ERO1B Antibody
-
中文名稱:ERO1B兔多克隆抗體
-
貨號:CSB-PA774834LA01HU
-
規格:¥440
-
圖片:
-
Western blot
All lanes: ERO1B antibody at 3.2µg/ml
Lane 1: MCF-7 whole cell lysate
Lane 2: U251 whole cell lysate
Lane 3: Mouse liver tissue
Lane 4: U87 whole cell lysate
Secondary
Goat polyclonal to rabbit IgG at 1/10000 dilution
Predicted band size: 54, 17 kDa
Observed band size: 54 kDa -
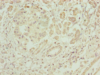
Immunohistochemistry of paraffin-embedded human pancreatic tissue using CSB-PA774834LA01HU at dilution of 1:100
-
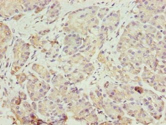
Immunohistochemistry of paraffin-embedded human pancreatic cancer using CSB-PA774834LA01HU at dilution of 1:100
-
-
其他:
產品詳情
-
產品名稱:Rabbit anti-Homo sapiens (Human) ERO1B Polyclonal antibody
-
Uniprot No.:
-
基因名:
-
別名:Endoplasmic oxidoreductin-1-like protein B antibody; Endoplasmic reticulum oxidoreductin-1-like protein B antibody; ERO1; S. cerevisiae; homolog of; beta antibody; ERO1-L-beta antibody; ERO1-like beta (S. cerevisiae) antibody; ERO1-like protein beta antibody; ERO1B_HUMAN antibody; Ero1lb antibody; Oxidoreductin-1-L-beta antibody
-
宿主:Rabbit
-
反應種屬:Human, Mouse
-
免疫原:Recombinant Human ERO1-like protein beta protein (101-400AA)
-
免疫原種屬:Homo sapiens (Human)
-
標記方式:Non-conjugated
本頁面中的產品,ERO1B Antibody (CSB-PA774834LA01HU),的標記方式是Non-conjugated。對于ERO1B Antibody,我們還提供其他標記。見下表:
-
克隆類型:Polyclonal
-
抗體亞型:IgG
-
純化方式:>95%, Protein G purified
-
濃度:It differs from different batches. Please contact us to confirm it.
-
保存緩沖液:Preservative: 0.03% Proclin 300
Constituents: 50% Glycerol, 0.01M PBS, PH 7.4 -
產品提供形式:Liquid
-
應用范圍:ELISA, WB, IHC
-
推薦稀釋比:
Application Recommended Dilution WB 1:1000-1:5000 IHC 1:20-1:200 -
Protocols:
-
儲存條件:Upon receipt, store at -20°C or -80°C. Avoid repeated freeze.
-
貨期:Basically, we can dispatch the products out in 1-3 working days after receiving your orders. Delivery time maybe differs from different purchasing way or location, please kindly consult your local distributors for specific delivery time.
-
用途:For Research Use Only. Not for use in diagnostic or therapeutic procedures.
相關產品
靶點詳情
-
功能:Oxidoreductase involved in disulfide bond formation in the endoplasmic reticulum. Efficiently reoxidizes P4HB/PDI, the enzyme catalyzing protein disulfide formation, in order to allow P4HB to sustain additional rounds of disulfide formation. Other protein disulfide isomerase family members can also be reoxidized, but at lower rates compared to P4HB, including PDIA2 (50% of P4HB reoxidation rate), as well as PDIA3, PDIA4, PDIA6 and NXNDC12 (<10%). Following P4HB reoxidation, passes its electrons to molecular oxygen via FAD, leading to the production of reactive oxygen species (ROS) in the cell. May be involved in oxidative proinsulin folding in pancreatic cells, hence may play a role in glucose homeostasis.
-
基因功能參考文獻:
- This peptide, Ac-VDTTD-AFC, was efficiently cleaved by purified caspase-2 and auto-activating caspase-2 in mammalian cells, and exhibited better selectivity for caspase-2 relative to caspase-3 than reagents that are currently available. PMID: 27919037
- GJB2 and ERO1LB are implicated in pancreatic cancer progression and can be used to predict patient survival PMID: 28177904
- upregulated in pancreatic neuroendocrine tumors PMID: 26765469
- In the present work, it was shown that recombinant human Ero1beta is twice as active as Ero1alpha in enzymatic assays. PMID: 21091435
- glutathione limits Ero1-dependent oxidation in the endoplasmic reticulum PMID: 15161913
- analysis of Ero1beta tissue distribution and dimerization PMID: 16012172
- Ero1alpha and Ero1beta are retained in the endoplasmic reticulum by interactions with PDI and ERp44 PMID: 16677073
- the Ero FAD binding domain is critical for conformational stability, allowing Ero proteins to withstand stress conditions that cause client proteins to misfold PMID: 16822866
- The lack of correlation between changes in SAT adiponectin gene and protein expression and its circulating levels suggests that adipose tissue synthesis and release of adiponectin are highly regulated pathways. PMID: 18996753
顯示更多
收起更多
-
亞細胞定位:Endoplasmic reticulum membrane; Peripheral membrane protein; Lumenal side. Note=The association with ERP44 may be essential for its retention in the endoplasmic reticulum.
-
蛋白家族:EROs family
-
組織特異性:Highly expressed in the digestive tract, including the duodenum and lower digestive tract. In the stomach, highly expressed in enzyme-producing chief cells (at protein level). In the pancreas, expressed in islets of Langerhans and, at lower levels, in enz
-
數據庫鏈接:
Most popular with customers
-
-
YWHAB Recombinant Monoclonal Antibody
Applications: ELISA, WB, IHC, IF, FC
Species Reactivity: Human, Mouse, Rat
-
Phospho-YAP1 (S127) Recombinant Monoclonal Antibody
Applications: ELISA, WB, IHC
Species Reactivity: Human
-
-
-
-
-















