IMPACT Antibody
-
中文名稱:IMPACT兔多克隆抗體
-
貨號:CSB-PA889191LA01HU
-
規格:¥440
-
圖片:
-
Western blot
All lanes: IMPACT antibody at 10µg/ml
Lane 1: Hela whole cell lysate
Lane 2: HL60 whole cell lysate
Secondary
Goat polyclonal to rabbit IgG at 1/10000 dilution
Predicted band size: 37, 23 kDa
Observed band size: 37, 52 kDa -
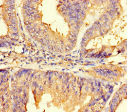
Immunohistochemistry of paraffin-embedded human endometrial cancer using CSB-PA889191LA01HU at dilution of 1:100
-
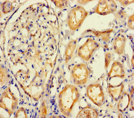
Immunohistochemistry of paraffin-embedded human kidney tissue using CSB-PA889191LA01HU at dilution of 1:100
-
-
其他:
產品詳情
-
產品名稱:Rabbit anti-Homo sapiens (Human) IMPACT Polyclonal antibody
-
Uniprot No.:
-
基因名:IMPACT
-
別名:IMPACT antibody; Impact homolog (mouse) antibody; Impact homolog antibody; impact RWD domain protein antibody; IMPCT_HUMAN antibody; Imprinted and ancient gene protein homolog antibody; MGC33718 antibody; Protein IMPACT antibody; RWD domain containing 5 antibody; RWDD5 antibody
-
宿主:Rabbit
-
反應種屬:Human
-
免疫原:Recombinant Human Protein IMPACT protein (41-320AA)
-
免疫原種屬:Homo sapiens (Human)
-
標記方式:Non-conjugated
本頁面中的產品,IMPACT Antibody (CSB-PA889191LA01HU),的標記方式是Non-conjugated。對于IMPACT Antibody,我們還提供其他標記。見下表:
-
克隆類型:Polyclonal
-
抗體亞型:IgG
-
純化方式:>95%, Protein G purified
-
濃度:It differs from different batches. Please contact us to confirm it.
-
保存緩沖液:Preservative: 0.03% Proclin 300
Constituents: 50% Glycerol, 0.01M PBS, PH 7.4 -
產品提供形式:Liquid
-
應用范圍:ELISA, WB, IHC
-
推薦稀釋比:
Application Recommended Dilution WB 1:1000-1:5000 IHC 1:20-1:200 -
Protocols:
-
儲存條件:Upon receipt, store at -20°C or -80°C. Avoid repeated freeze.
-
貨期:Basically, we can dispatch the products out in 1-3 working days after receiving your orders. Delivery time maybe differs from different purchasing way or location, please kindly consult your local distributors for specific delivery time.
-
用途:For Research Use Only. Not for use in diagnostic or therapeutic procedures.
相關產品
靶點詳情
-
功能:Translational regulator that ensures constant high levels of translation upon a variety of stress conditions, such as amino acid starvation, UV-C irradiation, proteasome inhibitor treatment and glucose deprivation. Plays a role as a negative regulator of the EIF2AK4/GCN2 kinase activity; impairs GCN1-mediated EIF2AK4/GCN2 activation, and hence EIF2AK4/GCN2-mediated eIF-2-alpha phosphorylation and subsequent down-regulation of protein synthesis. May be required to regulate translation in specific neuronal cells under amino acid starvation conditions by preventing GCN2 activation and therefore ATF4 synthesis. Through its inhibitory action on EIF2AK4/GCN2, plays a role in differentiation of neuronal cells by stimulating neurite outgrowth.
-
基因功能參考文獻:
- Data suggest that high expression of protein IMPACT homolog in non-immune cells acts as a protective mechanism against indoleamine 2,3-dioxygenase (IDO)-induced GCN2 activation, making them resistant to the amino acid-deprived environment caused by IDO. PMID: 20648630
- It thus seems that lineage-specific enhancement of gene expression rather than the tandem repeat per se played a critical role in the evolution of imprinting of Impact. PMID: 15752730
- segmental duplication followed by enhancement of the promoter activity is responsible for the species-specific imprinting of Impact PMID: 15871461
-
亞細胞定位:Cytoplasm.
-
蛋白家族:IMPACT family
-
組織特異性:Widely expressed. Expressed at high level in brain.
-
數據庫鏈接:
Most popular with customers
-
-
YWHAB Recombinant Monoclonal Antibody
Applications: ELISA, WB, IHC, IF, FC
Species Reactivity: Human, Mouse, Rat
-
Phospho-YAP1 (S127) Recombinant Monoclonal Antibody
Applications: ELISA, WB, IHC
Species Reactivity: Human
-
-
-
-
-















