GRM8 Antibody
-
中文名稱:GRM8兔多克隆抗體
-
貨號:CSB-PA996488
-
規格:¥1100
-
圖片:
-
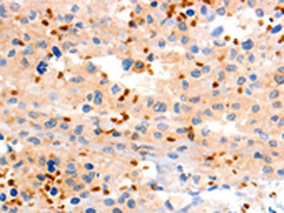
The image on the left is immunohistochemistry of paraffin-embedded Human ovarian cancer tissue using CSB-PA996488(GRM8 Antibody) at dilution 1/120, on the right is treated with synthetic peptide. (Original magnification: ×200)
-
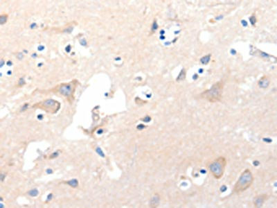
The image on the left is immunohistochemistry of paraffin-embedded Human brain tissue using CSB-PA996488(GRM8 Antibody) at dilution 1/120, on the right is treated with synthetic peptide. (Original magnification: ×200)
-
Gel: 8%SDS-PAGE, Lysate: 40 μg, Lane: Mouse brain tissue, Primary antibody: CSB-PA996488(GRM8 Antibody) at dilution 1/1200, Secondary antibody: Goat anti rabbit IgG at 1/8000 dilution, Exposure time: 5 minutes
-
-
其他:
產品詳情
-
Uniprot No.:
-
基因名:
-
別名:FLJ41058 antibody; GLUR8 antibody; Glutamate receptor metabotropic 8 antibody; GPRC1H antibody; GRM8 antibody; GRM8_HUMAN antibody; Metabotropic glutamate receptor 8 antibody; MGC126724 antibody; mGlu8 antibody; mGluR8 antibody
-
宿主:Rabbit
-
反應種屬:Human,Mouse,Rat
-
免疫原:Synthetic peptide of Human GRM8
-
免疫原種屬:Homo sapiens (Human)
-
標記方式:Non-conjugated
-
抗體亞型:IgG
-
純化方式:Antigen affinity purification
-
濃度:It differs from different batches. Please contact us to confirm it.
-
保存緩沖液:Liquid in PBS containing 50% glycerol, 0.5% BSA and 0.02% sodium azide.
-
產品提供形式:Liquid
-
應用范圍:ELISA,WB,IHC
-
推薦稀釋比:
Application Recommended Dilution ELISA 1:1000-1:5000 WB 1:500-1:2000 IHC 1:50-1:200 -
Protocols:
-
儲存條件:Upon receipt, store at -20°C or -80°C. Avoid repeated freeze.
-
貨期:Basically, we can dispatch the products out in 1-3 working days after receiving your orders. Delivery time maybe differs from different purchasing way or location, please kindly consult your local distributors for specific delivery time.
-
用途:For Research Use Only. Not for use in diagnostic or therapeutic procedures.
相關產品
靶點詳情
-
功能:G-protein coupled receptor for glutamate. Ligand binding causes a conformation change that triggers signaling via guanine nucleotide-binding proteins (G proteins) and modulates the activity of down-stream effectors, such as adenylate cyclase. Signaling inhibits adenylate cyclase activity.
-
基因功能參考文獻:
- This study showed that GRM8 was nominally associated (p < 0.05) with both delta measures (energy and intertrial phase coherence). PMID: 27871913
- These results further implicate the role of glutamate receptor genes such as GRM8 in the development of alcohol dependence. PMID: 25978827
- Genome wide association study and meta-analysis results detected rs6951643, a GRM8 genetic variant as suggestive marker for sporadic Creutzfeldt-Jakob disease risk mapping outside the PRNP region. PMID: 25918841
- propose three potential human candidate genes for voluntary physical exercise levels (MC3R, CYP24A1, and GRM8). PMID: 24821406
- The GRM8 gene might play an important role in the pathogenesis of schizophrenia. PMID: 25588301
- Glutamate acts as a partial inverse agonist to metabotropic glutamate receptor with a single amino acid mutation in the transmembrane domain PMID: 23420844
- Eight suggestive significant loci were detected with a series of genes expressed within the inner ear that underlie the auditory function, such as: DCLK1, PTPRD, GRM8, CMIP. PMID: 21493956
- Pias1 binds to and sumoylates metabotropic glutamate receptor 8 PMID: 16144832
- GRM8 genes are likely involved in the pathogenesis of autistic disorder. PMID: 17955477
- Association of suingle nucleotide polymorphisms in GRM8 with theta power of event-related oscillations and alcohol dependence are reported. PMID: 18618593
顯示更多
收起更多
-
亞細胞定位:Cell membrane; Multi-pass membrane protein.
-
蛋白家族:G-protein coupled receptor 3 family
-
數據庫鏈接:
Most popular with customers
-
-
Phospho-YAP1 (S127) Recombinant Monoclonal Antibody
Applications: ELISA, WB, IHC
Species Reactivity: Human
-
-
-
-
-
-















