antibody; NT 4 antibody; NT 4/5 antibody; NT 5 antibody; NT-4 antibody; NT-5 antibody; NT4 antibody; NT4/5 antibody; NT4P antibody; NT5 antibody; NTF4 antibody; NTF4_HUMAN antibody; NTF5 antibody
-
宿主:Rabbit
-
反應種屬:Human,Mouse,Rat
-
免疫原:Fusion protein of Human NTF4
-
免疫原種屬:Homo sapiens (Human)
-
標記方式:Non-conjugated
-
抗體亞型:IgG
-
純化方式:Antigen affinity purification
-
濃度:It differs from different batches. Please contact us to confirm it.
-
保存緩沖液:-20°C, pH7.4 PBS, 0.05% NaN3, 40% Glycerol
-
產品提供形式:Liquid
-
應用范圍:ELISA,WB,IHC
-
推薦稀釋比:
Application Recommended Dilution ELISA 1:2000-1:5000 WB 1:500-1:2000 IHC 1:10-1:50 -
Protocols:
-
儲存條件:Upon receipt, store at -20°C or -80°C. Avoid repeated freeze.
-
貨期:Basically, we can dispatch the products out in 1-3 working days after receiving your orders. Delivery time maybe differs from different purchasing way or location, please kindly consult your local distributors for specific delivery time.
-
用途:For Research Use Only. Not for use in diagnostic or therapeutic procedures.
相關產品
靶點詳情
-
功能:Target-derived survival factor for peripheral sensory sympathetic neurons.
-
基因功能參考文獻:
- Elevated intra-amniotic levels of docosahexaenoic acid and arachidonic acid in the mid-trimester are correlated with increased NT4 concentrations. PMID: 24607879
- The NTF4 variants p.Gly157Ala and p.Ala182Val have been shown to be functional mutations, occurring in 2 of a total of 720 Chinese primary open-angle glaucoma patients. PMID: 22815630
- NT-4/5 expression is associated with atrophy of the brain-parenchymal fraction measured by magnetic resonance imaging methods in patients with relapsing-remitting multiple sclerosis. PMID: 22036954
- Suggest that a dysregulated TrkB/NT4/5 axis may contribute to several of the pathological lesions associated with pulmonary fibrosis, including type 2 alveolar cell hyperplasia and the proliferation of fibroblasts. PMID: 21330466
- neurotrophin 4 contributes to breast cancer cell survival and can serve as prospective target to inhibit tumor growth PMID: 21350004
- In vitro follicular assembly is significantly increased in fetal ovaries cultured with NT-4. PMID: 20447632
- Identification of a single mutation in our study suggests that NTF4 mutations are a rare cause of primary open-angle glaucoma (0.6%, 95%CI 0.02%-3.16%) in Chinese people. PMID: 20806036
- present data indicate a lack of involvement of variations in NTF4, VAV2, and VAV3 with glaucoma pathogenesis in an Indian population. PMID: 20463313
- Expression of human NTF4 was unchanged during gestation in the developping ovary. PMID: 20175187
- No evidence of association of heterozygous NTF4 mutations in patients with primary open-angle glaucoma. PMID: 20215012
- A mechanism to understand the defect associated with variant BDNF and provide a framework two ligands for BDNF and NT-4. PMID: 15987945
- Re-expression of the p75NTR appears to partially reverse de-differentiation of prostate cancer cells by up-regulating the expression of CRABPI for localized sequestration of retinoids. PMID: 16316409
- Results revealed the expression of NT-4/5 mainly in oocytes and, in a minority of samples, also in the granulosa cells (GCs). PMID: 16648150
- These novel data demonstrate that neurotrophins influence ASM [Ca(2+)](i) and force regulation and suggest a potential role for neurotrophins in airway diseases PMID: 16648236
- Neurotrophin 4/5 plays a role in the proliferation and differentiation of periodontal ligament cells. PMID: 18980528
- Data show that the levels of NT-4/5 levels are significantly higher in bipolar disorder patients than in controlsNT-4/5. immunocontent alterations in bipolar disorder. PMID: 19081579
- NTF4 mutations impair neurotrophin-4 signaling in patients with primary open-angle glaucoma and lead to decreased activation of TrkB PMID: 19765683
顯示更多
收起更多
-
相關疾病:Glaucoma 1, open angle, O (GLC1O)
-
亞細胞定位:Secreted.
-
蛋白家族:NGF-beta family
-
組織特異性:Highest levels in prostate, lower levels in thymus, placenta, and skeletal muscle. Expressed in embryonic and adult tissues.
-
數據庫鏈接:
Most popular with customers
-
-
YWHAB Recombinant Monoclonal Antibody
Applications: ELISA, WB, IHC, IF, FC
Species Reactivity: Human, Mouse, Rat
-
Phospho-YAP1 (S127) Recombinant Monoclonal Antibody
Applications: ELISA, WB, IHC
Species Reactivity: Human
-
-
-
-
-















