HDLBP Antibody
-
中文名稱:HDLBP兔多克隆抗體
-
貨號:CSB-PA211136
-
規格:¥1100
-
圖片:
-
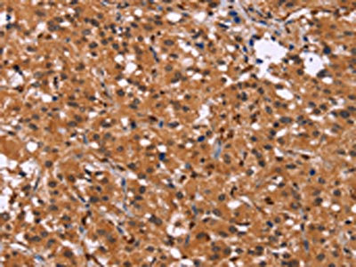
The image on the left is immunohistochemistry of paraffin-embedded Human thyroid cancer tissue using CSB-PA211136(HDLBP Antibody) at dilution 1/30, on the right is treated with synthetic peptide. (Original magnification: ×200)
-
The image on the left is immunohistochemistry of paraffin-embedded Human brain tissue using CSB-PA211136(HDLBP Antibody) at dilution 1/30, on the right is treated with synthetic peptide. (Original magnification: ×200)
-
Gel: 6%SDS-PAGE, Lysate: 40 μg, Lane 1-2: Raji cells, NIH/3T3 cells, Primary antibody: CSB-PA211136(HDLBP Antibody) at dilution 1/250, Secondary antibody: Goat anti rabbit IgG at 1/8000 dilution, Exposure time: 2 minutes
-
-
其他:
產品詳情
-
Uniprot No.:
-
基因名:HDLBP
-
別名:HBP antibody; HDL binding protein antibody; HDL-binding protein antibody; HDLBP antibody; high density lipoprotein binding protein antibody; high density lipoprotein binding protein (vigilin) antibody; High density lipoprotein-binding protein antibody; PRO2900 antibody; VGL antibody; Vigilin antibody; VIGLN_HUMAN antibody
-
宿主:Rabbit
-
反應種屬:Human,Mouse,Rat
-
免疫原:Synthetic peptide of Human HDLBP
-
免疫原種屬:Homo sapiens (Human)
-
標記方式:Non-conjugated
-
抗體亞型:IgG
-
純化方式:Antigen affinity purification
-
濃度:It differs from different batches. Please contact us to confirm it.
-
保存緩沖液:-20°C, pH7.4 PBS, 0.05% NaN3, 40% Glycerol
-
產品提供形式:Liquid
-
應用范圍:ELISA,WB,IHC
-
推薦稀釋比:
Application Recommended Dilution ELISA 1:1000-1:2000 WB 1:200-1:1000 IHC 1:50-1:200 -
Protocols:
-
儲存條件:Upon receipt, store at -20°C or -80°C. Avoid repeated freeze.
-
貨期:Basically, we can dispatch the products out in 1-3 working days after receiving your orders. Delivery time maybe differs from different purchasing way or location, please kindly consult your local distributors for specific delivery time.
-
用途:For Research Use Only. Not for use in diagnostic or therapeutic procedures.
相關產品
靶點詳情
-
功能:Appears to play a role in cell sterol metabolism. It may function to protect cells from over-accumulation of cholesterol.
-
基因功能參考文獻:
- Our data reveal that vigilin is essential for maintenance of imprinting of IGF2 gene via functional interaction between KH1-7 domains of vigilin and zinc-finger domains of CTCF. PMID: 29157910
- vigilin has been shown to bind over 700 mRNAs and has been associated with cancer progression and cardiovascular disease. PMID: 28975734
- this study shows that vigilin (HDLBP) binds and negatively regulates MICB expression through its 5'UTR, and that vigilin downregulation in target cells leads to NK cell activation against said target cells PMID: 28356383
- progressively upregulated vigilin may serve as a molecular risk marker for hepatocellular carcinoma development, and targeting vigilin may help to inhibit hepatocellular carcinoma cell growth, survival and migration. PMID: 24676454
- CTCF may regulate vigilin behavior and thus indirectly influence the binding of HP1alpha to the satellite 2 locus PMID: 24561205
- Vigilin may have a relationship with hepatocellular carcinoma progression and proliferation. PMID: 21500547
- identified a competition for binding the 69-nt sequence, through which vigilin and HuR exert opposing effects on c-fms expression, suggesting a role for vigilin in suppression of breast cancer progression PMID: 20974809
- Expression profiles of human VIGILIN, H19, and IGF2 mRNA increased with cell-cycle prograssion. PMID: 19950580
- RNA interference studies indicate vigilin is essential for cell viability but is not a global regulator of translation. PMID: 14500828
- evidence that vigilin is bound to the ribosomal complex. PMID: 15109574
- C-terminal domain of human vigilin binds to the histone methyltransferase SUV39H1 in vivo;a new model for vigilin-mediated, RNA-induced gene silencing is presented. PMID: 18648073
顯示更多
收起更多
-
亞細胞定位:Cytoplasm. Nucleus.
-
數據庫鏈接:
Most popular with customers
-
-
YWHAB Recombinant Monoclonal Antibody
Applications: ELISA, WB, IHC, IF, FC
Species Reactivity: Human, Mouse, Rat
-
-
-
-
-
-















