-
中文名稱:GPC4兔多克隆抗體
-
貨號:CSB-PA009706LA01HU
-
規格:¥440
-
圖片:
-
Western blot
All lanes: GPC4 antibody at 8µg/ml + Mouse brain tissue
Secondary
Goat polyclonal to rabbit IgG at 1/10000 dilution
Predicted band size: 63, 55 kDa
Observed band size: 63 kDa -
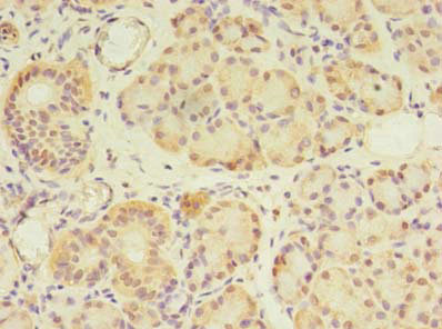
Immunohistochemistry of paraffin-embedded human pancreatic tissue using CSB-PA009706LA01HU at dilution of 1:100
-
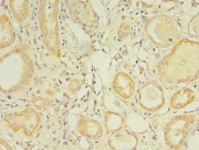
Immunohistochemistry of paraffin-embedded human kidney tissue using CSB-PA009706LA01HU at dilution of 1:100
-
Immunofluorescent analysis of HepG2 cells using CSB-PA009706LA01HU at dilution of 1:100 and Alexa Fluor 488-congugated AffiniPure Goat Anti-Rabbit IgG(H+L)
-
-
其他:
產品詳情
-
產品描述:
In the production of the GPC4 polyclonal antibody, a rabbit was initially immunized with the recombinant human Glypican-4 protein (19-210aa). Afterward, the antibodies were obtained and extracted from the rabbit serum, and subsequently purified using protein G affinity chromatography.
The resulting GPC4 polyclonal antibody possesses a purity level exceeding 95%, indicating that it contains almost no impurities. It has been demonstrated to recognize and bind to GPC4 protein in human and mouse samples. In addition, the versatility of the GPC4 polyclonal antibody has been demonstrated through its successful validation in various applications, such as ELISA, WB, IHC, and IF, indicating its effectiveness in a range of experimental settings.
-
產品名稱:Rabbit anti-Homo sapiens (Human) GPC4 Polyclonal antibody
-
Uniprot No.:
-
基因名:
-
別名:dJ900E8.1 glypican 4 antibody; Glypican proteoglycan 4 antibody; Gpc4 antibody; GPC4_HUMAN antibody; K Glypican antibody; K-glypican antibody; Kglypican antibody; OTTHUMP00000024052 antibody; Secreted glypican 4 antibody; Secreted glypican-4 antibody; UNQ474/PRO937 antibody
-
宿主:Rabbit
-
反應種屬:Human, Mouse
-
免疫原:Recombinant Human Glypican-4 protein (19-210AA)
-
免疫原種屬:Homo sapiens (Human)
-
標記方式:Non-conjugated
本頁面中的產品,GPC4 Antibody (CSB-PA009706LA01HU),的標記方式是Non-conjugated。對于GPC4 Antibody,我們還提供其他標記。見下表:
-
克隆類型:Polyclonal
-
抗體亞型:IgG
-
純化方式:>95%, Protein G purified
-
濃度:It differs from different batches. Please contact us to confirm it.
-
保存緩沖液:Preservative: 0.03% Proclin 300
Constituents: 50% Glycerol, 0.01M PBS, PH 7.4 -
產品提供形式:Liquid
-
應用范圍:ELISA, WB, IHC, IF
-
推薦稀釋比:
Application Recommended Dilution WB 1:500-1:2000 IHC 1:20-1:200 IF 1:50-1:200 -
Protocols:
-
儲存條件:Upon receipt, store at -20°C or -80°C. Avoid repeated freeze.
-
貨期:Basically, we can dispatch the products out in 1-3 working days after receiving your orders. Delivery time maybe differs from different purchasing way or location, please kindly consult your local distributors for specific delivery time.
-
用途:For Research Use Only. Not for use in diagnostic or therapeutic procedures.
引用文獻
- GSDME unlocks astrocyte-driven neurotoxicity in Alzheimer's Disease X Xie, C Ji, J Xu, X Lu, G Guo, W Liu, X Wu, Y Chen,bioRxiv,2025
相關產品
靶點詳情
-
功能:Cell surface proteoglycan that bears heparan sulfate. May be involved in the development of kidney tubules and of the central nervous system.
-
基因功能參考文獻:
- The T allele of GPC4 may represent a risk factor for Epstein-Barr virus-associated gastric carcinoma. PMID: 27071854
- According to behavioral studies, downregulation of Gpc4 by Gpc4 siRNA decreased spontaneous seizure frequency, while upregulation of Gpc4 by recombinant Gpc4 overexpression led to a converse result. These findings support the hypothesis that increased expression of Gpc4 in the brain is associated with epileptic seizures. PMID: 27425250
- serum level elevated in polycystic ovary syndrome and correlated with fat distribution and cardiovascular risk PMID: 26486309
- Data suggest gender difference in circulating GPC4 levels in nonalcoholic fatty liver disease; GPC4 levels in women appear to correlate with cardiometabolic risk factors (adiposity/body fat distribution, insulin resistance, and arterial stiffness). PMID: 23633195
- new function of miR-125a by targeting gene glypican-4 in cell growth process PMID: 22644326
- Findings establish that Gpc4 acts at the interface of extrinsic and intrinsic signal regulation to fine tune stem cell fate. PMID: 22761013
顯示更多
收起更多
-
亞細胞定位:Cell membrane; Lipid-anchor, GPI-anchor; Extracellular side.; [Secreted glypican-4]: Secreted, extracellular space.
-
蛋白家族:Glypican family
-
數據庫鏈接:
Most popular with customers
-
-
Phospho-YAP1 (S127) Recombinant Monoclonal Antibody
Applications: ELISA, WB, IHC
Species Reactivity: Human
-
-
-
-
-
-















