KRT20 Antibody
-
中文名稱:KRT20兔多克隆抗體
-
貨號:CSB-PA012536LA01HU
-
規格:¥440
-
圖片:
-
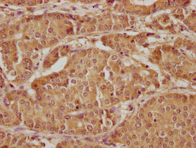
IHC image of CSB-PA012536LA01HU diluted at 1:300 and staining in paraffin-embedded human gastric cancer performed on a Leica BondTM system. After dewaxing and hydration, antigen retrieval was mediated by high pressure in a citrate buffer (pH 6.0). Section was blocked with 10% normal goat serum 30min at RT. Then primary antibody (1% BSA) was incubated at 4°C overnight. The primary is detected by a biotinylated secondary antibody and visualized using an HRP conjugated SP system.
-
Immunofluorescence staining of Hela cells with CSB-PA012536LA01HU at 1:100, counter-stained with DAPI. The cells were fixed in 4% formaldehyde, permeabilized using 0.2% Triton X-100 and blocked in 10% normal Goat Serum. The cells were then incubated with the antibody overnight at 4°C. The secondary antibody was Alexa Fluor 488-congugated AffiniPure Goat Anti-Rabbit IgG(H+L).
-
Western Blot
Positive WB detected in: COLO320 whole cell lysate, MCF-7 whole cell lysate, Hela whole cell lysate
All lanes: KRT20 antibody at 1:2000
Secondary
Goat polyclonal to rabbit IgG at 1/50000 dilution
Predicted band size: 49 kDa
Observed band size: 49 kDa
-
-
其他:
產品詳情
-
產品名稱:Rabbit anti-Homo sapiens (Human) KRT20 Polyclonal antibody
-
Uniprot No.:
-
基因名:
-
別名:CD20 antibody; CK 20 antibody; CK-20 antibody; CK20 antibody; Cytokeratin-20 antibody; Cytokeratin20 antibody; K1C20_HUMAN antibody; K20 antibody; KA20 antibody; Keratin 20 antibody; keratin 20, type I antibody; keratin 21, rat, homolog of antibody; Keratin antibody; Keratin type I cytoskeletal 20 antibody; Keratin-20 antibody; Keratin20 antibody; KRT 20 antibody; KRT 21 antibody; KRT20 antibody; KRT21 antibody; MGC35423 antibody; OTTHUMP00000164518 antibody; Protein IT antibody; type I cytoskeletal 20 antibody
-
宿主:Rabbit
-
反應種屬:Human
-
免疫原:Recombinant Human Keratin, type I cytoskeletal 20 protein (207-424AA)
-
免疫原種屬:Homo sapiens (Human)
-
標記方式:Non-conjugated
本頁面中的產品,KRT20 Antibody (CSB-PA012536LA01HU),的標記方式是Non-conjugated。對于KRT20 Antibody,我們還提供其他標記。見下表:
-
克隆類型:Polyclonal
-
抗體亞型:IgG
-
純化方式:>95%, Protein G purified
-
濃度:It differs from different batches. Please contact us to confirm it.
-
保存緩沖液:Preservative: 0.03% Proclin 300
Constituents: 50% Glycerol, 0.01M PBS, pH 7.4 -
產品提供形式:Liquid
-
應用范圍:ELISA, WB, IHC, IF
-
推薦稀釋比:
Application Recommended Dilution WB 1:1000-1:5000 IHC 1:200-1:500 IF 1:50-1:200 -
Protocols:
-
儲存條件:Upon receipt, store at -20°C or -80°C. Avoid repeated freeze.
-
貨期:Basically, we can dispatch the products out in 1-3 working days after receiving your orders. Delivery time maybe differs from different purchasing way or location, please kindly consult your local distributors for specific delivery time.
-
用途:For Research Use Only. Not for use in diagnostic or therapeutic procedures.
相關產品
靶點詳情
-
功能:Plays a significant role in maintaining keratin filament organization in intestinal epithelia. When phosphorylated, plays a role in the secretion of mucin in the small intestine.
-
基因功能參考文獻:
- Carcinoid-like/labyrinthine pattern of cell arrangement in vimentin/cytokeratin 20 expressing sebaceous neoplasms may represent a morphological phenotype of sebaceous mantles. PMID: 28027080
- In our cohort of specimens with equivocal urothelial atypia, very few patients without a prior diagnosis of bladder cancer progressed to diagnostic cancer (1 of 22), suggesting that CK20 and p53 staining results should be interpreted with caution in de novo atypia. PMID: 28967804
- results demonstrate the diagnostic value of urinary cytology and confirm CK 20 as an adjunct marker for the diagnosis of urothelial carcinoma. PMID: 28195264
- findings of our study imply that sequential staining of CK20 and E-cadherin prevents false-positive classification of BCC. Furthermore, our study demonstrated that p40 exhibits the same staining pattern in BCC, TE, and TB PMID: 26180934
- In stomach adenocarcinomas, CDH17 positively stained 64.0% (112 of 175) of tissues, compared to CK20 and CDX2, where staining was observed in only 24.6% (43 of 175) and 46.9% (82 of 175), respectively. PMID: 28029907
- results demonstrated upregulation of fibroblast growth factor receptor 1 and CK20 expressions in cancer bladder tissues PMID: 27259667
- K20 expression was detected in 6 of 75 patients with triple-negative carcinoma PMID: 26670478
- Circulating tumor cell CK20 and survivin expression may effectively predict overall survival in metastic colorectal cancer patients receiving chemotherapy. PMID: 26227487
- During postoperative follow-up, serum negative CK20 patients had significantly higher 3-year survival rates than serum positive CK20 patients. PMID: 26125781
- Patients with any EGFR, CK19, CK20 or survinin positivity in their peripheral blood obtain less benefit from radiotherapy. PMID: 25854400
- Case Report: Merkel cell carcinma that initially demonstrated cytokeratin 20 positivity but lost expression in subsequent brain metastases. PMID: 24901475
- Our data show that inclusion of CK20 as a biomarker efficiently improves the detection of CTCs in colorectal cancer patients PMID: 25528628
- The present study confirmed that CK14, but not CK20 or CK7, is expressed in urothelial carcinoma with squamous differentiation and squamous cell carcinoma of the urinary bladder. PMID: 25643514
- Immunostaining of CDX2 and CK20 provides beneficial information if considering whether to perform an endoscopic papillectomy (EP). PMID: 25081540
- High cytokeratin 20 expression is associated with invasive histological phenotype in poorly differentiated colorectal adenocarcinoma. PMID: 24403457
- Its association with clinical stage indicates that CK20 might have prognostic value as a marker for detection of circulating CRC cells. PMID: 23558939
- The CDX2/CK20 phenotype defines a distinct subgroup of colorectal cancers with microsatellite instability and poor differentiation PMID: 24025523
- Data show that lower survival (OS) and disease-free survival (DFS) rates were significantly associated with guanylate cyclase C (GCC) and CK20 mRNA levels. PMID: 23150200
- Overexpression of CK20 is associated with early-onset colorectal cancer. PMID: 23322277
- High cytokeratin 20 mrna expression is associated with lymphatic metastasis in colon cancer. PMID: 22752373
- Pouch/peripouch and UC-associated adenocarcinoma had a comparable positive rate for CK7, CK20, and CDX2 by immunohistochemistry. PMID: 22895272
- HER2 and CK20 were seen exclusively in the mucinogenic proliferations in congenital pulmonary airway malformations. PMID: 22348416
- CEA mRNA, CK20 mRNA, and serum CEA than patients at stages I-III. PMID: 22414974
- Results suggest that CK20 mRNA with other biomarkers in the peripheral blood of breast cancer patients may be useful to monitor the presence of disseminated tumor cells in the blood circulation and to predict the prognosis of breast cancer. PMID: 22677992
- Both the CK7-/CK20+ phenotype and expression of the antibody CDX2 are highly specific and sensitive markers of colorectal origin. PMID: 22268990
- This is the first reported study of the relationship between CK20/CK7 immunophenotype, BRAF mutations and microsatellite status in colorectal carcinomas PMID: 22361037
- positivity rates of CK19 and CK20 in transverse mesocolon were 48.6 and 61.2%, respectively and increased with the depth of tumor invasion PMID: 21938557
- Keratin 20 expression is common in colorectal carcinoma. PMID: 22237712
- The expressions of CK7 and CK20 in nasal polyps were analyzed. PMID: 22119824
- Cytokeratin 20-positive hepatocellular carcinoma PMID: 22073364
- CK20 and VEGF expressions in peripheral blood of colorectal carcinoma patients are promising molecular markers for disease progression and metastasis. PMID: 20395351
- Merkel cell carcinoma admixed with squamous cell carcinoma can be cytokeratin 20-negative and thyroid transcription factor-1-positive [case report] PMID: 21775107
- Our results along with the data from the literature indicate that CK7/CK20 expression may be of clinical significance. PMID: 21574103
- SATB2 in combination with cytokeratin 20 identifies over 95% of all colorectal carcinomas. PMID: 21677534
- A considerable number of colorectal carcinomas showed no immunoreactivity to CK20. PMID: 21282015
- The immunohistochemical subtypes based on CK20and MUC1 expression correlated with ampullary tumor progression. PMID: 21106111
- Case Report: CK7+/CK20- Merkel cell carcinoma presenting as inguinal subcutaneous nodules with subsequent epidermotropic metastasis. PMID: 20574624
- MMP-11 and CK-20 are probable prognostic markers whose expression reflects the stages of tumor differentiation and LNM of breast cancer. PMID: 19914229
- CK20 expression is associated with the progression of breast cancer. PMID: 19664394
- The expression level of CK20 mRNA in the peripheral blood in patients with gastric cancer declines after postoperative adjuvant chemotherapy. PMID: 19145500
- CK20 expression modified in H. pylori chronic gastritis PMID: 11642721
- expression in lymph nodes correlates with poor prognosis in colorectal cancer PMID: 11844829
- expression pattern is unique to Barrett's esophagus PMID: 11857318
- Changing pattern of cytokeratin 7 and 20 expression from normal epithelium to intestinal metaplasia of the gastric mucosa and gastroesophageal junction PMID: 11962749
- The detection of cancer metastasis in the lymph nodes in colon carcinoma is almost doubled (21.9% vs 11.1%) by CK-20 mRNA PMID: 12515621
- CK 20 mRNA identification by RT-PCR is reliable and may be useful for early diagnosis in peritoneal dissemination of colon cancer PMID: 12636102
- It is possible to apply a simple and reliable method for the detection of circulating tumor cells based on cytokeratin-20 and prostate stem cell antigen RT-PCR assays in gastrointestinal cancers. PMID: 12894563
- Down regulation of cytokeratin 20 is associated with transitional and squamous cell carcinoma of the bladder PMID: 12954496
- The combined expression of CK7 and CK20 has a low specificity in the distinction between esophageal and cardiac (stomach) adenocarcinomas. PMID: 14631371
- Alteration of CK7 and CK20 expression profile that occurs early in small intestinal tumorigenesis. PMID: 15371952
顯示更多
收起更多
-
亞細胞定位:Cytoplasm.
-
蛋白家族:Intermediate filament family
-
組織特異性:Expressed predominantly in the intestinal epithelium. Expressed in luminal cells of colonic mucosa. Also expressed in the Merkel cells of keratinized oral mucosa; specifically at the tips of some rete ridges of the gingival mucosa, in the basal layer of t
-
數據庫鏈接:
Most popular with customers
-
-
YWHAB Recombinant Monoclonal Antibody
Applications: ELISA, WB, IHC, IF, FC
Species Reactivity: Human, Mouse, Rat
-
Phospho-YAP1 (S127) Recombinant Monoclonal Antibody
Applications: ELISA, WB, IHC
Species Reactivity: Human
-
-
-
-
-















