GPLD1 Antibody
-
中文名稱:GPLD1兔多克隆抗體
-
貨號:CSB-PA009721LA01HU
-
規格:¥440
-
圖片:
-
Western Blot
Positive WB detected in: SH-SY5Y whole cell lysate
All lanes: GPLD1 antibody at 1:2000
Secondary
Goat polyclonal to rabbit IgG at 1/50000 dilution
Predicted band size: 93, 20 kDa
Observed band size: 93 kDa -
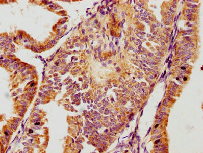
IHC image of CSB-PA009721LA01HU diluted at 1:100 and staining in paraffin-embedded human endometrial cancer performed on a Leica BondTM system. After dewaxing and hydration, antigen retrieval was mediated by high pressure in a citrate buffer (pH 6.0). Section was blocked with 10% normal goat serum 30min at RT. Then primary antibody (1% BSA) was incubated at 4°C overnight. The primary is detected by a biotinylated secondary antibody and visualized using an HRP conjugated SP system.
-
-
其他:
產品詳情
-
產品名稱:Rabbit anti-Homo sapiens (Human) GPLD1 Polyclonal antibody
-
Uniprot No.:
-
基因名:GPLD1
-
別名:Glycoprotein phospholipase D antibody; Glycosyl-phosphatidylinositol-specific phospholipase D antibody; GPI-PLD antibody; GPI-specific phospholipase D antibody; GPIPLD antibody; GPIPLDM antibody; GPLD1 antibody; MGC22590 antibody; PHLD_HUMAN antibody; Phosphatidylinositol glycan specific phospholipase D antibody; Phosphatidylinositol-glycan-specific phospholipase D antibody; PI-G PLD antibody; PIGPLD antibody; PIGPLD1 antibody
-
宿主:Rabbit
-
反應種屬:Human
-
免疫原:Recombinant Human Phosphatidylinositol-glycan-specific phospholipase D protein (310-565AA)
-
免疫原種屬:Homo sapiens (Human)
-
標記方式:Non-conjugated
本頁面中的產品,GPLD1 Antibody (CSB-PA009721LA01HU),的標記方式是Non-conjugated。對于GPLD1 Antibody,我們還提供其他標記。見下表:
-
克隆類型:Polyclonal
-
抗體亞型:IgG
-
純化方式:>95%, Protein G purified
-
濃度:It differs from different batches. Please contact us to confirm it.
-
保存緩沖液:Preservative: 0.03% Proclin 300
Constituents: 50% Glycerol, 0.01M PBS, pH 7.4 -
產品提供形式:Liquid
-
應用范圍:ELISA, WB, IHC
-
推薦稀釋比:
Application Recommended Dilution WB 1:1000-1:5000 IHC 1:20-1:200 -
Protocols:
-
儲存條件:Upon receipt, store at -20°C or -80°C. Avoid repeated freeze.
-
貨期:Basically, we can dispatch the products out in 1-3 working days after receiving your orders. Delivery time maybe differs from different purchasing way or location, please kindly consult your local distributors for specific delivery time.
-
用途:For Research Use Only. Not for use in diagnostic or therapeutic procedures.
相關產品
靶點詳情
-
功能:This protein hydrolyzes the inositol phosphate linkage in proteins anchored by phosphatidylinositol glycans (GPI-anchor) thus releasing these proteins from the membrane.
-
基因功能參考文獻:
- computational study suggests that although curcumin to some extent binds with Tp receptor, yet the inhibition of Arf6GDP to Arf6GTP conversion appeared to be an important mechanism by which curcumin inhibits U46619-induced increase in PLD activity in PASMCs. PMID: 28780751
- Study discovered novel and independent associations of prediabetes and related traits with MASP1, and some evidence for associations with THBS1, GPLD1 and ApoA-IV, suggesting a role for these proteins in the pathophysiology of type 2 diabetes. PMID: 27344311
- c-Myc influences GPI-AP signaling transcriptionally and posttranslational and represses GPI-AP anti-proliferative signaling in tumors PMID: 27232633
- Low aggressive MCF-7 breast cancer cells have low endogenous PLD enzymatic activity and cell invasion, concomitant with high expression of miR-203, -887, and -3619 and miR-182 and miR-182. PMID: 26567912
- suggest that the down-regulation of GPI-PLD protein may be involved in prion propagation in the brains of prion diseases PMID: 25867459
- our findings showed that ANRIL is an lncRNA responsible in anti-tumorigenesis caused by PLD inhibition and combined incorporation of ANRIL into PLD inhibition-induced anti-tumorigenic signaling network PMID: 25964559
- AMPK suppresses PLD activity, and PLD suppresses AMPK via mTOR. PMID: 25632961
- Functional regulation of phospholipase D expression in cancer and inflammation. PMID: 24990948
- At the cellular level, PLD and its reaction product, phosphatidate, interact with a large number of protein partners that are directly related to the actin cytoskeleton and cell migration. PMID: 24990954
- PLD1 and PLD2 mutants inhibit very-low-density lipoprotein-induced aldosterone production in HAC15 cells. PMID: 24956203
- This study indicated that PLD participates in the same signaling pathway in this breast cancer cell line. PMID: 22481092
- genetic variation of GPLD1 appears to associate with circulating glycosylphosphatidylinositol-specific phospholipase D levels PMID: 22260953
- The mRNA expression and activity of GPI-PLD in de novo and refractory or relapsed acute myeloid leukemia patients are obviously higher than those in normal controls. PMID: 20137110
- This study revealed the novel mechanism of bleomycin-induced redox-sensitive activation of phospholipase D leading to the generation of phosphaticid acid. PMID: 21131602
- The role of phospholipase D in the transport of VAT1 to plasma membranes and in phosphatidic acid metabolism in neutrophils is reported. PMID: 20858461
- In human ovarian cancer cell lines, GPI-PLD mRNA expression correlated with GPI-PLD enzyme activity and with the shedding of the GPI-anchored tumor and prognostic markers, urokinase receptor and CA125, from the cell surface. PMID: 12090469
- increased serum glycosylphosphatidylinositol-specific phospholipase D is associated with insulin resistance in a cohort with a wide range of insulin sensitivity PMID: 14767861
- identified as component of human trypanosome lytic factor 1 (TLF1) PMID: 15500911
- PLD activation is a novel finding for the D(3) receptor, and is the first example of an effector system where D(3) signals without G(i)/G(o) protein intermediates. PMID: 15500962
- CTLA-4 may be stored in a specialized compartment in regulatory T cells that can be triggered rapidly for deployment to the plasma membrane in a phospholipase D- and ADP ribosylation factor-1-dependent manner PMID: 15814706
- Data describe the role of angiotensin II type 1A receptor phosphorylation, phospholipase D, and extracellular calcium in isoform-specific protein kinase C membrane translocation responses. PMID: 16831865
- GPI-PLD probably had no contribution to hematopoietic stem cell homing, which may due to its low or no expression in cord blood, bone marrow and mobilized peripheral blood CD34(+) cells. PMID: 17467053
- Data indicate that a critical component of Ras signaling is the activation of PLD. PMID: 17949898
- We show that human PLD1b and PLD2a contain functional caspase 3 cleavage sites and identify the critical aspartate residues within PLD1b that affect its activation by phorbol esters. PMID: 18298948
- The serum GPI-PLD activities, the protein and mRNA levels of GPI-PLD in hepatocellular carcinoma patients were decreased by 40%, 60% and 56%, respectively. PMID: 19135435
顯示更多
收起更多
-
亞細胞定位:Secreted.
-
蛋白家族:GPLD1 family
-
數據庫鏈接:
Most popular with customers
-
-
YWHAB Recombinant Monoclonal Antibody
Applications: ELISA, WB, IHC, IF, FC
Species Reactivity: Human, Mouse, Rat
-
Phospho-YAP1 (S127) Recombinant Monoclonal Antibody
Applications: ELISA, WB, IHC
Species Reactivity: Human
-
-
-
-
-















