GJC1 Antibody
-
中文名稱:GJC1兔多克隆抗體
-
貨號:CSB-PA009458ESR2HU
-
規格:¥440
-
圖片:
-
Western blot
All lanes: Gap junction gamma-1 protein antibody at 6μg/ml + 293T whole cell lysate
Secondary
Goat polyclonal to rabbit IgG at 1/10000 dilution
Predicted band size: 45 kDa
Observed band size: 45 kDa -
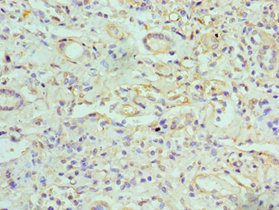
Immunohistochemistry of paraffin-embedded human kidney tissue using CSB-PA009458ESR2HU at dilution of 1:100
-
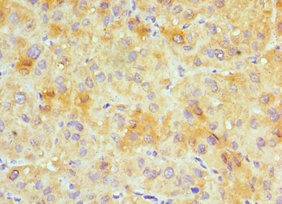
Immunohistochemistry of paraffin-embedded human liver cancer using CSB-PA009458ESR2HU at dilution of 1:100
-
Immunofluorescent analysis of 293 cells using CSB-PA009458ESR2HU at dilution of 1:100 and Alexa Fluor 488-congugated AffiniPure Goat Anti-Rabbit IgG(H+L)
-
-
其他:
產品詳情
-
產品名稱:Rabbit anti-Homo sapiens (Human) GJC1 Polyclonal antibody
-
Uniprot No.:
-
基因名:GJC1
-
別名:GJC1; GJA7; Gap junction gamma-1 protein; Connexin-45; Cx45; Gap junction alpha-7 protein
-
宿主:Rabbit
-
反應種屬:Human
-
免疫原:Recombinant Human Gap junction gamma-1 protein (247-396AA)
-
免疫原種屬:Homo sapiens (Human)
-
標記方式:Non-conjugated
-
克隆類型:Polyclonal
-
抗體亞型:IgG
-
純化方式:Antigen Affinity Purified
-
濃度:It differs from different batches. Please contact us to confirm it.
-
保存緩沖液:PBS with 0.02% sodium azide, 50% glycerol, pH7.3.
-
產品提供形式:Liquid
-
應用范圍:ELISA, WB, IHC, IF
-
推薦稀釋比:
Application Recommended Dilution WB 1:1000-1:5000 IHC 1:20-1:200 IF 1:50-1:200 -
Protocols:
-
儲存條件:Upon receipt, store at -20°C or -80°C. Avoid repeated freeze.
-
貨期:Basically, we can dispatch the products out in 1-3 working days after receiving your orders. Delivery time maybe differs from different purchasing way or location, please kindly consult your local distributors for specific delivery time.
-
用途:For Research Use Only. Not for use in diagnostic or therapeutic procedures.
相關產品
靶點詳情
-
功能:One gap junction consists of a cluster of closely packed pairs of transmembrane channels, the connexons, through which materials of low MW diffuse from one cell to a neighboring cell.
-
基因功能參考文獻:
- our data highlighted the critical role of CX45 in reprogramming and may increase the cell division rate and result in an accelerated kinetics of iPSCs production. PMID: 28352086
- human Cx40/Cx45 and Cx43/Cx45 heterotypic gap junctions were investigated by recombinant expression in GJ deficient cells. PMID: 28760564
- Observations involving both N- and C-domains of CaM to interact with the Cx45 peptide differ from the embraced interaction with Cx50 from another connexin family PMID: 28963343
- Human deltoid muscle biopsies of 5 Chilean dysferlinopathy patients exhibited the presence of muscular connexins (Cx40.1, Cx43 and Cx45). PMID: 27229680
- Connexin45 has much more rapid gating kinetics than connexin43 PMID: 25401181
- Results found that the expression of Cx26 and Cx45 had no prognostic value but Cx43 was upregulated in tumour epithelia and membrane Cx43 expression was associated with short overall survival time. PMID: 24788723
- Gap junctional intercellular communication in human bladder smooth muscle cells and suburothelial myofibroblastsdepend of Cx43 rather than on Cx45. PMID: 21674053
- Our data suggest that GJA7 alterations have no or low genetic relevance in nonsyndromic hearing loss in populatins from Turkey, South Africa, United Kingdom, United States, and China. PMID: 21254920
- DNA hypermethylation of the promoter region of GJC1, encoding connexin45, is an important mechanism in silencing gene expression in colorectal cancer. PMID: 21406965
- Study shows that fusion of a V5/6-His tag (hexa moiety M r = 0.93 kDa) to the CT segment of Cx40, Cx43 and Cx45 does not prevent the cells from forming channels. PMID: 21424225
- connexin genes Gjd2 coding for mCx36, Gjc1 coding for mCx45 and Gja10 coding for mCx57 in the mouse, a subset of 4 connexin genes, including the unique GJA9 (Cx59) and GJA10 (Cx62), could be detected at least as transcript isoforms in the human retina. PMID: 20979653
- Results show that Cx40, Cx37, Cx43 and Cx45 were expressed within the glomeruli. PMID: 20530971
- Studies indicate that 21 different Cxs have been detected and they are generally named according to their approximate molecular mass in Kda, e.g. Cx32, Cx43 and Cx45. PMID: 19883623
- Data suggest that the dynamic changes of connexins 43, 40 and 45 during mouse cardiac development appear to be mirrored in the human. PMID: 12064615
- abnormal expression of connexin43 and connexin45 in nasopharynx tissues may be associated with cancerization and squamatization of human nasopharynx tissue PMID: 12452056
- mRNA levels of connexins in different sizes of luteinized normal and hyperstimulated follicles. PMID: 14667880
- The staining patterns for Cx45 rather were typified by granular cytoplasmic staining. PMID: 14766937
- Cx45 has a complex binding interaction with zonula occludens-1 (ZO-1) that involves either an extended carboxyl terminal domain or two distinct binding sites. PMID: 16463142
- Cx40/Cx45 junctions demonstrate electrical signal transfer asymmetry that can be modulated between unidirectional and bidirectional by small changes in the difference between holding potentials of the coupled cells. PMID: 17189315
- a cross-talk between CFTR and a variety of gap junction channels. Cytoskeletal scaffolding proteins and/or other intermediate cytoplasmic proteins are likely to play a role in CFTR-connexins interaction. PMID: 17546509
顯示更多
收起更多
-
亞細胞定位:Cell membrane; Multi-pass membrane protein. Cell junction, gap junction.
-
蛋白家族:Connexin family, Gamma-type subfamily
-
數據庫鏈接:
Most popular with customers
-
-
YWHAB Recombinant Monoclonal Antibody
Applications: ELISA, WB, IHC, IF, FC
Species Reactivity: Human, Mouse, Rat
-
-
-
-
-
-















