FCAR Antibody
-
中文名稱:FCAR兔多克隆抗體
-
貨號:CSB-PA258899
-
規格:¥1100
-
圖片:
-
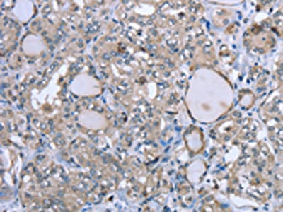
The image on the left is immunohistochemistry of paraffin-embedded Human thyroid cancer tissue using CSB-PA258899(FCAR Antibody) at dilution 1/20, on the right is treated with fusion protein. (Original magnification: ×200)
-
The image on the left is immunohistochemistry of paraffin-embedded Human prostate cancer tissue using CSB-PA258899(FCAR Antibody) at dilution 1/20, on the right is treated with fusion protein. (Original magnification: ×200)
-
Gel: 8%SDS-PAGE, Lysate: 40 μg, Lane: Mouse brain tissue, Primary antibody: CSB-PA258899(FCAR Antibody) at dilution 1/700, Secondary antibody: Goat anti rabbit IgG at 1/8000 dilution, Exposure time: 10 seconds
-
-
其他:
產品詳情
-
Uniprot No.:
-
基因名:
-
別名:FCAR; CD89; Immunoglobulin alpha Fc receptor; IgA Fc receptor; CD antigen CD89
-
宿主:Rabbit
-
反應種屬:Human,Mouse
-
免疫原:Fusion protein of Human FCAR
-
免疫原種屬:Homo sapiens (Human)
-
標記方式:Non-conjugated
-
抗體亞型:IgG
-
純化方式:Antigen affinity purification
-
濃度:It differs from different batches. Please contact us to confirm it.
-
保存緩沖液:-20°C, pH7.4 PBS, 0.05% NaN3, 40% Glycerol
-
產品提供形式:Liquid
-
應用范圍:ELISA,WB,IHC
-
推薦稀釋比:
Application Recommended Dilution ELISA 1:1000-1:2000 WB 1:200-1:1000 IHC 1:25-1:100 -
Protocols:
-
儲存條件:Upon receipt, store at -20°C or -80°C. Avoid repeated freeze.
-
貨期:Basically, we can dispatch the products out in 1-3 working days after receiving your orders. Delivery time maybe differs from different purchasing way or location, please kindly consult your local distributors for specific delivery time.
-
用途:For Research Use Only. Not for use in diagnostic or therapeutic procedures.
相關產品
靶點詳情
-
功能:Binds to the Fc region of immunoglobulins alpha. Mediates several functions including cytokine production.
-
基因功能參考文獻:
- FcalphaRI-induced cytokine production is orchestrated via upregulation of cytokine translation and caspase-1 activation, which is dependent on glycolytic reprogramming. PMID: 29491406
- In transgenic mice, IgAN pathogenesis involves impaired clearance of abnormal IgA via CD89, primarily by the Kupffer cells. Conditional IgAN progression in CD89 transgenic mice thus reveals important aspects of IgAN pathogenesis. PMID: 27437939
- a novel Fcar splice variant termed variant APD isolated from a healthy volunteer that lacks only the IgA-binding EC1 domain, is reported. PMID: 28103138
- Findings suggest a basis for the use of Fc receptor I for IgA (FcalphaRI) as a molecular target for the treatment of lupus. PMID: 25907714
- induces different forms of neutrophil death, depending on the inflammatory microenvironment PMID: 25339672
- this study examined the expression of IL-4 mRNA, IFN-c mRNA and FcaRI mRNA in tonsillar mononuclear cells of IgA nephropathy9(IgAN) patients and non-IgAN patients. PMID: 24732061
- FCAR polymorphism is not associated with high susceptibility to IGA nephropathy in caucasians. PMID: 21750160
- Abnormally glycosylated IgA1 and soluble CD89-IgA and IgA-IgG complexes, features of primary IgA nephropathy, are also present in alcoholic cirrhosis. PMID: 21866091
- Genetic variation at the promoter region of IgA receptor is associated with IgA nephropathy. PMID: 21273231
- These results suggest a role of anti-FcaRI Fab as a negative regulator in controlling the magnitude of the innate immune response PMID: 21985370
- Glycosylation of the CH2/CH3 interface inhibits interaction with the pathogen IgA binding protein SSL7, while maintaining binding of pIgR, essential to the biosynthesis and transport of SIgA. PMID: 21784854
- In this study, human mammary carcinoma cells are efficiently killed when incubated with human neutrophils and tumor-specific FcalphaRI bispecific or immunoglobulin A antibodies. PMID: 21653835
- Data show that the Fc(alpha)RI 844 A>G polymorphism is not associated with systemic sclerosis or rheumatoid arthritis sceptibility. PMID: 21159834
- FcalphaRI defines a function for pentraxins in inflammatory responses involving neutrophils and macrophages. It also highlights the innate aspect of otherwise humoral immunity-associated antibody receptors. PMID: 21383176
- There is an association between the levels of sCD89-IgA complexes in serum and the severity of IgA nephropathy, and a possible genetic component in regulating the production or expression of sCD89. PMID: 20811333
- Endocytosis of FcalphaR is clathrin- and dynamin-dependent, but is not regulated by Rab5, and the endocytic motif is not located in the cytoplasmic domain of FcalphaR. PMID: 19859085
- CD89 circulates in a high molecular mass form in complex covalently linked to IgA and contributes to the formation of polymeric serum IgA. PMID: 11801662
- study suggests that expression of the FcR splice isoform DeltaEC2 but not Delta66EC2 is differentially regulated in a cell type-specific manner and in response to inflammatory and/or infectious processes PMID: 12560105
- The Fc alpha receptor 5'-flanking region from -102 to -64 relative to the ATG translation initiation codon is essential for promoter activity and contains two functional binding motifs for C/EBP and Ets family members at -74 and -92, respectively. PMID: 12594283
- there is a bivalent, pH-dependent interaction between FcalphaRI and IgA with important implications for cytokine-dependent phagocytosis of IgA and the FcalphaRI-mediated degradation or recycling of IgA PMID: 12634059
- crystal structures of human FcalphaRI alone and in a complex with the Fc region of IgA1 (Fcalpha) PMID: 12768205
- Crystal structure of the ectodomain of human FcalphaRI PMID: 12783876
- expression pattern of CD89 and its signalling subunit, the FcR gamma chain, on circulating myeloid cells and in various tissues PMID: 12791088
- FcalphaRI expressed by interstitial-type dendritic cells could play a critical role to sample IgA-recognized antigens and also during dendritic cell activation. PMID: 15371488
- Pathogenic group A and group B streptococci are well known to produce virulence factors that block the binding of IgA to the leukocyte IgA receptor, Fc alphaRI, thereby inhibiting IgA-mediated immunity. PMID: 16293625
- Fc receptor gamma RI interacts with the unrelated immunoreceptors FcalphaRI and FcepsilonRI [FCalphaRI, also called CD89] PMID: 16627486
- These results indicate that GPVI is unique amongst the receptors of its family as it uses different structural domains to interact with several agonists and provide evidence that different sites on GPVI constitute targets to develop antagonists of GPVI. PMID: 16876821
- On monomeric targeting, FcalphaRI functions as an FcRgamma ITAM-dependent apoptotic module that may be fundamental for controlling inflammation and tumor growth. PMID: 16990604
- Carriers of 92Asn polymorphism in the myeloid IgA Fc receptor had increased risk of myocardial infarction in CARE and increased odds of coronary heart disease in WOSCOPS study groups. PMID: 17008591
- FCAR promoter SNPs may be related to chronic HCV infection and disease progression in Japanese chronic hepatitis C. PMID: 17033823
- Fc alpha receptor type I activation mediates glomerulonephritis progression by initiating a cytokine/chemokine cascade that promotes leukocyte recruitment and kidney damage in transgenic mice. PMID: 17393381
- results suggest an endogenous mechanism by which FcalphaR functionality is down-regulated in an 'allergic environment' where FcepsilonRI is co-expressed and extensively cross-linked on FcalphaR-expressing effector cells PMID: 18700185
- Immunoglobulin A: Fc(alpha)RI interactions induce neutrophil migration through release of leukotriene B4. PMID: 19555692
- Pathogen selection by bacterial decoy proteins drives FcalphaRI and IgA-Fc coevolution. PMID: 17548632
顯示更多
收起更多
-
亞細胞定位:[Isoform A.1]: Cell membrane; Single-pass type I membrane protein.; [Isoform A.2]: Cell membrane; Single-pass type I membrane protein.; [Isoform A.3]: Cell membrane; Single-pass type I membrane protein.; [Isoform B]: Secreted.; [Isoform B-delta-S2]: Secreted.
-
組織特異性:Isoform A.1, isoform A.2 and isoform A.3 are differentially expressed between blood and mucosal myeloid cells. Isoform A.1, isoform A.2 and isoform A.3 are expressed in monocytes. Isoform A.1 and isoform A.2 are expressed in alveolar macrophages; however
-
數據庫鏈接:
Most popular with customers
-
-
YWHAB Recombinant Monoclonal Antibody
Applications: ELISA, WB, IHC, IF, FC
Species Reactivity: Human, Mouse, Rat
-
Phospho-YAP1 (S127) Recombinant Monoclonal Antibody
Applications: ELISA, WB, IHC
Species Reactivity: Human
-
-
-
-
-















