HPN Antibody
-
中文名稱:HPN兔多克隆抗體
-
貨號:CSB-PA010704LA01HU
-
規格:¥440
-
圖片:
-
Western Blot
Positive WB detected in: MCF-7 whole cell lysate, PC-3 whole cell lysate, Rat kidney tissue, Mouse liver tissue
All lanes: HPN antibody at 4.5µg/ml
Secondary
Goat polyclonal to rabbit IgG at 1/50000 dilution
Predicted band size: 46 kDa
Observed band size: 46 kDa -
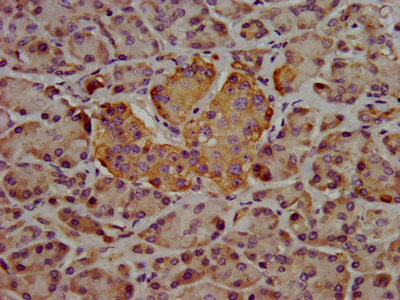
IHC image of CSB-PA010704LA01HU diluted at 1:400 and staining in paraffin-embedded human pancreatic tissue performed on a Leica BondTM system. After dewaxing and hydration, antigen retrieval was mediated by high pressure in a citrate buffer (pH 6.0). Section was blocked with 10% normal goat serum 30min at RT. Then primary antibody (1% BSA) was incubated at 4°C overnight. The primary is detected by a biotinylated secondary antibody and visualized using an HRP conjugated SP system.
-
Immunofluorescence staining of MCF-7 cells with CSB-PA010704LA01HU at 1:133, counter-stained with DAPI. The cells were fixed in 4% formaldehyde, permeabilized using 0.2% Triton X-100 and blocked in 10% normal Goat Serum. The cells were then incubated with the antibody overnight at 4°C. The secondary antibody was Alexa Fluor 488-congugated AffiniPure Goat Anti-Rabbit IgG(H+L).
-
-
其他:
產品詳情
-
產品描述:
The HPN polyclonal antibody is a rabbit antibody that specifically recognizes HPN proteins from human, mouse, and rat samples. Its immunogen is the recombinant human serine protease hepsin protein (294-413aa). It has been validated for use in ELISA, WB, IHC, and IF assays. The antibody has been purified using protein G and has a purity level of over 95%.
Hepsin is a type II transmembrane serine protease that plays a key role in several physiological processes, including the regulation of blood coagulation, cell growth and differentiation, and tumor progression. It is involved in the progression of several types of cancer, including prostate, breast, and ovarian cancer.
-
產品名稱:Rabbit anti-Homo sapiens (Human) HPN Polyclonal antibody
-
Uniprot No.:
-
基因名:HPN
-
別名:HPN; TMPRSS1; Serine protease hepsin; Transmembrane protease serine 1
-
宿主:Rabbit
-
反應種屬:Human, Mouse, Rat
-
免疫原:Recombinant Human Serine protease hepsin protein (294-413AA)
-
免疫原種屬:Homo sapiens (Human)
-
標記方式:Non-conjugated
本頁面中的產品,HPN Antibody (CSB-PA010704LA01HU),的標記方式是Non-conjugated。對于HPN Antibody,我們還提供其他標記。見下表:
-
克隆類型:Polyclonal
-
抗體亞型:IgG
-
純化方式:>95%, Protein G purified
-
濃度:It differs from different batches. Please contact us to confirm it.
-
保存緩沖液:Preservative: 0.03% Proclin 300
Constituents: 50% Glycerol, 0.01M PBS, pH 7.4 -
產品提供形式:Liquid
-
應用范圍:ELISA, WB, IHC, IF
-
推薦稀釋比:
Application Recommended Dilution WB 1:500-1:5000 IHC 1:200-1:500 IF 1:50-1:200 -
Protocols:
-
儲存條件:Upon receipt, store at -20°C or -80°C. Avoid repeated freeze.
-
貨期:Basically, we can dispatch the products out in 1-3 working days after receiving your orders. Delivery time maybe differs from different purchasing way or location, please kindly consult your local distributors for specific delivery time.
-
用途:For Research Use Only. Not for use in diagnostic or therapeutic procedures.
相關產品
靶點詳情
-
功能:Serine protease that cleaves extracellular substrates, and contributes to the proteolytic processing of growth factors, such as HGF and MST1/HGFL. Plays a role in cell growth and maintenance of cell morphology. Plays a role in the proteolytic processing of ACE2. Mediates the proteolytic cleavage of urinary UMOD that is required for UMOD polymerization.
-
基因功能參考文獻:
- Study showed was that Hepsin was downregulated in 78% of gastric cancer. Its high expression seems to predict poor prognosis. These results predicted that hepsin protein expression was one of the significant and independent prognostic factors for overall survival of Gastric Cancer. PMID: 27841306
- Genetic variation in/near the gene encoding for hepsin protein may influence risk of bipolar disorder and (at least for the rs62122114-A allele) may have functional impact (i.e. differential expression) as evidenced by serum HPN protein expression. PMID: 28886448
- significant negative association was found between hepsin expression in endometrial carcinoma cases regarding the grade and the size of tumors as well as myometrial invasion PMID: 26990747
- These data demonstrate that the membrane-bound serine protease hepsin is the enzyme responsible for the physiological cleavage of uromodulin. PMID: 26673890
- The Hepsin pathway acts in concert with Wnt pathway to promote prostate cancer progression. PMID: 26139199
- Low expression levels of hepsin and TMPRSS3 are associated with poor breast cancer survival PMID: 26014348
- Hepsin suppressed CDK11p58 internal ribosome entry site activity in prostate cancer cells by modulating UNR expression and eIF-2alpha phosphorylation. PMID: 25576733
- The results of this study suggest that, in Korean men, some polymorphisms in the HPN gene might be associated with the risk of developing prostate cancer. PMID: 22665141
- hepsin expression is frequently up-regulated in breast cancer tissues, which is associated with tumor growth and progression PMID: 21383634
- These findings suggest that the MSP/RON signaling pathway may be regulated by hepsin in tissue homeostasis and in disease pathologies, such as in cancer and immune disorders. PMID: 21875933
- Elevated levels of hepsin interfere with cell adhesion and viability in the background of prostate cancer as well as other tissue types, the details of which depend on the microenvironment provided. PMID: 21750652
- Hepsin activity was inhibited by anthralin and increased by resveratrol. PMID: 20673210
- Germline genetic variation of HPN does not seem to contribute to risk of prostate cancer or prognosis. PMID: 20166135
- Hepsin activates prostasin and cleaves the extracellular domain of the epidermal growth factor receptor. PMID: 19911255
- Hepsin and maspin are inversely expressed in laser capture microdissectioned prostate cancer PMID: 12629351
- Hepsin is functionally linked to hepatocyte growth factor/MET pathway, which may contribute to prostate cancer progression. PMID: 15792801
- A major 11-locus haplotype is significantly associated with prostate cancer, which provides further support that HPN is a potentially important candidate gene involved in prostate cancer susceptibility. PMID: 16783571
- the ability of hepsin to efficiently activate pro-uPA suggests that it may initiate plasmin-mediated proteolytic pathways at the tumor/stroma interface that lead to basement membrane disruption and tumor progression PMID: 16908524
- Our findings suggest that the balance between hepsin and its inhibitor, HAI-2, may have prognostic value in RCC. PMID: 17309599
- We analyzed all the common variations using tag SNP in the HPN and LTBP4 genes for association with IA in 390 patients and 642 controls in the Dutch population. PMID: 18487557
- Hepsin showed potential inhibitory effects mediated by the induction of 14-3-3sigma expression which leads to both cell cycle arrest at the G2/M phase PMID: 18698500
- Ln-332 may be one mechanism by which hepsin promotes prostate tumor progression and metastasis, possibly by up-regulating prostate cancer cell motility. PMID: 18784072
顯示更多
收起更多
-
亞細胞定位:Cell membrane; Single-pass type II membrane protein. Apical cell membrane; Single-pass type II membrane protein.
-
蛋白家族:Peptidase S1 family
-
組織特異性:Detected in liver and kidney.
-
數據庫鏈接:
Most popular with customers
-
-
YWHAB Recombinant Monoclonal Antibody
Applications: ELISA, WB, IHC, IF, FC
Species Reactivity: Human, Mouse, Rat
-
Phospho-YAP1 (S127) Recombinant Monoclonal Antibody
Applications: ELISA, WB, IHC
Species Reactivity: Human
-
-
-
-
-















