FGF1 Antibody
-
中文名稱:FGF1兔多克隆抗體
-
貨號:CSB-PA008615ESR2HU
-
規格:¥440
-
圖片:
-
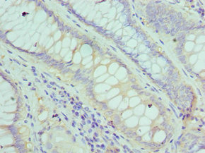
Immunohistochemistry of paraffin-embedded human colon cancer using CSB-PA008615ESR2HU at dilution of 1:100
-
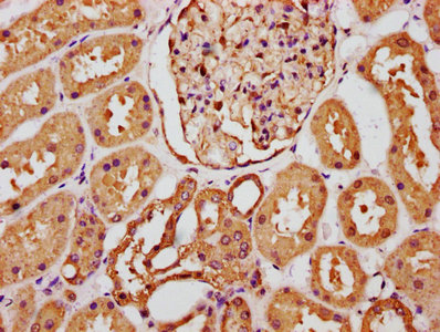
IHC image of CSB-PA008615ESR2HU diluted at 1:289 and staining in paraffin-embedded human kidney tissue performed on a Leica BondTM system. After dewaxing and hydration, antigen retrieval was mediated by high pressure in a citrate buffer (pH 6.0). Section was blocked with 10% normal goat serum 30min at RT. Then primary antibody (1% BSA) was incubated at 4°C overnight. The primary is detected by a biotinylated secondary antibody and visualized using an HRP conjugated SP system.
-
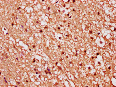
IHC image of CSB-PA008615ESR2HU diluted at 1:289 and staining in paraffin-embedded human brain tissue performed on a Leica BondTM system. After dewaxing and hydration, antigen retrieval was mediated by high pressure in a citrate buffer (pH 6.0). Section was blocked with 10% normal goat serum 30min at RT. Then primary antibody (1% BSA) was incubated at 4°C overnight. The primary is detected by a biotinylated secondary antibody and visualized using an HRP conjugated SP system.
-
Immunofluorescence staining of Hela cells with CSB-PA008615ESR2HU at 1:96, counter-stained with DAPI. The cells were fixed in 4% formaldehyde, permeabilized using 0.2% Triton X-100 and blocked in 10% normal Goat Serum. The cells were then incubated with the antibody overnight at 4°C. The secondary antibody was Alexa Fluor 488-congugated AffiniPure Goat Anti-Rabbit IgG(H+L).
-
-
其他:
產品詳情
-
產品名稱:Rabbit anti-Homo sapiens (Human) FGF1 Polyclonal antibody
-
Uniprot No.:
-
基因名:
-
別名:Acidic fibroblast growth factor antibody; aFGF antibody; Beta endothelial cell growth factor antibody; Beta-endothelial cell growth factor antibody; ECGF antibody; ECGF beta antibody; ECGF-beta antibody; ECGFA antibody; ECGFB antibody; Endothelial Cell Growth Factor alpha antibody; Endothelial Cell Growth Factor beta antibody; FGF 1 antibody; FGF alpha antibody; Fgf1 antibody; FGF1_HUMAN antibody; FGFA antibody; Fibroblast Growth Factor 1 Acidic antibody; Fibroblast growth factor 1 antibody; GLIO703 antibody; HBGF 1 antibody; HBGF-1 antibody; HBGF1 antibody; Heparin binding growth factor 1 antibody; Heparin binding growth factor 1 precursor antibody; Heparin-binding growth factor 1 antibody
-
宿主:Rabbit
-
反應種屬:Human
-
免疫原:Recombinant Human Fibroblast growth factor 1 protein (16-155AA)
-
免疫原種屬:Homo sapiens (Human)
-
標記方式:Non-conjugated
-
克隆類型:Polyclonal
-
抗體亞型:IgG
-
純化方式:Antigen Affinity Purified
-
濃度:It differs from different batches. Please contact us to confirm it.
-
保存緩沖液:PBS with 0.02% sodium azide, 50% glycerol, pH7.3.
-
產品提供形式:Liquid
-
應用范圍:ELISA, IHC, IF
-
推薦稀釋比:
Application Recommended Dilution IHC 1:20-1:500 IF 1:50-1:200 -
Protocols:
-
儲存條件:Upon receipt, store at -20°C or -80°C. Avoid repeated freeze.
-
貨期:Basically, we can dispatch the products out in 1-3 working days after receiving your orders. Delivery time maybe differs from different purchasing way or location, please kindly consult your local distributors for specific delivery time.
-
用途:For Research Use Only. Not for use in diagnostic or therapeutic procedures.
相關產品
靶點詳情
-
功能:Plays an important role in the regulation of cell survival, cell division, angiogenesis, cell differentiation and cell migration. Functions as potent mitogen in vitro. Acts as a ligand for FGFR1 and integrins. Binds to FGFR1 in the presence of heparin leading to FGFR1 dimerization and activation via sequential autophosphorylation on tyrosine residues which act as docking sites for interacting proteins, leading to the activation of several signaling cascades. Binds to integrin ITGAV:ITGB3. Its binding to integrin, subsequent ternary complex formation with integrin and FGFR1, and the recruitment of PTPN11 to the complex are essential for FGF1 signaling. Induces the phosphorylation and activation of FGFR1, FRS2, MAPK3/ERK1, MAPK1/ERK2 and AKT1. Can induce angiogenesis.
-
基因功能參考文獻:
- Gas5 regulated proliferation and apoptosis in growth plate by controlling FGF1 expression via miR-21 regulation. PMID: 29490650
- Modification of the heparin-binding region of FGF1 significantly improves the cardioprotective efficacy, even in the presence of heparin, identifying a novel FGF ligand available for therapeutic use in ischemic heart disease. PMID: 29016740
- FGF1 protects neuroblastoma cells from p53-dependent apoptosis through an intracrine pathway regulated by FGF1 phosphorylation. PMID: 29048426
- Specific heparin derivatives molecular recognition patterns by FGF1 have been reported. PMID: 27858202
- Multiple stepwise linear regression analysis found serum level of FGF1 was dependent on anti-diabetic drugs, hemoglobin A1C, body mass index and sex. Serum level of FGF1 is associated with the decreased risk of obesity in human. PMID: 28303556
- Our study suggests that the genetic variants of FGF1 rs34011, more so than FGF2 rs2922979, may play a role in PE pathogenesis in Tunisian women. PMID: 27324104
- FGF1 and 2 strongly prevent the osteogenic commitment and differentiation of hBMSCs. PMID: 27305863
- Transfected FGF1 promotes angiogenic proliferation. PMID: 28281780
- These observations suggest a crucial role for cancer-associated fibroblasts and fibroblast growth factor-1/fibroblast growth factor receptor 4 signaling in the progression of ovarian cancer. the expression level of Snail1 and MMP3 was reduced, while the expression level of E-cadherin increased PMID: 28718374
- Enzyme-linked immunosorbent assay was used to detect the levels of chemokine (C-X-C motif) ligand 12, chemokine (C-X-C motif) ligand 7, hepatocyte growth factor, and fibroblast growth factor 1 in the supernatants of the laryngeal squamous cell carcinoma and control cells. PMID: 28475003
- fibroblast growth factor 1 (FGF1) to be synergistically induced by heat shock and wounding. PMID: 27638903
- The results indicate that suramin blocks the interaction between hFGF1 and FGFR2 D2. PMID: 27387234
- activation of AurA kinase through FGF1/FGFR signaling axis sustains the stem cell characteristics of glioblastoma cells. PMID: 27138904
- Study showed that both aFGF and bFGF were highly expressed in cervical cancer tissues. In tumors of higher clinical stages, the expression of these factors was further enhanced, suggesting that they play a role in facilitating cervical cancer cell proliferation. PMID: 27966750
- FGF1 may play a role in the pathogenesis of T2 diabetes mellitus. PMID: 26806193
- anti-importin alpha1 antibody treatment suppressed the importin alpha1-FGF1 complex formation and ERK1/2 activation, resulting in decreased cell growth. This study provides novel evidence that functional importin alpha1 is located at the cell surface, where it accelerates the proliferation of cancer cells. PMID: 26887791
- The mutational introduction of a novel Cys residue (Ala66Cys) that forms a stabilizing disulfide bond (i.e., cystine) with one of the extant Cys residues (Cys83) effectively eliminates one Cys while increasing overall stability. PMID: 27019961
- The role of intracellular FGF1 is to protect the cell against stress conditions by providing an additional signal for cell survival, independently of receptor-activated signaling cascades. PMID: 26840910
- Data suggest folding of FGF1 is critical for its nonclassical secretion via permeability of lipid bilayer; mutation of proline135 in C-terminus of FGF1 leads to partial unfolding/decrease in FGF1's ability to permeabilize phosphatidylserine bilayers. PMID: 26836284
- The analysis identified a signaling axis between FGF signaling and the transcription factor Sox1, which is preferentially expressed in stem- and mesenchymal-like breast cancers. PMID: 26365194
- FGF-1 synthesis and secretion by synovial fibroblasts were significantly increased in osteoarthritis. PMID: 26400350
- expression of human FGF1 solely in beta-cells in fgf1(-/-) animals prevented overnutrition induced compensatory beta-cell differentiation. PMID: 26420862
- Results show that stress functionally associates FGF1 with AHNAK2 and both proteins with the cytoskeleton and their co-localization in the vicinity of the cell membrane. AHNAK2 seems to be an important element of the FGF1 export pathway. PMID: 25560297
- These findings suggest that the presence of FGF1 may serve as a prognostic indicator and a potential therapeutic target for non-small cell lung cancer patients, especially for lung squamous cell carcinoma. PMID: 26391572
- FGF1 expression is increased in lung from idiopathic pulmonary fibrosis patients. PMID: 26138239
- FGF1-FGFR1 axis promotes tongue squamous cell carcinoma metastasis through the epithelial-mesenchymal transition pathway PMID: 26362179
- p120RasGAP shields Akt from deactivating phosphatases in FGF1 signaling, but loses this ability once cleaved by caspase-3. PMID: 26109071
- Study presents a transcript profiling of remyelinated multiple sclerosis lesions and identified FGF1 as a promoter of remyelination PMID: 25589163
- These results suggested that human FGF1B promoter was active in ependymal cells, neurons, and a portion of dopaminergic neurons PMID: 25104610
- This review is focused on the role of HDGF in tumorigenesis and metastasis, and provides insight for application in clinical cancer therapy as well as its clinical implications as a prognostic marker in cancer progression. PMID: 25236340
- the sulfate in position 6 of d-glucosamine was essential for the mitogenic activity but not for the interaction with FGF-1 PMID: 25015527
- While results are awaited from these clinical investigations in squamous NSCLC and other disease settings, additional research is needed to elucidate the role of FGF/FGFR signaling in the biology of NSCLC of different histologies PMID: 24711160
- FGF1 gene polymorphism is associated with a lower risk of developing cleft palate or cleft lip in Iranian patients. clet palatot cleft lip PMID: 24613087
- precursor of the hormone Irisin (FNCD5) were abundantly expressed in all three fat depots, along with fibroblast growth factors (FGF) FGF1, FGF7 and FGF10, whereas, FGF19 and FGF21 were undetectable. PMID: 23949615
- Nucleolin-FGF1 interaction is critical for the intranuclear phosphorylation of FGF1 by PKCdelta and thereby the regulation of nuclear export of FGF1. PMID: 24595027
- the genotype distribution of rs34011 within fibroblast growth factor 1 was significantly different between Alzheimer's disease and control group PMID: 24464990
- discovery of unexpected, neomorphic insulin-sensitizing action for exogenous non-mitogenic human FGF1 with therapeutic potential for the treatment of insulin resistance and type 2 diabetes PMID: 25043058
- By introducing two stabilizing mutations in the C-terminal part of the protein, obtained are variants highly resistant proteolytically with prolonged half-life and enhanced mitogenic activity. PMID: 24304385
- Data suggest that the enhanced cell growth was likely due to the electrical stimulation up-regulated secretion of FGF-1 and FGF-2. PMID: 23990967
- Both FGF1 and ERBB2 significantly influenced overall survival in breast cancer patients, especially among women with low levels of Native American ancestry. PMID: 23912956
- We demonstrate that mesenchymal stromal cells increase FGF-1 secretion on co-culture with Human primary chondrocytes, which, in turn, is responsible for increased Human primary chondrocytes proliferation in pellet co-cultures. PMID: 23557133
- FGF1 polymorphism is associated with breast cancer. PMID: 23143756
- R50E suppresses angiogenesis induced by FGF1 or FGF2, and thereby indirectly suppresses tumorigenesis, in addition to its possible direct effect on tumor cell proliferation in vivo PMID: 23469107
- studied the functional consequences of HSulf-2 activity on fibroblast growth factor (FGF)-induced mitogenesis and found that the enzyme could differentially regulate FGF1 and FGF2 activities PMID: 23457216
- The expression of FGF-1 in the in vitro fertilization (IVF) implantation failure group is less than in the fertile group, which suggests that growth factors such as FGF-1 are important maternal factors effecting implantation PMID: 23426545
- forms of FGF-1 that enhance thermostability or eliminate buried reactive thiols demonstrate a shorter distribution half-life, a longer elimination half-life, and a longer mean residence time (MRT) in comparison to wild-type FGF-1 PMID: 23133616
- The folding transition state of FGF-1 is shown to be highly polarized, with the majority of turns adopting either native-like or denatured-like structure in the folding transition state. PMID: 23047594
- LRRC59 facilitates transport of cytosolic FGF1 through nuclear pores by interaction with Kpns and movement of LRRC59 along the ER and NE membranes PMID: 22321063
- [review] In this review, the authors discuss recent and ongoing research into the role of fibroblast growth factor and transforming growth factor-beta in the etiopathogenesis of craniosynostosis. PMID: 21806346
- Plasticity in interactions of fibroblast growth factor 1 (FGF1) N terminus with FGF receptors underlies promiscuity of FGF1. PMID: 22057274
顯示更多
收起更多
-
亞細胞定位:Secreted. Cytoplasm. Cytoplasm, cell cortex. Cytoplasm, cytosol. Nucleus.
-
蛋白家族:Heparin-binding growth factors family
-
組織特異性:Predominantly expressed in kidney and brain. Detected at much lower levels in heart and skeletal muscle.
-
數據庫鏈接:
Most popular with customers
-
-
YWHAB Recombinant Monoclonal Antibody
Applications: ELISA, WB, IHC, IF, FC
Species Reactivity: Human, Mouse, Rat
-
Phospho-YAP1 (S127) Recombinant Monoclonal Antibody
Applications: ELISA, WB, IHC
Species Reactivity: Human
-
-
-
-
-















