NQO1 Antibody
-
中文名稱:NQO1兔多克隆抗體
-
貨號:CSB-PA102829
-
規格:¥1100
-
圖片:
-
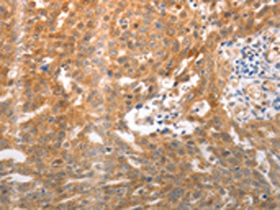
The image on the left is immunohistochemistry of paraffin-embedded Human liver cancer tissue using CSB-PA102829(NQO1 Antibody) at dilution 1/25, on the right is treated with synthetic peptide. (Original magnification: ×200)
-
The image on the left is immunohistochemistry of paraffin-embedded Human ovarian cancer tissue using CSB-PA102829(NQO1 Antibody) at dilution 1/25, on the right is treated with synthetic peptide. (Original magnification: ×200)
-
Gel: 10%SDS-PAGE, Lysate: 40 μg, Lane: Hela cells, Primary antibody: CSB-PA102829(NQO1 Antibody) at dilution 1/600, Secondary antibody: Goat anti rabbit IgG at 1/8000 dilution, Exposure time: 30 seconds
-
-
其他:
產品詳情
-
Uniprot No.:
-
基因名:NQO1
-
別名:Azoreductase antibody; Cytochrome b 5 reductase antibody; DHQU antibody; DIA 4 antibody; DIA4 antibody; Diaphorase (NADH/NADPH) (cytochrome b 5 reductase) antibody; Diaphorase (NADH/NADPH) antibody; Diaphorase 4 antibody; Dioxin inducible 1 antibody; DT diaphorase antibody; DT-diaphorase antibody; DTD antibody; Menadione reductase antibody; NAD(P)H dehydrogenase [quinone] 1 antibody; NAD(P)H dehydrogenase quinone 1 antibody; NAD(P)H menadione oxidoreductase 1 dioxin inducible antibody; NAD(P)H quinone dehydrogenase 1 antibody; NAD(P)H: menadione oxidoreductase 1 dioxin inducible 1 antibody; NAD(P)H:menadione oxidoreductase 1 antibody; NAD(P)H:Quinone acceptor oxidoreductase type 1 antibody; NAD(P)H:quinone oxidoreductase 1 antibody; NAD(P)H:quinone oxireductase antibody; NMOR 1 antibody; NMOR I antibody; NMOR1 antibody; NMORI antibody; NQO 1 antibody; NQO1 antibody; NQO1_HUMAN antibody; Phylloquinone reductase antibody; QR 1 antibody; QR1 antibody; Quinone reductase 1 antibody
-
宿主:Rabbit
-
反應種屬:Human,Mouse,Rat
-
免疫原:Synthetic peptide of Human NQO1
-
免疫原種屬:Homo sapiens (Human)
-
標記方式:Non-conjugated
-
抗體亞型:IgG
-
純化方式:Antigen affinity purification
-
濃度:It differs from different batches. Please contact us to confirm it.
-
保存緩沖液:-20°C, pH7.4 PBS, 0.05% NaN3, 40% Glycerol
-
產品提供形式:Liquid
-
應用范圍:ELISA,WB,IHC
-
推薦稀釋比:
Application Recommended Dilution ELISA 1:1000-1:5000 WB 1:500-1:2000 IHC 1:25-1:100 -
Protocols:
-
儲存條件:Upon receipt, store at -20°C or -80°C. Avoid repeated freeze.
-
貨期:Basically, we can dispatch the products out in 1-3 working days after receiving your orders. Delivery time maybe differs from different purchasing way or location, please kindly consult your local distributors for specific delivery time.
-
用途:For Research Use Only. Not for use in diagnostic or therapeutic procedures.
相關產品
靶點詳情
-
功能:The enzyme apparently serves as a quinone reductase in connection with conjugation reactions of hydroquinons involved in detoxification pathways as well as in biosynthetic processes such as the vitamin K-dependent gamma-carboxylation of glutamate residues in prothrombin synthesis.
-
基因功能參考文獻:
- functional perturbation analyses at cancer-associated P187 and K240 sites of the multifunctional NADP(H):quinone oxidoreductase 1 PMID: 30009918
- NQO1 is a FAD-dependent, two-domain multifunctional stress protein acting as a Phase II enzyme, activating cancer pro-drugs and stabilizing p53 and p73a oncosuppressors.tructural protein:protein interaction studies reveal that the cancer-associated polymorphism does not abolish the interaction with p73alpha, indicating that oncosuppressor destabilization largely mirrors the low intracellular stability of p.P187S. PMID: 28291250
- Inflammation, oxidative stress, and higher expression levels of Nrf2 and NQO1 proteins in the airways of women chronically exposed to biomass fuel smoke. PMID: 29363060
- NQO1 directly binds to the oxygen-dependent domain of HIF-1alpha and inhibits the proteasome-mediated degradation of HIF-1alpha by preventing PHDs from interacting with HIF-1alpha. PMID: 27966538
- Our genetic susceptibility study suggests that the NQO1 wild homozygous is likely to be the susceptible genotype. It means that low dose exposure to benzene (concentration under 0.6 mg/m3) can still cause health hazards to workers, and those workers with NQO1 wild homozygous genotypes were more susceptible than others. PMID: 29116991
- Although the NQO1 rs1800566 variant may not have an effect on risk of pre-eclampsia (PE) in Chinese Han women, further studies of other loci are necessary to clarify the exact role of NQO1 in the pathogenesis of PE. PMID: 29153688
- results obtained here support a previously unrecognized molecular link between polycystic ovary syndrome and endometrial cancer involving NQO1. PMID: 28748640
- In human colonic epithelial cells, significant upregulation of NAD(P)H dehydrogenase [quinone] 1 (up to threefold) and thioredoxin reductase 1 (up to twofold) by 10muM sulforaphane (from broccoli), 5muM carnosol (rosemary), and 20muM cinnamaldehyde (cinnamon) was observed. PMID: 28688915
- Hydrogen sulfide attenuates vascular smooth muscle cell calcification in vitro via the KEAP1-NRF2 redox sensing/stress response system by enhancing NQO1 expression. PMID: 28865326
- the NRF2 target NAD(P)H:quinone oxidoreductase 1 (NQO1) was investigated as a readout parameter for NRF2 activity in monocytes of chronic kidney disease patients (n = 63) compared to those of healthy controls. PMID: 28785379
- NQO1 is a potential drug target for host directed therapy for tuberculosis. PMID: 27297123
- These results indicate that dual-negative expression of Nrf2 and NQO1 is predictive of a better prognosis in NSCLC patients. PMID: 28501854
- the NQO1 Pro187Ser or SULT1A1 Arg213His polymorphism combination with smoking significantly confer susceptibility to BC. [META-ANALYSIS] PMID: 28589969
- Docosahexaenoic acid (DHA) activates Nrf2, possibly through modification of critical Keap1 cysteine 288 residue and PKCdelta-mediated phosphorylation of Nrf2, leading to upregulation of HO-1 and NQO1 expression. PMID: 28604588
- the upregulation of Cav1 contributed to the DHA-mediated p53 activation and the downregulation of the redox enzyme, NAD(P)H:quinone oxidoreductase 1 (NQO1), which have been reported to contribute to the activation of the cell death pathway. PMID: 28498397
- NQO1 may act as a redox-dependent switch where the protein responds to the NAD(P)+/NAD(P)H redox environment by altering its structure promoting the binding or dissociation of NQO1 with target macromolecules PMID: 29298345
- Taken together, we proposed that NQO1 could potentiate NSCLC cell proliferation by enhancing cellular glycometabolism, and HKII is a key mediator of this mechanism. PMID: 29291405
- The higher incidence of NQO1 mutants among bronchopulmonary dysplasia (BPD) neonates as well as the presence of the mutant allele in all neonates with <= 1,000 g who developed BPD provided the first evidence for a possible pathogenetic role of the C(609)T polymorphism in BPD susceptibility due to the reduction or loss of NQO1 enzymatic activity. PMID: 26683602
- Activity of the enzyme NQO1 does not appear to be developmentally regulated, with levels of hepatic activity as high in neonates and children as they are in adults. Obesity may increase hepatic NQO1 activity in children. PMID: 26856346
- Novel RNA-binding activity of NQO1 promotes SERPINA1 mRNA translation. PMID: 27515817
- NQO1 overexpression correlated to tumor size, venous infiltration and late pTNM stage of hepatocellular carcinoma. NQO1 overexpression was also related to low disease-free survival and 5-year survival rates. PMID: 28964792
- Results from reverse transcription polymerase chain reaction and promoter assays reveal that HX-1171 increased the expression of NQO1 and HMOX1, encoding antioxidant-related enzymes, in A549 human lung epithelial cells. PMID: 28300285
- Results show that H80R causes a population shift in the conformational ensemble of apo-P187S, remodelling the structure and dynamics of the FAD-binding site and reducing the energetic penalization arising from the equilibrium between apo- and holo-states. PMID: 28771686
- The C609T polymorphism within NQO1 is independently associated with CAD in women, but no association was observed in whole study population or in men. PMID: 26690082
- This study suggests that HNC samples should be screened for NQO1 expression to identify patients that will likely benefit from combined therapy with beta-lap and IR. PMID: 27196777
- The results indicate that NQO1*2 genotype may increase susceptibility to DN in north Indian subjects with T2DM. PMID: 27078674
- Thus, our findings indicated that NQO1 could stabilize Herp protein expression via indirect regulation of synoviolin. PMID: 27084451
- NQO1 and GCLC were both functionally sufficient to autonomously confer a tamoxifen-resistant metabolic phenotype, characterized by i) increased mitochondrial biogenesis, ii) increased ATP production and iii) reduced glutathione levels. PMID: 28411284
- NQO1 induces hepatocellular carcinoma cell apoptosis and proliferation inhibition through the AMPK/PGC-1alpha pathway. PMID: 28191864
- the expression of NRF2, KEAP1, NQO-1 and HO-1 are increased significantly in advanced laryngeal squamous cell carcinoma, compared with the adjacent normal mucosa. Remarkable relevance exists between high expression of KEAP1, NQO-1, HO-1 and nuclear NRF2. their expression levels were independent of age, tumor stage (clinical stage III and IV), tumor size and lymph node metastasis. PMID: 27840932
- (i) melatonin counteracted UVR-induced alterations in the ATP synthesis and reduced free radical formation; (ii) melatonin induced the translocation of Nrf2 transcription factor from the cytosol into the nucleus resulting in, (iii) melatonin enhanced gene expression of phase-2 antioxidative enzymes including gamma-glutamylcysteine synthetase (gamma-GCS), heme oxygenase-1 (HO-1), and NADPH: quinone dehydrogenase-1 (NQO1... PMID: 27117941
- Coptisine exerted its antioxidant activity against AAPH-induced toxicity involving in activating Akt and JNK/Nrf2/NQO1 pathway. PMID: 27903425
- These results do not support the view that the C609T polymorphism has a role in the pathogenesis of Myelodysplastic Syndrome. PMID: 27453274
- significant structural and functional changes incurred by NQO1 antioxidant protein as a result of alteration in its nucleotide, are reported. PMID: 27349566
- Study provides a comprehensive picture of the structural and dynamic consequences of NQO1 polymorphisms, linking changes in protein dynamics with impaired NQO1 function and FAD binding, particularly for p.P187S, leading to increased cancer susceptibility. PMID: 26838129
- Polymorphism of the NQO1 Gene is associated with Breast Cancer. PMID: 27039751
- patients who carry the wild type genotype or only one polymorphism for either NQO1 or GSTP1 gene have possibly a better clinical outcome after the natalizumab therapy. PMID: 27993870
- The association of colorectal adenomas with the rs6983267 variant at 8q24 was considered as 'highly credible', the 'less credible' associations were identified with a further four variants of four independent genes: MTHFR c.677C>T p.A222V(rs1801133), TP53 c.215C>G p.R72P (rs1042522), NQO1 c.559C>T p.P187S (rs1800566), and NAT1 alleles imputed as fast acetylator genotypes. [meta-analysis] PMID: 26451011
- Results show that NQO1 is up-regulated in non-small cell lung neoplasm which correlates with poor survival. PMID: 26553038
- Meta-analysis. our results showed that NQO1 C609T polymorphism increases the risk of Alzheimer disease in Chinese populations. PMID: 25562627
- The present study revealed that NQO1 CT, TT and CT+TT genotypes may be associated with clinical outcome and risk of developing NSCLC in the Indian population. PMID: 26625776
- Flavin reductase and calreticulin play key roles in the development of pemetrexed-associated resistance in lung adenocarcinoma cells. PMID: 26452990
- NQO1 was significantly increased in all of the diseased livers including peri-hepatocellular carcinoma tissues. PMID: 26459724
- NQO1 single nucleotide polymorphism rs1800566 involved in the ornithine decarboxylase pathway can be a genetic susceptibility factor for gastric cancer. PMID: 25079701
- NQO1 overexpression was a main determinant for a potential chemotherapy resistance or an increased sensitivity to quinone-bearing compounds. PMID: 26687450
- mercury increases oxidative stress (increased HO1 and NQO1 mRNA levels) and alters the cytoskeleton in the human endometrial Ishikawa cell line and to a lesser extent, in the "less-differentiated" human endometrial Hec-1b cells PMID: 26600472
- NQO1 gene polymorphisms influence stable warfarin doses in Korean patients PMID: 26257249
- The present results demonstrate that exacerbated cisplatin-induced nephrotoxicity under the NQO1-knockout condition was accompanied by the reduced expression of MRN complex proteins, ATM, PARP1, and Sirt1. PMID: 26723870
- Its genotype in cervical cell samples may be associated with more severe precancerous lesions of the cervix in a Japanese population. PMID: 25697264
- NQO1 Stabilizes p53 in Response to Oncogene-Induced Senescence. PMID: 26078718
顯示更多
收起更多
-
亞細胞定位:Cytoplasm.
-
蛋白家族:NAD(P)H dehydrogenase (quinone) family
-
數據庫鏈接:
Most popular with customers
-
-
YWHAB Recombinant Monoclonal Antibody
Applications: ELISA, WB, IHC, IF, FC
Species Reactivity: Human, Mouse, Rat
-
Phospho-YAP1 (S127) Recombinant Monoclonal Antibody
Applications: ELISA, WB, IHC
Species Reactivity: Human
-
-
-
-
-















