HCK Antibody
-
中文名稱:HCK兔多克隆抗體
-
貨號:CSB-PA182384
-
規格:¥1100
-
圖片:
-
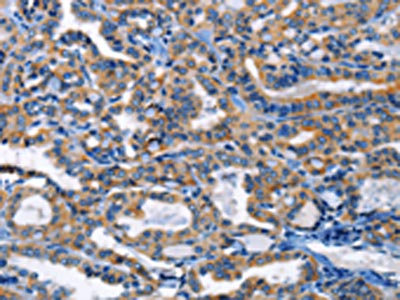
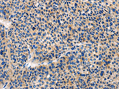
The image on the left is immunohistochemistry of paraffin-embedded Human thyroid cancer tissue using CSB-PA182384(HCK Antibody) at dilution 1/20, on the right is treated with fusion protein. (Original magnification: ×200)
-
The image on the left is immunohistochemistry of paraffin-embedded Human liver cancer tissue using CSB-PA182384(HCK Antibody) at dilution 1/20, on the right is treated with fusion protein. (Original magnification: ×200)
-
Gel: 8%SDS-PAGE, Lysate: 40 μg, Lane: A549 cells, Primary antibody: CSB-PA182384(HCK Antibody) at dilution 1/450, Secondary antibody: Goat anti rabbit IgG at 1/8000 dilution, Exposure time: 15 seconds
-
-
其他:
產品詳情
-
Uniprot No.:
-
基因名:
-
別名:Bmk antibody; Hck 1 antibody; Hck antibody; HCK_HUMAN antibody; Hemopoietic cell kinase antibody; JTK9 antibody; p59-HCK/p60-HCK antibody; p59Hck antibody; p59HCK/p60HCK antibody; p61Hck antibody; Tyrosine protein kinase HCK antibody; Tyrosine-protein kinase HCK antibody
-
宿主:Rabbit
-
反應種屬:Human,Mouse,Rat
-
免疫原:Fusion protein of Human HCK
-
免疫原種屬:Homo sapiens (Human)
-
標記方式:Non-conjugated
-
抗體亞型:IgG
-
純化方式:Antigen affinity purification
-
濃度:It differs from different batches. Please contact us to confirm it.
-
保存緩沖液:-20°C, pH7.4 PBS, 0.05% NaN3, 40% Glycerol
-
產品提供形式:Liquid
-
應用范圍:ELISA,WB,IHC
-
推薦稀釋比:
Application Recommended Dilution ELISA 1:2000-1:5000 WB 1:200-1:1000 IHC 1:25-1:100 -
Protocols:
-
儲存條件:Upon receipt, store at -20°C or -80°C. Avoid repeated freeze.
-
貨期:Basically, we can dispatch the products out in 1-3 working days after receiving your orders. Delivery time maybe differs from different purchasing way or location, please kindly consult your local distributors for specific delivery time.
-
用途:For Research Use Only. Not for use in diagnostic or therapeutic procedures.
相關產品
靶點詳情
-
功能:Non-receptor tyrosine-protein kinase found in hematopoietic cells that transmits signals from cell surface receptors and plays an important role in the regulation of innate immune responses, including neutrophil, monocyte, macrophage and mast cell functions, phagocytosis, cell survival and proliferation, cell adhesion and migration. Acts downstream of receptors that bind the Fc region of immunoglobulins, such as FCGR1A and FCGR2A, but also CSF3R, PLAUR, the receptors for IFNG, IL2, IL6 and IL8, and integrins, such as ITGB1 and ITGB2. During the phagocytic process, mediates mobilization of secretory lysosomes, degranulation, and activation of NADPH oxidase to bring about the respiratory burst. Plays a role in the release of inflammatory molecules. Promotes reorganization of the actin cytoskeleton and actin polymerization, formation of podosomes and cell protrusions. Inhibits TP73-mediated transcription activation and TP73-mediated apoptosis. Phosphorylates CBL in response to activation of immunoglobulin gamma Fc region receptors. Phosphorylates ADAM15, BCR, ELMO1, FCGR2A, GAB1, GAB2, RAPGEF1, STAT5B, TP73, VAV1 and WAS.
-
基因功能參考文獻:
- HIV infection induced Hck activation.Myeloid cells require Hck for ADAM17 activation and secretion PMID: 29331674
- Lysophosphatidylcholines prime polymorphonuclear neutrophil through Hck-dependent activation of PKCdelta, which stimulates PKCgamma, resulting in translocation of phosphorylated p47(phox). PMID: 27531930
- HCK represents a novel target for therapeutic development in MYD88-mutated Waldenstrom macroglobulinemia and activated-B cell diffuse large B-cell lymphoma, and possibly other diseases driven by mutated MYD88. PMID: 27143257
- High HCK levels correlate with reduced survival of colorectal cancer patients and is associated with activated macrophages gene signature. PMID: 28399411
- three-dimensional (3D) QSAR pharmacophore models were generated for Hck based on experimentally known inhibitors. A best pharmacophore model, Hypo1, was developed with high correlation coefficient (0.975), Low RMS deviation (0.60) and large cost difference (49.31), containing three ring aromatic and one hydrophobic aliphatic feature PMID: 27485399
- Interaction with the Src homology (SH3-SH2) region of the Hck structures the HIV-1 Nef dimer for kinase activation and effector recruitment. PMID: 25122770
- Interaction between Nef and Hck is important for Nef-dependent modulation of viral infectivity. PMID: 24051604
- The SRC family tyrosine kinase HCK and the ETS family transcription factors SPIB and EHF regulate transcytosis across a human follicle-associated epithelium model. PMID: 23439650
- This particular binding mode enables Hck SH3 to sense a specific non-canonical residue situated in the SH3 RT-loop of the kinase. PMID: 22641034
- the activation of Hck, Lyn and c-Src by Nef is highly conserved among all major clades of HIV-1 PMID: 22393415
- There were significant differences in the genotype and allele distribution of -627 G/T polymorphism in Hck gene between cases and controls. PMID: 22185326
- Hck activation at the Golgi apparatus causes the HIV-1 Nef-induced c-Fms proto-oncogene N-glycosylation defect. PMID: 21567396
- Loss of HCK is associated with acute promyelocytic leukemia. PMID: 21993313
- we show that Hck, has a pre-eminent role in LPS/TLR4-induced TNF and IL-6 production. PMID: 22021612
- Hck acts as a key regulator controlling gene expression in alternatively activated monocytes/macrophages. PMID: 21878628
- Data show that the structures and relative orientations of the SH2 and SH3 domains down-regulated Hck. PMID: 20810664
- Identification and biophysical assessment of the molecular recognition mechanisms between the human haemopoietic cell kinase Src homology domain 3 and ALG-2-interacting protein X. PMID: 20670214
- BSS-SAXS reconstruction is used to reveal the structural organization of Hck in solution and the different shifts in the equilibrium population of assembly states upon the binding of different signaling peptides PMID: 20798061
- Taken together, PKR and Hck were critical for DON-induced ribosomal recruitment of p38, its subsequent phosphorylation, and, ultimately, p38-driven proinflammatory cytokine expression. PMID: 20181660
- Nef participates in HIV-1-induced multinucleated giant cells formation via a p61Hck- and lysosomal enzyme-dependent pathway PMID: 20488787
- SH3-dependent stimulation of Src-family kinase autophosphorylation without tail release from the SH2 domain in vivo PMID: 11976726
- The interaction of the Bcr-Abl tyrosine kinase with this protein is mediated by multiple binding domains. PMID: 12592324
- These results suggest that CSF-induced and HIV-1-mediated regulation of Hck and C/EBPbeta represent the heterogeneous susceptibility of tissue macrophages to HIV-1 infection. PMID: 12900520
- SRC kinases LYN & HCK let engaged b2 integrins form focal-adhesion-like structures needed for stable shear-resistant PMN adhesion. SRC-dependent outside-in signalling is needed for integrin adhesiveness triggered by a classical chemoattractant like IL-8. PMID: 14969582
- Gab2 docking proteins in IL-6-induced proliferation and survival of multiple myeloma cells. PMID: 15010462
- In humans, the cytoplasmic domain of ADAM15v2 strongly interacts with Lck and Hck and regulates leukocyte function. PMID: 15263807
- HIV-1 Nef interferes with M-CSF receptor signaling through Hck activation and thereby inhibits M-CSF functions in monocytes/macrophages. PMID: 15626739
- data support the existence of multiple active conformations of Src family member Hck kinase that may generate unique downstream signals PMID: 16210316
- The free energy surface shows that the N-terminal end of HCK acts as a reversible two-state conformational switch coupling the catalytic domain to the regulatory modules. PMID: 16271895
- Data suggest that the insertion/deletion polymorphism could be a functional polymorphism of the Hck gene, may contribute to COPD pathogenesis and modify COPD-related phenotypes. PMID: 17024369
- The structure of the HckSH3:PD1 complex reveals novel features of SH3 ligand binding and yields new insights into the structural basics of SH3-ligand interactions. PMID: 17141806
- p73 is identified as a novel substrate and interacting partner of Hck and it regulates p73 through mechanisms that are dependent on either catalytic activity or protein interaction domains. PMID: 17535448
- hematopoietic cell kinase (hct) phosphorylates fems-like tyrosine kinase 3(FLT3) in the JM region and inhibits its maturation PMID: 17668209
- Nef perturbs the intracellular maturation and the trafficking of nascent Fms, through a unique mechanism that required both the activation of Hck and the aberrant spatial regulation of the active Hck PMID: 17893228
- Hck has a nonredundant function as a key downstream signaling partner for Bcr-Abl and may represent a potential drug target in CML PMID: 18794796
- HCK and BIN1 plays critical roles in AHI-1-mediated leukemic transformation of cutaneous T-Cell Lymphoma. PMID: 19211505
- This finding establishes an intriguing link between the pathogenesis of Nef and a newly emerging concept that the Golgi-localized Src kinases regulate the Golgi function. PMID: 19585521
- Alternate use of a non-AUG (CUG), and an in-frame, downstream AUG translation initiation codon, results in the production of 2 isoforms in mouse and human. PMID: 1875927
- Alternate use of a non-AUG (CUG), and an in-frame, downstream AUG translation initiation codon, results in the production of two isoforms with different subcellular localization. PMID: 10967098
- A dominant negative form of Hck, in an interaction that is SH3 domain dependent, blocks HIV-1 Nef induced MHC class I downregulation. PMID: 11500821
顯示更多
收起更多
-
相關疾病:Aberrant activation of HCK by HIV-1 protein Nef enhances HIV-1 replication and contributes to HIV-1 pathogenicity.; DISEASE: Note=Aberrant activation of HCK, e.g. by the BCR-ABL fusion protein, promotes cancer cell proliferation.
-
亞細胞定位:[Isoform 1]: Lysosome. Membrane; Lipid-anchor. Cell projection, podosome membrane; Lipid-anchor. Cytoplasm, cytosol. Note=Associated with specialized secretory lysosomes called azurophil granules. At least half of this isoform is found in the cytoplasm, some of this fraction is myristoylated.; [Isoform 2]: Cell membrane; Lipid-anchor. Membrane, caveola; Lipid-anchor. Cell junction, focal adhesion. Cytoplasm, cytoskeleton. Golgi apparatus. Cytoplasmic vesicle. Lysosome. Nucleus. Note=20% of this isoform is associated with caveolae. Localization at the cell membrane and at caveolae requires palmitoylation at Cys-3. Colocalizes with the actin cytoskeleton at focal adhesions.; Cytoplasmic vesicle, secretory vesicle. Cytoplasm, cytosol.
-
蛋白家族:Protein kinase superfamily, Tyr protein kinase family, SRC subfamily
-
組織特異性:Detected in monocytes and neutrophils (at protein level). Expressed predominantly in cells of the myeloid and B-lymphoid lineages. Highly expressed in granulocytes. Detected in tonsil.
-
數據庫鏈接:
Most popular with customers
-
-
YWHAB Recombinant Monoclonal Antibody
Applications: ELISA, WB, IHC, IF, FC
Species Reactivity: Human, Mouse, Rat
-
Phospho-YAP1 (S127) Recombinant Monoclonal Antibody
Applications: ELISA, WB, IHC
Species Reactivity: Human
-
-
-
-
-















