FABP3 Antibody
-
中文名稱:FABP3兔多克隆抗體
-
貨號:CSB-PA907350
-
規格:¥1100
-
圖片:
-
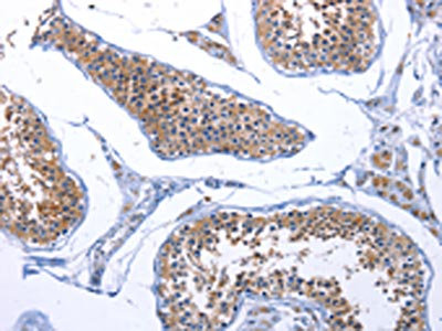
The image on the left is immunohistochemistry of paraffin-embedded Human testis tissue using CSB-PA907350(FABP3 Antibody) at dilution 1/17, on the right is treated with synthetic peptide. (Original magnification: ×200)
-
Gel: 8%SDS-PAGE, Lysate: 30 μg, Lane: Mouse testis tissue, Primary antibody: CSB-PA907350(FABP3 Antibody) at dilution 1/250, Secondary antibody: Goat anti rabbit IgG at 1/8000 dilution, Exposure time: 20 seconds
-
-
其他:
產品詳情
-
Uniprot No.:
-
基因名:
-
別名:422 protein antibody; Cardiac FABP antibody; Cardiac Fatty Acid Binding Protein antibody; FABP 11 antibody; FABP 3 antibody; FABP11 antibody; FABP3 antibody; FABPH_HUMAN antibody; Fatty acid binding protein 11 antibody; Fatty acid binding protein 3 antibody; Fatty acid binding protein 3 muscle and heart antibody; Fatty acid binding protein 3 muscle and heart mammary derived growth inhibitor antibody; Fatty acid binding protein 3 muscle antibody; Fatty acid binding protein 3; muscle and heart (mammary derived growth inhibitor) antibody; Fatty acid binding protein 3; muscle antibody; Fatty acid binding protein heart antibody; Fatty acid binding protein; heart antibody; Fatty acid binding protein; muscle and heart antibody; Fatty acid binding protein; skeletal muscle antibody; Fatty acid-binding protein 3 antibody; Fatty acid-binding protein antibody; H FABP antibody; H-FABP antibody; heart antibody; Heart type fatty acid binding protein antibody; Heart-type fatty acid-binding protein antibody; M FABP antibody; M-FABP antibody; Mammary derived growth inhibitor antibody; Mammary-derived growth inhibitor antibody; MDGI antibody; Muscle fatty acid binding protein antibody; Muscle fatty acid-binding protein antibody; Mylein protein P2 homolog antibody; O FABP antibody; OTTHUMP00000003898 antibody; P2 adopocyte protein antibody
-
宿主:Rabbit
-
反應種屬:Human,Mouse,Rat
-
免疫原:Synthetic peptide of Human FABP3
-
免疫原種屬:Homo sapiens (Human)
-
標記方式:Non-conjugated
-
抗體亞型:IgG
-
純化方式:Antigen affinity purification
-
濃度:It differs from different batches. Please contact us to confirm it.
-
保存緩沖液:-20°C, pH7.4 PBS, 0.05% NaN3, 40% Glycerol
-
產品提供形式:Liquid
-
應用范圍:ELISA,WB,IHC
-
推薦稀釋比:
Application Recommended Dilution ELISA 1:1000-1:10000 WB 1:200-1:1000 IHC 1:20-1:100 -
Protocols:
-
儲存條件:Upon receipt, store at -20°C or -80°C. Avoid repeated freeze.
-
貨期:Basically, we can dispatch the products out in 1-3 working days after receiving your orders. Delivery time maybe differs from different purchasing way or location, please kindly consult your local distributors for specific delivery time.
-
用途:For Research Use Only. Not for use in diagnostic or therapeutic procedures.
相關產品
靶點詳情
-
功能:FABP are thought to play a role in the intracellular transport of long-chain fatty acids and their acyl-CoA esters.
-
基因功能參考文獻:
- the frequency of h-FABP positivity among acute myocardial infarction patients was higher than that of hs-TnI, which would have missed six of them; however, hs-TnI area under curve was superior to that of h-FABP. PMID: 28650717
- The present study demonstrated that pre-operative FABP3 gene expression in the atrium is reduced in patients with post-operative atrial fibrillation, independent of age and left atrial diameter. These findings suggest a potential link between altered fatty acid transport in the atrium and increased AF onset after cardiac surgery PMID: 28807550
- This study demonstrated that FABP3 CSF levels were increased in the Alzheimer's disease and dementia with Lewy bodies groups compared with the other neurological diseases and Parkinson's disease groups. PMID: 28750675
- Data suggest H-FABP as a potential marker for indicating myocardial ischemia. PMID: 28077344
- Serum levels of FABP3 in polymyositis/dermatomyositis patients were significantly increased and were mainly distributed in slow twitch muscle fibers, displaying a closer association with muscle weakness than did serum levels of CK and myoglobin. PMID: 26891180
- data indicate that FABP3 may in be part involved in ARA uptake in these cells and its expression may be regulated by ARA, insulin, LXR and the state of cellular differentiation. PMID: 28515017
- The higher interaction footprint of aptamer N53 incited synergistic conformational changes in both N53 and FABP3 during interaction, leading to a decline in binding affinity in comparison to aptamer N13 which corroborated to the calculated Kd values. PMID: 27545084
- There was no significant correlation between H-FABP, free triiodothyronine (fT3), free thyroxine (fT4), and thyroid stimulating hormone (TSH) levels in hyperthyroid patients PMID: 26859315
- For patients recruited = 6 h after trauma, the CT-positive group indicated significantly higher levels of both H-FABP and S100B than the CT-negative group. PMID: 28419114
- significantly correlated to the major adverse events during hospitalization for acute pulmonary embolism PMID: 27916210
- HFABP expression is significantly elevated in in-stent coronary resteonisis . Overexpression of HFABP induces multiple pathway-related promotion of inflammation, growth and migration in vascular smooth muscle cells. PMID: 27372431
- cardiac damage in patients with CO poisoning could be partially mediated by CO-induced oxidative stress, where H-FABP3 level was directly and strongly associated with MDA and ADMA levels PMID: 27150386
- findings demonstrate the interobserver reliability of a qualitative point of care h-FABP assay PMID: 27363942
- Neonatal phthalate ester exposure induced placental MTs, FATP1 and HFABP mRNA expression PMID: 26867681
- FABP3 expression was significantly lower in the schizophrenia group than in the control group. PMID: 26792082
- This study demonstrated that CSF FABP-3 may be an early marker for later development of dementia. PMID: 26484922
- Bedside H-FABP measurements may contribute to correct early diagnoses, as its levels are elevated soon following myocardial infarction, and measurement is easy, with a rapid result. PMID: 26212703
- Perioperative plasma H-FABP levels may be used for risk stratification of acute kidney injury and mortality following cardiac surgery. PMID: 25830762
- The C/G-G/G haplotype at RS2271072 and RS10914367 single nucleotide polymorphism of FABP3 might be a prognostic factor in patients with coronary atherosclerosis. PMID: 24695477
- FABP3 was increased in patients with acute heart failure compared to those without. PMID: 26072112
- H-FABP may have a role in occurrence of adverse clinical outcome in pulmonary embolism [meta-analysis] PMID: 25456730
- polymorphism affects fatty acid-binding protein 3 intracellular stability and subcellular localization PMID: 26206228
- A combination of FABP3 and IL-6 has an additive clinical value for prediction of cerebral infarction outcome. PMID: 23497639
- plasma level of H-FABP at 24h after the event may be an early and independent factor associated with survival to discharge in out-of-hospital cardiac arrest PMID: 24785584
- Serum H-FABP levels progressively increased from the control group to the OH group. PMID: 25234940
- Elevated H-FABP serum levels in patients with essential hypertension were predictive of future cardiovascular events. PMID: 25147067
- The frameshift and missense mutations in FABP3, FABP5, and FABP7 genes have been identified in schizophrenia and autism spectrum disorder in humans and in mouse behavioral studies. PMID: 25027319
- H-FABP level was increased in association with greater numbers of cardiovascular risk factors and was an independent risk factor for all-cause and cardiovascular deaths. PMID: 24847804
- Report correlation between preoperative serum h-FABP and the postoperative incidence of acute kidney injury in cardiac surgery patients. PMID: 25212385
- Studied the relationship between severity of CAD and heart-type fatty acid-binding protein (H-FABP)in patients with non-ST-segment elevation acute coronary syndrome. PMID: 24164992
- The s-H-FABP level is an effective biomarker for risk stratification in non-surgical intensive care patients. PMID: 24817549
- The levels of H-FABP, NT-proBNP, and cTnI were correlated with heart function, and can be used for the diagnosis of early-stageheart failure in children with congenital heart disease PMID: 24899611
- Despite, h-FABP was successful to predict 30-days mortality in patients with PE at intermediate risk; it is suggested to be failed in determining the patients who will benefit from thrl therapy. PMID: 24264959
- Results show that MDGI is expressed in human brain tumor specimens in a grade-dependent manner and its expression positively correlated with the histologic grade of the tumor, suggesting MDGI as a novel marker for malignant gliomas. PMID: 24493698
- Our findings indicate that Abeta-associated volume loss occurs in the presence of elevated HFABP irrespective of phospho-tau PMID: 24088526
- the addition of H-FABP significantly enhanced the sensitivity and accuracy of diagnosis as compared to a prior-generation troponin assay alone, especially in patients who presented early PMID: 23328883
- Overexpression of FABP3 inhibited cell growth and proliferation via negative regulation of the cell cycle and down-regulation of cell growth factors, but enhances cell survival in hypoxic or ischemic conditions. PMID: 24583397
- The H-FABP rapid test provides additional diagnostic certainty in suspected acute coronary syndrome. PMID: 23332896
- H-FABP is related to MetS and FAC status in asymptomatic SCI patients. PMID: 23483223
- Heart-type fatty acid binding protein (hFABP) and VEGF CSF concentrations distinguished between healthy controls and patients with AD dementia with a sensitivity and specificity of 57 and 35%, and 76 and 84%, respectively PMID: 23591828
- Patients with multi-trauma had significantly higher H-FABP concentrations at 24 and 48 h PMID: 23590685
- Measurement of heart-type FABP in patients with acute myocardial infarction shows no improvement for early diagnosis compared with sensitive troponin assay. PMID: 22078394
- The early stages of Alzheimer's disease and vascular dementia have elevated cerebrospinal fluid levels of FABP protein compared to controls. PMID: 23254629
- One-year increases in skin autofluorescence and plasma H-FABP, used separately and in combination, are strong predictors of overall and cardiovascular mortality in hemodyalisis patients. PMID: 23635017
- High peripheral levels of h-FABP are associated with poor prognosis in end-stage heart failure patients with mechanical circulatory support. PMID: 23734811
- Elevated serum H-FABP during the convalescent stage of AMI predicted long-term mortality and readmission for HF after survival discharge in the post-AMI patients. PMID: 23291993
- plasma h-fabp was correlated with initial stroke score, and was significantly higher in patients with poor clinical outcome PMID: 22766253
- The methylation status of FABP3 is associated with phenotypes of metabolic syndrome. PMID: 23510163
- study confirmed an association of H-FABP with the pathogenesis of clinical and experimental obesity-related glomerulopathy, and suggests that such a process might be related to podocytes and lipid dysmetabolism PMID: 23029183
- investigation of H-FABP as biomarker for metabolic disorders: Data suggest that serum H-FABP levels are higher in subjects with insulin resistance and metabolic syndrome than in subjects without such metabolic disorders regardless of gender. PMID: 23093954
顯示更多
收起更多
-
亞細胞定位:Cytoplasm.
-
蛋白家族:Calycin superfamily, Fatty-acid binding protein (FABP) family
-
數據庫鏈接:
Most popular with customers
-
-
YWHAB Recombinant Monoclonal Antibody
Applications: ELISA, WB, IHC, IF, FC
Species Reactivity: Human, Mouse, Rat
-
-
-
-
-
-















