NELL1 Antibody
-
中文名稱:NELL1兔多克隆抗體
-
貨號:CSB-PA846105ESR2HU
-
規格:¥440
-
圖片:
-
Western blot
All lanes: NELL1 antibody at 4.52µg/ml
Lane 1: Hela whole cell lysate
Lane 2: Jurkat whole cell lysate
Secondary
Goat polyclonal to rabbit IgG at 1/10000 dilution
Predicted band size: 90, 85 kDa
Observed band size: 85 kDa -
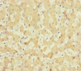
Immunohistochemistry of paraffin-embedded human liver tissue using CSB-PA846105ESR2HU at dilution of 1:100
-
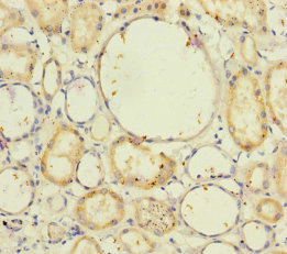
Immunohistochemistry of paraffin-embedded human kidney tissue using CSB-PA846105ESR2HU at dilution of 1:100
-
-
其他:
產品詳情
-
產品名稱:Rabbit anti-Homo sapiens (Human) NELL1 Polyclonal antibody
-
Uniprot No.:
-
基因名:NELL1
-
別名:FLJ45906 antibody; IDH3GL antibody; NEL like 1 (chicken) antibody; NEL like protein 1 antibody; Nel related protein 1 antibody; NEL-like 1 (chicken) antibody; NEL-like protein 1 antibody; Nel-related protein 1 antibody; NELL 1 protein short isoform antibody; Nell1 antibody; NELL1_HUMAN antibody; Neural epidermal growth factor like 1 antibody; NRP1 antibody; Protein kinase C binding protein NELL1 antibody; Protein kinase C-binding protein NELL1 antibody
-
宿主:Rabbit
-
反應種屬:Human
-
免疫原:Recombinant Human Protein kinase C-binding protein NELL1 protein (160-420AA)
-
免疫原種屬:Homo sapiens (Human)
-
標記方式:Non-conjugated
-
克隆類型:Polyclonal
-
抗體亞型:IgG
-
純化方式:Antigen Affinity Purified
-
濃度:It differs from different batches. Please contact us to confirm it.
-
保存緩沖液:PBS with 0.02% sodium azide, 50% glycerol, pH7.3.
-
產品提供形式:Liquid
-
應用范圍:ELISA, WB, IHC
-
推薦稀釋比:
Application Recommended Dilution WB 1:1000-1:5000 IHC 1:20-1:200 -
Protocols:
-
儲存條件:Upon receipt, store at -20°C or -80°C. Avoid repeated freeze.
-
貨期:Basically, we can dispatch the products out in 1-3 working days after receiving your orders. Delivery time maybe differs from different purchasing way or location, please kindly consult your local distributors for specific delivery time.
-
用途:For Research Use Only. Not for use in diagnostic or therapeutic procedures.
相關產品
靶點詳情
-
功能:Plays a role in the control of cell growth and differentiation. Promotes osteoblast cell differentiation and terminal mineralization.
-
基因功能參考文獻:
- Results show that NELL1 methylation level was 6.8% higher in renal cell cancer (RCC) tissues associated with advanced disease of distant metastases, and shorter RFS. Analyses suggested that NELL1 DNA methylation is a promising candidate prognostic epigenetic biomarker for more detailed analyses of RCC disease. PMID: 30272321
- This work indicates that NELL-1, HMGB1, and CCN2 might enhance bone defect healing via the recruitment of endogenous cells and induction of vascularization and act via different processes than BMP2. PMID: 28463604
- NELL1 variant is associated with tobacco- and HPV-mediated oral oncogenesis. PMID: 30091681
- Results demonstrate that NELL1 is differentially expressed in fusion-positive alveolar rhabdomyosarcoma (ARMS) and in embryonal rhabdomyosarcoma (ERMS) samples, and they show that this transcriptional difference partially depends on genomic DNA methylation. The study also found that high NELL1 levels are correlated with negative RMS prognostic factors and with poor tumor outcomes. PMID: 28380437
- lipoaspirate-derived hPSCs present a novel and abundant cell source of MSCs for cartilage regeneration, and the combinatorial application of NELL-1, TGF-beta3, and BMP-6 with hPSCs may remarkably enhance and accelerate cartilage repair. PMID: 26700847
- establish the feasibility of combining NELL-1 with BMP2 to improve clinical bone regeneration and provide mechanistic insight into canonical Wnt pathway activity during NELL-1 and BMP2 osteogenesis PMID: 26772960
- Data suggest that TSPN (N-terminal thrombospondin-1-like) domain of NELL1 exhibits major heparin-binding sites which may be involved in interaction of NELL1 with cell surface heparan sulfate proteoglycans. PMID: 26627376
- NELL-1 signaling activates Wnt/beta-catenin signaling. PMID: 26082355
- We also detected lower relative expression of Nell-1 by real-time PCR. Furthermore, immunohistochemical analyses revealed that Nell-1 staining was less intense in cancer tissue relative to normal tissue and that the tumor cells had spread to the muscle PMID: 26090379
- CpG islands in the NELL1 and NELL2 promoters are hypermethylated in renal cell carcinoma.NELL1 and NELL2 protein expression is downregulated in clear cell renal carcinoma. PMID: 25726761
- NELL-1 demonstrates diffuse and reliable expression in benign but not malignant bone-forming skeletal tumors PMID: 25791475
- NELL1 overexpression greatly enhanced the osteogenic differentiation and mineral synthesis of iPSC-MSCs on RGD-grafted CPC scaffold for the first time. PMID: 25220281
- Two single-nucleotide polymorphisms of the NELL1 gene may represent a novel mechanism underlying hydrochlorothiazide-induced adverse metabolic effects (meta-analysis). PMID: 23400010
- NELL1 is able to promote the osteogenic differentiation of periodontal ligament stem cells, which may be related to the downregulation of Msx2 expression. PMID: 22767336
- Activation of the JNK pathway is necessary to mediate terminal osteogenic different-iation of Saos-2 osteosarcoma cells by rhNELL-1. PMID: 22797704
- Data indicate that LvNELL1 infection promoted the osteogenic differentiation of hADSCs, and the effect was comparable with that of LvBMP2. PMID: 23017834
- SHH and NELL-1 directed signaling produced additive effects on the pro-osteogenic and antiadipogenic differentiation of adipose derived stem cells. PMID: 22264144
- Prediction of radiographic severity in Ankolysing Spondylitis based on clinical variables can be significantly improved by including SNPs at ADRB1 (rs1801253), NELL1 (rs8176785) and MHC (rs1634747, rs9270986, rs7451962 and rs241453) genes. PMID: 22495925
- These results identify one potential mechanism of action for rhNELL-1 induced osteogenesis and highlight a fundamental difference between NELL-1 and BMP-2 signaling. PMID: 22580275
- NELL-1 may produce functional cartilage with properties similar to native cartilage. PMID: 21902605
- Results suggest that Osterix is a direct transcriptional regulator with repressive effect on NELL-1 gene expression, contributing to a delicate balance of regulatory effects on NELL-1 transcription with Runx2. PMID: 21931789
- Nell-1 is a candidate growth factor able to induce pericyte osteogenic differentiation. PMID: 21615216
- the effects of NELL-1 on osteoblastic differentiation and proliferation are partly through binding to APR3 PMID: 21723284
- The osteogenic effects of NELL1 on femoral distraction osteogenesis, was investigated. PMID: 20959151
- a potent growth factor that is highly specific to the osteochondral lineage, and has demonstrated robust induction of bone in multiple in vivo models [review] PMID: 20647499
- Data indicate that NELL1 is a ubiquitous inflammatory bowel disease susceptibility locus. PMID: 17684544
- Runx2 directly binds to the osteoblast specific binding elements 2 elements and transactivates the human NELL-1 promoter. PMID: 17042739
- Promoter hypermethylation of NELL1 is a common, tissue-specific event in human EAC, occurs early during Barrett's-associated esophageal neoplastic progression, and is a potential biomarker of poor prognosis in early-stage EAC PMID: 17452981
- findings suggest that upon binding to a specific receptor NELL1 transduces an osteogenic signal through activation of certain Tyr-kinases associated with the Ras-MAPK cascade, and finally leads to the osteogenic differentiation PMID: 18082140
- Clinical trial and genome-wide association study of gene-disease association, gene-environment interaction, and pharmacogenomic / toxicogenomic. (HuGE Navigator) PMID: 18519826
- Transgenic mice overexpressing Nell-1 develop craniosynostosis. PMID: 12235118
顯示更多
收起更多
-
亞細胞定位:Cytoplasm. Nucleus envelope. Secreted. Note=Colocalizes with ATRAID on the nuclear envelope and the perinuclear region.
-
數據庫鏈接:
Most popular with customers
-
-
YWHAB Recombinant Monoclonal Antibody
Applications: ELISA, WB, IHC, IF, FC
Species Reactivity: Human, Mouse, Rat
-
Phospho-YAP1 (S127) Recombinant Monoclonal Antibody
Applications: ELISA, WB, IHC
Species Reactivity: Human
-
-
-
-
-















