GPC6 Antibody
-
中文名稱:GPC6兔多克隆抗體
-
貨號:CSB-PA929652
-
規格:¥1100
-
圖片:
-
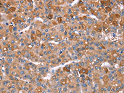
The image on the left is immunohistochemistry of paraffin-embedded Human liver cancer tissue using CSB-PA929652(GPC6 Antibody) at dilution 1/40, on the right is treated with synthetic peptide. (Original magnification: ×200)
-
The image on the left is immunohistochemistry of paraffin-embedded Human brain tissue using CSB-PA929652(GPC6 Antibody) at dilution 1/40, on the right is treated with synthetic peptide. (Original magnification: ×200)
-
Gel: 6%SDS-PAGE, Lysate: 40 μg, Lane 1-3: K562 cells, 231 cells, human fetal liver tissue, Primary antibody: CSB-PA929652(GPC6 Antibody) at dilution 1/750, Secondary antibody: Goat anti rabbit IgG at 1/8000 dilution, Exposure time: 1 minute
-
-
其他:
產品詳情
-
Uniprot No.:
-
基因名:GPC6
-
別名:ibody; Glypican 6 [Precursor] antibody; Glypican proteoglycan 6 antibody; Gpc6 antibody; GPC6_HUMAN antibody; MGC126288 antibody; OMIMD1 antibody; PRO705 antibody; Secreted glypican 6 antibody; Secreted glypican-6 antibody; UNQ369 antibody
-
宿主:Rabbit
-
反應種屬:Human,Mouse
-
免疫原:Synthetic peptide of Human GPC6
-
免疫原種屬:Homo sapiens (Human)
-
標記方式:Non-conjugated
-
抗體亞型:IgG
-
純化方式:Antigen affinity purification
-
濃度:It differs from different batches. Please contact us to confirm it.
-
保存緩沖液:-20°C, pH7.4 PBS, 0.05% NaN3, 40% Glycerol
-
產品提供形式:Liquid
-
應用范圍:ELISA,WB,IHC
-
推薦稀釋比:
Application Recommended Dilution ELISA 1:2000-1:5000 WB 1:500-1:2000 IHC 1:50-1:200 -
Protocols:
-
儲存條件:Upon receipt, store at -20°C or -80°C. Avoid repeated freeze.
-
貨期:Basically, we can dispatch the products out in 1-3 working days after receiving your orders. Delivery time maybe differs from different purchasing way or location, please kindly consult your local distributors for specific delivery time.
-
用途:For Research Use Only. Not for use in diagnostic or therapeutic procedures.
相關產品
靶點詳情
-
功能:Cell surface proteoglycan that bears heparan sulfate. Putative cell surface coreceptor for growth factors, extracellular matrix proteins, proteases and anti-proteases. Enhances migration and invasion of cancer cells through WNT5A signaling.
-
基因功能參考文獻:
- Thus, GPC6 and TMEM132D may serve as predictors of CD8+ T-lymphocyte infiltration and as favorable prognostic markers in early stage ovarian cancer with important consequences for diagnosis. PMID: 26448945
- Extracellular matrix proteins expression profiling in chemoresistant variants of the A2780 ovarian cancer cell line. PMID: 24804215
- GPC6 promotes invasive migration by inhibition of canonical beta-catenin and Wnt signalling, and up-regulation of non-canonical Wnt5A signalling leading to the activation of JNK and p38 MAPK. PMID: 21871017
- a reduction in GPC6 mRNA in retinoblastoma is associated with the non-random allelic loss at 13q31 that could contribute to RB development. PMID: 19726429
- Mutations in the heparan-sulfate proteoglycan glypican 6 impair endochondral ossification and cause recessive omodysplasia PMID: 19481194
顯示更多
收起更多
-
相關疾?。?/div>Omodysplasia 1 (OMOD1)亞細胞定位:Cell membrane; Lipid-anchor, GPI-anchor; Extracellular side.; [Secreted glypican-6]: Secreted, extracellular space.蛋白家族:Glypican family組織特異性:Widely expressed. High expression in fetal kidney and lung and lower expressions in fetal liver and brain. In adult tissues, very abundant in ovary, high levels also observed in liver, kidney, small intestine and colon. Not detected in peripheral blood le數據庫鏈接:
Most popular with customers
-
-
YWHAB Recombinant Monoclonal Antibody
Applications: ELISA, WB, IHC, IF, FC
Species Reactivity: Human, Mouse, Rat
-
Phospho-YAP1 (S127) Recombinant Monoclonal Antibody
Applications: ELISA, WB, IHC
Species Reactivity: Human
-
-
-
-
-















