GPR32 Antibody
-
中文名稱:GPR32兔多克隆抗體
-
貨號:CSB-PA009803LA01HU
-
規格:¥440
-
圖片:
-
Western Blot
Positive WB detected in: HL60 whole cell lysate
All lanes: GPR32 antibody at 2.6µg/ml
Secondary
Goat polyclonal to rabbit IgG at 1/50000 dilution
Predicted band size: 41 kDa
Observed band size: 41 kDa -
IHC image of CSB-PA009803LA01HU diluted at 1:500 and staining in paraffin-embedded human placenta tissue performed on a Leica BondTM system. After dewaxing and hydration, antigen retrieval was mediated by high pressure in a citrate buffer (pH 6.0). Section was blocked with 10% normal goat serum 30min at RT. Then primary antibody (1% BSA) was incubated at 4°C overnight. The primary is detected by a biotinylated secondary antibody and visualized using an HRP conjugated SP system.
-
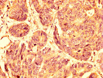
IHC image of CSB-PA009803LA01HU diluted at 1:500 and staining in paraffin-embedded human gastric cancer performed on a Leica BondTM system. After dewaxing and hydration, antigen retrieval was mediated by high pressure in a citrate buffer (pH 6.0). Section was blocked with 10% normal goat serum 30min at RT. Then primary antibody (1% BSA) was incubated at 4°C overnight. The primary is detected by a biotinylated secondary antibody and visualized using an HRP conjugated SP system.
-
Immunofluorescence staining of A549 cells with CSB-PA009803LA01HU at 1:166, counter-stained with DAPI. The cells were fixed in 4% formaldehyde, permeabilized using 0.2% Triton X-100 and blocked in 10% normal Goat Serum. The cells were then incubated with the antibody overnight at 4°C. The secondary antibody was Alexa Fluor 488-congugated AffiniPure Goat Anti-Rabbit IgG(H+L).
-
-
其他:
產品詳情
-
產品名稱:Rabbit anti-Homo sapiens (Human) GPR32 Polyclonal antibody
-
Uniprot No.:
-
基因名:
-
別名:GPR32; Probable G-protein coupled receptor 32
-
宿主:Rabbit
-
反應種屬:Human
-
免疫原:Recombinant Human Probable G-protein coupled receptor 32 protein (1-44AA)
-
免疫原種屬:Homo sapiens (Human)
-
標記方式:Non-conjugated
本頁面中的產品,GPR32 Antibody (CSB-PA009803LA01HU),的標記方式是Non-conjugated。對于GPR32 Antibody,我們還提供其他標記。見下表:
-
克隆類型:Polyclonal
-
抗體亞型:IgG
-
純化方式:>95%, Protein G purified
-
濃度:It differs from different batches. Please contact us to confirm it.
-
保存緩沖液:Preservative: 0.03% Proclin 300
Constituents: 50% Glycerol, 0.01M PBS, pH 7.4 -
產品提供形式:Liquid
-
應用范圍:ELISA, WB, IHC, IF
-
推薦稀釋比:
Application Recommended Dilution WB 1:500-1:5000 IHC 1:500-1:1000 IF 1:50-1:200 -
Protocols:
-
儲存條件:Upon receipt, store at -20°C or -80°C. Avoid repeated freeze.
-
貨期:Basically, we can dispatch the products out in 1-3 working days after receiving your orders. Delivery time maybe differs from different purchasing way or location, please kindly consult your local distributors for specific delivery time.
-
用途:For Research Use Only. Not for use in diagnostic or therapeutic procedures.
相關產品
靶點詳情
-
功能:Orphan receptor.
-
基因功能參考文獻:
- Data suggest that resolvin D1/RVDR1 signaling (1) promotes epithelial wound repair, (2) inhibits TGFB-induced epithelial-mesenchymal transition in type II alveolar cells, (3) inhibits fibroproliferation and apoptosis, (4) reduces effects of TGFB on primary lung fibroblast collagen production, and (5) inhibits myofibroblast differentiation. (TGFB = transforming growth factor beta) PMID: 29083412
- Our findings indicate that chitotriosidase and S10012A are useful in diagnosis and detection of subclinical inflammation and/or assessment of disease activity in FMF patients. PMID: 26339162
- Resolvin D1 attenuates the viral mimic-induced inflammatory signaling in human airway epithelial cells via TAK1. PMID: 25320283
- Results suggest that resolvin D1 inhibited TGF-beta1-induced EMT via ALX/FPR2 and GPR32 by reducing the expression of ZEB1. PMID: 24120851
- results indicate that RvD1 specifically interacts with both ALX and GPR32 on phagocytes. PMID: 20080636
顯示更多
收起更多
-
亞細胞定位:Cell membrane; Multi-pass membrane protein.
-
蛋白家族:G-protein coupled receptor 1 family
-
數據庫鏈接:
Most popular with customers
-
-
YWHAB Recombinant Monoclonal Antibody
Applications: ELISA, WB, IHC, IF, FC
Species Reactivity: Human, Mouse, Rat
-
Phospho-YAP1 (S127) Recombinant Monoclonal Antibody
Applications: ELISA, WB, IHC
Species Reactivity: Human
-
-
-
-
-















