KISS1 Antibody
-
中文名稱:KISS1兔多克隆抗體
-
貨號:CSB-PA595662
-
規格:¥1100
-
圖片:
-
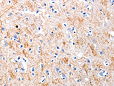
The image on the left is immunohistochemistry of paraffin-embedded Human brain tissue using CSB-PA595662(KISS1 Antibody) at dilution 1/5, on the right is treated with synthetic peptide. (Original magnification: ×200)
-
Gel: 12%SDS-PAGE, Lysate: 40 μg, Lane: Mouse brain tissue, Primary antibody: CSB-PA595662(KISS1 Antibody) at dilution 1/100, Secondary antibody: Goat anti rabbit IgG at 1/8000 dilution, Exposure time: 20 seconds
-
-
其他:
產品詳情
-
Uniprot No.:
-
基因名:KISS1
-
別名:KISS 1 antibody; KiSS 1 metastasis suppressor antibody; Kiss1 antibody; KISS1_HUMAN antibody; Kisspeptin 1 antibody; Kisspeptin 10 antibody; Kisspeptin 13 antibody; Kisspeptin 14 antibody; Kisspeptin antibody; Kisspeptin-1 antibody; Kisspeptin-10 antibody; Kisspeptin-54 antibody; Kisspeptin1 antibody; Malignant melanoma metastasis suppressor antibody; Metastasis suppressor KiSS 1 antibody; Metastasis suppressor KiSS1 antibody; Metastin antibody; MGC39258 antibody
-
宿主:Rabbit
-
反應種屬:Human,Mouse
-
免疫原:Synthetic peptide of Human KISS1
-
免疫原種屬:Homo sapiens (Human)
-
標記方式:Non-conjugated
-
抗體亞型:IgG
-
純化方式:Antigen affinity purification
-
濃度:It differs from different batches. Please contact us to confirm it.
-
保存緩沖液:-20°C, pH7.4 PBS, 0.05% NaN3, 40% Glycerol
-
產品提供形式:Liquid
-
應用范圍:ELISA,WB,IHC
-
推薦稀釋比:
Application Recommended Dilution ELISA 1:1000-1:5000 WB 1:200-1:1000 IHC 1:5-1:20 -
Protocols:
-
儲存條件:Upon receipt, store at -20°C or -80°C. Avoid repeated freeze.
-
貨期:Basically, we can dispatch the products out in 1-3 working days after receiving your orders. Delivery time maybe differs from different purchasing way or location, please kindly consult your local distributors for specific delivery time.
-
用途:For Research Use Only. Not for use in diagnostic or therapeutic procedures.
相關產品
靶點詳情
-
功能:Metastasis suppressor protein in malignant melanomas and in some breast cancers. May regulate events downstream of cell-matrix adhesion, perhaps involving cytoskeletal reorganization. Generates a C-terminally amidated peptide, metastin which functions as the endogenous ligand of the G-protein coupled receptor GPR54. Activation of the receptor inhibits cell proliferation and cell migration, key characteristics of tumor metastasis. Kp-10 is a decapeptide derived from the primary translation product, isolated in conditioned medium of first trimester trophoblast. Kp-10, but not other kisspeptins, increased intracellular Ca(2+) levels in isolated first trimester trophoblasts. Kp-10 is a paracrine/endocrine regulator in fine-tuning trophoblast invasion generated by the trophoblast itself. The receptor is also essential for normal gonadotropin-released hormone physiology and for puberty. The hypothalamic KiSS1/GPR54 system is a pivotal factor in central regulation of the gonadotropic axis at puberty and in adulthood.
-
基因功能參考文獻:
- Expression levels of MACC1, CD44, Twist1, and KiSS-1 are related to duration of overall survival among patients with colonic adenocarcinoma. PMID: 30021598
- Data suggest KISS1 as a great candidate for Cervical cancer (CC) molecular markers or as a therapeutic target for CC. Also, HPV presence does not seem to alter the KISS1 expression in CC PMID: 29914007
- KiSS-1 metastasis-suppressor protein (KISS1) expression promotes secretion of proangiogenic biomarkers and factors modulating anti-cancer immune responses. PMID: 29269086
- The genetic variation of KISS1 gene may be a factor contributing to polycystic ovary syndrome development. PMID: 29848339
- Kisspeptin and spexin serum levels in women were negatively correlated with obesity and insulin resistance. PMID: 29137471
- Data suggest that women with PCOS (polycystic ovary syndrome) exhibit increased serum kisspeptin-1 levels. PMID: 28933574
- Our studies revealed that KISS1 inhibits glycolysis and carbon sources for endogenous fatty acid oxidation (FAO). PMID: 28597070
- KiSS1 gene is a novel mediator of TGFbeta-mediated cell invasion in triple negative breast cancer. PMID: 28988968
- Kisspeptin signaling modulates steroid biosynthesis in Leydig cells. Kisspeptin produced by the interstitium targets spermatogonia and sperm cells to affect spermatogenesis onset/progression and sperm functions, respectively. PMID: 28878091
- Kisspeptin inhibited tumor growth through an EIF2AK2dependent mechanism, and an in vivo metastasis assay identified kisspeptinactivated EIF2AK2 signaling as critical for the suppression of distant metastasis. PMID: 28944853
- kisspeptin surge in serum and urine may be used as a marker for dominant follicle development and pre-ovulation. PMID: 28266227
- High plasma kisspeptin-1 is associated with premature thelarche. PMID: 28422705
- expression appears to be up-regulated in adenomyotic as compared with eutopic glandular endometrium of patients with, as well as women without, adenomyosis PMID: 27940396
- Data suggest that subjects with anorexia nervosa display broad spectrum of physical activity (2479-26,047 steps/day) which shows a negative correlation with plasma kisspeptin levels and a positive association with plasma ghrelin levels. PMID: 27693487
- Kisspeptin-10 may contribute to accelerate the progression and instability of atheromatous plaques, leading to plaque rupture. The GPR54 antagonist may be useful for prevention and treatment of atherosclerosis. PMID: 28411243
- Kiss-10 levels are significantly altered by malignancy and tumour subtypes even in patients with small renal tumours PMID: 28095383
- Study compared kisspeptin-54 and kisspeptin-10 to gain an insight into why KP-54 elicits more sustained responses than KP-10 after systemic delivery PMID: 28464043
- we conclude that KISS-1 can inhibit the proliferation of osteosarcoma in vitro by accelerating the processes of apoptosis and autophagy. PMID: 28075440
- These findings suggest that infundibular kisspeptin neurons are sensitive to circulating sex steroid hormones throughout life and that the sex reversal observed in MTF transsexuals might reflect, at least partially, an atypical brain sexual differentiation. PMID: 27046106
- Patients with ovarian epithelial cancer and low KISS1 mRNA expression had shorter survival time than those with high expression (P = 0.001).Preoperative KISS1 mRNA was a potential prognostic biomarker for EOC, and high preoperative KISS1 expression indicated a favorable prognosis. PMID: 27861355
- Lower expression of KiSS1 was observed in metastatic Breast Cancer. PMID: 27221854
- There is an increasing appreciation that kisspeptin may act as a signal transmitter between metabolic status and reproductive function PMID: 26605678
- In human cumulus GCs, kiss1r mRNA levels were positively correlated with age but not with BMI. There was no expression of kiss1 mRNA in either cumulus or mural GCs PMID: 26879207
- There was a statistically significant increase in serum kisspeptin levels from the early follicular to the preovulatory phase, and from the preovulatory to the luteal phase. PMID: 25968289
- Overexpression of KiSS-1 suppressed the invasiveness of CRC cells, and the gene exerted its function by reducing the expression of MMP-9 via blocking of tge PI3K/Akt/NF-kappaB pathway. PMID: 26847533
- kisspeptins play essential roles in reproduction [review] PMID: 26702158
- Increased placental kisspeptin expression is consistent with reduced trophoblast invasiveness and may represent a molecular mechanism that explains the development of preeclampsia. Decreased circulating kisspeptin concentration has the potential to be utilised as a marker for placental dysfunction. PMID: 26955777
- Data suggest that plasma kisspeptin and serum prolactin levels may be involved in the physiopathology of breast enlargement in newborns. PMID: 26831552
- KISS1 Low Expression Correlates with Colorectal Liver Metastasis. PMID: 26471489
- KiSS1 is a metastasis suppressor gene of pancreatic cancer, and this suppression is not dependent on the expression levels of GPR54. PMID: 26572251
- confirmed that mutations in KISS1 and KISS1R are not a common cause for ICPP PMID: 23950571
- KiSS-1 downregulation may play a role in tumor progression and metastasis of oral squamous cell carcinoma, and may be a reliable biomarker for predicting clinical outcome in this disease. PMID: 26809635
- These findings are of tremendous significance and will greatly shape how KISS1 will be developed as a therapeutic agent in augmenting the reproductive potential of both women and important livestock species--{REVIEW} PMID: 26183891
- On D4 of pregnancy, the Kiss 1 null uterus expresses functional KISS1R molecules. PMID: 26384646
- Metastin levels were higher in women with polycystic ovary syndrome as compared to controls regardless of BMI. PMID: 25020276
- Metastin expression is induced in ESCs through decidualization. PMID: 24908069
- Present data do not confirm the protective role of KiSS1/KiSS1R in breast cancer progression, but our results do support the hypothesis that KiSS1/KiSS1R system is activated even in primary breast cancer and sustained during invasion to local lymph nodes. PMID: 25535062
- rs5780218 polymorphism individually confers susceptibility for development of breast cancer in Mexican population. PMID: 25810563
- The results suggest that mutations in the coding sequence of KISS1 are not common in patients with IHH in this Chinese population. PMID: 25783047
- A number of mutations in KISS1 KISS1R are associated with central precocious puberty and isolated hypogonadotropic hypogonadism. (Review) PMID: 26510589
- Colocalization experiments provided evidence for the presence of cocaine- and amphetamine-regulated transcript (CART) in KP-immunoreactive (IR) and perikarya and in KP-IR and NKB-IR axon varicosities. PMID: 25084101
- The genetic variations of KISS1 gene can be contributing factors of development of CPP. PMID: 25120323
- Serum kisspeptin levels were significantly lower in all infertile males as compared to the fertile males. PMID: 25556380
- KISS1 expression in the primary site of colorectal cancer could become a useful marker, with its increased levels indicating an advanced disease and a worse prognosis. PMID: 26010933
- Kiss-1 may be a putative metastasis suppressor molecule in human colorectal cancer. PMID: 25260785
- These data demonstrated that upregulated UHRF1 increases bladder cancer cell invasion by epigenetic silencing of KiSS1. PMID: 25272010
- Suggest that KISS1 is down-regulated in cancer tissues via promoter hypermethylation. PMID: 25110434
- KiSS-1, might be an important biological marker involved in the carcinogenesis, metastasis, and invasion of gallbladder adenocarcinoma. PMID: 25688501
- Kisspeptin effect on endothelial monocyte activating polypeptide II (EMAP-II)-associated lymphocyte cell death and metastases in colorectal cancer patients PMID: 24395571
- Decreased expression of KISS1R seems to attenuate signaling of the KISS1/KISS1R system, possibly leading to tumor growth PMID: 25667462
顯示更多
收起更多
-
相關疾?。?/div>Hypogonadotropic hypogonadism 13 with or without anosmia (HH13)亞細胞定位:Secreted.蛋白家族:KISS1 family組織特異性:Very high expression in placenta, with the next highest level in testis and moderate levels in pancreas, liver, small intestine and brain at much lower levels. Expression levels increased in both early placentas and molar pregnancies and are reduced in ch數據庫鏈接:
Most popular with customers
-
-
YWHAB Recombinant Monoclonal Antibody
Applications: ELISA, WB, IHC, IF, FC
Species Reactivity: Human, Mouse, Rat
-
Phospho-YAP1 (S127) Recombinant Monoclonal Antibody
Applications: ELISA, WB, IHC
Species Reactivity: Human
-
-
-
-
-















