FAIM2 Antibody
-
中文名稱:FAIM2兔多克隆抗體
-
貨號:CSB-PA234848
-
規格:¥1100
-
圖片:
-
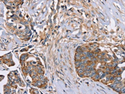
The image on the left is immunohistochemistry of paraffin-embedded Human ovarian cancer tissue using CSB-PA234848(FAIM2 Antibody) at dilution 1/30, on the right is treated with fusion protein. (Original magnification: ×200)
-
The image on the left is immunohistochemistry of paraffin-embedded Human cervical cancer tissue using CSB-PA234848(FAIM2 Antibody) at dilution 1/30, on the right is treated with fusion protein. (Original magnification: ×200)
-
Gel: 8%SDS-PAGE, Lysate: 40 μg, Lane 1-2: A172 cells, Raji cells, Primary antibody: CSB-PA234848(FAIM2 Antibody) at dilution 1/500, Secondary antibody: Goat anti rabbit IgG at 1/8000 dilution, Exposure time: 30 seconds
-
-
其他:
產品詳情
-
Uniprot No.:
-
基因名:FAIM2
-
別名:FAIM2; KIAA0950; LFG; LFG2; NMP35; TMBIM2; Protein lifeguard 2; Fas apoptotic inhibitory molecule 2; Neural membrane protein 35; Transmembrane BAX inhibitor motif-containing protein 2
-
宿主:Rabbit
-
反應種屬:Human,Mouse,Rat
-
免疫原:Fusion protein of Human FAIM2
-
免疫原種屬:Homo sapiens (Human)
-
標記方式:Non-conjugated
-
抗體亞型:IgG
-
純化方式:Antigen affinity purification
-
濃度:It differs from different batches. Please contact us to confirm it.
-
保存緩沖液:-20°C, pH7.4 PBS, 0.05% NaN3, 40% Glycerol
-
產品提供形式:Liquid
-
應用范圍:ELISA,WB,IHC
-
推薦稀釋比:
Application Recommended Dilution ELISA 1:2000-1:5000 WB 1:500-1:2000 IHC 1:50-1:200 -
Protocols:
-
儲存條件:Upon receipt, store at -20°C or -80°C. Avoid repeated freeze.
-
貨期:Basically, we can dispatch the products out in 1-3 working days after receiving your orders. Delivery time maybe differs from different purchasing way or location, please kindly consult your local distributors for specific delivery time.
-
用途:For Research Use Only. Not for use in diagnostic or therapeutic procedures.
相關產品
靶點詳情
-
功能:Antiapoptotic protein which protects cells uniquely from Fas-induced apoptosis. Regulates Fas-mediated apoptosis in neurons by interfering with caspase-8 activation. May play a role in cerebellar development by affecting cerebellar size, internal granular layer (IGL) thickness, and Purkinje cell (PC) development.
-
基因功能參考文獻:
- results suggest that high level miR-3202 in T lymphocytes may protect epithelial cells through targeting FAIM2. MiR-3202 might be used as a notable biomarker of chronic obstructive pulmonary disease . PMID: 29208459
- that miR-193b is indispensible for the competitive endogenous RNA role of SNHG7 in FAIM2-supported tumourigenesis of lung cancer PMID: 29131440
- FAIM2 expression is significantly downregulated in human masticatory mucosa during wound healing PMID: 28005267
- our research showed that lncRNA-SNHG7 promotes the proliferation, migration and invasion, and inhibits apoptosis of lung cancer cells by enhancing the FAIM2 expression, suggesting that lncRNA-SNHG7 as a key regulator of gene expression, may be a promising therapeutic strategy for the treatment of lung cancer PMID: 27666964
- The interaction of TRIM21 and LFG was analyzed by co-immunoprecipitation. To examine changes in regulatory processes, western blot analyses, real-time PCR, activity of apoptotic process and flow cytometric analyses were carried out. PMID: 26398169
- There are significant differences in the associations of the FAIM2 promoter methylation with sedentary behaviour and physical activity between obese and lean children. PMID: 25922107
- Methylation levels of the FAIM2 promoter are significantly associated with obesity and are independently associated with dyslipidaemia and its components in Chinese children. PMID: 25696115
- Low KRT13 mRNA expression is associated with oral squamous cell carcinoma. PMID: 25735388
- These results suggest that the TMBIM family has comparable functions in the maintenance of intracellular Ca(2) homeostasis in a wide variety of tissues PMID: 25764978
- Results indicated that FAIM2 beta-isoform is strongly expressed in breast tumour tissues. Fas sensitivity was reduced in the MCF10A breast cells expressing the FAIM2 beta-isoform. PMID: 25069766
- This study highlighted the importance of two candidate genes, SH2B1 and FAIM2, in the risk of overweight/obesity. PMID: 24621099
- A polymorphism in FAIM2 is associated with higher myocardial infarction risk in type-2 diabetes mellitus subjects. PMID: 24393375
- The rs7138803 variant of FAIM2 was found to exert no effect on obesity in a Chinese Han population. PMID: 23924573
- Faim2 is physiologically expressed in brain in bacterial meningitis. PMID: 24335530
- Analysis identified SNPs at three loci known to be associated with BMI with genome-wide confidence (P<5x10(-8); FTO, MC4R and FAIM2). PMID: 21935397
- LFG is required for proper development and survival of granular and Purkinje cells and LFG may play a role in cerebellar disorders PMID: 21957071
- LFG is strongly expressed in breast cancer epithelial cells. Moreover, the overexpression of LFG correlated with tumour grade and reduced Fas sensitivity. PMID: 20336406
- Data show that SNPs in SEC16B and TMEM18 were significantly associated with obesity, and the SNPs in GNPDA2, BDNF, FAIM2 and MC4R were marginally associated with obesity in Japanese. PMID: 19851340
- Human keratinocytes were transfected with either Flip, Faim, or Lifeguard (LFG). Our results suggest that heterotopic expression of antiapoptotic proteins can induce the resistance of keratinocytes to a major mechanism of rejection. PMID: 17912957
- The tmbim2 may participate in cell death regulation by interacting with proteins of Bcl-2 family, promoting tumor metastasis, which is deduced from the evolutionary conservation of the membrane protein family containing multiple membrane spanning segments PMID: 18440869
顯示更多
收起更多
-
亞細胞定位:Cell membrane; Multi-pass membrane protein. Membrane raft. Cell junction, synapse, postsynaptic cell membrane.
-
蛋白家族:BI1 family, LFG subfamily
-
組織特異性:Highly expressed in breast carcinoma tissues. Enhanced expression correlates with the grade of the tumor (grade II/grade III) in primary breast tumors (at protein level). Widely expressed. Expressed at high levels in the brain especially in the hippocampu
-
數據庫鏈接:
Most popular with customers
-
-
YWHAB Recombinant Monoclonal Antibody
Applications: ELISA, WB, IHC, IF, FC
Species Reactivity: Human, Mouse, Rat
-
Phospho-YAP1 (S127) Recombinant Monoclonal Antibody
Applications: ELISA, WB, IHC
Species Reactivity: Human
-
-
-
-
-















