NPY1R Antibody
-
中文名稱:NPY1R兔多克隆抗體
-
貨號:CSB-PA104468
-
規格:¥1100
-
圖片:
-
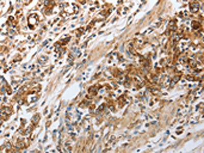
The image on the left is immunohistochemistry of paraffin-embedded Human gastic cancer tissue using CSB-PA104468(NPY1R Antibody) at dilution 1/30, on the right is treated with synthetic peptide. (Original magnification: ×200)
-
The image on the left is immunohistochemistry of paraffin-embedded Human cervical cancer tissue using CSB-PA104468(NPY1R Antibody) at dilution 1/30, on the right is treated with synthetic peptide. (Original magnification: ×200)
-
Gel: 10%SDS-PAGE, Lysate: 60 μg, Lane: Human fetal brain tissue, Primary antibody: CSB-PA104468(NPY1R Antibody) at dilution 1/500, Secondary antibody: Goat anti rabbit IgG at 1/8000 dilution, Exposure time: 2 minutes
-
-
其他:
產品詳情
-
Uniprot No.:
-
基因名:
-
別名:NPY1R; NPYR; NPYY1; Neuropeptide Y receptor type 1; NPY1-R
-
宿主:Rabbit
-
反應種屬:Human,Rat
-
免疫原:Synthetic peptide of Human NPY1R
-
免疫原種屬:Homo sapiens (Human)
-
標記方式:Non-conjugated
-
抗體亞型:IgG
-
純化方式:Antigen affinity purification
-
濃度:It differs from different batches. Please contact us to confirm it.
-
保存緩沖液:-20°C, pH7.4 PBS, 0.05% NaN3, 40% Glycerol
-
產品提供形式:Liquid
-
應用范圍:ELISA,WB,IHC
-
推薦稀釋比:
Application Recommended Dilution ELISA 1:1000-1:5000 WB 1:500-1:2000 IHC 1:25-1:100 -
Protocols:
-
儲存條件:Upon receipt, store at -20°C or -80°C. Avoid repeated freeze.
-
貨期:Basically, we can dispatch the products out in 1-3 working days after receiving your orders. Delivery time maybe differs from different purchasing way or location, please kindly consult your local distributors for specific delivery time.
-
用途:For Research Use Only. Not for use in diagnostic or therapeutic procedures.
相關產品
靶點詳情
-
功能:Receptor for neuropeptide Y and peptide YY. The rank order of affinity of this receptor for pancreatic polypeptides is NPY > [Pro-34] PYY, PYY and [Leu-31, Pro-34] NPY > NPY (2-36) > [Ile-31, Gln-34] PP and PYY (3-36) > PP > NPY free acid.
-
基因功能參考文獻:
- the current review aims to compile, evaluate and summarise current knowledge on PYY, with particular emphasis on obesity and diabetes treatment, and the importance of specific Y receptor interactions for this. PMID: 29412828
- crystal structures of the human Y1R bound to the two selective antagonists UR-MK299 and BMS-193885 at 2.7 and 3.0 A resolution, respectively PMID: 29670288
- NPY1R plays an inhibitory role in tumor growth and may be a promising therapeutic target for Hepatocellular carcinoma PMID: 27262566
- expressed in to B and T lymphocytes and mast cells in infantile hemangiomas PMID: 27889920
- MAPK activation by NPY Y1 receptors is an internalization-independent pathway and that this receptor can transactivate the IGFR receptor. PMID: 25817573
- Report design of argininamide-type NPY1R antagonists. PMID: 25884646
- Y1R expression in visceral adipose tissue might be an indicator of increased risk of metabolic syndrome. PMID: 23838112
- The influence of beta-arrestin adaptors and endocytosis mechanisms on plasma membrane diffusion and particle brightness of GFP-tagged neuropeptide Y (NPY) receptors, was investigated. PMID: 22487268
- Npy1 receptor transgene overexpression is associated with modest anxiolytic-like effect on mice in the open field and elevated plus maze tests. PMID: 21971867
- For the first time we report a significant association between nicotine dependence and DRD5, NPY1R MAP3K4 single nucleotide polymorphism. PMID: 22309839
- neuropeptide Y1 and Y2 receptors were expressed in 33 percent of testicular tumors and Y1 on intratumoral blood vessels in 50 percent of testicular tumors PMID: 21295110
- The increased expression of NPY Y1 receptor may be related to local blood flow reduction and structural changes of pelvic supporting tissue in patients with pelvic organ prolapse. PMID: 18953866
- A C-terminal tyrosine-based motif is critical for the constitutive internalization of Y(1) receptors lacking the last 32 C-terminal amino acids. PMID: 20837140
- results suggest that the receptor-ligand interactions have changed during evolution after Y1 and Y2 arose from a common ancestral receptor PMID: 20471432
- NPY1R and NPY5R have roles in nutrient-specific food intake in Europeans PMID: 19759915
- the NPY Y(1) receptor induces the expression of CRE containing target genes through the CaM kinase-CREB pathway PMID: 11814622
- Peptide YY and neuropeptide Y exert their effects through the NPY1 receptors in human colon mucosa. PMID: 11906964
- human NPY Y1 and NPY Y2 receptors were detected in cerebral, meningeal, and coronary arteries using reverse transcriptase-polymerase chain reaction (RT-PCR); in addition, the trigeminal and superior cervical ganglia were positive for both receptors PMID: 12084524
- Expression of Y1 receptors characterize reactive and proliferating glial cells of diseased retina and may be involved in proliferation of injured glial cells causing regrowth of vitreoretinopathy membranes and consequent secondary retinal detachments. PMID: 12203398
- High expression of neuropeptide Y receptor Y1 is associated with tumors of the human adrenal gland and extra-adrenal paraganglia PMID: 15623622
- Neuropeptide-Y induced endothelial cell migration was mimicked by agonists and fully blocked by antagonists for any specific NPY receptor (NPY1R). PMID: 16891622
- data suggest that the K374T variant is a rare, nonfunctional polymorphism of the NPY-Y1R gene and that mutations of the highly conserved NPY-Y1R gene do not represent a frequent mechanism underlying human idiopathic central pubertal disorders. PMID: 17140570
- Ewing sarcoma family of tumors expressed the NPY receptor subtype Y1 on tumor cells in remarkably high incidence PMID: 18698022
- ICL3 stabilizes the Y1 receptor in the inactive state and confers structural properties critical for regulating Y receptor activation and signal transduction PMID: 18812316
- Results suggest that rabbit and human Y1, Y2 and Y5 receptor subtypes are well conserved, whereas Y4 receptors are less well conserved. PMID: 19481128
- the studied LEP, NPY1R and GPR54 variants do not have a major influence upon pubertal timing in Caucasian women. PMID: 19506390
- novel pathophysiological links between the NPY1R locus, autonomic activity, and blood pressure PMID: 19712806
顯示更多
收起更多
-
亞細胞定位:Cell membrane; Multi-pass membrane protein.
-
蛋白家族:G-protein coupled receptor 1 family
-
數據庫鏈接:
Most popular with customers
-
-
YWHAB Recombinant Monoclonal Antibody
Applications: ELISA, WB, IHC, IF, FC
Species Reactivity: Human, Mouse, Rat
-
-
-
-
-
-















