-
中文名稱:IGHM兔多克隆抗體
-
貨號:CSB-PA360788LA01HU
-
規格:¥440
-
圖片:
-
Western Blot
Positive WB detected in: SH-SY5Y whole cell lysate, MCF-7 whole cell lysate, U87 whole cell lysate
All lanes: IGHM antibody at 3.4µg/ml
Secondary
Goat polyclonal to rabbit IgG at 1/50000 dilution
Predicted band size: 50, 52 kDa
Observed band size: 50 kDa -
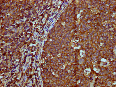
IHC image of CSB-PA360788LA01HU diluted at 1:600 and staining in paraffin-embedded human tonsil tissue performed on a Leica BondTM system. After dewaxing and hydration, antigen retrieval was mediated by high pressure in a citrate buffer (pH 6.0). Section was blocked with 10% normal goat serum 30min at RT. Then primary antibody (1% BSA) was incubated at 4°C overnight. The primary is detected by a biotinylated secondary antibody and visualized using an HRP conjugated SP system.
-
-
其他:
產品詳情
-
產品名稱:Rabbit anti-Homo sapiens (Human) IGHM Polyclonal antibody
-
Uniprot No.:
-
基因名:IGHM
-
別名:IGHMImmunoglobulin heavy constant mu antibody; Ig mu chain C region antibody; Ig mu chain C region BOT antibody; Ig mu chain C region GAL antibody; Ig mu chain C region OU antibody
-
宿主:Rabbit
-
反應種屬:Human
-
免疫原:Recombinant Human Immunoglobulin heavy constant mu protein (45-178AA)
-
免疫原種屬:Homo sapiens (Human)
-
標記方式:Non-conjugated
本頁面中的產品,IGHM Antibody (CSB-PA360788LA01HU),的標記方式是Non-conjugated。對于IGHM Antibody,我們還提供其他標記。見下表:
-
克隆類型:Polyclonal
-
抗體亞型:IgG
-
純化方式:>95%, Protein G purified
-
濃度:It differs from different batches. Please contact us to confirm it.
-
保存緩沖液:Preservative: 0.03% Proclin 300
Constituents: 50% Glycerol, 0.01M PBS, pH 7.4 -
產品提供形式:Liquid
-
應用范圍:ELISA, WB, IHC
-
推薦稀釋比:
Application Recommended Dilution WB 1:500-1:5000 IHC 1:500-1:1000 -
Protocols:
-
儲存條件:Upon receipt, store at -20°C or -80°C. Avoid repeated freeze.
-
貨期:Basically, we can dispatch the products out in 1-3 working days after receiving your orders. Delivery time maybe differs from different purchasing way or location, please kindly consult your local distributors for specific delivery time.
-
用途:For Research Use Only. Not for use in diagnostic or therapeutic procedures.
引用文獻
- ERBB3-related gene PBX1 is associated with prognosis in patients with HER2-positive breast cancer S Mo, H Zhong, W Dai, Y Li, B Qi, T Li, Y Cai,BMC Genomic Data,2025
相關產品
靶點詳情
-
功能:Constant region of immunoglobulin heavy chains. Immunoglobulins, also known as antibodies, are membrane-bound or secreted glycoproteins produced by B lymphocytes. In the recognition phase of humoral immunity, the membrane-bound immunoglobulins serve as receptors which, upon binding of a specific antigen, trigger the clonal expansion and differentiation of B lymphocytes into immunoglobulins-secreting plasma cells. Secreted immunoglobulins mediate the effector phase of humoral immunity, which results in the elimination of bound antigens. The antigen binding site is formed by the variable domain of one heavy chain, together with that of its associated light chain. Thus, each immunoglobulin has two antigen binding sites with remarkable affinity for a particular antigen. The variable domains are assembled by a process called V-(D)-J rearrangement and can then be subjected to somatic hypermutations which, after exposure to antigen and selection, allow affinity maturation for a particular antigen. IgM antibodies play an important role in primary defense mechanisms. They have been shown to be involved in early recognition of external invaders like bacteria and viruses, cellular waste and modified self, as well as in recognition and elimination of precancerous and cancerous lesions. The membrane-bound form is found in the majority of normal B-cells alongside with IgD. Membrane-bound IgM induces the phosphorylation of CD79A and CD79B by the Src family of protein tyrosine kinases. It may cause death of cells by apoptosis. It is also found in soluble form, which represents about 30% of the total serum immunoglobulins where it is found almost exclusively as a homopentamer. After the antigen binds to the B-cell receptor, the secreted form is secreted in large amounts.
-
相關疾病:Agammaglobulinemia 1, autosomal recessive (AGM1)
-
亞細胞定位:[Isoform 1]: Secreted. Note=During differentiation, B-lymphocytes switch from expression of membrane-bound IgM to secretion of IgM.; [Isoform 2]: Cell membrane; Single-pass type I membrane protein.
-
數據庫鏈接:
Most popular with customers
-
-
Phospho-YAP1 (S127) Recombinant Monoclonal Antibody
Applications: ELISA, WB, IHC
Species Reactivity: Human
-
-
-
-
-
-















