-
中文名稱:NDUFB5兔多克隆抗體
-
貨號:CSB-PA015652ESR1HU
-
規格:¥440
-
圖片:
-
Western blot
All lanes: NDUFB5 antibody at 2.64µg/ml
Lane 1: Mouse heart tissue
Lane 2: Mouse kidney tissue
Lane 3: 293T whole cell lysate
Lane 4: Jurkat whole cell lysate
Lane 5: MCF-7 whole cell lysate
Secondary
Goat polyclonal to rabbit IgG at 1/10000 dilution
Predicted band size: 22, 16 kDa
Observed band size: 16 kDa -
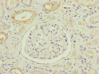
Immunohistochemistry of paraffin-embedded human kidney tissue using CSB-PA015652ESR1HU at dilution of 1:100
-
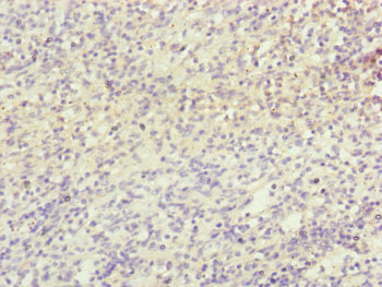
Immunohistochemistry of paraffin-embedded human spleen tissue using CSB-PA015652ESR1HU at dilution of 1:100
-
Immunofluorescent analysis of Hela cells using CSB-PA015652ESR1HU at dilution of 1:100 and Alexa Fluor 488-congugated AffiniPure Goat Anti-Rabbit IgG(H+L)
-
-
其他:
產品詳情
-
產品名稱:Rabbit anti-Homo sapiens (Human) NDUFB5 Polyclonal antibody
-
Uniprot No.:
-
基因名:
-
別名:CI SGDH antibody; CI-SGDH antibody; Complex I SGDH antibody; Complex I-SGDH antibody; DKFZp686N02262 antibody; FLJ30597 antibody; MGC111204 antibody; MGC12314 antibody; mitochondrial antibody; NADH dehydrogenase (ubiquinone) 1 beta subcomplex 5 antibody; NADH dehydrogenase (ubiquinone) 1 beta subcomplex 5 16kDa antibody; NADH dehydrogenase [ubiquinone] 1 beta subcomplex subunit 5 antibody; NADH dehydrogenase [ubiquinone] 1 beta subcomplex subunit 5 mitochondrial antibody; NADH ubiquinone oxidoreductase SGDH subunit antibody; NADH-ubiquinone oxidoreductase SGDH subunit antibody; NDUB5_HUMAN antibody; Ndufb5 antibody; SGDH antibody
-
宿主:Rabbit
-
反應種屬:Human, Mouse
-
免疫原:Recombinant Human NADH dehydrogenase [ubiquinone] 1 beta subcomplex subunit 5, mitochondrial protein (100-189AA)
-
免疫原種屬:Homo sapiens (Human)
-
標記方式:Non-conjugated
-
克隆類型:Polyclonal
-
抗體亞型:IgG
-
純化方式:Antigen Affinity Purified
-
濃度:It differs from different batches. Please contact us to confirm it.
-
保存緩沖液:PBS with 0.02% sodium azide, 50% glycerol, pH7.3.
-
產品提供形式:Liquid
-
應用范圍:ELISA, WB, IHC, IF
-
推薦稀釋比:
Application Recommended Dilution WB 1:500-1:2000 IHC 1:20-1:200 IF 1:50-1:200 -
Protocols:
-
儲存條件:Upon receipt, store at -20°C or -80°C. Avoid repeated freeze.
-
貨期:Basically, we can dispatch the products out in 1-3 working days after receiving your orders. Delivery time maybe differs from different purchasing way or location, please kindly consult your local distributors for specific delivery time.
-
用途:For Research Use Only. Not for use in diagnostic or therapeutic procedures.
引用文獻
- Potentially Critical Roles of NDUFB5, TIMMDC1, and VDAC3 in the Progression of Septic Cardiomyopathy Through Integrated Bioinformatics Analysis Kang K, et al,Dna and Cell Biology,2019
相關產品
靶點詳情
-
功能:Accessory subunit of the mitochondrial membrane respiratory chain NADH dehydrogenase (Complex I), that is believed not to be involved in catalysis. Complex I functions in the transfer of electrons from NADH to the respiratory chain. The immediate electron acceptor for the enzyme is believed to be ubiquinone.
-
基因功能參考文獻:
- This protein has been found differentially expressed in the temporal lobe from patients with schizophrenia. PMID: 19034380
-
亞細胞定位:Mitochondrion inner membrane; Single-pass membrane protein; Matrix side.
-
蛋白家族:Complex I NDUFB5 subunit family
-
數據庫鏈接:
Most popular with customers
-
-
YWHAB Recombinant Monoclonal Antibody
Applications: ELISA, WB, IHC, IF, FC
Species Reactivity: Human, Mouse, Rat
-
Phospho-YAP1 (S127) Recombinant Monoclonal Antibody
Applications: ELISA, WB, IHC
Species Reactivity: Human
-
-
-
-
-















