-
中文名稱:HK2兔多克隆抗體
-
貨號:CSB-PA132121
-
規格:¥1100
-
圖片:
-
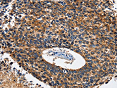
The image on the left is immunohistochemistry of paraffin-embedded Human thyroid cancer tissue using CSB-PA132121(HK2 Antibody) at dilution 1/60, on the right is treated with fusion protein. (Original magnification: ×200)
-
The image on the left is immunohistochemistry of paraffin-embedded Human lung cancer tissue using CSB-PA132121(HK2 Antibody) at dilution 1/60, on the right is treated with fusion protein. (Original magnification: ×200)
-
Gel: 10%SDS-PAGE, Lysate: 40 μg, Lane 1-5: A431 cells, K562 cells, 231 cells, hela cells, hepG2 cells, Primary antibody: CSB-PA132121(HK2 Antibody) at dilution 1/1200, Secondary antibody: Goat anti rabbit IgG at 1/8000 dilution, Exposure time: 1 second
-
-
其他:
產品詳情
-
Uniprot No.:
-
基因名:
-
別名:DKFZp686M1669 antibody; Hexokinase 2 antibody; Hexokinase 2 muscle antibody; Hexokinase type II antibody; Hexokinase-2 antibody; HK 2 antibody; HK II antibody; HK2 antibody; HKII antibody; HxK 2 antibody; HxK2 antibody; HXK2_HUMAN antibody; Muscle form hexokinase antibody
-
宿主:Rabbit
-
反應種屬:Human,Mouse,Rat
-
免疫原:Fusion protein of Human HK2
-
免疫原種屬:Homo sapiens (Human)
-
標記方式:Non-conjugated
-
抗體亞型:IgG
-
純化方式:Antigen affinity purification
-
濃度:It differs from different batches. Please contact us to confirm it.
-
保存緩沖液:-20°C, pH7.4 PBS, 0.05% NaN3, 40% Glycerol
-
產品提供形式:Liquid
-
應用范圍:ELISA,WB,IHC
-
推薦稀釋比:
Application Recommended Dilution ELISA 1:2000-1:10000 WB 1:1000-1:5000 IHC 1:100-1:300 -
Protocols:
-
儲存條件:Upon receipt, store at -20°C or -80°C. Avoid repeated freeze.
-
貨期:Basically, we can dispatch the products out in 1-3 working days after receiving your orders. Delivery time maybe differs from different purchasing way or location, please kindly consult your local distributors for specific delivery time.
-
用途:For Research Use Only. Not for use in diagnostic or therapeutic procedures.
引用文獻
- Circular RNA pyridoxal kinase (circPDXK) involves in the progression of ovarian cancer and glycolysis via regulating miR-654-3p and hexokinase II L Hou,Applied Biological Chemistry,2022
相關產品
靶點詳情
-
功能:Catalyzes the phosphorylation of hexose, such as D-glucose and D-fructose, to hexose 6-phosphate (D-glucose 6-phosphate and D-fructose 6-phosphate, respectively). Mediates the initial step of glycolysis by catalyzing phosphorylation of D-glucose to D-glucose 6-phosphate. Plays a key role in maintaining the integrity of the outer mitochondrial membrane by preventing the release of apoptogenic molecules from the intermembrane space and subsequent apoptosis.
-
基因功能參考文獻:
- downregulation of HK2 gene may be caused by its negative regulation through microRNAs miR-9-5p, -98-5p, and -199-5p. PMID: 29695690
- this study reports the structure of HK2 in complex with glucose and glucose-6-phosphate (G6P). PMID: 29298880
- Altogether, these findings provide strong support for the direct contribution of HK2 in B-cell lymphoma development and suggest that HK2 is a key metabolic driver of the diffuse large B-cell lymphoma phenotype. PMID: 29335581
- Taken together, these findings suggested that UCA1 may have an important role in regulating radioresistance through the HK2/glycolytic pathway, providing novel potential targets to improve cervical cancer RT. PMID: 30015920
- Data suggest that HK2 plays role in cisplatin resistance in ovarian cancer by regulating drug-induced, MAP kinase signaling-mediated autophagy. PMID: 29247711
- miR-125b-5p-HK2 pathway as a novel mechanism in regulating the glycolysis and progression of Laryngeal squamous cell carcinoma. PMID: 29864898
- These findings provide clues regarding the role of miR-216a-5p as a tumor suppressor in uveal melanoma through the inhibition of HK2. PMID: 29763606
- Overexpression of miR-125b inhibits cellular glucose metabolism through direct targeting of hexokinase 2. PMID: 29631677
- Data indicate that hexokinase-2 (HK2) was the direct target of miR-125b. PMID: 29169422
- Tesults suggest that mTOR-STAT3-HK2 pathway is involved in the glycolysis of HCC cells and STAT3 may regulate HCC glycolysis through HK2 pathway. PMID: 28445971
- our results demonstrate that deregulation of HK2 expression has an important function in the progression of TSCC and may serve as a biomarker of its metastatic potential in TSCC patients. HK2 enhances the metastatic potential of TSCC by stimulating the SOD2-H2O2 pathway. PMID: 27926482
- present studies highlight miR-143 as a tumor suppressor in oral squamous cell carcinoma (OSCC) by the suppression of cell migration, glucose metabolism and proliferation through directly targeting HK2, rendering miR-143 a therapeutic strategy for the treatment of clinical OSCC patients. PMID: 28174335
- FOXM1 bound directly to the GLUT1 and HK2 promoter regions and regulated the promoter activities and the expression of the genes at the transcriptional level. This reveals a novel mechanism by which glucose metabolism is regulated by FOXM1. PMID: 27351131
- our findings supported a mechanism whereby targeting HK2 inhibition contributed to suppress HPV16 E7-induced tumor glycolysis metabolism phenotype, inhibiting tumor growth, and induced apoptosis, blocking the cancer cell energy sources and ultimately enhanced the sensitivity of HPV(+) cervical cancer cells to irradiation therapy PMID: 28498475
- Data suggest Hexokinase 2 (HK2) as a potentially effective therapeutic target in Glioblastoma (GBM). PMID: 27588472
- High HKII expresiion is associated with nasopharyngeal carcinoma. PMID: 26848773
- Results show that the hexokinase 2 (HK2) promoter CpG island (HK2-CGI) surrounding regions N-shore was hypomethylated, thereby enhancing HK2 expression, the HK2-CGI was itself hypermethylated in some hepatocellular carcinomas (HCCs). PMID: 27260001
- findings confirmed the tumorigenic activity of HK2 in glioma, and the involvement of the miR218/Bmi1 pathway in the regulation of its expression PMID: 29220380
- BAG3 directly stabilizes hexokinase 2 mRNA and promotes aerobic glycolysis in pancreatic cancer cells. PMID: 29114069
- Previously unknown reciprocal influence of SIRT6 and HK2 in regulating autophagy driven monocyte differentiation. PMID: 28935467
- SIRT6 over-expression establishes a condition whereby reconfiguration of the Hexokinase 2 promoter chromatin structure makes it receptive to interaction with MZF1/SIRT6 complex, thereby favouring a regulatory state conducive to diminished transcription PMID: 28478957
- findings suggested that PVT1 contributes to osteosarcoma (OS) cell glucose metabolism, cell proliferation, and motility through the miR-497/HK2 pathway, and revealed a novel relation between lncRNA and the alteration of glycolysis in OS cells PMID: 28602700
- High HKII expression is associated with metastasis and epithelial-mesenchymal transition in hepatocellular carcinoma. PMID: 28429188
- The EML4-ALK-mediated upregulation of HIF1alpha, HK2 and glycolytic metabolism was also highly active in vivo as demonstrated by fluorodeoxyglucose-positron emission tomography imaging of xenografts grown from EML4-ALK-positive NSCLC cells. PMID: 27132509
- relevant number of patients with FDG-PET false-negative multiple myeloma and a strong association between hexokinase-2 expression and this negativity: a finding which may also be relevant for clinical imaging of other hematological cancers. PMID: 28432222
- MicroRNA-98 Suppress Warburg Effect by Targeting HK2 in Colon Cancer Cells. PMID: 28025745
- High HK2 expression is associated with prostate cancer. PMID: 28098871
- Metformin downregulated both endogenous and exogenous UCA1 expression, leading to the inhibition of mammalian target of rapamycin-signal transducer and activator of transcription 3-hexokinase 2 signaling pathway. Our study provided the first evidence that metformin inhibited proliferation and glycolysis in cancer cells through regulation of long non-coding RNA UCA1 PMID: 28641488
- AKT inhibition blocks miR-124 silencing-induced AKT1/2, glucose transporter 1, hexokinase II activation, cell proliferation, and glycolytic or energy metabolism changes. In summary, this study demonstrated that miR-124 is able to inhibit proliferation, glycolysis, and energy metabolism, potentially by targeting AKT1/2-glucose transporter 1/hexokinase II in non-small cell lung cancer cells. PMID: 28488541
- Results from the simulations show that HK2 binding restricts the movement of the VDAC1 N-terminal helix. As a result, VDAC1 is kept in the open state most of the time and probably allows a constant supply of ATP to HK2 for glycolysis. PMID: 27544294
- These results suggest that HK2 plays important roles in the glycolytic, proliferation and migration properties of colorectal carcinoma PMID: 27363977
- HK2modulated glucose metabolism was significantly upregulated by overexpression of miR155. Notably, inhibition of miR155 sensitized lung cancer cells to irradiation via suppression of glucose metabolism. PMID: 27315591
- We demonstrated that the expression levels of glycolysis-related proteins glucose transporter 1, hexokinase II, carbonic anhydrase IX, and monocarbonylate transporter 4 differ between thyroid cancer subtypes and are correlated with poorer prognosis PMID: 28347233
- miR-181b directly inhibits the expression level of hexokinase 2 (HK2), a key enzyme that catalyzes the first step of glycolysis, through targeting its 3'-untranslated region. PMID: 27314295
- The N-terminal end of HKII has a mitochondrial-binding site and a VDAC bindig site. PMID: 26182367
- HK2 functions as a novel oncogene in lung cancer and may be a potential therapeutic target for lung cancer. PMID: 26802651
- Cells with HKII knockdown showed no changes in 3BP sensitivity, suggesting the effects of 3BP are independent of HKII expression. PMID: 26740252
- Suggest HK2 as an independent prognostic indicator of radiation resistance in cervical squamous carcinoma. PMID: 26097593
- High exokinase 2 expression is associated with neuroblastoma metastasis. PMID: 26986252
- The degree of plaque disruption and expression of TF and HK-II appear to be important vascular factors for AMI onset, and polarized macrophages make a distinct contribution to thrombogenicity and glucose metabolism. PMID: 26346032
- The overexpression of Hk2 (and Pkm2) sustains high levels of glycolysis during embryonic stem cell differentiation. PMID: 26059508
- In the present study it was determined whether three key enzymes for glycolysis, glutaminolysis and de novo synthesis of FAs, hexokinase-2, glutaminase and fatty acid synthase PMID: 26134042
- In conclusion, our findings suggested that miR-4458 inhibited the progression of colon cancer cells by inhibition of glycolysis and lactate production via directly targeting HK2 mRNA. PMID: 26607110
- Hexokinase 2 controls cellular stress response through localization of hnRNP A1. PMID: 26247723
- Insulin resistance in obese boys leads to up-regulation of INSIG2 gene expression as well as to down-regulation of PFKFB1, PFKFB3, and HK2 genes in the blood cells as compared to obese patients with normal insulin sensitivity. PMID: 26827442
- HK2 was identified as a chaperone-mediated autophagy substrate. PMID: 26323688
- study reveals a novel relationship between PI3K/Akt signaling and aerobic glycolysis and indicates that PI3K/Akt/HK2 might be potential therapeutic approaches for OS PMID: 26116768
- HK2 regulated the protein level and T14 phosphorylation of CDK2, and knockdown of HK2 resulted in a G1 phase cell cycle arrest. PMID: 24780297
- High HK-II expression was correlated with esophageal adenocarcinoma compared with squamous cell carcinoma. PMID: 24939624
- Suggest that upregulation of HKII occurs during the process of hepatocarcinogenesis in humans. PMID: 25381201
顯示更多
收起更多
-
亞細胞定位:Mitochondrion outer membrane; Peripheral membrane protein. Cytoplasm, cytosol.
-
蛋白家族:Hexokinase family
-
組織特異性:Predominant hexokinase isozyme expressed in insulin-responsive tissues such as skeletal muscle.
-
數據庫鏈接:
Most popular with customers
-
YWHAB Recombinant Monoclonal Antibody
Applications: ELISA, WB, IHC, IF, FC
Species Reactivity: Human, Mouse, Rat
-
Phospho-YAP1 (S127) Recombinant Monoclonal Antibody
Applications: ELISA, WB, IHC
Species Reactivity: Human
-
-
-
-
-
-















