LMNB1 Antibody
-
中文名稱:LMNB1兔多克隆抗體
-
貨號:CSB-PA944715
-
規格:¥1100
-
圖片:
-
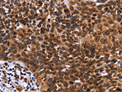
The image on the left is immunohistochemistry of paraffin-embedded Human cervical cancer tissue using CSB-PA944715(LMNB1 Antibody) at dilution 1/60, on the right is treated with fusion protein. (Original magnification: ×200)
-
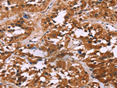
The image on the left is immunohistochemistry of paraffin-embedded Human thyroid cancer tissue using CSB-PA944715(LMNB1 Antibody) at dilution 1/60, on the right is treated with fusion protein. (Original magnification: ×200)
-
Gel: 6%SDS-PAGE, Lysate: 40 μg, Lane 1-6: Hela cells, HT29 cells, human fetal liver tissue, 231 cells, K562 cells, human bladder transitional cell carcinoma tissue, Primary antibody: CSB-PA944715(LMNB1 Antibody) at dilution 1/750, Secondary antibody: Goat anti rabbit IgG at 1/8000 dilution, Exposure time: 1 second
-
-
其他:
產品詳情
-
Uniprot No.:
-
基因名:
-
別名:ADLD antibody; lamin B1 antibody; Lamin-B1 antibody; LMN antibody; LMN2 antibody; LMNB antibody; Lmnb1 antibody; LMNB1_HUMAN antibody; MGC111419 antibody; OTTHUMP00000159218 antibody
-
宿主:Rabbit
-
反應種屬:Human,Mouse,Rat
-
免疫原:Fusion protein of Human LMNB1
-
免疫原種屬:Homo sapiens (Human)
-
標記方式:Non-conjugated
-
抗體亞型:IgG
-
純化方式:Antigen affinity purification
-
濃度:It differs from different batches. Please contact us to confirm it.
-
保存緩沖液:-20°C, pH7.4 PBS, 0.05% NaN3, 40% Glycerol
-
產品提供形式:Liquid
-
應用范圍:ELISA,WB,IHC
-
推薦稀釋比:
Application Recommended Dilution ELISA 1:2000-1:10000 WB 1:1000-1:5000 IHC 1:100-1:300 -
Protocols:
-
儲存條件:Upon receipt, store at -20°C or -80°C. Avoid repeated freeze.
-
貨期:Basically, we can dispatch the products out in 1-3 working days after receiving your orders. Delivery time maybe differs from different purchasing way or location, please kindly consult your local distributors for specific delivery time.
-
用途:For Research Use Only. Not for use in diagnostic or therapeutic procedures.
相關產品
靶點詳情
-
功能:Lamins are components of the nuclear lamina, a fibrous layer on the nucleoplasmic side of the inner nuclear membrane, which is thought to provide a framework for the nuclear envelope and may also interact with chromatin.
-
基因功能參考文獻:
- Results show that HECW2 interacts with lamin B1 mediating its ubiquitination and proteasomal degradation. PMID: 29753763
- down-regulation of Lamin B1 and up-regulation of Nephroblastoma overexpressed (NOV) are at least partially responsible for the inhibitory effect of Huaier on the proliferative and invasive capacity of SKHEP-1 cells PMID: 27503760
- The aim of the present study was to elucidate the influence of LMNB1 upregulation on colon cancer cell line after treatment with 5-FU. The results indicate, that overexpression of LMNB1 induced dose-dependent cell death mainly by mitotic catastrophe pathway. PMID: 29115590
- We show that epithelial cells failing to undergo proliferation arrest during TGF-beta-induced EMT sustain mitotic abnormalities due to failed cytokinesis, resulting in aneuploidy. This genomic instability is associated with the suppression of multiple nuclear envelope proteins implicated in mitotic regulation and is phenocopied by modulating the expression of LaminB1. PMID: 27926867
- An upstream mutation alters LMNB1 gene expression in autosomal dominant adult-onset demyelinating leukodystrophy. PMID: 25701871
- Deregulation of LMNB1 expression induces modified splicing of several genes, likely driven by raver-2 overexpression, and suggest that an alteration of mRNA processing could be a pathogenic mechanism in adult-onset autosomal dominant leukodystrophy. PMID: 25637521
- Lamin B1 levels are increased in oligodendrocytes, the cell type that produces myelin in the central nervous system. PMID: 26311780
- Nuclear envelope remodelling during human spermiogenesis involves somatic B-type lamins and a spermatid-specific B3 lamin isoform. PMID: 25477337
- LMNB1-related autosomal-dominant leukodystrophy is a slowly progressive neurological disease with survival lasting more than two decades after clinical onset. PMID: 26053668
- Lamin B1 overexpression increases nuclear rigidity in autosomal dominant leukodystrophy fibroblasts. PMID: 24858279
- Data indicate that lamin B1 promotes DNA double-strand breaks (DSBs) repair and cell survival. PMID: 25733566
- maintenance of lamin B1 levels is required for DNA replication and repair through regulation of the expression of key factors involved in these essential nuclear functions PMID: 25535332
- This led us to propose a model where the nucleolus has steady-state stiffness dependent on ribosome biogenesis activity and requires LaminB1 for its flexibility. PMID: 24297448
- The regulation of lamin B1 is important for cellular physiology and disease.To how perturbations of lamin B1 affect cellular physiology and discuss the implications this has on senescence, HGPS and ADLD. PMID: 23873483
- LMNB1 is required to maintain chromatin condensation in interphase nuclei. PMID: 24732130
- Lamin B1 plays an important role in pancreatic cancer pathogenesis and is a novel therapeutic target of betulinic acid treatment. PMID: 23857605
- we confirm the underlying role of lamin B1 duplication, regardless of the autonomic malfunction onset in Adult-onset autosomal dominant leukodystrophy PMID: 23681646
- detailed molecular analysis of the largest collection of autosomal dominant leukodystrophy (ADLD) families studied, to date; identified the minimal duplicated region necessary for the disease, defined all the duplication junctions at the nucleotide level and identified the first inverted LMNB1 duplication PMID: 23649844
- Rare variants of LMNB1 may contribute to susceptibility to neural tube defects. PMID: 23733478
- lamin B1 down-regulation in senescence is a key trigger of global and local chromatin changes that impact gene expression, aging, and cancer PMID: 23934658
- LMNB1 may contribute to senescence in at least two ways due to its uneven genome-wide redistribution: first, through the spatial reorganization of chromatin and, second, through gene repression. PMID: 23964094
- Treating normal human fibroblasts with farnesyltransferase inhibitors causes the accumulation of unprocessed lamin B2 and lamin A and a decrease in mature lamin B1. PMID: 23475125
- Results indicate that lamin B1 (LMNB1) accumulation in adult-onset autosomal dominant leukodystrophy (ADLD) is associated with Oct-1 recruitment. PMID: 23261988
- LMNB1 protein levels decline in senescent human dermal fibroblasts and keratinocytes, mediated by reduced transcription and inhibition of LMNB1 messenger ribonucleic acid translation by miRNA-23a. PMID: 23439683
- Lamin B1 is lost from primary human and murine cell strains when they are induced to senesce. PMID: 22496421
- This study demonistrated that Adult-onset autosomal dominant leukodystrophy due to LMNB1 gene duplication. PMID: 21909802
- The authors show that oxidative stress increases lamin B1 levels through p38 Mitogen Activated Protein kinase activation. PMID: 22246186
- crystal structures of lamin B1 globular tail domain and coiled 2B domain, with similar folds to Ig-like domain and coiled-coil domain of lamin A. Found an extra intermolecular disulfide bond in lamin B1 coil 2B domain, which does not exist in lamin A/C. PMID: 22265972
- LB1 expression in WI-38 cells decreases during cellular senescence PMID: 22155925
- SNP array analysis revealed novel duplications spanning the entire LMNB1 gene in probands from each of four adult-onset autosomal dominant leukodystrophy families PMID: 21225301
- Autosomal dominant leukodystrophy is the first disease that has ever been linked to lamin B1 mutations and it expands the pathological role of the nuclear lamia to include disorders of the brain. PMID: 20816241
- results suggest that a LMNB1 regulatory sequence mutation underlies the variant adult-onset autosomal dominant leukodystrophy (ADLD) phenotype; adult forms of ADLD linked to 5q23 may be more heterogeneous clinically and genetically than previously thought PMID: 19961535
- Proteomics identified lamin B1 as being significantly upregulated in HCC tumors and present in patients' plasma. PMID: 19522540
- colocalizes with lamin B1 in the nucleoplasm and around the nuclear rim during S-phase of cells transfected with EBNA-1 in the absence of EBV plasmids. PMID: 12898336
- organization of the nuclear envelope and lamina is dependent on a mechanism involving the methylation of lamin B1 PMID: 14504265
- We now show that epitope masking in the nucleus is often responsible for failure to detect emerin and lamins in human, rat and pig tissues.These data suggest that different regions of the lamin B1 molecule are masked in different tissues. PMID: 16283426
- Apoptotic neutrophils express lamin B1 on their surface; these cells may participate in the development of autoantibodies directed against cytoskeletal proteins, a condition frequently reported in several inflammatory diseases. PMID: 16365157
- lamin B was essential for the formation of the mitotic matrix that tethers a number of spindle assembly factors; propose that lamin B is a structural component of the spindle matrix that promotes microtubule assembly and organization in mitosis PMID: 16543417
- Results show that a lamin B1-containing nucleoskeleton is required to maintain RNA synthesis and that ongoing synthesis is a fundamental determinant of global nuclear architecture in mammalian cells. PMID: 18334554
- Novel duplication on chromosomal band 5q23.2 in a French Canadian family with autosomal dominant leukodystrophy that supports the implication of duplicated LMNB1 as the disease-causing mutation. PMID: 19001169
- duplication of the lamin B1 gene (LMNB1) has recently been described in a rare form of autosomal dominant adult-onset leukoencephalopathy. PMID: 19151023
- Nudel regulates microtubule organization in part by facilitating assembly of the lamin B spindle matrix in a dynein-dependent manner. PMID: 19198602
- Our work indicates that lamin B1 defects are probably not responsible for signs and symptoms resembling multiple sclerosis. PMID: 19348623
- Lamin B1 maintains the functional plasticity of nucleoli. PMID: 19383719
顯示更多
收起更多
-
相關疾病:Leukodystrophy, demyelinating, autosomal dominant, adult-onset (ADLD)
-
亞細胞定位:Nucleus inner membrane; Lipid-anchor; Nucleoplasmic side.
-
蛋白家族:Intermediate filament family
-
數據庫鏈接:
Most popular with customers
-
-
YWHAB Recombinant Monoclonal Antibody
Applications: ELISA, WB, IHC, IF, FC
Species Reactivity: Human, Mouse, Rat
-
Phospho-YAP1 (S127) Recombinant Monoclonal Antibody
Applications: ELISA, WB, IHC
Species Reactivity: Human
-
-
-
-
-















