GDAP1 Antibody
-
中文名稱:GDAP1兔多克隆抗體
-
貨號:CSB-PA009338ESR2HU
-
規格:¥440
-
圖片:
-
Western blot
All lanes: GDAP1 antibody at 1.11μg/ml + Mouse brain tissue
Secondary
Goat polyclonal to rabbit IgG at 1/10000 dilution
Predicted band size: 42, 34 kDa
Observed band size: 42 kDa -
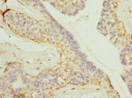
Immunohistochemistry of paraffin-embedded human liver cancer using CSB-PA009338ESR2HU at dilution of 1:100
-
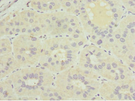
Immunohistochemistry of paraffin-embedded human breast cancer using CSB-PA009338ESR2HU at dilution of 1:100
-
-
其他:
產品詳情
-
產品名稱:Rabbit anti-Homo sapiens (Human) GDAP1 Polyclonal antibody
-
Uniprot No.:
-
基因名:GDAP1
-
別名:GDAP1; Ganglioside-induced differentiation-associated protein 1; GDAP1
-
宿主:Rabbit
-
反應種屬:Human, Mouse
-
免疫原:Recombinant Human Ganglioside-induced differentiation-associated protein 1 protein (1-225AA)
-
免疫原種屬:Homo sapiens (Human)
-
標記方式:Non-conjugated
-
克隆類型:Polyclonal
-
抗體亞型:IgG
-
純化方式:Antigen Affinity Purified
-
濃度:It differs from different batches. Please contact us to confirm it.
-
保存緩沖液:PBS with 0.02% sodium azide, 50% glycerol, pH7.3.
-
產品提供形式:Liquid
-
應用范圍:ELISA, WB, IHC
-
推薦稀釋比:
Application Recommended Dilution WB 1:1000-1:5000 IHC 1:20-1:200 -
Protocols:
-
儲存條件:Upon receipt, store at -20°C or -80°C. Avoid repeated freeze.
-
貨期:Basically, we can dispatch the products out in 1-3 working days after receiving your orders. Delivery time maybe differs from different purchasing way or location, please kindly consult your local distributors for specific delivery time.
-
用途:For Research Use Only. Not for use in diagnostic or therapeutic procedures.
相關產品
靶點詳情
-
功能:Regulates the mitochondrial network by promoting mitochondrial fission.
-
基因功能參考文獻:
- This study showed that the characterization of GDAP1associated Charcot-Marie-Tooth disease. PMID: 29694336
- Study expands the mutational spectrum of GDAP1-related Charcot-Marie-Tooth (CMT) disease with the identification of new and unreported GDAP1 variants and demonstrates the predominance of the axonal form of neuropathy in CMT disease associated with GDAP1; highlights the clinical characteristics associated with these genotypes and describe the relative frequency of GDAP1 variants amongst the Chinese population. PMID: 29372391
- Study shows that GDAP1 is indeed a GST enzyme, and demonstrates a specific GSH-conjugating activity in vitro which seems to be regulated by the hydrophobic domain 1 (HD1) exerting an autoinhibitory function. HD1 could adopt an amphipathic pattern necessary to induce remodeling of organelles-mimicking liposomes by Gdap1. PMID: 27841286
- We identified GDAP1 variants in approximately 1% of our cohort with IPNs, and established a founder mutation in half of these patients. Our study originally described the mutational spectrum and clinical features of GDAP1-related CMT patients in Japan. PMID: 28244113
- This study report an AD-CMT2K with large phenotypic variability due to a novel dominant GDAP1 variant. PMID: 28236508
- GDAP1 hypomethylation can serve as a biomarker for alcohol dependence severity and treatment outcome. PMID: 27128683
- This study suggest GDAP1 as the first gene that should be analysed in Italian patients affected by CMT2. PMID: 26525999
- study reports on 2 Charcot-Marie-Tooth (CMT) families in which a newly identified Glu222Lys mutation within the GDAP1 gene segregates both in autosomal dominant and recessive traits PMID: 25337607
- The novelty of our data is the relatively high frequency of SH3TC2 and GDAP1 mutations in demyelinating and axonal forms, respectively, of Charcot-Marie-Tooth disease PMID: 25429913
- Results show that JPH1 and GDAP1 share a common pathway and depend on each other; therefore, JPH1 can contribute to the phenotypical consequences of GDAP1 mutations. PMID: 25168384
- GDAP1-associated polyneuropathy caused predominantly a mild and slowly progressive phenotype. PMID: 23456260
- This studies suggest that the pathophysiology of GDAP1-related CMT neuropathies may be associated with abnormal distribution and movement of mitochondria throughout cytoskeleton towards the ER and subplasmalemmal microdomains. PMID: 23542510
- GDAP1 regulates mitochondrial and peroxisomal fission by a similar mechanism. PMID: 23628762
- A novel heterozygous missense mutation (Arg120Gly) in the GDAP1 gene co-segregates with the disease within the pedigree of an Italian Charcot-Marie-Tooth disease type 2 (CMT2) family. PMID: 22971097
- This study suggested that the mutation of GDAP1 cased onion bulb-like formations of schwann cell in peripheral neuropathies. PMID: 23147504
- A French family with Charcot-Marie-Tooth disease is related to simultaneous heterozygous MFN2 and GDAP1 mutations. PMID: 22546700
- Patients of type 4 Charcot-Marie-Tooth disease showed reduced GDAP1 levels, GHS concentration and mitochondrial membrane potential. PMID: 21965300
- Charcot-Marie-Tooth-related gene GDAP1 complements cell cycle delay at G2/M phase in Saccharomyces cerevisiae fis1 gene-defective cells PMID: 21890626
- we report two recessive intermediate Charcot-Marie-Tooth (RI-CMT) patients with GDAP1 missense mutations PMID: 21692914
- We show that patients with dominant GDAP1 mutations may display clear axonal Charcot-Marie-Tooth disease PMID: 21753178
- Clinical outcome of Charcot-Marie-Tooth disease caused by mutations in the GDAP1 gene cannot be predicted solely on the basis of genetic results (missense/nonsense mutations). PMID: 21365284
- An p.R120W mutation has been identified in GDAP1 causing autosomal dominant Charcot-Marie-Tooth disease with a wide clinical profile. PMID: 21199105
- This review provide that Mitochondrial dysfunction and pathophysiology of Charcot-Marie-Tooth disease involving GDAP1 mutations. PMID: 20849849
- A mutations frquency of 27% in the GST domain of GDAP1 in the dominant form of axonal Charcot Marie Tooth type 2K was observed. PMID: 20685671
- Charcot-Marie-Tooth type 4C4 (CMT4C4) phenotype associated with the third recurrent GDAP1 mutation having a common origin in European population was characterized. PMID: 20232219
- different cellular mechanisms that disturb mitochondrial dynamics underlie the similar clinical manifestations caused by GDAP1 mutations, depending on the mode of inheritance PMID: 19782751
- GDAP1 is broadly expressed in cancer cell lines of different tissue origin. There is a consensus YY1 binding site in the GDAP1 core promoter. PMID: 19720140
- Mutations in GDAP1 are a frequent cause of autosomal recessive demyelinating Charcot-Marie-Tooth disease type 4A PMID: 12499475
- This study shows the variability of the phenotype associated with mutations in GDAP1 gene in terms of associated signs and severity of Charcot-Marie-Tooth disease. PMID: 12868504
- This study detected six distinct mutant alleles in four families, four of which are novel. PMID: 14561495
- Genetic analysis revealed a homozygous thymidine deletion at nucleotide position 558 resulting in a frameshift at codon 186 and a stop codon at position 205. PMID: 15019704
- may be related to the maintenance of the mitochondrial network PMID: 15772096
- In this study we report a novel mutation Met116Thr in the GDAP1 gene identified in a three generation Polish family with axonal CMT4. PMID: 16343542
- The patient of Charcot-Marie-Tooth with pyramidal feature has GDAP1 mutation(M116R). PMID: 16607474
- Like other cytosolic GSTs, GDAP1 protein has a dimeric structure. deletion of C-terminal transmembrane domain allowed preparation of soluble protein. purified protein was assayed for glutathione-dependent activity against a library of GST substrates. PMID: 16857173
- Two different point mutations, a novel R191X nonsense and a L239F missense mutation were detected in the GDAP1 gene causing Charcot-Marie-Tooth neurpathy. PMID: 17433678
- A novel C233T transversion at codon 78 (P78L) was detected in 6 patients from 3 unrelated families. PMID: 18062449
- A novel GDAP1 Q218E mutation in autosomal dominant Charcot-Marie-Tooth disease. PMID: 18231710
- A novel Pro153Leu mutation in the GDAP1 gene identified in a consanguineous Polish family as cause of Charcot-Marie-Tooth disease type 4C4. PMID: 18421898
- a novel GDAP1 mutation in an Old Order Amish family with autosomal recessive Charcot-Marie-Tooth disease. PMID: 18492089
- Data show that the mutations in the GDAP1 gene are a common cause of early-onset Autosomal recessive Charcot-Marie-Tooth syndrome (AR-CMT). PMID: 18504680
- clinical, electrophysiologic & genetic study of 2 patients with missense GDAP1 mutations with severe neuropathy; 1 mutation (Tyr279Cys) has not been reported before; despite similitude of mutations & electromyography, clinical course was different PMID: 18991200
- Data suggest that besides the regulatory role GDAP1 plays in mitochondrial network dynamics, it may also be involved in energy production and in the control of mitochondrial volume. PMID: 19089472
- this GDAP1 region contains critical overlapping motifs defining intracellular targeting by the tail anchor domain concomitant with functional aspects PMID: 19340293
- Data report a novel missense mutation and two polymorphisms in the ganglioside-induced differentiation-associated protein 1 gene identified in a five generation Turkish family with autosomal recessive Charcot-Marie-Tooth type 2. PMID: 19381883
- GDAP1 mutations should be considered both in recessive and sporadic cases of early-onset axonal Charcot-Marie-Tooth disease PMID: 19500985
- Thirty sequence variants have been found in the analysed genes from patients with Charcot-Marie-Tooth disorders: 5 pathogenic mutations in the GDAP1 gene and 2 pathogenic mutations in the PRX gene. PMID: 19837996
顯示更多
收起更多
-
相關疾?。?/div>Charcot-Marie-Tooth disease 4A (CMT4A); Charcot-Marie-Tooth disease, axonal, with vocal cord paresis, autosomal recessive (CMT2RV); Charcot-Marie-Tooth disease 2K (CMT2K); Charcot-Marie-Tooth disease, recessive, intermediate type, A (CMTRIA)亞細胞定位:Mitochondrion outer membrane; Multi-pass membrane protein. Cytoplasm.蛋白家族:GST superfamily組織特異性:Highly expressed in whole brain and spinal cord. Predominant expression in central tissues of the nervous system not only in neurons but also in Schwann cells.數據庫鏈接:
Most popular with customers
-
-
YWHAB Recombinant Monoclonal Antibody
Applications: ELISA, WB, IHC, IF, FC
Species Reactivity: Human, Mouse, Rat
-
Phospho-YAP1 (S127) Recombinant Monoclonal Antibody
Applications: ELISA, WB, IHC
Species Reactivity: Human
-
-
-
-
-















