EXO1 Antibody
-
中文名稱:EXO1兔多克隆抗體
-
貨號:CSB-PA007876LA01HU
-
規格:¥440
-
圖片:
-
Western blot
All lanes: EXO1 antibody at 10μg/ml
Lane 1: Hela whole cell lysate
Lane 2: 293T whole cell lysate
Lane 3: A549 whole cell lysate
Secondary
Goat polyclonal to rabbit IgG at 1/10000 dilution
Predicted band size: 95, 90 kDa
Observed band size: 95 kDa -
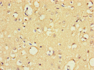
Immunohistochemistry of paraffin-embedded human brain tissue using CSB-PA007876LA01HU at dilution of 1:100
-
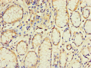
Immunohistochemistry of paraffin-embedded human stomach tissue using CSB-PA007876LA01HU at dilution of 1:100
-
-
其他:
產品詳情
-
產品名稱:Rabbit anti-Homo sapiens (Human) EXO1 Polyclonal antibody
-
Uniprot No.:
-
基因名:
-
別名:exo1 antibody; EXO1_HUMAN antibody; ExoI antibody; Exonuclease 1 antibody; Exonuclease I antibody; Exonuclease1 antibody; HEX1 antibody; hExo I antibody; hExo1 antibody; hExoI antibody; Rad2 nuclease family member homolog of S. cerevisiae exonuclease 1 antibody
-
宿主:Rabbit
-
反應種屬:Human
-
免疫原:Recombinant Human Exonuclease 1 protein (301-600AA)
-
免疫原種屬:Homo sapiens (Human)
-
標記方式:Non-conjugated
本頁面中的產品,EXO1 Antibody (CSB-PA007876LA01HU),的標記方式是Non-conjugated。對于EXO1 Antibody,我們還提供其他標記。見下表:
-
克隆類型:Polyclonal
-
抗體亞型:IgG
-
純化方式:>95%, Protein G purified
-
濃度:It differs from different batches. Please contact us to confirm it.
-
保存緩沖液:Preservative: 0.03% Proclin 300
Constituents: 50% Glycerol, 0.01M PBS, PH 7.4 -
產品提供形式:Liquid
-
應用范圍:ELISA, WB, IHC
-
推薦稀釋比:
Application Recommended Dilution WB 1:1000-1:5000 IHC 1:20-1:200 -
Protocols:
-
儲存條件:Upon receipt, store at -20°C or -80°C. Avoid repeated freeze.
-
貨期:Basically, we can dispatch the products out in 1-3 working days after receiving your orders. Delivery time maybe differs from different purchasing way or location, please kindly consult your local distributors for specific delivery time.
-
用途:For Research Use Only. Not for use in diagnostic or therapeutic procedures.
相關產品
靶點詳情
-
功能:5'->3' double-stranded DNA exonuclease which may also possess a cryptic 3'->5' double-stranded DNA exonuclease activity. Functions in DNA mismatch repair (MMR) to excise mismatch-containing DNA tracts directed by strand breaks located either 5' or 3' to the mismatch. Also exhibits endonuclease activity against 5'-overhanging flap structures similar to those generated by displacement synthesis when DNA polymerase encounters the 5'-end of a downstream Okazaki fragment. Required for somatic hypermutation (SHM) and class switch recombination (CSR) of immunoglobulin genes. Essential for male and female meiosis.
-
基因功能參考文獻:
- These findings provide the evidence that the rs1047840, rs9350, rs10802996, rs1635498, rs1776148, rs1776177, rs3754093 and rs851797 polymorphisms may act as risk factors for cancer. PMID: 27387683
- The results from gene-environment interaction assay indicated all hEXO1 SNPs interacted with smoking, alcohol consumption, HBV infection in pathogenesis of hepatocellular carcinoma. PMID: 27894089
- The finding that a threading mechanism like that used by hFEN1 is also used by hEXO1 unifies the mode of operation for members of the 5'-nuclease superfamily that act on discontinuous substrates. As with hFEN1, intrinsic disorder of the arch region of the protein may explain how flaps can be threaded without a need for a coupled energy source. PMID: 28682061
- These findings indicate that the coupling of EXO1 activation with its eventual degradation is a timing mechanism that limits the extent of DNA end resection for accurate DNA repair. PMID: 28515316
- Mutations in the human EXO1 gene correlate with increased susceptibility to some cancers. This review summarizes recent studies on the enzymatic functions and biological roles of EXO1, its possible protective role against cancer and aging, and regulation of EXO1 by posttranslational modification. [review] PMID: 27494243
- These results suggest that Metnase enhances Exo1-mediated exonuclease activity on the lagging strand DNA by facilitating Exo1 loading onto a single strand gap at the stalled replication fork. PMID: 27974460
- we present evidence that the inherited EXO1 polymorphism rs9350 may have a substantial influence on prostate cancer risk in Chinese people. We believe that the rs9350 could be a useful biomarker for assessing predisposition for and early diagnosis of prostate cancer. PMID: 26646562
- study concludes that Exo1 gene polymorphism Lys589Glu may be associated with an increased risk of colorectal cancer in the Polish population PMID: 25294706
- Mutations within the EXO1 gene are not associated with premature ovarian failure in Han Chinese women. PMID: 26774993
- EXO1 is more active on DNA at temperatures below 37 degrees C and this manifests as an increase in nuclease activity.EXO1 preferentially cleaves one nucleotide inwards in a double stranded region of forked and nicked DNA flap substrates. PMID: 26182368
- MSH2, MSH6, and EXO1 genes were overexpressed in gastroesophageal cancers. PMID: 26215063
- EXO1 and FEN1 cleaved the substrate at the boundary between the single-stranded 5' flap and the duplex, whereas FAN1 incised it three to four nucleotides in the double-stranded region. PMID: 26221031
- In summary, phosphorylation of EXO1 by CDKs is a novel mechanism regulating repair pathway choice. PMID: 24705021
- Our data present, for the first time, evidence that inherited MLH1 c.-93G>A, MSH2 c.211 + 9C>G, MSH3 c.3133G>A, and EXO1 c.1765G>A abnormalities of DNA MMR pathway are important determinants of head and neck squamous cell carcinoma PMID: 25598504
- 14-3-3 proteins restrain the Exo1 nuclease to prevent over-resection in end joining PMID: 25833945
- These studies establish that the Mlh1-Pms1 endonuclease is required for MMR in a previously uncharacterized Exo1-independent MMR pathway. PMID: 24204293
- EXO1 Glu589Lys polymorphism is not associated with overall cancer susceptibility. PMID: 24761866
- FOXM1 is upregulated in chemoresistant ovarian cancer samples, and defends ovarian cancer cells against cytotoxicity of cisplatin. FOXM1 facilitates DNA repair through regulating EXO1 to protect ovarian cancer cells from cisplatin-mediated apoptosis. PMID: 24824601
- This study reports that, contrary to earlier reports, and unlike the catalytic site mutant D173A, the EXO1 E109K variant resembled the wild-type enzyme on all tested substrates. PMID: 24829445
- In G1 arrested cells that histone H2A phosphorylation, in response to ionizing radiation, is independent of Sgs1 and Exo1. PMID: 23835406
- This mouse transgene line carries an Exo1-null knockout mutation leading to the complete loss of EXO1 protein expression (termed Exo1(null); Exo1-mutant lines show defects in DNA damage response. PMID: 23754438
- EXO1 deficiency leads to ICL sensitivity but does not increase ICL sensitivity in the absence of FANCD2. PMID: 22987153
- No statistically significant differences were found in the allele or genotype distributions of the Exo 1 T439M polymorphism among HCC and cancer-free control subjects (P>0.05). PMID: 22296401
- direct and robust interaction between hEXO1 and six of the seven 14-3-3 isoforms, is demonstrated. PMID: 22222486
- A promoter region SNP in the editing and processing nucleases gene EXO1 was associated with decreased expression of EXO1 and decreased melanoma risk. PMID: 22230721
- Exo1 as a key mediator of DNA end resection and DSB repair and damage signaling decisions in human cells PMID: 22326273
- In this study, we have chosen 2 common SNPs of EXO1 and investigated the association between these 2 SNPs and the risk for cervical cancer in Chinese population by PCR-RFLP. PMID: 22146767
- The Lys/Lys homozygote genotype of Exo 1 K589E polymorphism may be a genetic susceptibility factor for hepatocellular carcinoma in the Turkish population. PMID: 22205538
- Gene expression intensity of exonuclease 1 as related to Aicardi- Goutie;res syndrome mutations. PMID: 21862834
- Human Ku70/80 protein blocks exonuclease 1-mediated DNA resection in the presence of human Mre11 or Mre11/Rad50 protein complex. PMID: 22179609
- a key role for hEXO1 in the UV-induced DNA damage response linking nucleotide excision repair to checkpoint activation in human cells. PMID: 21808022
- Exo1 induces a sharp bend in the DNA at nicks or gaps. Frayed 5' ends of nicked duplexes resemble flap junctions, unifying the mechanisms of endo- and exonucleolytic processing. PMID: 21496642
- BLM increases the affinity of EXO1 for ends, and MRN recruits and enhances the processivity of EXO1. PMID: 21325134
- Gene-environment interactions with smoking were significant for Exo1 K589E polymorphism (OR=2.509, 95% CI=1.914-3.287) and results provide evidence that the A allele of the Exo1 K589E may be associated with the development of oral cancer. PMID: 19515603
- This study identifies new functions of CtIP and EXO1 in DNA end resection and provides new information on the regulation of DNA double-strand breaks repair pathways, which is a key factor in the maintenance of genome integrity. PMID: 21052091
- The EXO1 polymorphism, P757L, was analyzed by PCR-RFLP. Patients with the Leu/Leu genotype have a reduced risk of colorectal cancer. PMID: 20854105
- study found in gastric and colorectal cancers that EXO1 gene harbored somatic frameshift mutations within the mononucleotide repeats in the coding sequences; these mutations were found in the cancers with microsatellite instability PMID: 20429728
- FEN1 and EXO1 can eliminate structures formed by trinucleotide repeats in the course of replication, relying on endonucleolytic and exonucleolytic activities, respectively. PMID: 20643645
- results suggest that EXO1 may act at transcription-induced telomeric structures to promote telomere recombination while FEN1 has a dominant role in lagging strand replication at telomeres PMID: 20126648
- Exo1 is phosphorylated after DNA damage and this event is required for the subsequent recruitment of other DNA repair proteins and homologous recombination PMID: 20019063
- The A allele of the Exo1 K589E may be associated with the development of gastric cancer and may be a novel and useful marker for primary prevention and anticancer intervention. PMID: 20337148
- requirement for in 5' and 3' mismatch repair PMID: 11809771
- structural analysis of interactions of Exo1 with DNA PMID: 11842105
- Functional alterations of human exonuclease 1 mutants identified in atypical hereditary nonpolyposis colorectal cancer syndrome. PMID: 12414623
- Several EXO1 variants observed in patients were also observed in controls with similar frequencies, including the truncating variant proposed previously to be a disease-causing mutation PMID: 12517792
- hPMS2 accounts for a small proportion of Hereditary non-polyposis colorectal cancer families, and none were deemed to be associated with hEXO1 PMID: 14756672
- REVIEW: role in cancer? PMID: 15328369
- there is an association of EXO1 gene polymorphisms with colorectal cancer risk. PMID: 15550454
- hEXO1, hMLH1 and hMSH2 form complexes and are imported to the nucleus together, and that redundant nuclear localization signals in the proteins may safeguard nuclear import and thereby mismatch repair activity. PMID: 17426132
- MLH3 and EXO1 alterations in familial colorectal cancer patients not fulfilling Amsterdam criteria. PMID: 17656264
顯示更多
收起更多
-
亞細胞定位:Nucleus. Note=Colocalizes with PCNA to discrete nuclear foci in S-phase.
-
蛋白家族:XPG/RAD2 endonuclease family, EXO1 subfamily
-
組織特異性:Highly expressed in bone marrow, testis and thymus. Expressed at lower levels in colon, lymph nodes, ovary, placenta, prostate, small intestine, spleen and stomach.
-
數據庫鏈接:
Most popular with customers
-
-
YWHAB Recombinant Monoclonal Antibody
Applications: ELISA, WB, IHC, IF, FC
Species Reactivity: Human, Mouse, Rat
-
Phospho-YAP1 (S127) Recombinant Monoclonal Antibody
Applications: ELISA, WB, IHC
Species Reactivity: Human
-
-
-
-
-















