MYL6 Antibody
-
中文名稱:MYL6兔多克隆抗體
-
貨號:CSB-PA777739
-
規格:¥1100
-
圖片:
-
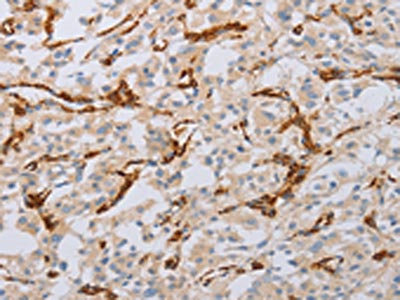
The image on the left is immunohistochemistry of paraffin-embedded Human thyroid cancer tissue using CSB-PA777739(MYL6 Antibody) at dilution 1/50, on the right is treated with fusion protein. (Original magnification: ×200)
-
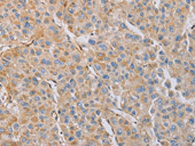
The image on the left is immunohistochemistry of paraffin-embedded Human liver cancer tissue using CSB-PA777739(MYL6 Antibody) at dilution 1/50, on the right is treated with fusion protein. (Original magnification: ×200)
-
Gel: 10%SDS-PAGE, Lysate: 40 μg, Lane: Mouse stomach tissue, Primary antibody: CSB-PA777739(MYL6 Antibody) at dilution 1/262.5, Secondary antibody: Goat anti rabbit IgG at 1/8000 dilution, Exposure time: 30 seconds
-
-
其他:
產品詳情
-
Uniprot No.:
-
基因名:
-
別名:17 kDa myosin light chain antibody; ESMLC antibody; LC 17 antibody; LC17 antibody; LC17 GI antibody; LC17 NM antibody; LC17A antibody; LC17B antibody; MLC 3 antibody; MLC-3 antibody; MLC1SM antibody; MLC3 antibody; MLC3NM antibody; MLC3SM antibody; MYL 6 antibody; MYL6 antibody; MYL6_HUMAN antibody; Myosin light chain 3 antibody; Myosin light chain 6 alkali smooth muscle and non muscle antibody; Myosin light chain A3 antibody; Myosin light chain alkali 3 antibody; Myosin light polypeptide 6 alkali smooth muscle and non muscle antibody; Myosin light polypeptide 6 antibody; Smooth muscle and non muscle myosin alkali light chain antibody; Smooth muscle and nonmuscle myosin light chain alkali 6 antibody
-
宿主:Rabbit
-
反應種屬:Human,Mouse,Rat
-
免疫原:Fusion protein of Human MYL6
-
免疫原種屬:Homo sapiens (Human)
-
標記方式:Non-conjugated
-
抗體亞型:IgG
-
純化方式:Antigen affinity purification
-
濃度:It differs from different batches. Please contact us to confirm it.
-
保存緩沖液:-20°C, pH7.4 PBS, 0.05% NaN3, 40% Glycerol
-
產品提供形式:Liquid
-
應用范圍:ELISA,WB,IHC
-
推薦稀釋比:
Application Recommended Dilution ELISA 1:1000-1:2000 WB 1:200-1:1000 IHC 1:50-1:200 -
Protocols:
-
儲存條件:Upon receipt, store at -20°C or -80°C. Avoid repeated freeze.
-
貨期:Basically, we can dispatch the products out in 1-3 working days after receiving your orders. Delivery time maybe differs from different purchasing way or location, please kindly consult your local distributors for specific delivery time.
-
用途:For Research Use Only. Not for use in diagnostic or therapeutic procedures.
相關產品
靶點詳情
-
功能:Regulatory light chain of myosin. Does not bind calcium.
-
數據庫鏈接:
Most popular with customers
-
-
YWHAB Recombinant Monoclonal Antibody
Applications: ELISA, WB, IHC, IF, FC
Species Reactivity: Human, Mouse, Rat
-
Phospho-YAP1 (S127) Recombinant Monoclonal Antibody
Applications: ELISA, WB, IHC
Species Reactivity: Human
-
-
-
-
-















