NPHS1 Antibody
-
中文名稱:NPHS1兔多克隆抗體
-
貨號:CSB-PA967591
-
規格:¥1100
-
圖片:
-
The image on the left is immunohistochemistry of paraffin-embedded Human brain tissue using CSB-PA967591(NPHS1 Antibody) at dilution 1/40, on the right is treated with synthetic peptide. (Original magnification: ×200)
-
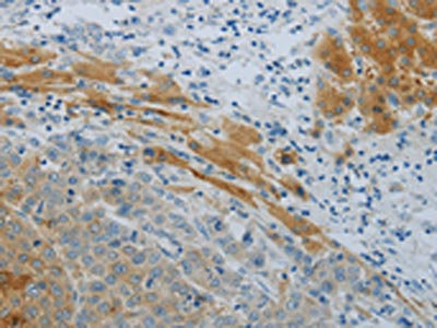
The image on the left is immunohistochemistry of paraffin-embedded Human liver cancer tissue using CSB-PA967591(NPHS1 Antibody) at dilution 1/40, on the right is treated with synthetic peptide. (Original magnification: ×200)
-
Gel: 8%SDS-PAGE, Lysate: 40 μg, Lane: Mouse kidney tissue, Primary antibody: CSB-PA967591(NPHS1 Antibody) at dilution 1/700, Secondary antibody: Goat anti rabbit IgG at 1/8000 dilution, Exposure time: 1 minute
-
-
其他:
產品詳情
-
Uniprot No.:
-
基因名:
-
別名:CNF antibody; Nephrin antibody; Nephrosis 1 congenital Finnish type antibody; Nephrosis 1, congenital, Finnish type (nephrin) antibody; NPHN antibody; NPHN_HUMAN antibody; NPHS 1 antibody; Nphs1 antibody; Renal glomerulus specific cell adhesion receptor antibody; Renal glomerulus-specific cell adhesion receptor antibody
-
宿主:Rabbit
-
反應種屬:Human,Mouse,Rat
-
免疫原:Synthetic peptide of Human NPHS1
-
免疫原種屬:Homo sapiens (Human)
-
標記方式:Non-conjugated
-
抗體亞型:IgG
-
純化方式:Antigen affinity purification
-
濃度:It differs from different batches. Please contact us to confirm it.
-
保存緩沖液:-20°C, pH7.4 PBS, 0.05% NaN3, 40% Glycerol
-
產品提供形式:Liquid
-
應用范圍:ELISA,WB,IHC
-
推薦稀釋比:
Application Recommended Dilution ELISA 1:2000-1:5000 WB 1:500-1:2000 IHC 1:25-1:100 -
Protocols:
-
儲存條件:Upon receipt, store at -20°C or -80°C. Avoid repeated freeze.
-
貨期:Basically, we can dispatch the products out in 1-3 working days after receiving your orders. Delivery time maybe differs from different purchasing way or location, please kindly consult your local distributors for specific delivery time.
-
用途:For Research Use Only. Not for use in diagnostic or therapeutic procedures.
相關產品
靶點詳情
-
功能:Seems to play a role in the development or function of the kidney glomerular filtration barrier. Regulates glomerular vascular permeability. May anchor the podocyte slit diaphragm to the actin cytoskeleton. Plays a role in skeletal muscle formation through regulation of myoblast fusion.
-
基因功能參考文獻:
- Mutation analysis showed that each patient carried a compound heterozygous mutation of NPHS1 gene. Patient 1 carried IVS 24 + 5 G > A and c2663G > A (p.R888K) mutations (Figs. 1 and 2). Patient 2 carried IVS6-1G > C and c1760T > G (p.L587R) mutations (Figs. 3 and 4). Each mutation was inherited from paternal and maternal DNA respectively. PMID: 28160156
- Angiotensin II has a role in increasing glomerular permeability by beta-arrestin mediated nephrin endocytosis PMID: 28004760
- This prospective observational study compare urine nephrin:creatinine ratio (NCR, ng/mg) with serum soluble fms-like tyrosine kinase-1:placental growth factor ratio (FPR, pg/pg) for preeclampsia (PE) prediction among unselected asymptomatic pregnant women in 2(nd) trimester. PMID: 27874074
- Outcomes of renal replacement therapy in NPHS1 patients in Europe were analysed using data from the ESPN/ERA-EDTA Registry PMID: 27761660
- WHSC1L1-L acts as a histone methyltransferase in podocytes and regulates nephrin gene expression, which may in turn contribute to the integrity of the slit diaphragm of the glomerular filtration barrier. PMID: 28228401
- Two novel putatively deleterious NPHS1 variants were identified in children with steroid-resistant nephrotic syndrome. PMID: 28476686
- On genetic analysis of NPHS1 a paternally derived heterozygous frame-shift mutation caused by an 8 bp deletion, resulting in a stop codon in exon 16 (c.2156-2163 delTGCACTGC causing p.L719DfsX4), and a novel, maternally derived nonsense mutation in exon 15 (c.1978G>T causing p.E660X) were identified. PMID: 27882743
- Case Reports: NPHS1 mutations in four Brazilian cases of congenital nephrotic syndrome. PMID: 26560236
- The classical form is CNF, which is caused by mutations in the nephrin gene (NPHS1), leading to massive proteinuria, hypoproteinemia and edema in the newborn period PMID: 25711261
- there is a link found of the glomerular protein nephrin and the antihypertensive action of angiotensin receptor antagonists in the treatment of hypertension. PMID: 25622599
- A novel nonsense mutation in NPHS1 linking aortic stenosis associated with congenital nephropathy, is reported. PMID: 26174680
- Activated IQGAP1, as an intracellular partner of nephrin, is involved in actin cytoskeleton organization and functional regulation of podocytes. PMID: 25652011
- NPHS1 rs437168 variant is associated with nephrotic syndrome in children. PMID: 25599733
- Coding variants in NPHS1 are associated with both risk for and protection from common forms of nephropathy in African Americans. PMID: 24948143
- Phosphorylation of nephrin is important for the survival status of podocytes. PMID: 24515388
- No pathogenic NPHS1 mutations were found in the cohort of children with steroid-resistant focal segmental glomerulosclerosis. PMID: 24856380
- Proteinuria in patients with seropositive rheumatoid arthritis is associated with increased levels of urine nephrin excretion, the highest levels of nephrin excretion were registered in patients with glomerulonephritis and amyloidosis. PMID: 24848282
- the frequency of identified disease causing mutations (NPHS1 and NPHS2) in children with steroid-resistant nephrotic syndome is 11.4%, and they show no response to treatment. PMID: 24413855
- The results suggest that the functions of Nephrin and Podocin are highly conserved between the zebrafish pronephros and mammalian metanephros. PMID: 24337247
- An Iranian boy with Finnish-type congenital nephrotic syndrome was homozygous for a 1 bp duplication near the splice acceptor site of exon 17 of the NPHS1 gene (intron 16: c.2213-2dupA homozygous mutation). His parents were heterozygous. PMID: 24089175
- Congenital nephrotic syndrome associated mutations in the NPHS1 gene in two Greek patients. PMID: 24371179
- In diabetic glomerulosclerosis, glomeruli with crescents contained a mixture of crescentic cells expressing either claudin 1 or nephrin. Rare crescentic cells coexpressed nephrin and claudin 1. PMID: 24529330
- Mutations in NPHS1 gene occur in Iranian children with steroid sensitive nephrotic syndrome and steroid resistant nephrotic syndrome. PMID: 24498843
- summarize the current knowledge of the functions of nephrin and Neph-family proteins and transcription factors and agents that control nephrin and Neph3 gene expression. PMID: 24219158
- The planar cell polarity pathway contributes to podocyte development by regulating nephrin turnover during junctional remodeling as the cells differentiate. PMID: 23824190
- Nck may facilitate dynamic signaling events at the slit diaphragm by promoting Fyn-dependent phosphorylation of nephrin. PMID: 23188823
- we discovered 10 different mutations, 3 of them novel, consisting of 1 splice site mutation (IVS 7 + 1 G 1 T) and 2 missense mutations (p.Y977C and p.L215R). PMID: 22584503
- In the glomeruli of CNS patients carrying mutations in NPHS1, where SD formation is disrupted, the expression of SIRPalpha as well as Neph1 and nephrin was significantly decreased, indicating that SIRPalpha is closely associated with the nephrin complex PMID: 22747997
- Dynamin-mediated Nephrin phosphorylation regulates glucose-stimulated insulin release in pancreatic beta cells. PMID: 22718751
- A total of 7 homozygous (6 novel) mutations were found in the NPHS1 gene and 4 homozygous mutations in the NPHS2 gene. PMID: 22565185
- Finding lesuggest that NPHS1 mutations are also present in sporadic Chinese CNS cases. PMID: 22653594
- finding that nephrinuria is observed in a majority of these normoalbuminuric patients demonstrates that it may precede microalbuminuria PMID: 22615747
- Nephrin ligation resulted in abnormal morphology of actin tails in human podocytes when Ship2, Filamin or Lamellipodin were individually knocked down. PMID: 22194892
- The expression of nephrin in different clinical types of hepatitis B virus-associated membranous nephropathy was significantly different. Expression in patients with nephrotic syndrome was significantly lower than in patients without nephrotic syndrome. PMID: 22176966
- Two novel mutations of c.2783C>A and c.2225T>C in NPHS1 were found to be causative in this Chinese CNF family with no known Finnish ancestry PMID: 22009864
- 1,25(OH)(2)D(3) stimulates nephrin expression in podocytes by acting on a VDRE in the proximal nephrin promoter. PMID: 21803771
- Data show that the main slit diaphragm proteins, nephrin and podocin, are affected from the earlier stages of lupus nephritis and their expression correlates with disease histology. PMID: 21478284
- Podocyte-specific protein nephrin gene expression is decreased in women with preeclampsia. PMID: 19528353
- PKC alpha mediates beta-arrestin2-dependent nephrin endocytosis in hyperglycemia. PMID: 21321125
- PKCalpha is involved in reduction of nephrin surface expression; activation of PKCalpha is a pathomechanistic key event during the development of diabetic nephropathy PMID: 20419132
- Novel mutations in steroid-resistant nephrotic syndrome diagnosed in Tunisian children were detected in NPHS1. PMID: 21125408
- NPHS1 mutations are associated with congenital nephrotic syndrome. PMID: 20172850
- podocyte protein kidney anion exchanger 1 interacts with nephrin and kinase to maintain the structure and function of the glomerular basement membrane. PMID: 20576809
- Coexpression of CIN85/Ruk(L) with CD2AP led to a decreased binding of CIN85/Ruk(L) to nephrin and podocin, which indicates a functional competition between CD2AP and CIN85/Ruk(L). PMID: 20457601
- The presence of the different genotypes of NPHS1 (AA genotype of rs401824 and GG genotype of rs437168) was associated with susceptibility to membranous glomerulonephritis and with remission of proteinuria during disease progression after therapy. PMID: 20138859
- NPHS1 mutations associated with an earlier onset of congenital nephrotic syndrome and worse renal outcomes than NPHS2 mutations. PMID: 20507940
- By means of gel supershift and chromatin immunoprecipitation assays we have shown that the protein factor from podocyte nuclear extracts able to recognize and bind the target sequence is the Sp1 zinc-finger protein. PMID: 19816048
- Nephrin is an active component of insulin vesicle machinery that may affect its vesicle-actin interaction and mobilization to the plasma membrane. PMID: 19833886
- evaluated the pathogenicity of amino-acid substitutions using the biophysical and biochemical difference between wild-type and mutant amino acid, the evolutionary conservation of the amino-acid residue in orthologs, and defined domains PMID: 19812541
- The single nucleotide polymorphism rs#466452 of the nephrin gene seems to be neutral in relation to diabetes and the development of diabetic nephropathy, and does not affect the splicing of a nephrin transcript, in spite of a splicing enhancer site. PMID: 19746264
顯示更多
收起更多
-
相關疾病:Nephrotic syndrome 1 (NPHS1)
-
亞細胞定位:Cell membrane; Single-pass type I membrane protein.
-
蛋白家族:Immunoglobulin superfamily
-
組織特異性:Specifically expressed in podocytes of kidney glomeruli.
-
數據庫鏈接:
Most popular with customers
-
-
Phospho-YAP1 (S127) Recombinant Monoclonal Antibody
Applications: ELISA, WB, IHC
Species Reactivity: Human
-
-
-
-
-
-















